Cookie Consent byPrivacyPolicies.comJoli monstre - Eugenol

Joli monstre

1 eugenol dmj5np - Eugenol
Dancha

23/01/2008 à 13h37

C’est bien cela, Roup.
L’orientation vestibulaire ou palatine d’une canine est indiquée par son inclinaison sur la téléradio. Si elle apparaît horizontale sur la radio elle est en direction vestibulaire, par contre elle sera palatine si elle apparaît verticale. A compléter bien sûr par l’examen de la pano. Cela suffit dans la très grande majorité des cas pour situer une canine et aller la chercher.

Ici, elle est manifestement vestibulaire et c’est bien là que je l’ai trouvée.
Comme il n’y a pas d’autre justification dans l’immédiat à un traitement orthodontique et qu’on devra par contre mettre un système à ancrage maximum pour que les dents supports ne se déplacent pas dans le temps, pourquoi ne pas profiter de l’intervention du dégagement de la canine pour faire une petite anesthésie complémentaire en vestibulaire de la 16, réaliser une petite incision au fond du vestibule et placer deux micro-vis dans la crête infrazygomatique sur lesquelles aura été fixé un fil en TMA qui fera ressort ? Cela évitera un appareillage relativement lourd.

C’est ce que j’ai fait. C’est simple, beaucoup plus rapide que de mettre un appareillage fixe, la mécanique est réduite à un fil à nettoyer et il y a très peu de suites opératoires. Tout ceci avec une très grande fiabilité et une efficacité éprouvée. Beaucoup plus agréable pour le patient qui n’a quasiment rien dans la bouche. Vues per-op et à 8 jours.

Daniel

P.S. pour ceux que la technique intéresse, la Société Française d’ODF organise dans le cadre de sa formation continue un cours sur ce sujet le jeudi 20 mars à Paris (60 crédits de formation).
Cela ne figure pas dans le programme, mais il y aura des TP sur modèles en polyuréthane (densité proche de l'os) pour que chacun puisse vraiment manipuler des vis et des fils et soit ensuite capable de mettre cela en pratique dans son cabinet..
http://www.sfodf.org/sfodf/index.php?mod=61
(.. si la page ne s'affiche pas complètement : "accès praticien" en haut, puis "La Formation Continue 2008" à gauche..)
Ces cours sont ouverts à tous les praticiens, même non-membres de la SFODF.

11113 baliste2 d1lhe2 - Eugenol

ortho-sxm

23/01/2008 à 16h11

Bonjour

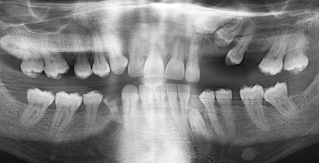
Voici un cas où ta technique, Dancha, va devoir faire des miracles.

A vos tournevis!

Le souci va être le dégagement chirurgical de 23 et 24.

Ceph edited eupnvt - Eugenol

1 eugenol dmj5np - Eugenol
Dancha

23/01/2008 à 16h15

Age ?
Syndrome associé ?
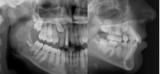
Téléradio ?

Daniel


bjc

23/01/2008 à 19h47

Je ne comprends pas tres bien

la solution de mettre les canines à la place des latérales date d’avant l’arrivée des implants
ce n’est pas la solution occlusale idéale
si on choisi cette solution, la mise sur l’arcade de la canine est souvent précédée d’un reformage d’arcades
ce qui n’a pas l’air d’être le cas de joli monstre

@+ Bjc.



ortho-sxm

24/01/2008 à 01h51

âge 53 ans

pas de syndrome associé

pas de téléradio pour l'instant.


1 eugenol dmj5np - Eugenol
Dancha

25/01/2008 à 15h45

bjc Ecrivait:
-------------------------------------------------------
> Je ne comprends pas tres bien
> la solution de mettre les canines à la place des
> latérales date d’avant l’arrivée des implants
> ce n’est pas la solution occlusale idéale
> si on choisi cette solution, la mise sur l’arcade
> de la canine est souvent précédée d’un reformage
> d’arcades
> ce qui n’a pas l’air d’être le cas de joli
> monstre

Tu n’as pas saisi, bjc ? Ce n’est pourtant pas bien compliqué !
Je ne vais pas te faire l’injure de tout répéter : relis simplement ce qui a été écrit précédemment et tu comprendras aisément pourquoi la solution implantaire n’a pas été retenue ici pour remplacer 12 et 22.
Quand à ta proposition un peu farfelue de commencer par un « reformage » d’arcade » (mot anglais qui aurait avantage à être traduit par « rectification », ce qui serait quand même mieux), elle est totalement inutile car la forme de l’arcade de cet enfant n’a pas besoin d’être rectifiée.

