Cookie Consent byPrivacyPolicies.comMenaces physiques ......URGENT - Eugenol

Menaces physiques ......URGENT

cyberquenottes

29/02/2008 à 12h26

JeRis Ecrivait:
-------------------------------------------------------

>
> ... les "menaces physiques" sont quand même
> hypothétiques.

j'avais pas osé le dire


fredouille59

29/02/2008 à 12h32

JeRis Ecrivait:
>
>
> ... les "menaces physiques" sont quand même
> hypothétiques.
>

>> Les voies officielles (main courante) ne
> t'éviterons pas un pain.


La main courante te prend peu de temps, ne coûte rien et ne va pas plus loin tant qu'il n'y a pas de raison.
C'est comme les assurances, ça ne sert que quand il y a problème, ça n'empêche pas les accidents mais quand on en a besoin on est bien content de l'avoir fait.


Images qct94b - Eugenol
themumbly

29/02/2008 à 13h44

et une main dans la gueule à cette conne au lieu d'une main courante ce serait pas une sacrée bonne idée?


Wra300x300 gotue6 - Eugenol
hop

29/02/2008 à 14h07

bigzac Ecrivait:
-------------------------------------------------------
> son pays d'origine (Egypte)

tu lui mets ça en lui montrant la direction de la porte du cabinet:


bigzac

29/02/2008 à 15h35

"elle me dit des choses surement désagréables dans une langue inconnue pour moi et me dit qu'elle passera demain à mon cabinet avec son mari pour récupérer ses sous."


... les "menaces physiques" sont quand même hypothétiques. "

Je ne me suis bien sûr pas basé sur ces insultes supposées pour parler de menaces physiques.
Quand je lui ai expliqué que je ne pouvais pas aussi simplement que ça lui rembourser ce qu'elle me réclamait, mais que je devais en réferer à mon service juridique et à la sécu, c'est là qu'elle m'a dit qu'elle voulait ses sous tout de suite et qu'elle allait venir dés le lendemain avec son mari pour les récupérer.
J'ai gagné du temps avec mon message sur son répondeur, mais il faut qu'avant ce week-end je lui rédige sa lettre.
J'ai d'autres choses à faire que d'inventer des histoires comme ça.

Fredouille59 "même si tu as des responsabilités dans cette histoire, celà ne justifie pas les menaces physiques."

Voilà un raisonnement intelligent qui me réchauffe le coeur et que je prefere entendre.




Dr - Eugenol
JeRis

29/02/2008 à 17h11

... pour te rassurer, des menaces physiques j'en ai eu plus qu'il n'en faut, formulées clairement en français, par de vraies racailles de quartiers ... rien ne s'est jamais concrétisé. Heureusement.

De même pour mes confrères, et ceci après plus de 20 ans de sécu. Ca a toujours été le matériel qui prenait des coups, jamais le personnel. Heureusement.


Mais mon pote, s'il pouvait s'amuser, il aimerait bien quand même venir chez toi :)


bouboule

29/02/2008 à 17h11



> Pour ce qui est de la responsabilité civile, ils
> m'ont juste demandé de faire un courrier
> explicatif avec ma version des faits et le plus de
> détails possibles.
> Ma dentiste-conseil, d'ailleurs trés sympathique,
> n'a pas été, à ma grande surprise, aussi stricte
> que certains d'entre vous concernant mon présumé
> "acte fictif". Elle comprend trés bien ma version
> des faits et me conseille plutôt de contacter le
> conseil de l'ordre pour un différent de ce type.
> Si je le souhaitais, elle serait d'accord pour
> annuler la FSE et réclamer le remboursement de
> 75.25 € à la patiente. J'avoue que je ne sais pas
> encore ce que je vais faire, c'est-à-dire
> rembourser une partie ou persister dans mon
> refus.
>



Ta DC conseil a l'air plutot sympa alors à ta place voila ce que je ferai:
Nouveau courrier à ta chieuse où tu détail: taille de la dent XX euros, provisoire XX euros, empreinte XXeuros, boulot de labo XX euros. En gros il ne manque plus que la pose qui doit tourner à peu pres à 25% grand max de la somme totale. Tu lui renvois donc un cheque de 25 % de ce qu'elle t'as versé. Tu lui précise en plus que la pose qui était prévue initialement n'ayant pu se faire tu es contraint de demander l'annulation de la FSE aupres de ton DC, et que cette annulation entainera une demande de remboursement des sous qu'elle a touché de la part de la sécu. Puis bla bla de politesse et adieu madame!
Et la si elle est pas conne elle comprendra que c'est pas top pour elle>>>>> soit elle revient en te demandant de finir tu pose et ADIEU, soit plus de nouvelles et tu peux etre sur qu'elle racontera à tout ses copains chiant comme elle que son dentiste est trop nul!!!!


