Tous les forums
que lui auriez vous fait ?
22/04/2008 à 12h15
ce cas comme le sujet vous le dit est terminé depuis maintenant 4 ans.
patient de 66 ans non fumeur, nauséeux, venu en consultation pour blessure d'appareil.
patient ne donnant pas l'impression d'opulence financière (pour ceux que ça intéresse).
en discutant (il a vu une affiche d'implant à l'accueil)il me confie être intéressé par une autre solution qu'amovible mais surtout pour la mandibule car c'est là que "c'est le plus dur".
moulage panoramique...
très difficile de faire des empreintes réflexe nauséeux immédiat mais on y arrive avec les larmes aux yeux...
je lui fait donc un devis pour la semaine suivante.
Petit rappel en 2002 on ne s'excitait pas encore trop sur la mci
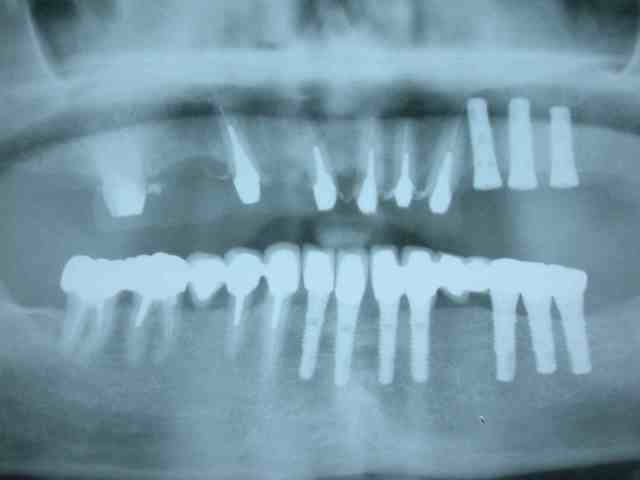
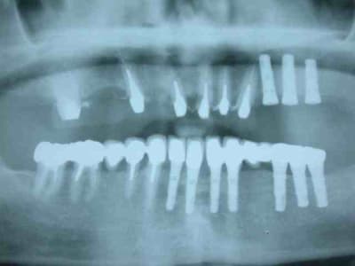
bon allez je vous mets la pano initial et je continue après.
.
22/04/2008 à 12h33
on évoluera par étapes :
1)mise en pace de 3 implants 35 36 37
2) on garde 34 pour stabiliser l'appareil
3)on attend l'ostéointégration des implants.
pano après
22/04/2008 à 12h38
le réflexe nauséeux du patient tend à disparaitre lors de lamise en pace des impkants mais pour le dernier en 37 pas simple...
je vous abandonne à vos commentaires car le blanchiment qui m'a octroyé une pause pour poster arrive à son terme et je vais devoir reprendre le travail..
.
22/04/2008 à 14h58
la suite :
1)reprise des endos sur 47 46 44 43
1 et1/2)exo racine 38
2)inlay core sur 47 46 44 43
3)pillier multi suf les trois implants, confection au labo d'une chape sur les trois implants transvissée, et d'un bridge provisoire en gardant toujours la 35( pas bien de mixer implants et dents mais bon ça rend service...)
4)mise en place de 4 implants antérieurs)
5)ostéointegration
le reflexe nauséeux commence à devenir un souvenir ancien...
.
22/04/2008 à 15h02
et la une grosse surprise m'attend au virage à vous de deviner...
c'est calme auourd'hui...
.
22/04/2008 à 15h14
ça n'aurait pas rapport avec le reflex nauséeux, par hasard? ;)
PS: c'est calme because c'est les vacances...
22/04/2008 à 15h33
c'est vrai que j'insiste beaucoup avec ce reflex nauséeux (quand simplement ton patient réagit au parfum que tu mets c'est pas simple à gérer pour le reste)...
il y a effectivement un rapport avec ça mais ce n'est qu'après un temps de réflexion que je te dis oui.
j'avais oubié les vacances, il faut dire que je les prendrai après celles des enfants et seuement avec madame on abandonnera nos trois nains pendant dix jours c'est ça non être RE non .
.
22/04/2008 à 15h53
Voyant que le travail avance bien et que ça lui plaît... il décide de faire également le haut en fixe, mais là ça se gate, reflexe nauséeux.... j'ai bon ou pas?
22/04/2008 à 16h06
Vous n'êtes pas tout seuls, on refléchit...
Je n'osais pas répondre , d'abord je ne sais pas ce qu'est la « mci », et puis, j'avais peur que tu enlèves les dents du secteur 4...me voilà rassuré et prêt à suivre le bon déroulement.
Allergie à la résine ? ou intolérance ?
22/04/2008 à 16h27
fatalgutta Ecrivait:
-------------------------------------------------------
> Voyant que le travail avance bien et que ça lui
> plaît... il décide de faire également le haut en
> fixe, mais là ça se gate, reflexe nauséeux....