ortho-sxm Ecrivait:
-------------------------------------------------------
> âge 53 ans

53 ans !
Autant je suis optimiste et assuré du résultat lorsqu’il s’agit d’un adolescent, autant j’émettrai des réserves pour un cas d’inclusions multiples à cet âge là. Cependant on ne risquerait pas grand-chose à tenter une traction sur la 25 et au cas où celle-ci viendrait essayer ensuite de dégager les autres. Un ressort baliste sur deux micro-vis a l’avantage d’être relativement aisé à réaliser, d’être discret et très bien toléré. Je pense que cela vaudrait la peine d’essayer si le patient est d’accord.

Reformage nfvxwi - Eugenol

Spriford

25/01/2008 à 16h19

A-t-il conservé des dents de lait jusqu'à maintenant? on ne voit pas d'égression des dents inférieures?


ortho-sxm

25/01/2008 à 17h52

bonjour spiford

comme tu dis, on ne risque pas grand chose à tenter la traction de 25, ensuite, on peut discuter; et pour répondre à ta question, non il n'a pas conservé ses dents de lait jusque là, loin s'en faut!


Roup

26/01/2008 à 19h44

Bonjour,

Comme d'habitude, bien pensé,ton ressort Dancha.
Comment le fil TMA est fixé aux vis?

Roup.


1 eugenol dmj5np - Eugenol
Dancha

26/01/2008 à 19h56

Deux boucles inversées.

Daniel


1 eugenol dmj5np - Eugenol
Dancha

26/01/2008 à 20h00

ortho-sxm Ecrivait:
-------------------------------------------------------
> ..
> pas de syndrome associé

Cela fait quand même penser à une dysostose cléido-crânienne.

Daniel


ortho-sxm

27/01/2008 à 15h18

aucun risque de dysostose, ce patient est un grand et fort gaillard antillais de 1,88m et 110kg, avec un visage tout ce qu'il y a de charmant.


1 eugenol dmj5np - Eugenol
Dancha

30/01/2008 à 11h07

Petite colle facile :
Cette 13, on va la chercher en vestibulaire ou en palatin ?

Daniel

10542 07 05 02bis klstyw - Eugenol

ortho-sxm

30/01/2008 à 16h21

ne serait-elle pas palatine avec la face vestibulaire orientée en palatin?


1 eugenol dmj5np - Eugenol
Dancha

30/01/2008 à 18h09

ortho-sxm Ecrivait:
-------------------------------------------------------
> .. face
> vestibulaire orientée en palatin?

Que veux-tu dire par là ? Qu'elle est tournée à 180° ?

Daniel


ortho-sxm

31/01/2008 à 16h12

on devine une forme de cingulum vers l'avant sur la télé, non?


1 eugenol dmj5np - Eugenol
Dancha

31/01/2008 à 17h43

Elle est effectivement bien palatine.
Tu as peut-être raison pour la rotation bien que cela m'étonne car je l'aurais noté. En réalité je ne me souviens plus et la photo prise per-op ne le montre pas..

Bravo pour ta perspicacité.

Daniel

10542 07 10 19 04505 nzsylw - Eugenol

ortho-sxm

02/02/2008 à 18h33

Je ne sais pas si c'est fréquent des rotations à 180°?

pour en revenir aux multiples inclusions, quel accés serait possible pour 23 et 24?.
Peut-être que la télé te serait utile ? je vais le faire venir au cabinet...


1 eugenol dmj5np - Eugenol
Dancha

06/02/2008 à 09h48

Pas très fréquent, je ne me souviens pas avoir vu de canine incluse avec une rotation à 180°.

Quand à l’accès pour chercher 23 et 24, je ne me lancerais pas avec juste une panoramique. J’aime bien les télés qui suffisent dans la très grande majorité des cas. En cas de doute, je fais en plus une tomo (j’ai un appareil Planmeca à trois axes qui en fait). Si toi tu ne peux pas en faire, tu peux quand même réaliser une seconde télé en la décentrant pour placer 23 et 24 orthogonales au faisceau ou bien entendu faire faire un scan, plus coûteux.

Daniel


ortho-sxm

06/02/2008 à 18h22

j'ai aussi la pro max, je pense pouvoir te fournir les documents prochainement, thanx.


12