A l'inverse si tu te laisses marcher dessus tu risques de voir ses petits copains venir comme elle chez toi comme au McDo...


docdent

29/02/2008 à 17h42

bouboule Ecrivait:
-------------------------------------------------------

> A l'inverse si tu te laisses marcher dessus tu
> risques de voir ses petits copains venir comme
> elle chez toi comme au McDo...


Et le McDo ils adorent cela...



bigzac

29/02/2008 à 19h08

Merci Bouboule,
je crois que je vais choisir ta version : lui rembourser une partie, quelle que soit la somme, je m'en fous un peu en fait. Puis lui faire réclamer les sous par la sécu, et sortir l'acte de mon SNIR.
C'est surtout pour le principe de ce qu'elle a fait que je n'étais pas d'accord avec ceux du forum qui me conseillaient vite de tout rembourser, et de m'estimer heureux en plus de ne pas être plus sanctionné pour ma malhonneteté ! :

"""Tu lui rembourses sa couronne et basta. Non seulement tu risques le bourre-pif du mari mais aussi celui de la Sécu..."""


plouf

29/02/2008 à 21h57

Tu as la chance d'avoir un CD conciliant.

Par chez moi, c'est une bonne façon de boire la TASS.


bigzac

01/03/2008 à 00h58

Pour ceux que l'histoire interesse encore, je vous montre la lettre que j'ai rédigé ce soir à l'attention de ma patiente. Je la posterai demain (en RAR) avant de partir oublier tout cela à la montagne pour une semaine. Je vous informerai à mon retour de l'éventuelle réaction de la partie adverse !




Madame,

Je vous écris comme convenu afin de régler le différend qui nous oppose concernant la pose d’une prothèse dentaire.
Cette prothèse dentaire a été réalisée en novembre dernier, et a été réglé par vos soins le 29/11/07; le même jour, une feuille de soins électronique a été adressée à la sécurité sociale dans le but d’obtenir le remboursement de 75,25 € correspond à la codification d’une couronne prothétique dentaire.
Vos absences et annulations répétées à vos rendez-vous à mon cabinet ont fait que la pose de la couronne n’a pas pu être effectuée. Il est donc normal que je vous rembourse la part du travail correspondant à cette étape du traitement.
Depuis votre demande de remboursement, après vos soins faits à l’étranger, j’ai également contacté le dentiste-conseil du Val de Marne afin de lui exposer les faits. Il est d’accord pour que la feuille de soins du 29/11/07 soit annulée, et cela de façon à permettre un remboursement par mes soins d’une partie de votre règlement.

Les différentes étapes du traitement de votre dent, qui a couté 580 €, ont donc été les suivantes :

- dépose de votre ancienne couronne métallique 50 €
- préparation de la dent support 50 €
- réalisation d’une couronne provisoire 50 €
- prise d’empreinte 40 €
- réalisation de la couronne céramique au laboratoire 100 €

Etape non effectuée : pose de la couronne en bouche 290 €.

Cette somme est bien évidemment exagérée par rapport à l’acte qu’elle représente, mais elle fait preuve de ma bonne volonté à régler ce litige.
Concernant les autres soins commencés dans votre bouche, en particulier sur les dents en haut à droite, je vous fais cadeau des sommes dues correspondantes car ces soins ne sont pas tous terminés.
Je joins donc à ce courrier un chèque de 290 €, en vous souhaitant de ne plus avoir besoin de mes soins pour vos dents.
Recevez, Madame, mes salutations distinguées.



Si certains sont encore devant leur écran ce soir, je serai ravi d'avoir leur avis et leurs critiques avant que la lettre ne soit postée.

Merci.