> j'ai bon ou pas?
presque tout bon fatalgutta :
voyant que ses réflexes nauséeux diminuent de façon très très importante, il se dit que ceux ci proviennent du port d'un appareil amovible et donc décide de commencer prestement le haut .
oh là doucment lui dis je !!!
et après réflexion(1millième de seconde) je lui dit que j'accède à sa requète : bon prince non ?
pour spriford : là tu m'étonne il me semblait t'avoir montré que je suis le plus conservateur possible et même peut être parfois trop...mais j'assume
Mci : tu fais les exos tu mets tes clous et ta prothèse dans la foulée, mais là je ne le faisais pas encore.
22/04/2008 à 16h51
non fouilla, cela ne t'était pas adressé personnellement, c'était la suite de ma colère contre un post de ploc en odf...C'était juste pour dire que des gens attentifs suivaient le cas
Un clou? plutôt une vis non?
On attend la suite avec impatience.
22/04/2008 à 16h53
je ne l'avais pas suivi, mais tu sais bien qu'en rhône alpes on conserve...
.
22/04/2008 à 18h25
je continue donc :
comme vous l'aviez vu 12 était le siège d'une provisoire (comme par hasard en place depuis le début) donc cette dent ne peut être conservé dans des conditions favorables (snif pour elle) : exo
dépose des anciennes couronnes réalisation d'un bridge provisoire : la je peux vous dire que le patient est plus qu'heureux
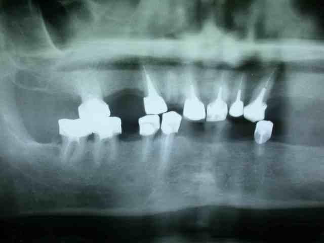
pose de trois implants en 24 25 26 attente de l'ostéointégration au maxllaire et je poursuis sur la prothèse mandibulaire
avulsion de la 34 (vous me suivez toujours) mise en fonction des 4 de devant
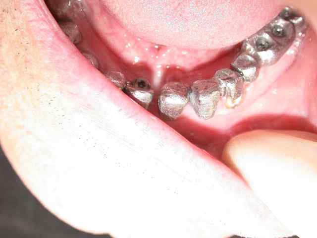
bridge transvissé sur 37 36 35 scellé sur fm implantaire sur 32 31 .
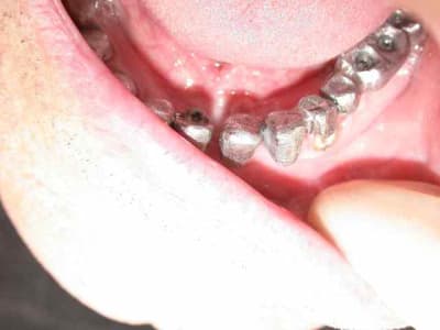
couronnes unitaires sur 42 41 (41 mal située position un peu trop lingual : la vue linguale de la photo montre notre solution prothétique pour l'axe)
bridge dentoporté sur 47 46 44 43
pano et photos a suivre les photos sont pas tops car vieil apparei et je vous le rappelle (reflex nauseeux,faut pas aller chercher trop loin quand même , mais vous verrez à la fin on met des écarteurs photos si si...)
22/04/2008 à 18h46
Euhhh : Pourquoi avoir fait 46-47 en métal ?? Tout le reste est en céramique, vu le travail important, il est pas à 300 près (au pire c'est cadeau... lol)
22/04/2008 à 18h55
Pardon, j'avais pas vu que 36 et 37 étaient aussi en métal.
Personnellement, moi, à la fac, si je demande une couronne métal sur implant, je me fais incendier sur place... lol
22/04/2008 à 18h58
fouilla Ecrivait: bridge dentoporté sur 37 36 34 32
juste pour montrer qu'on suit... Implantoporté non???
Superbe comme d'hab.
C'était l'histoire du mec qui était blessé par son appareil, alors; fouilla lui a dit etc...
http://www.eugenol.com/eugenol/read.php?27,297059,317284#msg-317284
22/04/2008 à 19h14
fatalgutta Ecrivait:
-------------------------------------------------------
> Euhhh : Pourquoi avoir fait 46-47 en métal ?? Tout
> le reste est en céramique, vu le travail
> important, il est pas à 300 près (au pire c'est
> cadeau... lol)
tu as raison, mais contrairement à ce que tu pourrai penser et je l'avais un peu précisé ce patient ne s'apelle pas $$$$$ , il avait une situation en fin de carrière de contremaître donc au vu de sa retraite, je pense que malgré tout il en était à 300 uros( même un peu plus 46 47 36 37 soit 4 dents en bas fait le calcul) et compare avec une retraite.
anecdote il y a peu de temps j'ai fait une erreur dans un devis et mis un remboursement ss sur un devis pour un acte nr , reclamation du patient, remboursement du praticien(moi) parce que profondément ça m'emmmmmmmmmm et que j'assume , remarque du patient : c'est que quand même ça fait 300 Euros vous vous rendez compte de ce que ça représenge pour moi ! et le praticien(moi) de lui répondre : la même somme que pour moi !
mais pour en finir avec ce sujet, notre histoire commune avec ce patient est loin de se résumer simplement à l'aspect financier et pour te surprendre en fin de traitement il m'a encore fait un cadeau : un présent quoi ! malgré tout le put... de fric qu'il m'avait donné( nous deux on ne l'a pas perçu comme ça par contre).
