Cookie Consent byPrivacyPolicies.comMicroabrasion-éclaircissement - Eugenol

Microabrasion-éclaircissement

misskenzo

21/03/2008 à 00h27

Bonjour!
En pleine thèse en ce moment, j'suis à la recherche de vos cas cliniques de microabrasion et / ou éclaircissement au fauteuil...Et j'ai besoin de votre expérience et de votre avis sur les produits qui vous plaisent,et qui vous ont donné de bons résultats...
MERCI!!


Squash u44zd8 - Eugenol
steph

21/03/2008 à 12h28

Il y a quelques protocoles où mes taux de succès sont de zéro ; le coiffage pulpaire (direct ou indirect) et la micro-abrasion.
J'ai jamais eu les résultats escomptés.
Je sais pas si je t'ai aidé là?


bekasse

24/03/2008 à 15h45

Tu m'as rassuré steph
Pourcentages equivalents ou si peu mieux que c'est anecdotique


Images 1 qtgoxf - Eugenol
ciwil

24/03/2008 à 23h19

Opalustre (ultradent), c'est une pâte à base d'acide chlorhydrique et de péroxyde d'hydrogène, étalée avec des cupules chargées de silicium je crois.
il permet d'éliminer les colorations superficielles et de blanchir.


Mosquitogif zt3c7k - Eugenol
mosquito

09/04/2008 à 13h25

steph Ecrivait:
-------------------------------------------------------
> Il y a quelquesla micro-abrasion.
> J'ai jamais eu les résultats escomptés.
> Je sais pas si je t'ai aidé là?
----------------------------------
l auteur du topic peut etre pas.
mais ne serait ce que pour se sentir moins seul avec ses résultats personnels MERCI EUGENOL.
pourtant c est si joli et efficace sur les publicités !


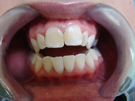
fredouille59

24/06/2008 à 12h18

Voici mon 1er cas traité en micro-abrasion+éclaircissement, j'ai peut être eu du bol, mais je trouve le résultat tout à fait satisfaisant, et la patiente aussi.
Patiente 21 ans, gros complexes liés à ses centrales, bonne hygiène dentaire.
Le protocole appliqué a été :
- detartrage + aeropolissage + empreintes
- Réalisation de gouttières + digue chimique + micro-abrasion (opalustre) passé 4 fois + séance à l'opalescencequick 45% pendant 30 mn
- 1 semaine de traitement en ambulatoire à 10 % 1 heure/ jour

Avant hfkdlw - Eugenol
Après abrasion izgdib - Eugenol
1ere séance eclaircissement s8vi2p - Eugenol
Fin w6fzav - Eugenol

Spriford

24/06/2008 à 15h59

Pour cette jolie présentation, je te fais une fleur! (pas pu m'empêcher...)

Dites le avec des fleurs.. - Eugenol

olivier

24/06/2008 à 19h49

Quel produit as tu utilisé??


024 vownvo - Eugenol
annie

25/06/2008 à 04h25

olivier Ecrivait:
-------------------------------------------------------
> Quel produit as tu utilisé??


c'est dit:) opalustre et opalescence,( ultradent Bisico) le pourcentage? 45 % me semble un peu exagéré,je crois que c'est 38% a verifier!


fredouille59

25/06/2008 à 11h32

Non, l'opalescence quick est bien à 45%, c'est pour ça qu'il est réservé à un usage en cabinet et non en ambulatoire.
L'avantage c'est que tu as un résultat visible immédiatement mais pas très uniforme, c'est pour ça que je fais ensuite une semaine en ambulatoire à 10%. Le patient quitte le cabinet en ayant vu un résultat, en plus j'ai pu lui montrer en direct comment remplir et nettoyer sa gouttière.


024 vownvo - Eugenol
annie

25/06/2008 à 18h38

fredouille59 Ecrivait:
-------------------------------------------------------
> Non, l'opalescence quick est bien à 45%, c'est
> pour ça qu'il est réservé à un usage en cabinet et
> non en ambulatoire.
> L'avantage c'est que tu as un résultat visible
> immédiatement mais pas très uniforme, c'est pour
> ça que je fais ensuite une semaine en ambulatoire
> à 10%. Le patient quitte le cabinet en ayant vu un
> résultat, en plus j'ai pu lui montrer en direct
> comment remplir et nettoyer sa gouttière.


oui,effectivement,le quick est a 45% et serait réservé a la salle d'attente:) le nouveau,le boost (celui que j'utilise) anciennement Xtra, est à 38% et est est réservé au fauteuil!