Cookie Consent byPrivacyPolicies.comElle ne mange plus de puis 3 jours - Eugenol

Elle ne mange plus de puis 3 jours

Spriford

03/03/2008 à 22h26

tellement qu'elle a mal... depuis vendredi elle a mal dans la bouche, des ganglions, de la fièvre ( autour de 38), son medecin généraliste lui a donné de l'éludril et du paracétamol et lui a parlé de grippe.
Avant tout allait bien, aucun facteur déclenchant évident, pas de pathologie autre, aucun traitement, elle ne fume pas, bonne hygiène...
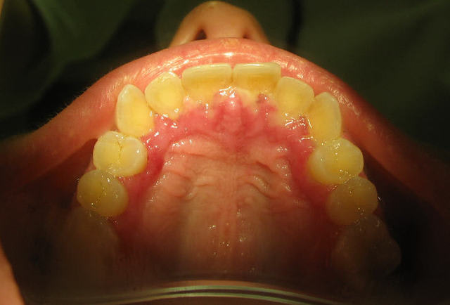
Je la vois aujourdh'hui (pour la première fois) en urgence et découvre ça (je l'ai pris en photo) et des aphtes sur les faces intérieures des joues et sur la langue, l'ensemble des gencives rouge luisant. Ce qu'on voit en gris ce n'est pas du pu mais de la gencive nécrosée.

Gingivite ulcéro-nécrotique ? bon !

Mais pourquoi? comment?

Je n'ai touché à rien et lui ai fait une ordo d'amoxicilline (1G /j/6j)et la revois dans 3 jours. Impressionnant.

Qu'auriez-vous fait à ma place?

Urgence de ce matin vcbc2t - Eugenol

Squash u44zd8 - Eugenol
steph

03/03/2008 à 22h33

C'est possible, la GUN est caractérisée entre autre par une pseudo-membrane grise qui recouvre les gencives.
Déclenchée par le stress, une intense fatigue.
Mais le traitement en urgence c'est le métronidazole, donc Birodogyl.


Spriford

03/03/2008 à 22h37

merci pour ta réponse éclair! Je lui ai dit que s'il n'y avait pas de guérison dans 3 jours, on changerais d'antibio. J'étais pas trop sur de moi...


Coccinelle mgl0qv - Eugenol
murielle

03/03/2008 à 23h29

Moi, je penserais plutôt peut-être à une primo-infection herpétique.

En voici une en photo ci-joint.

Et j'aurais de toutes façons prescrit de la xylocaïne visqueuse à prendre une cuillère à café juste avant le repas de manière à ce qu'elle puisse s'alimenter un minimum.

Ensuite, j'envoie à quelqu'un qui a plus de recul que moi en patho...

Dscn0004 tpp8tz - Eugenol
Dscn0007 p2axwf - Eugenol

Spriford

03/03/2008 à 23h44

Oui, ça se défend...
Mais à qui envoyer ? Un dermato ? Un stomato ?
La pauvre, ça fait déjà 2 nuls qu'elle rencontre je voudrais au moins lui éviter un 3ème...
J'avais un chouette stomato dans mon quartier,il vient de mourir.

Zut et zut, je ne sais pas quoi faire.


phil

04/03/2008 à 09h26

possibilités:

GUNA
Herpes
Zona( j'ai déjà vu en assoc avec signes généraux mais en général les patients sont au courant)
penser au sida aussi
cocaine

un microscope est utile pour voir si il n'y a pas une charge violente de spirochètes et de fusospirillés ce qui oriente plus vers une GUNA.

le métronidazole est effectivemment intéressant mais je conseille de faire en plus un test microbio( PCR ) car j'ai déjà eu pour une patiente du Aa associé et lui nécessite plutôt de l'amox .

je préfère le flagyl pendant 14 jours 1,5 g/ jour autrement au birodogyl...

dans tous les cas renforcer le contrôle de plaque local . brosse ultradouce
detersion des lésions à l'eau oxygénée ou la bétadine
xylocaine oui si douloureux pour soulager au départ( dynexan)

dans tous les cas considérer ces activités comme des signes de risque sur le plan paro . Une surveillance étroite ensuite.
rechercher les facteurs de risque associés ( tabac, consommation de produits type cocaine ...pour moi il y a des rapports ) facteur stress,facteur familial etc.....

éviter toute manoeuvre de type détartrage ou sondage tant que c'est aussi actif


Spriford

04/03/2008 à 11h02

Un grand merci, c'est très clair.
Le moral parfois ne tient qu'à un fil...
Je n'abandonne pas ma patiente, je vous tiendrai au courant.


