Cookie Consent byPrivacyPolicies.comFreak show - Eugenol

Freak show

Img 8465 fqhxid - Eugenol
noahaxeltiger-olivier

29/04/2008 à 02h10

Juste pour se détendre une peu. ;-)


Img 8465 fqhxid - Eugenol
noahaxeltiger-olivier

29/04/2008 à 19h22

ou plutot comme ça sans le zoom ;-)


Img 8465 fqhxid - Eugenol
noahaxeltiger

29/04/2008 à 19h28

Ou encore : "vous croyez qu'il est trop tard docteur ?"


Img 8465 fqhxid - Eugenol
noahaxeltiger-olivier

29/04/2008 à 19h29

oups voilà la photo


Img 8465 fqhxid - Eugenol
noahaxeltiger

29/04/2008 à 19h30

Joignez volontiers vos photos pour completer ce freak show


Spriford

29/04/2008 à 20h56

Je commence à appréhender un peu lorsque j'ouvre tes photos... entre l'ostéonécrose cadavérique et les racines véruqueuses en gros plans, beueeeeeeeeeeeerk


Mordancage Fatal

29/04/2008 à 23h07

Oula, c'est vraiment du lourd...


ptitfloup

10/05/2008 à 01h59

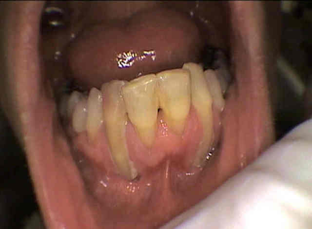
Ma petite contribution au show...
Et encore les photos ont été prises après une première séance de détartrage mandibulaire :-( (c'était le même topo qu'au maxillaire)

Devinez quelle fut l'"excuse" du patient pour avoir laissé tout ce tartre depuis si longtemps???

Tartre 4  small  bu3dpz - Eugenol
Tartre 1  small  jthd3v - Eugenol

ptitfloup

10/05/2008 à 02h00

vue du profil le plus avantageux :

Tartre 4  small  yw9jqf - Eugenol

Ylfwcw979cz1jnx9gfqeaxndiuzk - Eugenol
Algi

13/05/2008 à 21h10

Juste une remarque: en bas le tartre est parti mais les depôts mous sont deja de retour et donc le mec se brosse pas les dents.... pourquoi tu perds du temps avec lui?


Spriford

14/05/2008 à 01h04

ptitfloup Ecrivait: Devinez quelle fut l'"excuse" du patient pour avoir laissé tout ce tartre depuis si longtemps???

Il a divorcé et sa femme est parti avec LA brosse à dents.


024 vownvo - Eugenol
annie

15/05/2008 à 05h52

parce que ça saigne?


Bya 80 80 kuagpy - Eugenol
Rhune

15/05/2008 à 20h59

demande lui si elle a aussi embarqué LA savonette et LE papier toilette ! il a peut-être du boulot pour d'autre spécialités ?


ptitfloup

15/05/2008 à 23h36

Spriford Ecrivait:
-------------------------------------------------------
> ptitfloup Ecrivait: Devinez quelle fut l'"excuse"
> du patient pour avoir laissé tout ce tartre depuis
> si longtemps???
>
> Il a divorcé et sa femme est parti avec LA brosse
> à dents.

Non, non, non, il était toujours marié lol (au secours).

En fait son excuse était que au niveau de la 13 il a (avait) une CIV avec facette en résine et que sa facette ne "tenait pas" selon lui et qu'elle avait été "recollée" plusieurs fois par le passé donc il a laissé le tartre recouvrir ça pour camoufler....mouaiffff
Bon, le patient avait pas l'air très net au niveau psychologique ;-)


Amibien

18/05/2008 à 04h17

et en plus il est alcoolique...


Img 8465 fqhxid - Eugenol
noahaxeltiger-olivier

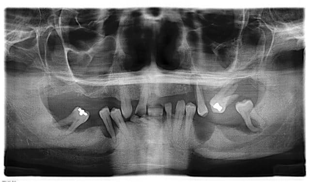
28/05/2008 à 22h50

Rien d'effrayant mais plutôt inhabituel : furc distal de 36


Gonzo k0qhwz - Eugenol
matten

10/06/2008 à 15h15

Un cas perso:

Nag2 bmr4z6 - Eugenol

024 vownvo - Eugenol
annie

10/06/2008 à 21h02

matten Ecrivait:
-------------------------------------------------------
> Un cas perso:
>


Manque plus que le fond sonore,c'est comme une chorégraphie!


el doctor

19/06/2008 à 13h14

à mon tour




el doctor

19/06/2008 à 15h03

voici la photo : desolé



Ohhhhhhhhhh f9s2np - Eugenol
Ohhhhhhhhhh lkwpbk - Eugenol

Img 8465 fqhxid - Eugenol
noahaxeltiger-olivier

22/06/2008 à 17h37

.


Img 8465 fqhxid - Eugenol
noahaxeltiger-olivier

24/06/2008 à 15h51

.


Voltaire dali btdyqx - Eugenol
Independentiste

25/06/2008 à 03h35

Cool


tourteau

27/06/2008 à 16h35

Vanpire inversé : qui veut faire un recouvrement?

Mess ztukb7 - Eugenol

Img 8465 fqhxid - Eugenol
noahaxeltiger-olivier

30/06/2008 à 20h34

.


12