Cookie Consent byPrivacyPolicies.comDrole d'image... - Eugenol

Drole d'image...

vincent64

24/01/2008 à 18h05

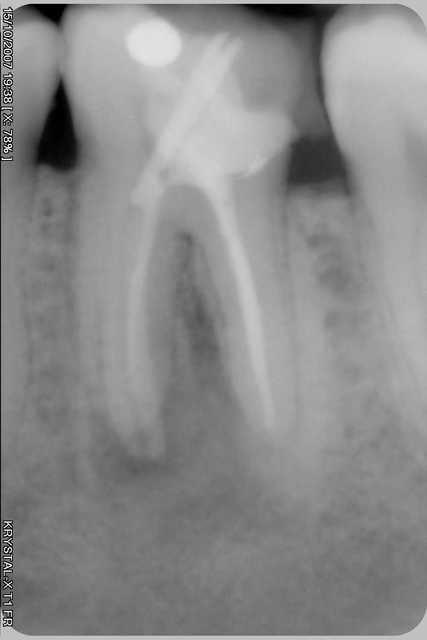
Il s'agit d'une reprise de traitement...
Une idée de ce dont il s'agit...

001 mkckrn - Eugenol
004 t5dcoy - Eugenol

3002 1 yx79qg - Eugenol
ORIOLI

24/01/2008 à 18h18

si tu cherchais l'origine de la fistule, c'est bon tu as trouvé!


tarek bahsoun

24/01/2008 à 20h15

si tu parle de la trainé de pate,je crois que l'excedent de pate a du suivre le chemin d'une fistule,c'est le plus plausible a mon sens


Manolito wom2of - Eugenol
manolito

24/01/2008 à 21h28

cela dit, c'est une belle endo. Finalement, quelle methode d'obturation as tu adopté?


dl

24/01/2008 à 23h00

bien sur ene telle fusée de pâte c'est pas dans les livres mais en envahissant le trajet de fistule ainsi tu es quasi assuré du succés clinique de ton retraitemet


vincent64

25/01/2008 à 10h49

cela fait un mois que j'ai realisé cette obturation, aucune douleur post op, c'etait mon inquietude. Effectivement c'est bien la fistule que j'ai obturé grace au thermafil mais surtout a un exces de pate probablement. La sortie etait pleine de pate...
Ci-joint la radio a un mois.
PS: je met quand meme un peu moins de pate maintenant.

007 swscuw - Eugenol

Img 1392 s73srk - Eugenol
Guttaman

25/01/2008 à 23h31

très bien l'endo. je réaliserai quand même IC + provisoire pour protéger la dent et recréer en même temps le contact en distal.


tourteau

26/01/2008 à 11h58

Pourquoi un inlay core ? faut voir les paroies...
Par contre peut etre une petite elongation en distal ?


Img 1392 s73srk - Eugenol
Guttaman

26/01/2008 à 16h16

Justement parce qu'en distal ça me semble juxta-gingival.


vincent64

28/01/2008 à 00h21

IC en fabrication chez le prothesiste et provisoire a faire pour l'elongation je verrai dans quelques mois comment c'est comporté la gencive...j'ai bon espoir pour l'enssemble.
Mais j'ai quand meme diminué un peu laquantite de pate avec les thermafil ;)


dentatus

05/03/2008 à 21h24

merci beaucoup, j avais la meme image radio, et j m inquietais un peu de ce que c etait, grace a toi j ai compris!
P.S moi c etait pas un retraitement.