Cookie Consent byPrivacyPolicies.comCamera Intra Buccal Import Chine - Eugenol

Camera Intra Buccal Import Chine

003 penrd2 - Eugenol
Cingulum

21/01/2008 à 12h38

Camera achetée ici:
http://www.dentalcamsell.com/

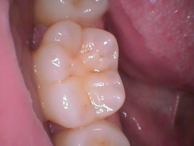
Elle est USB, sans carte aucune
6 leds pour l'éclairage
Bouton pour prise de cliché
Résolution en video : 960*576
Prise de photo : 640*480




longueur du cable : 2m
mode de branchement : USB
logiciel pro fournit voir capture ecran (installer alphabet chinois pour pas avoir de plantage avec le soft, bien qu'il soit en anglais...)

copie ecran d'une photo saisie dans le logiciel chinois dédié voir dessous

mode de capture = bouton
petite video avec mouvement de rapprochement en lien attention 40Mo...
http://u.n.i.o.free.fr/dental%20cam/

Le focus est net de 1 à 3 dents... pas au dela

Je suis bluffé par la qualité video en plein ecran sur mon 19"...
Les clichés ne sont qu'en 640X480, mais largement suffisant pour faire de la motivation.
Livré avec des gaines de protection, un support mural et le cd..

Livré en 5 jours...
350$ soit 238E frais de port compris...



Camera  1  p5hzgz - Eugenol
Camera  2  k5mmfm - Eugenol
Camera  3  xqhohz - Eugenol
Camera 4  xhjpnq - Eugenol

003 penrd2 - Eugenol
Cingulum

21/01/2008 à 12h39

suite

Patient 1 xrolyp - Eugenol
Patient 2 wavgpu - Eugenol
Vg000001 xakqhb - Eugenol
Capture  custom  fucerp - Eugenol

cyberquenottes

21/01/2008 à 13h14

quel progiciel utilises tu

as tu réussi un import direct d'image gelée dans le progiciel ?


003 penrd2 - Eugenol
Cingulum

21/01/2008 à 13h56

logos, non pas encore


cyberquenottes

21/01/2008 à 14h06

peux tu te renseigner sur la possibilité de capture image direct inside logosw ??

je pense que si tu participes sur le forum communautaire de ce soft ca devrait aller vite comme info ...

perso je sui assez convaincu quand même


17082007 synnio - Eugenol
kalif

21/01/2008 à 16h23

bonjour,


belles images en effet. Fonctionne-t-elle sous mac?


merci


003 penrd2 - Eugenol
Cingulum

21/01/2008 à 16h32

c'est quoi ?












je sais pas...le mode d'emploi est pour windows


hypoconulide

22/01/2008 à 00h59

OH on voit tres bien qu'il n'y a pas d'hypoconulide...


003 penrd2 - Eugenol
Cingulum

22/01/2008 à 09h55

le mail de mon contact en chine :

[email protected]

DongGuan MaiDe Science Technologies Co., Ltd

Sales manager: Li Ping Chen

Mobile: 8613825775127

SKYPE: Chen12188

website: www.dentalcamsell.com


17082007 synnio - Eugenol
kalif

22/01/2008 à 12h25

merci


003 penrd2 - Eugenol
Cingulum

22/01/2008 à 12h29

bon l'interface dans logos c'est hyper simple...
Direct dans le module image je clic sur le bouton de la camera et ça fait la photo... :)


cyberquenottes

22/01/2008 à 12h51

un seul mot BRAVO


003 penrd2 - Eugenol
Cingulum

22/01/2008 à 14h49

sous logos... :

Capture logos qfliyw - Eugenol

003 penrd2 - Eugenol
Cingulum

23/01/2008 à 17h44

ils ont un modele sans fil aussi...


Img 4593 pnrtmh - Eugenol
jack.

24/01/2008 à 23h51

Salut!
Quelle est la profondeur de champ de cette caméra? Tu parles de 3 dents maxi, on ne peut pas aller au delà? Peux t'on avoir le sourire et le visage? Est elle autofocus? Peux tu l'utilser sans la lumière (position light)?


003 penrd2 - Eugenol
Cingulum

25/01/2008 à 22h05

jack. Ecrivait:
-------------------------------------------------------
> Salut!
> Quelle est la profondeur de champ de cette caméra?
> Tu parles de 3 dents maxi, on ne peut pas aller au
> delà?

