Cookie Consent byPrivacyPolicies.comrelation intermaxillaire et Quattro - Eugenol

relation intermaxillaire et Quattro

Gps moto wouomg - Eugenol
charleston

04/04/2008 à 23h52

bonjour à tous , Voilà; mon problème est d'enregistrer une relation intermaxillaire fiable et reproductible dans le cas d'une pose de 4 implants avec MCI (enfin le soir même ). J'ai fait mon premier Quattro il y a 1 mois et j'ai du réajuster un peu l'occlusion le soir lors de la pose de la prothèse transvissée ; J'aimerais un protocole bien "carré"pour mon labo. Donc je sollicite l'avis des poseurs de Quattro ou de All/4 de Nobel . Bon je pars en vacances demain pour une semaine alors samedi prochain , je voudrais crouler sous vos messages avisés . Merci d'avance


S8ysxdzhdqgw00w4q6m07a5d47q2 - Eugenol
gai-luron

05/04/2008 à 00h00

oh l'autre...

il nous donne du boulot et il se tire en vacances...


pepe54

05/04/2008 à 00h17

qu'entends tu par quattro? quatres implants zygo ou bien autre chose ?


003 penrd2 - Eugenol
Cingulum

05/04/2008 à 15h36

Quattro c'est le All on four chez Tekka, qui propose aussi des piliers Multi unit Angulé...


cof

10/04/2008 à 23h10

Il faut disposer d'une prothèse maxillaire fonctionnelle (repositionnable sur le modèle antagoniste )avant l'intervention. Une fois la chirurgie réalisée et les implants en place tu prends une empreinte pick-up avec les transferts adaptés à ton système.
Tu solidarises les deux implants antérieurs à ta prothèse maxillaire évidée en regard des implants ( résine duralay et transfert ).
Une fois l'empreinte pick-up coulée tu pourras ainsi repositionner la prothèse maxillaire sur le modèle et monter le modèle antagoniste en occlusion.
NB. Tu auras sans doute des retouches à prévoir malgré le protocole qui permet cependant de réduire ce travail à un délai acceptable pour toi et ton patient.
Alors c'était bien les vacances ?


Gps moto wouomg - Eugenol
charleston

13/04/2008 à 21h26

Bien merci ; les vacances OK . c'est comme çà que j'ai fait mais le repositionnement exact du maxillaire évidé est impossible du fait des tissus décollés et infiltrés d'anesthésie . C'est pourquoi je cherche un truc plus "carré" . Et les autres ? Ils dorment où ils sont aussi partis en vacances?


Gps moto wouomg - Eugenol
charleston

14/04/2008 à 23h39

Bon j'ai trouvé un truc pas mal , je le mets en pratique fin avril sur un patient programmé en Quattro , je fais des photos et je posterai tout çà sauf si çà se termine mal et que je vais en prison . Bonnes vacances aux autres....


Flaschcode adresse site cabinet  bsizag - Eugenol
dentissimo

15/04/2008 à 01h59

si tu peux utiliser des transfert repositionables chez nobel tu peux prendre l'empreinte avec la prothèse évidée mais non ouverte. tu l'ouvres juste pour vérifier que les transferts n'interfèrent pas et tu referme. le patient ferme pendant la prise d'empreinte. Lelabo n'a plus qu'à travailler par soustraction.... très peu de retouche...

G kgjt4y - Eugenol
G - Eugenol
G - Eugenol
G - Eugenol

Flaschcode adresse site cabinet  bsizag - Eugenol
dentissimo

15/04/2008 à 02h38

dentissimo Ecrivait:
-------------------------------------------------------
> la suite ...c'est assez facile pour pouvoir remettre en articulateur... pour une MCI système très correct. et rapide...

G - Eugenol
G - Eugenol

gaby

16/04/2008 à 00h39


Vous trouvez ça beau, vous? ces espèces de berlingots dégueulasses rebasés quinze mille fois...

Alors qu'un beau bridge transvissé même sur 4 implants (à la mandibule pas au maxillaire bien entendu), sans fausse gencive, c'est tellement mieux...