Canin

04/03/2008 à 21h39

infection herpétique => adresser au dermato et zelitrex per os


Spriford

05/03/2008 à 09h16

hum... ça se précise.
J'ai appelé la patiente hier soir , elle ne va pas mieux, (normal vu ce qui a été dit plus haut) . Je lui ai conseillé d'aller voir un dermato.

J'ai encore dû passé à travers les info sur l'herpes: Je n'ai aucun souvenir de formation quelconque à ce niveau. Pourtant, à voir le site (http://www.herpes.asso.fr/gp/1.php) ça concerne beaucoup de monde... D'ailleurs, la forme buccale n'est pas du tout évoquée à part le bouton de fièvre que tout le monde connait.

Cela devrait-il faire partie de nos compétence, les recherches d'herpes par analyse (lesquelles ???) et son traitement ?


Canin

05/03/2008 à 21h30

ça reste dans notre compétence d'après le code de la santé publique mais mon avis c'est qu'on ne fait bien que ce qu'on fait tous les jours.

D'après moi, le dentiste a surtout un rôle de dépistage après pour la prise en charge ça se discute en fonction des cas.

Pour les tests, c'est très simple tu envois le patient au labo du coin qui est équipé pour faire le prélèvementsur des lésions ou vésicules récentes. Tu fais l'ordonnance en indiquant "recherche de virus herpès".


Spriford

05/03/2008 à 22h30

Tu es royal! :-))
Sincèrement merci.


Barbatruc

06/03/2008 à 12h22


> Et j'aurais de toutes façons prescrit de la
> xylocaïne visqueuse à prendre une cuillère à café
> juste avant le repas de manière à ce qu'elle
> puisse s'alimenter un minimum.
>

Personnellement j'éviterais de prescrire de la xylo visqueuse avant les repas, afin d'éviter une fausse route par l'anesthésie du carrefour aero-digestif.

Par contre alimentation molle et froide.



024 vownvo - Eugenol
annie

08/03/2008 à 18h57

juste un complément de tout ce qui a été dit,une vérification de l'occlusion pour s'assurer qu'il n'y ait pas un contact iatrogène?


Dent masqu e petite f0pbaj - Eugenol
dudule

08/03/2008 à 19h52

Moi je pense que le diagnostic et le traitement des patho buccales sont du ressort du chir dent (qui s'est formé pour ça).
Si tu as à faire à une primo infection herpétique, le diagnostic est bien sur différent mais dans tous les cas si tu as déjà prescrit du BIRODOGYL (qui fonctionne très bien sur les GUN) tu as fait le maximum car la primo infection herpétique ne nécessite de toute façon pas de ttt particulier chez un patient non débilité (les médoc type aciclovir ou valaciclovir n'ont pas de façon sure d'action une fois l'infection établie) si ce n'est antalgique, antipyrétique et antiseptiques locaux.
Tout rentrera au maximum dans l'ordre en 15 jours donc attends.
Je précise que je ne viens de donner que les grands principes du traitement qui ne valent qu'avec un examen clinique approprié.
Je ne vois pas l'intérêt d'un examen de labo puisqu'il ne modifiera pas la conduite à tenir. C'est coûteux pour rien.


Spriford

08/03/2008 à 21h27

Pour répondre à annie, non, il n'y a pas de morsure des incisives inférieures dans le palais, aucun élément traumatique déclenchant.

J'ai revu la patiente hier soir, elle n'avait plus de fièvre, les gencives n'étaient plus rouge vermillon fluo,elle n'avait plus de "glandons" (elle est italienne et c'est une contraction des mots glande et ganglion!!!), plus du tout d'aspect nécrotique en arrière des incisives sup, mais encore un liserai de gencives gonflées et décollées des dents, enfin une gène nettement moins importante. Elle n'a pas pris RV chez un dermato, voyant que cela allait mieux.

Sachant qu'elle n'a jamais eu de crise d'herpes, et qu'elle était très inquiète d'en avoir, je lui ai proposé de faire une recherche de labo. Et pour répondre à dudule,que je remercie aussi pour sa réponse, s'il s'agit bien d'un herpes (primo-infection), c'est peut-être bien pour elle de le savoir , de se faire suivre et de protéger ses proches pour éviter la contagion.


