Cookie Consent byPrivacyPolicies.comimplant posé trop près d'une dent saine - Eugenol

implant posé trop près d'une dent saine

Cuisinier2 vnbbxx - Eugenol
jeff2

20/03/2008 à 21h44

ca y est j'ai retrouve, un reliquat chez moi en periode de nidation.
La patiente revenait de l'implantologiste. Je fais une radio de control et je vois ca. La patiente refusait toute prothèse.

Implant1 bsrjtd - Eugenol

Avatar ow44t3 - Eugenol
Chicot

20/03/2008 à 23h18

jeff2 Ecrivait:
-------------------------------------------------------
> ca y est j'ai retrouve, un reliquat chez moi en
> periode de nidation.
> La patiente revenait de l'implantologiste. Je fais
> une radio de control et je vois ca. La patiente
> refusait toute prothèse.


tu te moques ?

c'est un montage rassure moi !


Cuisinier2 vnbbxx - Eugenol
jeff2

21/03/2008 à 16h41

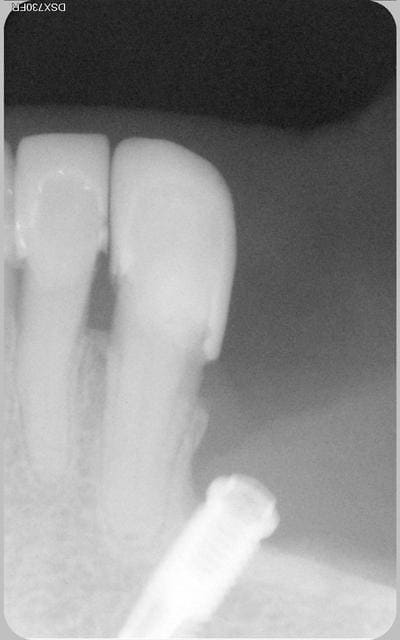
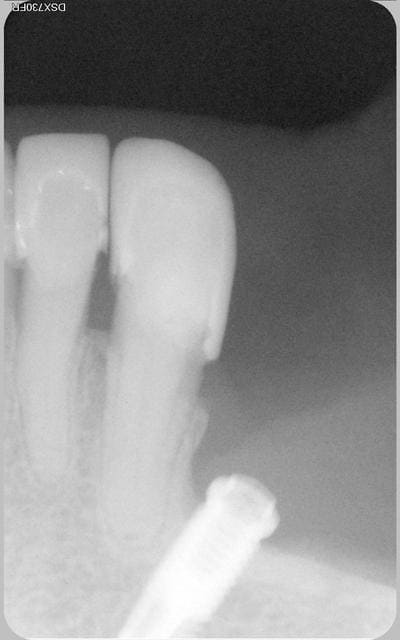
Voilà le bébé
La patiente est revenue pour un soin a faire sur 35 qui est bien vivante.
Satisfaite de son coeff masticatoire.
cela fait excactement 9 ans, que l'implant a été posé.
Bien sur et c'est évident que le confrére implanto ne ferait plus ca maintenant.
La nature a bon dos parfois

14012008 fydsd9 - Eugenol

Avatar ow44t3 - Eugenol
Chicot

21/03/2008 à 23h45

et dire que parfois j'angoisse pour des axes un peu penchés (5 à 10°)...

Quand on voit ça on se dit que tout est possible !!!



Mosquitogif zt3c7k - Eugenol
mosquito

08/04/2008 à 19h35

deux implants dont un découvert fortuitement à la radio gengivo intégré sans vis de cicatrisation depuis a priori plus de 5 ans


Mosquitogif zt3c7k - Eugenol
mosquito

08/04/2008 à 19h37

les radios


Mosquitogif zt3c7k - Eugenol
mosquito

08/04/2008 à 19h40

peut etre


Mosquitogif zt3c7k - Eugenol
mosquito

08/04/2008 à 19h50

en jpeg c est mieux


Mosquitogif zt3c7k - Eugenol
mosquito

08/04/2008 à 20h05

et a la bonne resolution

004j gcrwcr - Eugenol
003j pbmqzs - Eugenol
004j znuvki - Eugenol
003j udhjjp - Eugenol

Cuisinier2 vnbbxx - Eugenol
jeff2

08/04/2008 à 20h19

ca a l'air d'être intégré...


12