Xjphza7eguwv295wrsgcye3qg2mq - Eugenol
rockblues

01/03/2008 à 01h04

Moi j'enlèverai la phrase suivante "Cette somme est bien évidemment exagérée par rapport à l’acte qu’elle représente".
Tu perds en crédibilité.
(enfin, à mon avis).


bigzac

01/03/2008 à 01h13

D'aprés toi, dois-je retirer toute la phrase ou laisser la fin ?


Xjphza7eguwv295wrsgcye3qg2mq - Eugenol
rockblues

01/03/2008 à 01h18

Tu peux en laisser la fin, ça n'en aura que plus de force.


bigzac

01/03/2008 à 01h21

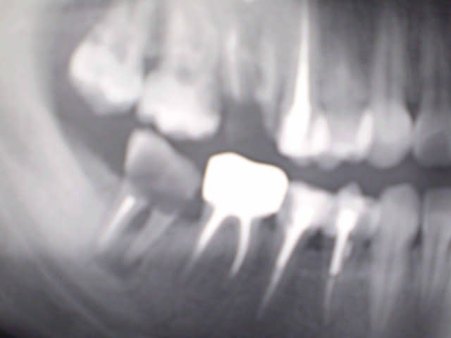
Avec tout ça, j'en avais oublié les photos.
En fait, c'était un vrai cas de merde. Si j'avais dû le finir, je suis pas sûr que j'aurais obtenu quelque chose de valable.
Ils sont fort ces Egyptiens !!! Plus que les Hongrois ?


bigzac

01/03/2008 à 01h25

je réessaie pour les photos

P2290048 copie jneari - Eugenol
P2290049 copie ymmubu - Eugenol
P2290047 copie ge792e - Eugenol

PV544

01/03/2008 à 02h18

juste une remarque : dans ta lettre tu détailles le tarif des différentes prestations : dépose ancienne couronne etc...à la charge de la patiente MAIS as-tu fournis un devis aussi détaillé avant le début des actes ?

Je laisse le soin aux procéduriers de dire ce qu'ils en pensent, mais je pense qu'il y a là encore matière à "dispute " avec ta patiente, non ?

Du genre : "je n'ai jamais signé un devis comme ça ! J'ai signé un devis de 580 euros pour une couronne, la couronne, elle est pas posée, la dentiste, elle doit mi rembourser 580 euros"



Et je supprimerais ces deux phrases :

"
Cette somme est bien évidemment exagérée par rapport à l’acte qu’elle représente, mais elle fait preuve de ma bonne volonté à régler ce litige.
Concernant les autres soins commencés dans votre bouche, en particulier sur les dents en haut à droite, je vous fais cadeau des sommes dues correspondantes car ces soins ne sont pas tous terminés. "

Faut pas faire de cadeau !! Elle va y prendre goût !!


024 vownvo - Eugenol
annie

01/03/2008 à 05h22

je ne sais si j'ai tres bien suivi,mais je lui dirais que sa couronne est faite et prête a être scellée ,que seul le travail prévu sur ses dents du haut a retardé son scellement définitif
Le fait qu'elle décide de continuer sa prothèse ailleurs est son droit mais que cela ne te concerne pas et ne doit pas te pénaliser sur le travail effectué
que tu l'invites a prendre un RV pour le scellement définitif de cette CR,
Qu'en cas de refus tu lui remettras la cr ( avec signature de décharge) déduction faite d'une somme forfaitaire pour ce scellement,en lui expliquant les risques d'un scellement tardif

Qu'elle a signé un devis??? qui valait acceptation, que le refus de continuer les soins est sa volonté et pas la tienne ,et qu'il n'y a aucune raison valable pour obtenir le remboursement d'un travail réalisé

Si ton DC n'a pas trouvé qu'il y avait faute a signer alors que ce n'etait pas posé,je pense que tu ne te trouves plus en etat de faiblesse ( mis a part les menaces physiques)

soit tu crains ces menaces et tu la rembourses en fonction de ce que tu crois être ses désirs pour que ce conflit s'arrete
soit tu ne les crains pas,et tu t'assures aupres de ton DC que ma proposition est valable et sans risque et tu refuses de la rembourser ou tu la sommes de revenir la sceller
Si tu pars en vacances,tu peux,avant de prendre décision,reflechir un peu plus longtemps,la prevenir que tu dois t'absenter,et lui proposer de regler ce litige a ton retour,cela lui laissera le temps de se calmer
Attention aux écrits,et aux fautes qu'on peut y faire,par exemple la déclinaison d'un devis que tu ne lui as pas fait signer ,le fait de reconnaitre que tu as signé sans sceller etc...

