Cookie Consent byPrivacyPolicies.com21 DOUBLE - Eugenol

21 DOUBLE

jazz

13/01/2008 à 20h08

Bonjour à toutes et à tous

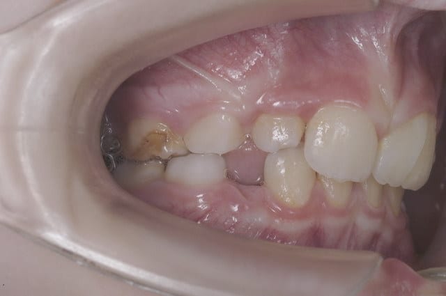
J'ai vu il y a 2 mois un enfant de 8ans qui présente une 21 double et dont la racine semble unique.L'enfant présentant une birétroalvéolie incisive et une supraclusie l'ortho aimerait savoir ce qui serait deja possible de faire pour réduire la taille de la couronne compte tenu de la taille de la racine.
Merci de me donner vos avis.

4 ptsbgs - Eugenol
5 hwr9bo - Eugenol
6 bh2fdy - Eugenol
7 eonx4z - Eugenol

jazz

13/01/2008 à 20h10

Suite des pièces jointes

Cham2 s8c4fm - Eugenol

Gutt-A

13/01/2008 à 22h02

Pour l'instant, faire la carie Vestibulaire sur 55.
Plus tard, attendre ses 12 ans, exos des 5 maxillaires, réimplantation dans le site de 21 et reconstitution en compo strat. 18 ans: faire une jolie couronne céramique avec chape zircone.


nadeemmontpellier

14/01/2008 à 16h16

J'ai eu un cas similaire à la fac de Montpellier. C'est peut etre une gémination. Si vous voulez jeter un coup d'oeil, j'en ai fait une présentation:

http://nadeemwarlord.free.fr/Anomalies%20dentaire%20fini.htm

euh.. pour le lien copier toute la ligne et coller dans le browser.


jazz

14/01/2008 à 23h53

Je ne sais pas faire car ne suis pas un as de l'info.Comment lire l'article??


joe

15/01/2008 à 01h47

jazz: tu selectionnes toute la ligne du lien laissé par nadeem, tu appuis sur les touches control(Ctrl) et C en meme temps puis sur une autre fenetre internet tu te places dans la barre des adresses (là où c'est ecrit http://www.eugenol....) tu effaces ce qui est dejà ecrit puis tu appuis en meme tps sur les touches Ctrl et V, et voilà
et si tu as de la chance tu arriveras peut être à tout lire, moi je n'y suis pas arrivé.

Gutta: je crois que ta remarque sur la 55 a super bien fait avancer les choses, je crois même que petite leçon de moral avec aurait été du meilleur gout. extraction des 5 et ré implantantion... ça me parait bien compliqué tout ça surtout à l'age de 12 ans, si tu as une fille de cet âge tu lui ferais ça?


comme c'est mon premier message de l'année, j'en profite pour souhaiter à toutes et à tous une bonne année 2008


catrose

15/01/2008 à 09h50


jazz,est ce que tu peux envoyer la pano?


jazz

15/01/2008 à 12h24

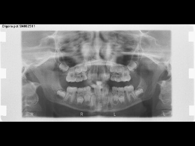
Ci joint le pano du cas de gémination de 21 du petit Cham.
Je serais content si Dancha, Ploc et autres pouvaient me donner également leur avis

129 640x480 eagdbb - Eugenol

Image19 iebot6 - Eugenol
athos

15/01/2008 à 12h35

quitte a paraitre déphasé, une simple retro alveolaire, bien de face et montrant bien la racine m'irait bien, ce n'est pas une critique, ton truc est bien exposé

dans ta belle presentation du cas je trouve que ça me manque un peu, on ne voit pas l'anatomie de cette racine, on la devine mais tres mal, pourtant je trouve que c'est un élément primordial


1 eugenol dmj5np - Eugenol
Dancha

15/01/2008 à 13h01

jazz Ecrivait:
-------------------------------------------------------
..
> Je serais content si Dancha, Ploc et autres
> pouvaient me donner également leur avis

Même avis que Gutt-A : envisager vers 12 ans la transplantation d'une 5 à la place de cette 21. Le problème qu'on aura sera celui de la largeur excessive de l'alvéole.

