Cookie Consent byPrivacyPolicies.comoups - Eugenol

oups

pincha

14/05/2008 à 19h10

Bonjour à tous,
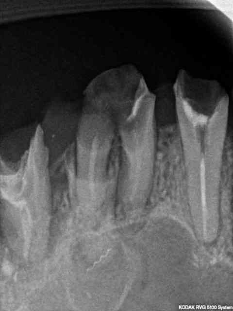
je voudrais votre avis sur cette 26 à extraire . Que pensez vous du fragment de lentulo cassé ? est-ce qu'il viendra facilement avec la racine ? palatine? doit - je déléguer à un stomato?
merci.

R2 nibpr7 - Eugenol
R2 z0whpk - Eugenol
R2 egie3q - Eugenol
R2 qwajju - Eugenol

Dent masqu e petite f0pbaj - Eugenol
dudule

14/05/2008 à 20h09

Je pense que le lentulo viendra sans problème car il me semble qu'il est au centre d'un kyste d'1cm de diamètre.
A confirmer avec une radio mieux centrée.


Dr - Eugenol
JeRis

15/05/2008 à 08h42

... il faut peut-être s'attendre à une CBS là; vas-y mollo lors du curetage du kyste.
Le lentulo lui, il viendra avec.


annickromand

15/05/2008 à 15h57

c'est quoi CBS ? je pense


annickromand

15/05/2008 à 15h58

je continue..à une communication bucco sinusale, mais en le disant c'est peut être plus facile pour un jeune confrère?


pincha

15/05/2008 à 17h03

J'avais compris CBS .....
Elle me parait d'ailleurs trés probable ...
Je gére ça avec une éponge hémostatique suture et atb?


Dr - Eugenol
JeRis

15/05/2008 à 17h14

... + précautions d'usage: ne pas moucher, éternuer, gonfler un ballon, crier sur ses gosses, faire de la plongée ... etc pendant qqs semaines.


Img 8465 fqhxid - Eugenol
noahaxeltiger-olivier

15/05/2008 à 20h45

.


pincha

15/05/2008 à 21h03

Merci à tous!
pour en finir avec la cbs, quelles sont les complications possibles?


Dr - Eugenol
JeRis

15/05/2008 à 21h07

... sinusite aigue.


Avatar ow44t3 - Eugenol
Chicot

01/06/2008 à 00h43

JeRis Ecrivait:
-------------------------------------------------------
> ... sinusite aigue.


et CBS qui s'épithélialise et demeure ouverte


olivier

06/06/2008 à 16h45

Chicot Ecrivait:
-------------------------------------------------------
> JeRis Ecrivait:
> --------------------------------------------------
> -----
> > ... sinusite aigue.
>
>
> et CBS qui s'épithélialise et demeure ouverte


Et cela demeure une façon trés fun de se curer le nez....