j'ai eu des problèmes équivalents,mais sans être réglée! alors pour recuperer quand la feuille est signée pour être gentille,c'est rapé! faute que je ne fais plus!
bon courage!

ps;Si tu tiens a envoyer cette lettre
** et cela de façon à permettre un remboursement par mes soins d’une partie de votre règlement.**

même moi je n'ai pas compris;) sois plus clair!!


plouf

01/03/2008 à 08h42

Naturellement, tu fais comme tu veux. Cela dit, si tu tombes vraiment sur une emmerdeuse, tu vas au devant des ennuis. Tu tends toi-même le bâton pour te faire battre.

Tu penses avoir raison, alors tu as raison. Mais j'aimerais savoir une chose depuis combien de temps exerces-tu ?


bigzac

01/03/2008 à 11h48

Bonjour à tous ceux qui sont encore là ce samedi matin.
Je vais essayer de répondre rapidement à diverses questions que vous vous posez, et ce avant de prendre la route ce midi.
Tout d'abord concernant la patiente et mon environnement : je suis dans la proche banlieue parisienne, mais pas dans un quartier sensible. Il n'y a pas de "racailles" aux alentours et ma patiente n'en fait pas ( ou plus ) partie. Disons plutôt qu'elle a fait un mariage "heureux", alors qu'elle n'a qu'une vingtaine d'années, avec un Egyptien qui fait des "affaires" et du BTP entre son pays et la France. Je ne le connais pas mais d'aprés ce que j'ai compris, il a peut être pas tout à fait le même age qu'elle. C'est lui qui lui a demandé de soigner ses dents car il ne "supportait plus son haleine" !. Elle est, sans méchanceté de ma part, d'une éducation et d'une intelligence relativement basses. Elle a les moyens de soigner ses dents, ça elle me la répété souvent, mais n'a pas de mutuelle.
Pour répondre à Plouf, j'exerce ce beau métier depuis plus de 15 ans déja, dont 8 dans mon cabinet actuel, m'étant installé aprés des collaborations, CES et DU divers.
Je travaille dans une relation de confiance particulière avec mes patients qui va en effrayer plus d'un et m'amener son lot de critiques que j'assume pleinement : c'est à dire que je ne prends trés rarement des accomptes, mais surtout que je ne pourrais pas vous sortir un seul devis signé par un patient à mon cabinet ! Je donne bien sur toujours un devis au patient et je m'occupe souvent moi-même de contacter sa mutuelle mais je n'ai jamais senti le besoin "d'engager" ainsi contractuellement le patient. Et bien depuis mon installation, je n'ai à déplorer aucun litige, ni même aucun impayé.
Mais j'avoue que dans ce cas précis, ça ne joue pas en ma faveur.
Quand je précise dans mon message originel que la patiente ne m'a encore rien versé jusqu'à la FSE, il faut bien comprendre que je ne lui ai rien demandé.
Merci Annie pour ta réponse nocturne, mais elle me met dans un certain embarras : dois-je persister dans cette sensation que j'ai de n'avoir pas grand chose à me reprocher ? ou dois-je accepter tous les torts comme certains me le demandent ? Jugez-vous mon attitude malhonnête ou incorrecte? Ai-je fait une faute clinique ?
La poste fermant à midi, j'iamerais quand même lui envoyer un RAR avant de partir.
Une dernière précision qui a son importance : même si j'ai mis certains messages sur le ton de la plaisanterie, et que certains ont pensé que j'exagèrais l'affaire, je tiens quand même à dire que le harcèlement qu'a reçu mon secrétariat en quelques jours, et le ton de ma patiente quand je l'ai eu directement au téléphone, ne permettent pas de mettre un doute sur la vraie menace physique que l'on m'a fait ressentir si je ne rendais pas tous les sous, et ce trés rapidement.
Je ne suis donc pas sûr qu'en rendant même la moitié de la somme comme je voulais le faire, cela permette de mettre fin à ce litige.
Merci de vos avis rapides.