Encore faut-il conserver le niveau osseux, garder les alvéoles d'extraction, ne pas mettre la crête à plat....

Une boîte d'implant disait en parlant de bone trap "jetteriez-vous de l'or?", et bien réséquer une crête (hors os contaminé) moi ça me fait mal au coeur..... Pourtant je suis pas radine....



Blason dql7mj - Eugenol
growler

16/04/2008 à 00h57

c'est çà qui te fais mal au coeur gaby?

Crête régularisée elgiow - Eugenol

Logo vuaztn - Eugenol
mac

16/04/2008 à 09h10

gaby Ecrivait:
-------------------------------------------------------
Pourtant je suis pas radine....




hum!!


gaby

16/04/2008 à 11h36


AAH.. touchée...

J'ai voulu te mettre une photo mais trop grosse, je peux te montrer par mail si tu veux, sinon il faut attendre que mac me montre comment diminuer le volume de mes photos, n'est-ce pas?

Merci pour la radine... juste anti-gaspillage, pas radine...


Flaschcode adresse site cabinet  bsizag - Eugenol
dentissimo

16/04/2008 à 19h33

gaby Ecrivait:
-------------------------------------------------------
> > Vous trouvez ça beau, vous? ces espèces de
> berlingots dégueulasses rebasés quinze mille
> fois...
>
> Alors qu'un beau bridge transvissé même sur 4
> implants (à la mandibule pas au maxillaire bien
> entendu), sans fausse gencive, c'est tellement
> mieux...
>
> Encore faut-il conserver le niveau osseux, garder
> les alvéoles d'extraction, ne pas mettre la crête
> à plat....
>
> Une boîte d'implant disait en parlant de bone trap
> "jetteriez-vous de l'or?", et bien réséquer une
> crête (hors os contaminé) moi ça me fait mal au
> coeur..... Pourtant je suis pas radine....
>
>
>
C'est du provisoire .. oh Gaby!

quand au critères de selection des techniques prothétiques sur implants elle dépendent de ce que désirent les patients....ceux qui ne mangent plus qui ont des crêtes bien résorbées il veulent manger, que ça ne bouge plus et que ça entre dans leur budget...

Mais s'ils pivilégient l'esthétique et que c'est réalisable alors on peut essayer...


Flaschcode adresse site cabinet  bsizag - Eugenol
dentissimo

16/04/2008 à 19h36

dentissimo Ecrivait:
-------------------------------------------------------
>
> --------------------------------------------------
> >
>j'ai oublié les images...


Södeb pano24.01 - Eugenol
Söd def  copie cj2jza - Eugenol

Docteurbob

17/04/2008 à 19h22

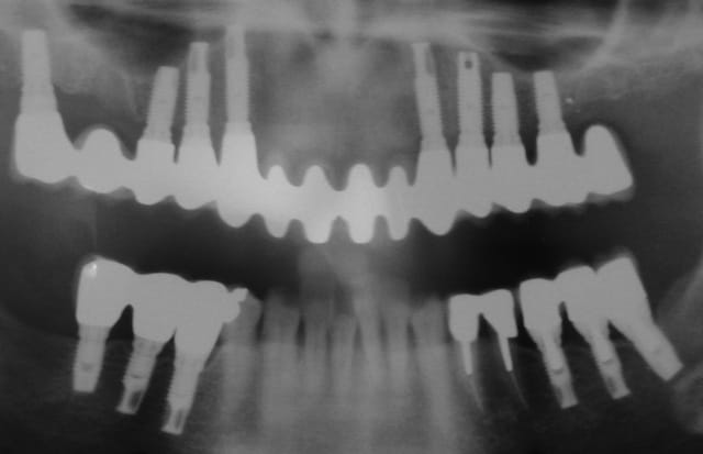
Je suis pour le quattro pour plusieurs raisons.
-eviter des greffes quand on manque de hauteur osseuse
-réaliser pour un cout interessant un bridge transvissé, meme au maxillaire sur 4 implants
-Franchement une fausse gencive avec de belles dents résine ne vaut pas mieux que du tout céram avec greffes conjonctives pour avoir des très longues dents au final?
-Quid de la maintenance?? S'il ya de la casse, vaut-il mieux pouvoir reparer un bridge résine vissé dans la journée pour un coup infime ou alors devoir recuire la céramique avec retour à un grand bridge provisoire (quel temps passé et quel cout...)

