Cookie Consent byPrivacyPolicies.comQUEL CAPTEUR??? - Eugenol
jazz

27/04/2008 à 12h34

Bonjour à vos tous

J'étais un heureux possessiur d' un capteur GENDEX VISUALIX USB depuis 3 ans mais il vient de rendre l'ame.Il y a quelques temps il suffisait de remplacer le capteur environ 2000€) mais fini la belle vie il n'est plus le fabriqué. C'est maintenant et la boitier et le capteur qu'il fait changer chez GENDEX. Coût de l'opération :6000€.
De plus comme il s'agit d'un capteur à fil l'usure du système est tout de même rapide et vu le prix....
Il va falloir donc que j'investisse mais je ne veux plus de cette marque qui en plus n'est plus compatible avec Visiodent,logiciel que j'utilise.
Mon fournisseur dentaire me propose soit un DIGORA soit le nouveau capteur sans fil wifi nde Visiodent tout en me précisant que ce dernier prend beaucoup de temps à transférer les clichés sur l'ordinateur.
Y a t il des spécialistes parmi vous qui peuvent me donner des conseils.
Mon souhait étant la rapidité du transfert et la fiabilité du système , 2 qualités que possédait le visualix de GENDEX.


Blason dql7mj - Eugenol
growler

27/04/2008 à 12h45

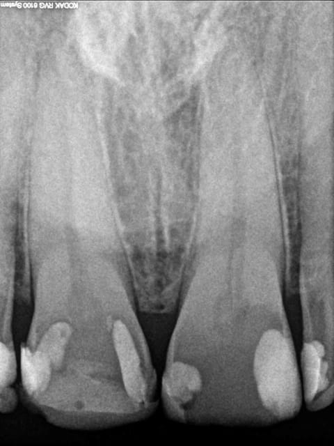
je te conseille le capteur kodak 6100, très belle image, finesse, logiciel kodak imagerie sympa et sérieux de la boîte.


S8ysxdzhdqgw00w4q6m07a5d47q2 - Eugenol
gai-luron

27/04/2008 à 15h11

idem
Kodak 6100 très bon


http://www.eugenol.com/eugenol/read.php?1,339618


Jomiro

27/04/2008 à 16h57

bonjour

J'utilise le digora FMX depuis 2003 aucune panne depuis son achat je trouve que c'est une bonne solution surtout que je travail sur 2 fauteuils.En plus on dispose de 3 tailles de capeurs. Prix d'un capteur:60 euros.


tapuz

28/04/2008 à 19h09

Bonjour.
J'ai fait une decouverte interressante...
J'avais un vieux gendex en port isa et... Mon pc a rendu l'ame...
Du coup, nouvelle informatique, et donc, nouveau capteur.

J'ai longuement hésité, et tout testé (ou presque)!

A l'hopital, la plaque phosphore m'a bien plu (le perioscan de chez durr dentala une qualité incomparable, le digora est super aussi)

Mais cela me revenait trop cher pour mon exercice en cabinet, ou je suis d'ailleurs seul (pas de collegue avec qui partager les frais, ni d'assistante pour aller sacnner mes films)

Du coup, j'ai été agréablement surpris du rendu du capteur vistaray de chez Dürr Dental!

Une véritable révélation, et une qualité hors du commun. Après, niveau fiabilité, reste a tester (je croise les doigts, mais logiquement, Dürr Dental n'a plus à faire ses preuves...)

A tester absoluement! Pour moi, c'est adopté!
C'est bluffant!


zangpo

03/12/2008 à 12h39

Bonjour,
Je suis egalement interessé par ce capteur aprés en avoir eu une démo à l'ADF. As tu eu des soucis depuis Avril date de ton message, la fiablilté est elle toujours au rendez vous ?
J'aurais aussi aimé connaitre le logiciel professionnel que tu utilises. Pour ma part je suis sous Julie et n'ai encore trouvé aucune information sur la qualité de la passerelle qu'ils fournissent dans mon cas, avec le capteur.
Bien confraternellement;


plouf

03/12/2008 à 14h44

Au fait aujourd'hui quelle est la résolution d'un capteur et quel est son prix moyen ?


3f3boxni50k58rq7e9ce9ddqrxgk - Eugenol
dentiste57

03/12/2008 à 15h12

growler écrivait:
-----------------
> je te conseille le capteur kodak 6100, très belle image, finesse, logiciel kodak
> imagerie sympa et sérieux de la boîte.

tout pareil que growly..

pour comparaisons , voici deux images; l'une capteur kodak 6100 l'Autre julie Krystal X

11 21 afetr5 - Eugenol
029 athojb - Eugenol

Wra300x300 gotue6 - Eugenol
hop

03/12/2008 à 15h19

j'ai des kodak 6100 et j'en suis très content: la qualité des images est très bonne.