Dent masqu e petite f0pbaj - Eugenol
dudule

09/03/2008 à 01h45

- Related Articles, LinksDolar N, Serdaroglu S, Yilmaz G, Ergin S.
Seroprevalence of herpes simplex virus type 1 and type 2 in Turkey.
J Eur Acad Dermatol Venereol. 2006 Nov;20(10):1232-6.

- Malvy D, Ezzedine K, Lançon F, Halioua B, Rezvani A, Bertrais S, Chanzy B, Malkin JE, Morand P, De Labareyre C, Hercberg S, El Hasnaoui A.
Epidemiology of orofacial herpes simplex virus infections in the general population in France: results of the HERPIMAX study.
J Eur Acad Dermatol Venereol. 2007 Nov;21(10):1398-403.

Le premier article conclut comme chacun le sait que la prévalence de l'infection de HSV1 se situe entre 85 et 99% selon les populations étudiées... et le deuxième article permet de mettre en évidence que seul 1/3 des patients infectés ont des manifestations cliniques... soit 2/3 de patients porteurs sains.

En conclusion : Sauf à lui avoir dit immédiatement lors du diagnostic de prendre garde aux risques de contamination si l'infection s'avère être une primo-infection herpétique, pourquoi aujourd'hui lui faire peur alors qu'elle risque juste d'être infectée comme plus de 90% de la population.
La médecine ne se pratique pas avec des examens complémentaires dont on ne connait pas l'interprétation mais avec un examen clinique permettant de poser avant tout chose le diagnostic.
Je ne dis pas cela pour être désagréable mais pour insister sur la nécessité de connaître les bases médicales afin d'éviter même par bonne conscience d'affoler inutilement nos patients et de générer un stress et une anxiété inopportune.

Je redis donc pourquoi demander un examen pour le plaisir sachant qu'il n'apportera aucune aide au diagnostic et qu'il ne modifiera pas la conduite à tenir ?


Spriford

09/03/2008 à 17h39

Si j'ai ouvert ce post, c'est que précisément, ce cas me posait problème. Cette patiente est arrivée en me demandant de la soulager, j'ai vu une nécrose, j'ai pensé antibio (et c'est rarissime que j'en prescrive) ; En même temps,le medecin qui l'avait vue , avait pensé grippe...
D'où ma question: qu'auriez-vous fait à ma place?
Puisqu'il s'agissait d'une pathologie autre qu'une gingivite classique ou une carie banale , que nous savons généralement diagnostiquer et soigner, j'étais perdu.
L'attitude qui consiste à faire des ordonnances sans savoir pourquoi ne me satisfait pas.

« L' examen clinique devrait permettre de poser avant tout chose le diagnostic. »... Soit! mais la patiente se disait inquiète et pas confiante dans ce qu'avait dit le medecin , vu l'état infectieux de ses gencives et l'importance de ses ganglions... Etait-ce cette manifestation locale qui entrainait les symptomes généraux ou l'inverse ? Comment faire ce diagnostic ??? Fallait-il en faire un ? Fallait-il adresser ? Et à qui ? (Depuis qu'un copain de mon fils a fait, suite à l'extraction d'une dent de lait, une surinfection qui s'est révélée être le premier symptôme d'une leucémie, je suis sur le qui-vive, et me demande toujours ce qui se cache derrière ces caprices gingivaux.)

« pourquoi demander un examen pour le plaisir sachant qu'il n'apportera aucune aide au diagnostic et qu'il ne modifiera pas la conduite à tenir ? » ...
Et bien pour m'apporter la réponse est-ce un herpès?, savoir éventuellement le reconnaitre la prochaine fois si la réponse est positive, apporter une réponse à la patiente et pouvoir la diriger chez qq'un de compétent.
Maintenant, si une analyse « n'apportera aucune aide au diagnostic », je renonce!
J'espère toutefois que cela ne coutera pas trop cher à la sécu ( je n'ai aucune idée du coût de l'analyse ).


Dent masqu e petite f0pbaj - Eugenol
dudule

09/03/2008 à 20h52

Arretons de demander l'avis des généralistes qui ne connaissent rien à la stomato... Ils n'ont en tout et pour tout qu'une heure de cours sur la médecine buccale pdt toutes leurs études.
En revanche, les chir dent ont un nombre considérables d'heures de patho, nous sommes donc les plus à même de poser les diagnostics et de réaliser les prises en charge pour les patho locales.
Si tu as quelques lacunes ou que tu ne souviens plus (ce que je peux comprendre) voici quelques réf qui pourront t'être bien utile :
- Pathologie de la muqueuse buccale (Henri Szpirglas - Lotfi Ben Slama)EMC Elsevier
- Atlas des maladies de la muqueuse buccale (JJ Pindborg) Masson
- Dermatologie buccale (L. Vaillant - D Goga)Doin

La recherche par culture virale du contenu des vésicules doit s'effectuer les premiers jours puisqu'il faut récupérer le contenu des vésicules qui rapidement éclatent.
La seule utilité de cet examen est chez un patient immunodéprimé chez qui l'infection ne régresse pas en une dizaine de jours avant de mettre en place un traitement général par valaciclorir... mais je ne crois pas que nous soyons dans ce contexte.


