Cookie Consent byPrivacyPolicies.comRésection Apicale - Eugenol

Résection Apicale

Chabou

02/03/2008 à 19h50

Dans la série, "je me pose des questions, vous pouvez sûrement m'aider à trouver une réponse".........

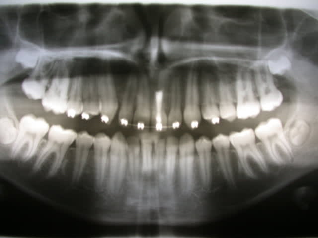
Patient de 14 ans, Classe II 1 par rétrognathie mandibulaire avec surplomb horizontal de 6mm. Pour n'avoir à déplacer 21 qu'un minimum, j'ai essayé de traiter la classe II avec un activateur mais le résultat a été médiocre. J'ai ensuite mis en place une mécanique de classe II sur multiattaches haut et bas, en souhaitant une avancée de l'arcade inférieure, mais, comme on se l'imagine, il y a aussi eu recul des secteurs latéraux supérieurs et il faudrait maintenant rétracter le bloc incisif supérieur.

Question: y a-t-il un risque (au niveau apical s'entend) à déplacer une incisive qui a subie une résection apicale?

Merci d'avance pour vos réponses.

Dscn8860 e0uegn - Eugenol

Mon avatar msn jgkit1 - Eugenol
Ewing

07/03/2008 à 05h33

De toute façon, c'est trop tard !! Tu ne vas pas la laisser toute seule à cet endroit ? Il fallait y penser avant, voire prévenir ton patient.

Il y a toujours un risque de déplacer ce type de dent traitée par résection apicale.
Y-a-t'il eu une obturation rétrograde ?
Y-a-t'il un granulome à l'apex? Seul un cliché rétroalvéolaire te le dira.
Symptômes cliniques ? Si il y en a !!

etc...

Tiens nous au courant. C'est un bon sujet d'article pour Flaggada.

Et bonne chance ;)