Grueavatar nptrc9 - Eugenol
Le Choixpeau magique

03/12/2008 à 17h44

dentiste57 écrivait:
--------------------
> pour comparaisons , voici deux images; l'une capteur kodak 6100 l'Autre julie
> Krystal X

L'image du 6100 est traitée à mort...
Pour comparaison, voici l'image du Krystal X traitée à la truelle, tu conviendras que le résultat approche pas mal de celle du 6100. Avec des données brutes du capteur du Krystal X et des conditions de prise de vue identiques pour les deux images, le résultat serait très approchant, amha.

029edit3 p6ae0c - Eugenol

Logo vuaztn - Eugenol
mac

03/12/2008 à 19h08

pour la différence de prix moi j'ai prix le 5100, résolution de 1,4 millions de pixels au lieu de 2 millions pour le 6100, le type de kodak est venu pour faire un essai j'ai pas vu de grande différence entre les deux.


Blue eye thumb medium dx1i0w - Eugenol
bill

03/12/2008 à 20h01

Personne ne parle de la compatibilité avec visiodent ce qui semble être important pour le posteur ?


3f3boxni50k58rq7e9ce9ddqrxgk - Eugenol
dentiste57

04/12/2008 à 02h52

Le Choixpeau magique écrivait:
------------------------------
> dentiste57 écrivait:
> --------------------
> > pour comparaisons , voici deux images; l'une capteur kodak 6100 l'Autre julie
> > Krystal X
>
> L'image du 6100 est traitée à mort...
> Pour comparaison, voici l'image du Krystal X traitée à la truelle, tu
> conviendras que le résultat approche pas mal de celle du 6100. Avec des données
> brutes du capteur du Krystal X et des conditions de prise de vue identiques pour
> les deux images, le résultat serait très approchant, amha.

he ben non !

l'image du 6100 est brute de fonderie comme celle du krystal x.
regarde un peu plus prés les détails et les niveaux de gris sur le 6100.
il y a une nette différence pour moi; au moins celle de ne pas devoir corriger mes images avec photoshop...
et puis vous faites ce que vous voulez, m'en fout j'ai les deux.!


plouf

04/12/2008 à 10h13

Alors, résolution et prix des capteurs ? Personne ne veut dire ?


Utilisateur banni

04/12/2008 à 10h54

jazz écrivait:
--------------

> Il va falloir donc que j'investisse mais je ne veux plus de cette marque qui en
> plus n'est plus compatible avec Visiodent,logiciel que j'utilise.
>

Depuis quand Gendex n'est pas compatible avec visiodent??!! J'ai encore refait le lien en début d'année, il suffit d'un petit logiciel pour faire ce lien et les installateurs le connaissent bien. C'est simple rapide à faire.


Grueavatar nptrc9 - Eugenol
Le Choixpeau magique

04/12/2008 à 11h03

dentiste57 écrivait:
--------------------
> he ben non !
>
> l'image du 6100 est brute de fonderie comme celle du krystal x.

Elle est traitée par le logiciel !
Et pour moi, elle est surtraitée... Ca fait apparaître un halo radioclair autour de chaque obturation qui n'est qu'un artefact de la sharpenisation.

> regarde un peu plus prés les détails et les niveaux de gris sur le 6100.
> il y a une nette différence pour moi; au moins celle de ne pas devoir corriger
> mes images avec photoshop...

Tu as sûrement des options dans le logiciel livré avec ton capteur julie qui te permettent d'obtenir un résultat approchant, ou mieux, un compromis entre les deux.

> et puis vous faites ce que vous voulez, m'en fout j'ai les deux.!

Oui, mais je me permet juste de préciser qu'on préfère toujours l'image la plus traitée parce que c'est plus plaisant au premier abord, mais ce n'est pas forcément la plus fidèle.


Utilisateur banni

04/12/2008 à 11h10

Surtout que si l'on sait régler le boitier de commande on peut facilement améliorer les radios en variant les temps d'expo et tout le reste.


Img 0812 mvp6i0 - Eugenol
jeamba

04/12/2008 à 22h37

J'ai eu la démonstration à mon cabinet il y a une 10aine de jours par le représentant de chez kodack. Pour exactement la même dent ( une 26) la différence de qualité radio entre le 6100 et le 5100 était impossible à percevoir alors qu'en prix d'achat il y a une différence d'environ 2000euros. Le représentant m'a même conseillé le 5100 car il a honnêtement reconnu que pour nous praticiens la différence de qualité est vraiment imperceptible. J'avoue que j'étais étonné de son conseil, alors à l'ADF je suis allé au stand kodack et j'ai eu la confirmation par le représentant de kodack en allemagne de ce que mon démonstrateur avait avancé. Et pour finir, une semaine avant la démonstration de kodack j'ai eu celle d'owandy, et là franchement les deux capteurs ne jouent pas dans la même cour. J'ai donc opté pour le kodack 5100.


