Cookie Consent byPrivacyPolicies.comQuel âge a cette pte patiente? - Eugenol

Quel âge a cette pte patiente?

tantine

06/05/2008 à 01h54

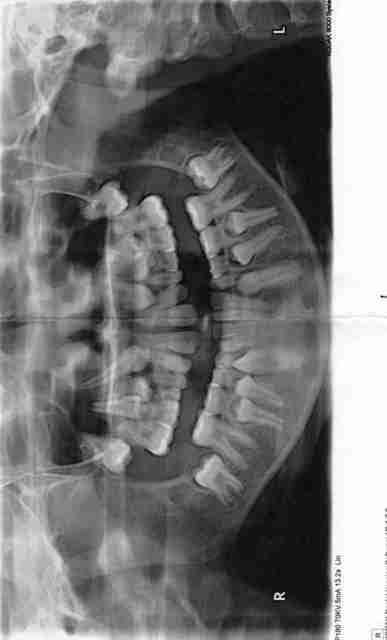
Au vu de la pano quel âge a ma petite patiente??

Radio pedo054 elqvdz - Eugenol

1 eugenol dmj5np - Eugenol
Dancha

06/05/2008 à 10h39

Ici, la 13 sans doute palatine, 23 à coup sûr vestibulaire..
Je me trompe ?
http://www.eugenol.com/eugenol/read.php?4,346717

Daniel

P.S. ce n'est pas moi le confrère dont parle Roup !


fatalgutta

06/05/2008 à 11h16

Au vu de la pano, moi je dirais environ 9 ans ??


tantine

06/05/2008 à 23h13

regarde bien les dents .....


tantine

06/05/2008 à 23h41

je sais bien que la pédo est isolée mais faut il que j'aille en cas clinique pour que vous bougiez??


Image odged8 - Eugenol
ploc

07/05/2008 à 02h02

tantine Ecrivait:
-------------------------------------------------------
> regarde bien les dents .....

impossible,j'ai un torticolis:)
entre 6 et 12? j'ai bon?



Audi tt 2007 jzsdts - Eugenol
sbire

07/05/2008 à 02h19

ben j'ai bien regardé pourtant ...


1 eugenol dmj5np - Eugenol
Dancha

07/05/2008 à 11h57

Elle est sans doute plus âgée, car les apex des canines et prémolaires sont quasiment fermés.

Daniel


tantine

07/05/2008 à 23h30

trouver son âge est une chose, j'accepte une fourchette de 12 mois. Sinon rien ne vous gêne sur cette pano??
PS mon petit Sbire,fais comme moi désormais je chausse mes lunettes de 7 lieues et je vois tout ou presque!!Bises à tes femmes


Mon avatar msn jgkit1 - Eugenol
Ewing

08/05/2008 à 00h59

Dent surnuméraire à l'apex de 11.


Mon avatar msn jgkit1 - Eugenol
Ewing

08/05/2008 à 01h10

Gros retard d'eruption.
Apex de 35 et 45 fermés.
Apex de 13 et 23 fermés.

Sujet agé de 12 ans (+ ou - 12 mois)


fatalgutta

08/05/2008 à 01h37

tantine Ecrivait:
-------------------------------------------------------
> trouver son âge est une chose, j'accepte une
> fourchette de 12 mois. Sinon rien ne vous gêne sur
> cette pano??

C'était quand même la question initiale l'âge, non??
Sinon, si il y a qqch qui me gêne : les dents sont quasiment voir totallement formées mais ne sont pas sur l'arcade


Mon avatar msn jgkit1 - Eugenol
Ewing

08/05/2008 à 02h25

ah ouais ?!!


Image odged8 - Eugenol
ploc

09/05/2008 à 14h55

12 ans 6 mois 3 jours
des versions de certaines dents
et une béance G?

j'y retourne...en vacances et à ma dégustation de foie gras ds le lot:)


colza

09/05/2008 à 20h12

et si c'était un enfant précoce d'une ethnie particulière , il a 6 ans et demi


S8ysxdzhdqgw00w4q6m07a5d47q2 - Eugenol
gai-luron

10/05/2008 à 00h26

A rapprocher de ça???

http://www.eugenol.com/eugenol/read.php?11,236545


Mon avatar msn jgkit1 - Eugenol
Ewing

11/05/2008 à 12h05

colza Ecrivait:
-------------------------------------------------------
> et si c'était un enfant précoce d'une ethnie
> particulière , il a 6 ans et demi


Ouais, genre Gremlins ou E.T.


Image odged8 - Eugenol
ploc

11/05/2008 à 13h28

j'ai raison à qqes jours près:)
les paris st ouverts:champagne?(ewing,tu rajouteras à ton premier pari perdu...:))


tantine

12/05/2008 à 00h27

de retour de Barcelone, je vous donne la réponse elle a 12 ans et demi et effectivement il y a un petit problème, pas de résorption des dts de lait
La cause: inconnue mais j'ai juste trouvé un très fort déséquilibre alimentaire depuis toute petite, pourquoi pas??
Pour la suite que feriez vous?


Mon avatar msn jgkit1 - Eugenol
Ewing

12/05/2008 à 11h10

Ploc, pour le Champagne on est pas à égalité. On boira d'abord le miens, et ensuite le tiens.


Mon avatar msn jgkit1 - Eugenol
Ewing

12/05/2008 à 11h12

tantine Ecrivait:
-------------------------------------------------------

> Pour la suite que feriez vous?

Si tu laissais faire "mother nature" ?



tantine

12/05/2008 à 18h40

si tu laisses faire mother nature la résorption étant à zéro pour les molaires entre autre ,les dts de lait seront encore là à 30 ans et surtout je crains une superbe ankylose des définitives, les canines sont déjà très hautes!


catrose

12/05/2008 à 19h58

Salut tantine,
je serais pour une intervention=extractions rapide
avec suivi ortho pour que les 13 et 23 ne restent pas bloquees
photos cliniques,moulages...?
et la cause alimentaire?je n'y crois pas,la calcification et maturation semblent normales
j'ai eu pas mal de cas comme ca avec des antecedents familiaux mais sans syndrome ou maladie systemique associes


tantine

12/05/2008 à 20h27

Cela fait plaisir de te revoir, Catrose
Pour l'action j'ai effectivement proposé à la patiente les extractions avec un suivi en parallèle ortho car en plus(cela ne se voit pas très bien)la 24 et la 25 se sont croisées à cause du blocage . Je pense qu'il est mieux de tout débloquer rapidement ds ce cas là.


Image odged8 - Eugenol
ploc

14/05/2008 à 01h37

tantine Ecrivait:
-------------------------------------------------------
> Cela fait plaisir de te revoir, Catrose

approuvé

> Pour l'action j'ai effectivement proposé à la
> patiente les extractions avec un suivi en
> parallèle ortho car en plus(cela ne se voit pas
> très bien)la 24 et la 25 se sont croisées à cause
> du blocage . Je pense qu'il est mieux de tout
> débloquer rapidement ds ce cas là.

et de 3 pr le plan de traitement



12