Une dernière chose :

Annie :** et cela de façon à permettre un remboursement par mes soins d’une partie de votre règlement.**

même moi je n'ai pas compris;) sois plus clair!!


Ma première version était en gros : annuler la FSE, et demander à la sécu de vous réclamer l'indu de 75.25 €. Mais j'ai préféré lui en laisser la surprise. J'ai mis l'autre phrase car je considere que si l'acte n'est pas annulé, mon SNIR de 2007 sera injustement majoré.


fredouille59

01/03/2008 à 12h14

Je n'ai pas à juger si ta faute est clinique, je n'ai pas géré le cas, et de plus ça n'a rien à voir avec ta question à mon avis.
Tu as commis une faute administrative, ça j'en suis sur. Je ne pense pas que ce soit par malhonnêteté mais par excès de confiance et comme on dit "trop bon, trop c.n".
Tu n'as pas de devis détaillant la provisoire et tu ne peux pas la compter, même si le paiement par la patiente vaut quelque part accord de sa part.
A ta place je ferai comme l'a gentiment conseillé ton DC, elle prélève les 75€ et tu rembourses.
Points positifs :
- tu dors mieux
- tu te débarasses d'une patiente casse bonbons
- tu n'as plus rien à voir avec un traitement qui te paraissais scabreux
- tu as une couronne en modèle de démonstration à montrer aux patients pour les convaincre d'en faire plein
- tu as appris une leçon sur le fait de ne pas faire de devis
Mais ce n'est que mon avis.


tanh

01/03/2008 à 12h43

bigzac Ecrivait:
----------------------------------------------ux",

> Je travaille dans une relation de confiance
> particulière avec mes patients qui va en effrayer
> plus d'un et m'amener son lot de critiques que
> j'assume pleinement : (...) mais surtout
> que je ne pourrais pas vous sortir un seul devis
> signé par un patient à mon cabinet ! Je donne
> bien sur toujours un devis au patient et je
> m'occupe souvent moi-même de contacter sa mutuelle
> mais je n'ai jamais senti le besoin "d'engager"
> ainsi contractuellement le patient. Et bien depuis
> mon installation, je n'ai à déplorer aucun litige

et bien voilà le 1er !

Pas faire de devis signé = chercher les noises...et aboutit souvent à avoir le nez dans la luzerne...
C'est quant même le b a ba : quand je pense qu'à la fac : interdiction absolue de commencer une prothèse si pas de devis signé ! Et maintenant : il y a un gros panneau : un accompte de 30% est exigé avant début des travaux.

Bon passes de bonnes vacances !


Spriford

01/03/2008 à 13h28

Chacun gère son travail comme il l'entend... Moi non plus je ne fais jamais signer de devis, j'ai confiance.
Par contre je ne fais payer et je n'envoie la FSE que quand le travail est fini et le patient content!
Je n'ai jamais demandé d'acompte.
L'année passé un patient un peu laxiste a tenu a me régler avant la pose, prévue la séance suivante. J'ai bloqué la fse et mis son chèque en attente . La dent provisoire est sans doute correcte puisque le patient n'est jamais venu se faire poser sa ccm! Elle finira bien par se desceller cette dent provisoire! Le chèque attend tjs...

Bon j'ai pas une cabinet-usine, ce serait impossible de multiplier ce genre de fantaisie.

Je comprends l'embarras de bigzac, il a affaire à des gens pas très respectueux qui ont l'habitude de marchander...


picouick

01/03/2008 à 14h02

juste pour te dire qu'il me semble avoir déjà lu dans la lettre du conseil de l'ordre ,un article expliquant qu'un praticien avait eu gain de cause au sujet d'une couronne facturée mais non posée;le devis était signé;


Dent masqu e petite f0pbaj - Eugenol
dudule

01/03/2008 à 16h31

Si tu n'as pas encore envoyé ta lettre, il faudrait impérativement que tu précises que tu te tiens naturellement à sa disposition pour lui donner l'adresse de confrères à même de pouvoir poursuivre les soins.
C'est faux cul, d'autant qu'elle ne te rappelera jamais plus mais cela permet de respecter le code de déontologie qui précise que tu dois t'assurer de la bonne continuité des soins.
C'est purement légal pour qu'au cas où ta lettre arrive un jour à l'ordre, tu puisses montrer ta volonté de rester déontologique.