Cookie Consent byPrivacyPolicies.comchir peri apicale, cotaion ,facturation? - Eugenol

chir peri apicale, cotaion ,facturation?

gilles69

14/05/2008 à 15h32

je viens de faire une chir par abord alveolaire sur un kyste au niv de 23, j'ai hesité avant de refermer la fenetre osseuse a combler avec bi-oss, finalement j'en ai mis, mais on peut pas facturer ça DC24, sinon c'est la ruine.
ou alors on ne comble pas, comment faites vous?


Jomiro

15/05/2008 à 01h31

Le comblement c'est NR en plus du DC24


gilles69

16/05/2008 à 19h22

d'accord, mais que se passe-t-il si on ne comble pas?L'os repousse?


Image001 e0kg9q - Eugenol
clemsdent

23/05/2008 à 00h03

si tu referme juste, l'os ne se reformera pas ad integrum. j'ai entendu ça lors d'une conférence.
Le conférnecier a cité une étude sur des animaux, mais je n'ai pas de référence.
a beintot


Fouilla h6plsy - Eugenol
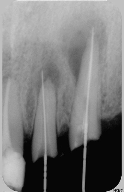
fouilla

10/06/2008 à 19h22

je viens de voir votre post et vous mets une réponse en ligne avec quelques radios preop, postop, à 4 ans après et je vous dirai ce que j'ai mis pour obtenir ce résultat satisfaisant il me semble, par ailleurs vous me direz si en toute impartialité vous auriez opté pour la même option de tt ou si vous n'auriez pas fait l'exo et implanto.
à vous lire....
.

004 v4hiuk - Eugenol
Après resec ejzcrl - Eugenol
4 ans après ubigtx - Eugenol

Cap

23/06/2008 à 02h04

Franchement beau resultat la...