plouf

05/12/2008 à 10h15

Vous me direz que nous n'avons pas trop le choix. Un capteur dentaire de 2 millions de pixels pour 5000 euros. Canon propose un reflex, capteur plein format de 20 millions de pixels, pour 3000 euros. Cela laisse dubitatif.


acid

05/12/2008 à 23h01

Un capteur à 2 Mpixels coûte plus cher qu'un capteur à 1.4 Mpixels (et chez owandy la "haute définition" n'est pas du tout instantanée).
Ensuite, le pb c'est que nous envoyons cette image sur une carte graphique standard qui la traite pour être contenue dans un écran standard. Dans ces conditions, il est logique que nous ne voyions pas de différence notable de la qualité finale.
Renseignement pris dans un service d'angiographie, un écran médical capable de restituer une bonne image de 2 Mpixels (eizo radiforce) coûte plus cher qu'un de nos capteurs à la définition la plus élevée.
A mon avis nous n'en avons pas besoin, car avec une rvg ce qui nous intéresse en général, c'est surtout que l'image soit instantanée.


Wra300x300 gotue6 - Eugenol
hop

05/12/2008 à 23h33

plouf écrivait:
---------------
> Vous me direz que nous n'avons pas trop le choix. Un capteur dentaire de 2
> millions de pixels pour 5000 euros. Canon propose un reflex, capteur plein
> format de 20 millions de pixels, pour 3000 euros. Cela laisse dubitatif.

c'est clair qu'ils abusent..pour l'astrophoto, pour le prix des bons capteurs dentaires, on a une superbe caméra ccd à ~11 Mpixels:

http://www.astronome.fr/produit-camera-ccd-starlight-xpress-sxv-h35-663.html

j'ai un Starshoot Orion avec refroidissement incorporé + roue à filtres LRVB et autres accessoires autour que j'ai payé ~700 euros.. mais dès que c'est pour des dentistes, ça monte très vite..


3f3boxni50k58rq7e9ce9ddqrxgk - Eugenol
dentiste57

05/12/2008 à 23h40

vas y balance nous la photo des martiens :)


plouf

05/12/2008 à 23h53

acid écrivait:
--------------
> Un capteur à 2 Mpixels coûte plus cher qu'un capteur à 1.4 Mpixels (et chez
> owandy la "haute définition" n'est pas du tout instantanée).
> Ensuite, le pb c'est que nous envoyons cette image sur une carte graphique
> standard qui la traite pour être contenue dans un écran standard. Dans ces
> conditions, il est logique que nous ne voyions pas de différence notable de la
> qualité finale.
> Renseignement pris dans un service d'angiographie, un écran médical capable de
> restituer une bonne image de 2 Mpixels (eizo radiforce) coûte plus cher qu'un de
> nos capteurs à la définition la plus élevée.
> A mon avis nous n'en avons pas besoin, car avec une rvg ce qui nous intéresse en
> général, c'est surtout que l'image soit instantanée.

Acid,

Nous sommes bien d'accord. La haute déf dont on nous bassine aussi bien en dentaire que pour nos TV, c'est de la misère. 2 millions de pixels, la haute déf du pauvre. En photo pro, Hasselblad propose des moyens format 6 x 4,5 à 40 millions de pixels qui coûte le même prix qu'un capteur dentaire HD...

Alors si nos moniteurs informatiques sont tout justes bon à passer une image de 1 méga pixel, pourquoi accepter de payer des capteurs médiocres au prix de l'execellence. Quant à la rapidité, tout APN aujourd'hui est rapide.

C'est encore et toujours la même stratégie marketing en dentaire : tondre le dentiste jusqu'au derme.


Grueavatar nptrc9 - Eugenol
Le Choixpeau magique

06/12/2008 à 00h03

plouf écrivait:
---------------
> Vous me direz que nous n'avons pas trop le choix. Un capteur dentaire de 2
> millions de pixels pour 5000 euros. Canon propose un reflex, capteur plein
> format de 20 millions de pixels, pour 3000 euros. Cela laisse dubitatif.

Les marges "médicales" sont effectivement conséquentes, maintenant un capteur taille 2 est plus grand qu'un capteur 24x36, et je ne sais pas si les capteurs réagissant aux RX ont des caractéristiques spéciales par rapport à ceux réagissant aux photons visibles.


Wra300x300 gotue6 - Eugenol
hop

06/12/2008 à 00h12

dentiste57 écrivait:
--------------------
> vas y balance nous la photo des martiens :)

··..::·¨¨·¸·¨..¸·¨¨· ;))

Martiens de jupiter ho21xw - Eugenol

12