Daniel


Image19 iebot6 - Eugenol
athos

15/01/2008 à 13h10

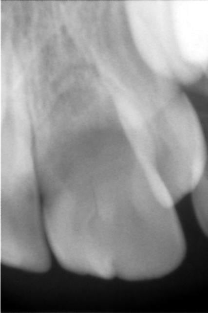
pffff...quelque chose m'echappe...vous arrivez vraiment a visualiser la taille et la forme de la racine? ou?


jazz

15/01/2008 à 14h18

La rétro se trouve dans le 2ème message (Cham2 jpg)


tantine

12/02/2008 à 00h51

J'ai eu un cas similaire il y a quelques années et on a gardé la dent telle quelle, l'ortho avait bien bossé et l'enfant était habitué à sa debt,pourquoi transplanter avec les risques que cela comporte si on peut traiter avec la dent telle quelle? à part l'esthétique qu'est ce qui vous gêne? et encore pour l'esthétique cela n'a rien de cata


catrose

12/02/2008 à 09h12

le plus important est de reperer s'il existe un ou deux canaux
-apparemment ici,cas "simple":un seul canal
et de reperer les eventuels sillons propices au developpement des caries-ici aussi,cas simple,pas de fissure

ensuite,puisqu'il n'y a pas de probleme occlusal(pas de tubercule palatin genant?) la question est essentiellement esthetique:on ne peut diminuer la dimension mesio-distale de cette dent,par contre on peut tricher en augmentant celle des 12-11 et 22 ,en associant l'orthodontiste qui va aligner les racines en fonction de la repartition des largeurs pour chaque dent
trop complique? extraction et transplantation ou implant


Image odged8 - Eugenol
ploc

12/02/2008 à 15h49

catrose Ecrivait:
-------------------------------------------------------
>
>
> ensuite,puisqu'il n'y a pas de probleme
> occlusal(pas de tubercule palatin genant?) la
> question est essentiellement esthetique:on ne peut> diminuer la dimension mesio-distale de cette
> dent,par contre on peut tricher en augmentant
> celle des 12-11 et 22 ,en associant
> l'orthodontiste qui va aligner les racines en
> fonction de la repartition des largeurs pour
> chaque dent

idem
au lieu de rétrécir 21,j'augmenterais 11 et eventuellement 12 et 22 (voir en fonction du visage et de l'esthetique à la fin de la croissance)


> trop complique? extraction et transplantation ou
> implant

CA cela me parait plus lourd... et il sera toujours temps (au moins 4 ans d'après nos eminents fans d'implanto)

tu as 2 ecoles de reponses jazz:)
une chirurgicale
une plus douce d'apposition
cornelien???



200106 10150128247663588 709988587 6466236 5598391 n d7mksb - Eugenol
hallboy

12/02/2008 à 16h50

http://nadeemwarlord.free.fr/Anomalies%20dentaire%20fini_files/v3_document.htm



bon, ben ça veut pas.

faut faire des copier collé dans la barre.


catrose

13/02/2008 à 09h04

j'ai pu le lire comme ca:
http://nadeemwarlord.free.fr

rentrer dans cas pedodontie
belle presentation
nadeem,n'est-il pas possible pour ces incisives de reduire encore les cuspides palatines(par reduction progressive)?
et y a-t-il une suite,traitement ortho?





jazz

13/02/2008 à 22h22

Merci à toutes et à tous pour vos avis
Jazz


Spriford

14/02/2008 à 16h39

Mon avis (de la base),c'est que chaque fois qu'une incisive centrale arrive sur l'arcade, elle parait énorme. Ici d'autant plus.
Mais en l'imaginant alignée avec ses voisines, je n'ai pas l'impression qu'elle paraitra monstrueuse. Avec un peu de chance, la nature aura fait une latérale gauche un peu plus étroite que la droite ...
Pourquoi ne pas l'aligner comme elle est. A chacun ses particularités...

Bon, d'accord , là n'était pas la question. Je sors.