Cookie Consent byPrivacyPolicies.comdistalisation d'une molaire en denture mixte - Eugenol

distalisation d'une molaire en denture mixte

Naruto furie j5u7b5 - Eugenol
darkdentor

16/04/2008 à 19h59

bonsoir,
j'aimerais savoir qu'elle est la meilleur technique pour distaler une molaire inférieure unilatéralement après qu'elle se soit mésialisée suite à la perte prématurée d'une canine de lait.
la 1° molaire de lait étant presque au contact de l'incisive latérale qui s'est versée légèrement dans l'espace disponible.Je suis omnipraticien mais dans ma région les rendez vous chez un spécialiste sont si long qu'ils donnent la priorité aux traitements en denture permanente. j' essaie de pratiquer de l'interception et des traitements précoces afin de simplifier les problèmes pour l'avenir.


bjc

16/04/2008 à 22h19

sans documents, difficile !!!


Naruto furie j5u7b5 - Eugenol
darkdentor

17/04/2008 à 10h37

Bonjour,
merci bjc de ta réponse, je me doutais un peu de ce que tu allais dire.
je vais essayer de faire le nécessaire pour joindre des photos.
à bientôt


dento sofiene

17/04/2008 à 18h23

bonjour!
normalement si les 2émes molaires de lait sont en place il n'y'a aucune raison pour que les 1ére molaires permanentes se mésialent.
Avant de penser à intervenir précocément pour chez cet enfant il y'a quelques détails à vérifier:
comment est l'occlusion molaire des 02 cotés?
comment est le plan terminal de chapman?(des 02 cotés)
est-ce que le point médian inférieur n'est pas dévié?
est-ce qu'il existe un chevauchement au niveau des incisives inférieures?


Naruto furie j5u7b5 - Eugenol
darkdentor

18/04/2008 à 01h54

Bonsoir dento sofiene,
Pour répondre à tes questions, voila le détail des points que tu soulevais.
la molaire droite est en classe II 1 prémolaire, la molaire gauche (celle que je pense s'être mésialée est en classe I.
les plans terminaux sont à marche distale tous les deux mais bien plus marqué à droite. ( au maxillaire les prémolaires,1° et 2°, sont déjà en place.)
les milieux sont centrés; et il n'y a pas d'encombrement vu que la canine de lait est absente et que la canine définitive n'est pas sur l'arcade.
Il me semblait que la perte prématurée des canines de lait était une des causes de la classe II justement par mésialisation des secteurs latéraux.
Le sens transversal intervient surement également puisque parce manque des canines de lait la largeur d' arcade est diminuée.la perte prématurée des canines étant présente aussi au maxillaire les deux arcades sont réduites. mais au maxillaire je sais distaler une molaire avec un QH et reformer l'arcade.
mon problème est surtout le risque d'avoir une canine retenue à la mandibule
Je fais mon possible pour vous envoyer des photos. soyez patients!


Naruto furie j5u7b5 - Eugenol
darkdentor

18/04/2008 à 10h45

voila les photos

Le j c mandibule r2wlac - Eugenol
Le j c maxillaire mf7lwh - Eugenol
Le j c moulage gauche hl2vgq - Eugenol

Naruto furie j5u7b5 - Eugenol
darkdentor

18/04/2008 à 10h47

voila les autres

Le j c mandibule irer5q - Eugenol
Le j c maxillaire anhyql - Eugenol

Image odged8 - Eugenol
ploc

18/04/2008 à 15h33

ce n'est plus très précoce...
je laisse aux odf la parole et le soin de faire à ce stade


bjc

18/04/2008 à 16h23

Une Pano serait la bienvenue, pour voir ou en sont les germes des permanentes
tu peux photographier sur négatoscope

@+ Bjc.


1 eugenol dmj5np - Eugenol
Dancha

18/04/2008 à 17h00

C’est tout à ton honneur de vouloir faire de l’interception, mais c’est ici à l'évidence une banale classe II subdivision avec macrodontie. Les latérales ont fait éruption en résorbant les canines temporaires à l'exception de la 83. Sa persistance a déplacé les incisives inférieures à gauche et masqué la dissymétrie globale et faisant coïncider les milieux incisifs. Il n’y a pas eu de mésialisation de molaire inférieure et il n’y a aucune interception à faire. Tu peux éventuellement surveiller radiologiquement l’évolution des canines. Le traitement sera à réaliser d’une manière globale en denture définitive.