N'en déplaise aux puristes, les grands bridges complets céramiques sur 12 implants doivent parfois etre laissés de coté au profit d'une technique moins invasive, moins chère, beaucoup plus facile à mettre en oeuvre et qui laisse la possibilité de réagir rapidement en cas d'accident.

La résine sera jamais de la céramique,on est bien d'accord, et c'est pourtant vraiment pas ma tasse de thé, mais qu'est ce que nos patients sont heureux de ces restaurations...

Comme toujours, tout est question d'indications en fonction du terrain, des demandes et du budget.

Ces bridges quattro ou all-on-four rendent de très precieux services; il faut pouvoir les proposer quand le cas se présente.

Quattro uc9pp0 - Eugenol

Flaschcode adresse site cabinet  bsizag - Eugenol
dentissimo

17/04/2008 à 19h40

ça c'est vrai ça....


Amibien

07/05/2008 à 22h38

Docteurbob Ecrivait:
-------------------------------------------------------
> Je suis pour le quattro pour plusieurs raisons.




o.k. mais quid de l'impact sonore sur l'oreille interne ?

il faut penser qu'il y a un risque de surcharge acoustique peut-être impossible à gérer et l'endroit où se trouvent généralement les implants c'est dans le rouge, le vert ou le violet !

de quoi rendre bien malade nos patients !!!!!

c'est un argument qu'il reste à vérifier sur un plan clinique mais il y a aussi toute une recherche qui devrait être menée dans ce domaine.

prenons tous les patients équipés ainsi et voyons comment cela se passe pour leur santé.

n'as-tu jamais aperçu un lien possible entre le fait d'être édenté partiel au maxillaire et l'existence d'une souffrance physique chronique ?

je ne me souviens pas d'un vieux patient denté complet qui traînerait avec lui une maladie chronique...

je peux me tromper, me fourvoyer, mais regardez-y de plus près.


alain.bobo

07/05/2008 à 22h53

moi aussi, j'ai une audi quattro et c'est vraiment le top, surtout sur route glissante


Manolito wom2of - Eugenol
manolito

08/05/2008 à 23h53

en combien de temps et de séances réalisez vous ces restaurations?


Docteurbob

09/05/2008 à 11h01

Amibien, le problème sera le même pour un bridge complet céramique sur 12 implants, avec un complet résine amovible ou avec un bridge résine sur 4 implants, ta réponse cochléaire sera forcément différente que chez le denté.

Ce que je veux dire : quand nous sommes tenus de redonner des dents aux patients pour leur permettre de manger on ne peut pas s'abstenir sous prétexte que l'on va perturber l'équilibre occluso-acoustique, ce serait comme de dire "non Monsieur, je ne vous ferai pas de prothèse pour votre jambe amputée, ça va déséquilibrer votre bassin pendant la marche et créer au final des problèmes de dos..."

Soit le patient peut remanger soit non, dans ce cas là on fait quoi? la réponse cochléaire sera pas meilleure avec absence de toutes les dents je pense, quand le seul choix possible est de redonner des dents et bien tu le fais.

Un édenté complet qui vient en consultation chez toi car il a cassé ses deux appareils tu fais quoi Amibien :
1-complets résine,
2-bridges céramiques sur xxx implants,
3-bridges résines sur 4 implants,
4-complets résines stabilisés sur 2 ou 4 implants,
5-Rien car ça va perturber sa cochlée.


Flaschcode adresse site cabinet  bsizag - Eugenol
dentissimo

09/05/2008 à 11h31

atant la chance d'avoir toutes mes dents....
"je suis tout ouïe"


Cela dit je suis pesuadé que nos traitements ou l'absence de traitements dentaires ont un effet sur l'ensemble de la santé...le Mental aussi....