.
22/04/2008 à 19h28
Spriford Ecrivait:
-------------------------------------------------------
> fouilla Ecrivait: bridge dentoporté sur 37 36 34
> 32
> juste pour montrer qu'on suit... Implantoporté
> non???
> Superbe comme d'hab.
merci je corrige de suite
>
> C'était l'histoire du mec qui était blessé par son
> appareil, alors; fouilla lui a dit etc...
> http://www.eugenol.com/eugenol/read.php?27,297059,
> 317284#msg-317284
sincèrement je suis sur que c'est possible dans bien des cabinets même en zone rurale ou semi rurale (comme moi)
22/04/2008 à 20h02
fouilla Ecrivait: sincèrement je suis sur que c'est possible dans bien des cabinets même en zone rurale ou semi rurale (comme moi)
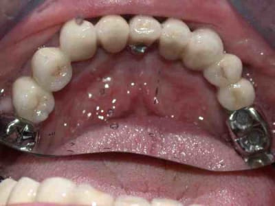
Bien sûr! mais à condition d'être "comme toi"...
22/04/2008 à 20h50
suite et fin
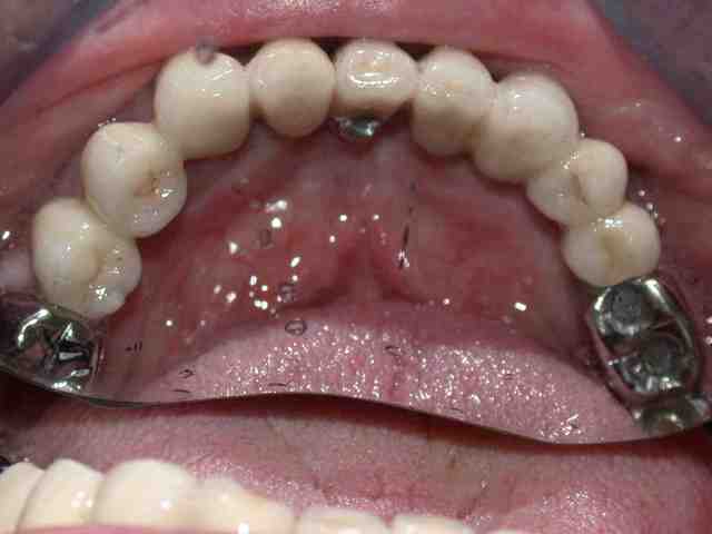
réalisation du haut et pose
bridge dentoporté secteur droit(jr mettrai pas les numéros na !) dents unitaires sur les implants
et tant pis pour le métal au fond...
par contre mon labo monte toujour la tige incisive du sam à l'envers comme vous pouvez le voir je leur donne à l'endroit et elle me revient toujours dans l'autre sens , on ma répondu que "c'est pas pratique" alors j'ai abandonné.
.
22/04/2008 à 21h14
fouilla Ecrivait:
-------------------------------------------------------
> fatalgutta Ecrivait:
> --------------------------------------------------
> -----
> > Euhhh : Pourquoi avoir fait 46-47 en métal ??
> Tout
> > le reste est en céramique, vu le travail
> > important, il est pas à 300 près (au pire
> c'est
> > cadeau... lol)
>
>
> tu as raison, mais contrairement à ce que tu
> pourrai penser et je l'avais un peu précisé ce
> patient ne s'apelle pas $$$$$ , il avait une
> situation en fin de carrière de contremaître donc
> au vu de sa retraite, je pense que malgré tout il
> en était à 300 uros( même un peu plus 46 47 36 37
> soit 4 dents en bas fait le calcul) et compare
> avec une retraite.
! malgré tout le
> put... de fric qu'il m'avait donné( nous deux on
> ne l'a pas perçu comme ça par contre).
> .
oui mais pour toi la difference n'était pas énorme,et quitte a lui faire payer juste cette différence,ou cadeau de cette différence,vu le fric qu'il t'avait donné ( c'est toi qui le dis)les ceramiques auraient été plus esthetiques que les cr acier que l'on aperçoit sur la photo!
Mais bon,chacun fait comme il lui plait!
Comme tu dis chacun pourrait le faire... s'il faisait l'implanto:) pour les jeunes ce ne sera plus un problème,les moins jeunes ne s'y sont pas tous formés!
PS; tes centrales ne sont elles pas un peu longues? ne genent elles pas en propulsion?
je ne fais pas que des critiques ,ce serait malvenu de ma part! alors bravo pour ce plan de traitement proposé et réalisé,et pour sa réalisation