Daniel


bjc

18/04/2008 à 18h02

"Le traitement sera à réaliser d’une manière globale en denture définitive."

Avec un gros rique d'extraction des P.M. pour bonnes
raisons de D.D.M. non interceptée
triste réalité
dire: je ne sais pas, est une chose
mais donner de tels conseils parce qu'on ne sait pas, ou qu'on ne veut pas, est criminel (pour les dents)

heureusement qu'il y a des omnipraticiens orthoconscients


1 eugenol dmj5np - Eugenol
Dancha

18/04/2008 à 21h00

bjc Ecrivait:
-------------------------------------------------------
> "Le traitement sera à réaliser d’une manière
> globale en denture définitive."
>
> Avec un gros rique d'extraction des P.M. pour
> bonnes
> raisons de D.D.M. non interceptée
> triste réalité
> dire: je ne sais pas, est une chose
> mais donner de tels conseils parce qu'on ne sait
> pas, ou qu'on ne veut pas, est criminel (pour les
> dents)
>
> heureusement qu'il y a des omnipraticiens
> orthoconscients
>
>

Ce bon bjc, je sais bien qu’il est lui-même « omnipraticien orthoconscient », je ne mets absolument pas sa bonne foi en doute.
Quand il aura un peu plus d’expérience, il se rendra compte qu’il y a des limites à l’expansion, lui qui a écrit sans rire il y a quelques temps « on en a discuté avec des copains, on ne sait pas ou peut s'arrêter la correction de DDM. sans extractions » !
C’est un doux rêveur, mais il cherche quand même à se former puisqu’il a dit lui-même : « j’ai un petit cabinet, je ne peux pas avoir traité tous les cas possibles ou imaginables c’est pourquoi j’assiste à des conférences ».
C’est bien, nous ne pouvons que l’encourager lui et ses copains à continuer à se former. Je suis sûr qu’il osera bientôt se lancer sans être obligé de réfléchir comme il l’a dit « au moins 2 ans avant de s’attaquer à des cas limites » et que sa renommée s’étendant il n’aura plus non plus «1 ou 2 ans à les attendre car on n’en a pas tous les jours ».
Il pourra alors enfin nous présenter des traitements qu’il aura réalisé lui-même et qui seront terminés.

Daniel


bjc

18/04/2008 à 23h45

la taille moyenne d'une Inc. Sup. est (M.D.) 9 mm.
éxactement 8,8 mm.
quel est le diametre des centrales de ton cas?

@+ Bjc.


bjc

19/04/2008 à 00h48

Salut,

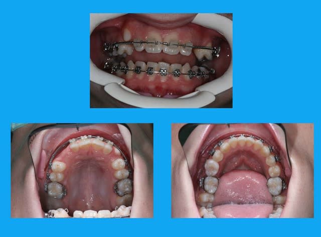
Voilà ce que peut facilement faire un ortho moyen quand il refuse de jouer les Ponce Pilate
et pourquoi pas, un omni motivé ?

@+ Bjc.


Depart 1 swg94f - Eugenol
Actuellement 1 h3wzui - Eugenol

1 eugenol dmj5np - Eugenol
Dancha

19/04/2008 à 13h50

Il n’est pas nécessaire d’être moyen, même un mauvais orthodontiste peut montrer cela…
Toujours des cas en cours de traitement, tu es incorrigible !
Quand donc nous montreras-tu un cas comme celui-ci terminé avec un peu de recul pour contrôler la qualité de l’occlusion fonctionnelle et la stabilité au moins à moyen terme ?
Alors seulement tu pourras être crédible.

