Cookie Consent byPrivacyPolicies.comFreak show - Eugenol

Freak show

Garf2 hcrtax - Eugenol
enamel

03/07/2008 à 00h43

enamel one point!!!


Garf2 hcrtax - Eugenol
enamel

03/07/2008 à 00h48

je sors ------------------ > []

Cc rc80kj - Eugenol
Cc2 peadsv - Eugenol

Img 8465 fqhxid - Eugenol
noahaxeltiger

03/07/2008 à 00h58

dans tous les cas, ton plan de traitement va être simple !!!


Logo vuaztn - Eugenol
mac

03/07/2008 à 01h11

Docteur on peut quand même en garder quelques unes?


024 vownvo - Eugenol
annie

03/07/2008 à 02h44

mac Ecrivait:
-------------------------------------------------------
> Docteur on peut quand même en garder quelques
> unes?


pourquoi qq unes? bridges complets haut et bas:)


Garf2 hcrtax - Eugenol
enamel

03/07/2008 à 23h55

un crochet sur 25 c une connerie alors??


Img 8465 fqhxid - Eugenol
noahaxeltiger-olivier

09/07/2008 à 19h29

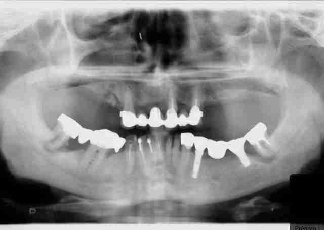
Patient adressé pour traitement d'une periimplantite à la mandibule.

J'étais plus qu'heureux qu'il ne s'agissait pas des implants maxillaires!! J'aurais eu peur de lui crevé l'oeil !! ;-)


Spriford

10/07/2008 à 11h20

Au risque de dire encore une anerie: dans "l'oeil" gauche, il n'y aurait pas un morceau de greffe osseuse qui se détacherait?


Garf2 hcrtax - Eugenol
enamel

10/07/2008 à 15h13

mais non c'est juste une fracture du plancher orbitaire, toi qui pensait que c était grave!!!

il a eu chaud


Spriford

10/07/2008 à 19h32

En fait, si on ne m'explique pas, je ne comprends pas. Donc là, je ne comprends pas.


Fouilla h6plsy - Eugenol
fouilla

10/07/2008 à 20h34

ça c'est un festival
c'est grave docteur ?
le haut a été fait soi disant il y à 2 ans
ça c'est du plan de traitement.
.

Oulala    jdevmh - Eugenol

Img 8465 fqhxid - Eugenol
noahaxeltiger-olivier

11/07/2008 à 01h04

.


Img 8465 fqhxid - Eugenol
noahaxeltiger-olivier

18/07/2008 à 20h23

en souvenir du bon vieux temps ...


Kon nx3ojp - Eugenol
tb

19/07/2008 à 00h18

stp nohaxeltiger une petite legende pour les plus jeunes?
merci beaucoup ;)


Img 8465 fqhxid - Eugenol
noahaxeltiger

19/07/2008 à 00h48

tb Ecrivait:
-------------------------------------------------------
> stp nohaxeltiger une petite legende pour les plus
> jeunes?
> merci beaucoup ;)

Ne me fait pas passer pour plus vieux que je ne suis tb!! Je sais que j'ai quelques cheveux blancs sur les tempes mais je n'ai que 33 ans ... sniff !!!

Bref .... Il s'agit d'implants céramique de TUEBINGER ( ou implant Munich-FRIALIT ) mis sur le marché vers la moitié des années 70.
Très rare ... et c'est tant mieux (car super fragiles)


Img 8465 fqhxid - Eugenol
noahaxeltiger-olivier

08/08/2008 à 02h21

superbe taurus palatin ...


Squash u44zd8 - Eugenol
steph

15/08/2008 à 15h49

...suivi de tori linguaux.

 mg 7686 mpvvtw - Eugenol

Utilisateur banni

15/08/2008 à 16h22

Patient vu en 2004, 50 ans, tabagique,sous curatelle, très simplet.
Ni lui, ni sa curatrice n'ont donné suite malgré mes nombreux coups de téléphone et mes mises en garde concernant les images lacunaires à la mandibule. A l'époque, j'avais trouvé une pathologie semblable dans mes bouquins de radio (même terrain déficient, même image) mais j'avoue ne pas me souvenir du nom :.<

Bon,les panos ne passent pas. Je les réduis et je reviens ;.)


Utilisateur banni

15/08/2008 à 16h27

...

Pano 1 bgk7z8 - Eugenol
Pano 2 pjefq3 - Eugenol

Garf2 hcrtax - Eugenol
enamel

28/09/2008 à 21h09

voici un jeune patient vu en urgence, le radiologue du coin fait la pano ds l'urgence aussi


antibio avant de preparer les alvulsions.....


jamais revenu






le france est un pays developpé ou il a tjrs vecu (vive le fluor!!)

26 ans toutes ses dents    a8z56l - Eugenol
26 ans toutes ses dents    vm3qdc - Eugenol

Blason dql7mj - Eugenol
growler

28/09/2008 à 23h58

même le traitement radiculaire sur 16 est abimé pffff!


S8ysxdzhdqgw00w4q6m07a5d47q2 - Eugenol
gai-luron

29/09/2008 à 00h15

je dois en avoir une vingtaine, des panos comme ça...


Img 8465 fqhxid - Eugenol
noahaxeltiger-olivier

23/10/2008 à 17h25

;))


12