Bjorn

09/03/2008 à 21h26

dudule Ecrivait:
-------------------------------------------------------
> Arretons de demander l'avis des généralistes qui
> ne connaissent rien à la stomato...


C'est sûr.
Faut arrêter.


Spriford

26/03/2008 à 14h41

Recherche d'infection herpétique négative...


La patiente est totalement guérie. Elle n'aura eu que 6 jours d'amixicilline à raison d'un gramme par jour.(la semaine dernière à une journée SFPIO, j'ai ressorti mon cas: il m'a été répondu que j'aurais pu prescrire jusqu'à 3 g d'amoxi)
Je l'ai re-questionnée: c'est une femme sportive de 38 ans qui rentrait de 3 jours de ski, aucune notion de stress , tout va bien pour elle.

La question reste entière.


Spriford

26/03/2008 à 14h49

J'oubliais : la radio prouve que l'état parodontal est habituellement sain.

Rétroalvéolaire 19 mars 08 kyskgi - Eugenol

01 ukhwbq - Eugenol
Bobby

26/03/2008 à 21h04

Salut,
ce qui m'étonne dans ta prescription de base, c'est de n'avoir prescrit qu'un gramme par jour, ce qui, le Clamoxyl étant prescit à tour de bras, ne représente pas grand chose.
L'association Clamoxyl Flagyl marche bien aussi sur les GUN, à raison de respectivement 3g et 1.5 g/24h.


Spriford

26/03/2008 à 22h40

Je suis toujours très timide dans mes presciptions, je n'ai pas laché la patiente dans la nature, le lendemain je la rappelais (elle n'allait pas plus mal!) et 3 jours après elle avait RV, (elle allait nettement mieux!); je pouvais doubler la dose ou changer l'antibio à tt moment, si besoin.
En fait, elle m'a dit un truc qui m'a fait du bien à moi (!!) c'est que ce qui lui a fait le plus de bien c'est ma gentillesse !!!

Bon! quand on connait un peu l'effet placébo des médicaments, on relativise.
(A lire : "Le mystère du placébo" de Patrik Lemoine)


163 uopeey - Eugenol
pierres

04/09/2008 à 13h53

Spriford Ecrivait:
-------------------------------------------------------
> Recherche d'infection herpétique négative...
>
>
> La patiente est totalement guérie.

je viens d'avoir le même cas que toi chez un enfant de deux ans. Ayant un microscope au cabinet, j'ai prélevé en palatin: flore constitué de petits bacilles, pmn et sans doute candida.
Le médecin généraliste l'avait déjà placé depuis la veille sous zovirax (et la pédiatre sous bicar+hextril+fongizone).

D'où ma question sur ta recherche: était ce un examen des vésicules ou une recherche des anticorp?
En cas de suspiçion de primo infection, j'ai vu dans le marmasse qu'il conseillait une analyse immédiate puis à 15 jours afin de voir une éventuelle modification des Ac validant la primo infection!


Spriford

05/09/2008 à 20h32

Lorsque j'ai fait faire le prélèvement, c'était 8 jours après le déclenchement de cette infection.


Je reproduis le papier du labo:

VIROLOGIE
Nature du prélèvements : Bouche
Infection herpétique (isolement viral):
-résultat préliminaire: Après une semaine de culture, la recherche est négative. Le prélèvement reste en observation pendant 15 jours, au terme desquels une réponse définitive vous parviendra.
- résultats à 15 jours: Après 15 jours d'observation, le recherche est restée négative.

3 mois après cet épisode douloureux, je l'ai revue à nouveau pour une irritation des gencives, elle est arrivée très vite, craignant le même problème. C'était en juin, elle était fatiguée et m'a avoué qu'elle supportait très mal son séjour forcé en France dû au boulot de son mari. Donc, la composante "stress" d'une GUN m'avait bel et bien échappée! Quelques bain de bouche en sont venu à bout, cette fois, les vacances ont dû faire le reste. La pano ne montrait pas de problème.


12