Daniel


bjc

19/04/2008 à 16h31

au fait, Da(ncha)mon, quand est-ce que tu nous montre des Rx. récentes de ton cas haubanné en élastoques?
ca m'interesse de voir l'évolution de tes rhizalyses


1 eugenol dmj5np - Eugenol
Dancha

19/04/2008 à 17h01

bjc Ecrivait:
-------------------------------------------------------
> au fait, Da(ncha)mon, quand est-ce que tu nous
> montre des Rx. récentes de ton cas haubanné en
> élastoques?
> ca m'interesse de voir l'évolution de tes
> rhizalyses
>
>

Sans problème. La radio du bas date de fin mars 2008.

http://www.eugenol.com/eugenol/file.php?3,file=15029

Daniel


bjc

19/04/2008 à 17h35

Je vais essayer d’être un peu plus sérieux,
avouez que c’est pas facile avec un Da(ncha)mon de Nonol

il m’a été demandé des photos plus précises
ça tombe bien, je viens de le voir ce matin
maintenant, ça va être la routine

@+ Bjc.

 hui  1 f2hdyl - Eugenol

1 eugenol dmj5np - Eugenol
Dancha

19/04/2008 à 17h48

bjc Ecrivait:
-------------------------------------------------------
> Je vais essayer d’être un peu plus sérieux,
> avouez que c’est pas facile avec un Da(ncha)mon de
> Nonol
>
> il m’a été demandé des photos plus précises
..

Avouez que ce n’est pas facile non plus avec notre bon bjc…
Je ne lui avais pas demandé des photos plus précises, mais bien de nous présenter
« un cas comme celui-ci terminé avec un peu de recul pour contrôler la qualité de l’occlusion fonctionnelle et la stabilité au moins à moyen terme » !
Ce n’est pas du tout la même chose !

Daniel


Naruto furie j5u7b5 - Eugenol
darkdentor

19/04/2008 à 17h51

Bonjour,
jai lu avec plaisir le débat entre Dancha et bjc. Je te remercie bjc d'essayer d'être constructif et je te remercie dancha d'être optimiste.
C'est toujours la même chose sur ce forum sympathique. on vient avec un question précise et on repart avec dix fois plus de doutes. Mais hélas je crois que l'orthodontie est comme ça, plus tu avances plus tu doutes, et la marche arrière est difficile.
Que risque-t-on dans un cas pareil à favoriser le sens transversal qui est déficient de toute évidence. Je n'ai pas eu l'impression en regardant cette jeune patiente d'être face à une macrodontie incisive.Mais je vais vérifier les mesures et je les poste. Je suis en weeck end au bord de la mer et je n'ai pas les documents sous le pied. Mais je les poste dès que possible.
Cette patiente à huit ans et elle me semble jeune pour envisager un traitement avec extraction. Tu dis Dancha d'attendre et de surveiller jusqu'à la denture définitive, mais n'est ce pas prendre le risque d'avoir une canine coincée, incluse et dont le traitement par la suite serait beaucoup plus compliqué.
Est ce une simple vue de l'esprit de réaliser le recul de la molaire inférieure . J'ai lu que certains avec un lip bumper y parvenaient.Mon problème A MOI est là . Est ce envisageable de reculer une seul molaire, ou dois je faire avec la distance molaire incisive éxistante et réfléchir alors aux différente possibilités de traitements sans gain de place postérieur.
A bientôt


bjc

19/04/2008 à 18h20

"Je suis en weeck end au bord de la mer et je n'ai pas les documents sous le pied."

veinard


Naruto furie j5u7b5 - Eugenol
darkdentor

19/04/2008 à 19h16

et en plus il fait beau!!!


200106 10150128247663588 709988587 6466236 5598391 n d7mksb - Eugenol
hallboy

20/04/2008 à 03h44

Dancha Ecrivait:

> Sans problème. La radio du bas date de fin mars
> 2008.
>
> http://www.eugenol.com/eugenol/file.php?3,file=150
> 29
>
> Daniel


tant mieux pour elle ' et toi ) si apres une premiere phase evolutive, cela se stabilise. Mais ( c'est l'incorrigible omni qui parle) y aurait pas moyen de faire que qq'un s'occupe de la 34 et de la 25? ça aiderait personne qu'elle perde betement ces 2pm qui ne sont pas traitées depuis pres de 2 ans que tout cela a commencé.



1 eugenol dmj5np - Eugenol
Dancha

20/04/2008 à 21h52

Tu as raison, je vais en toucher un mot au confrère qui la suit pour les soins. Merci de ton conseil.

Daniel

P.S. Le lien que tu as mis pour le cliché n'est pas bon. Il a été coupé et c'est une autre radio qui apparait !


Spriford

20/04/2008 à 22h55

Mais si! il faut rajouter le 29 qui est à la ligne (il a dû faire un copié-collé...