ça devient progressivement flou...

>Peux t'on avoir le sourire et le visage?
net ?, non....

> Est
> elle autofocus? Peux tu l'utilser sans la lumière
> (position light)?
non, non....

:)



Img 4593 pnrtmh - Eugenol
jack.

25/01/2008 à 22h22

Merci Cingulum,au moins ta réponse est nette ;)

C'est donc un bon compromis pour une utilsation endobuccale, tout dépend de ses besoins...mais on peut aussi avoir recours aux apn pour le reste, même si c'est moins pratique!


cyberquenottes

25/01/2008 à 22h36

on se bigophone demain a midi Jack ???


Pepsi tmi4vp - Eugenol
kartman

26/01/2008 à 12h00

la qualité de l'image pour une camera intrabuccale est tres bonnes mais quel est l'interet de ces cameras face à de la vraie photo avec reflex et tout le toutim.
en deux photos tu as les arcades completes où en isolant chaque dent tu peux zoomer jusqu'à deceler le moindre hiatus passé inaperçu.

ok c'est sur les couts sont pas les memes, et cette caméra peut etre un bon compromis en attendant de se lancer dans de la vraie photo.


003 penrd2 - Eugenol
Cingulum

26/01/2008 à 12h53

La photo buccal n'est pas facile... si on veut bien faire les choses c'est assistante, mirroir, souflette...
Faire 2 photos occlusales et 4 photos laterales pour chaque patient... c'est un peu lourd.

Je suis d'accord avec toi que cela n'a pas vocation à remplacer l'appareil photo...
Pour moi c'est pour voire en direct sur ecran avec le patient les problemes de sa bouche...Joint infiltré, felures, amalgme defectueux, et aussi faire en 1 clic un cliché de tout ce qui pose probleme (carie, etc..) pour mettre dans la fiche patient dans les choses à faire...
c'est pour ça que je ne l'aurais pas achetée pour plus de 400-500E

Pour les bilans, la paro, l'esthétique... rien ne vaut un reflex... :)

Img 4726  custom  iw1xzw - Eugenol

cyberquenottes

26/01/2008 à 12h57

c'est clair qu'une vue occlusale de 17 en photo c'est du gato ...


Utilisateur banni

26/01/2008 à 14h21

Quelqu'un a-t-il réussi à contacter cette société? J'ai envoyé un 1° mail au responsable en lui demandant comment coùmmander depuis la France. Il m'a renvoyé vers le site où j'ai laissé deux mails qui sont restés sans réponse.


cyberquenottes

26/01/2008 à 15h59

regardes dans ta poubelle

le mail arrive avec des caracteres chinois dans le titre et les filtres le bloquent

voili voilou


Utilisateur banni

26/01/2008 à 16h48

cyberquenottes Ecrivait:
-------------------------------------------------------
> regardes dans ta poubelle
>
> le mail arrive avec des caracteres chinois dans le
> titre et les filtres le bloquent
>
> voili voilou


Ah zut! Trop tard, j'ai descendu les poubelles ce matin ;.)
Non en fait, pas de trace de message...Je vais peut être reessayer...


Utilisateur banni

28/01/2008 à 23h40

Bon, c'est encore moi sur ce sujet mais faut dire que je tiens à l'avoir ma caméra!
Alors voilà, j'ai fini par avoir une réponse laconique en qqs mots qui pour moi sont du chinois (ça tombe bien!):

"Annex bank account,Pay the bill, contact me" m'écrit Mr Ping Pong.

Pay the bill, y'a pas de blème, j'comprends qu'il faut payer Bill.
Contact me, j'comprends aussi, mais ça va pas être jojo de discuter avec Mao tse Toung si il jacte comme il scribouille la langue du chat qui expire.
Donc voilà , avant que je lui fasse sonner le portable, j'aimerai savoir si quelqu'un qui a déjà commandé la dite merveille des merveilles veut bien me dire le mode d'emploi de la commande du susdit engin autrement qu'en pékinois...
Chèque en Euros, virement intenational (et multinationalllll comme aurait dit Georges) ou quoi qu'est ce?
Sinon, je passerions voir ma banque, c'est la Sotte cité du Général, ils feront bien un effort en ce moment, non?
"Sans langage commun les affaires ne peuvent être conclues.»
[ Ce Con de Fucius ]

Merci d'avance


12...