Cookie Consent byPrivacyPolicies.comça vous parle? - Eugenol

ça vous parle?

Squash u44zd8 - Eugenol
steph

15/05/2008 à 23h39

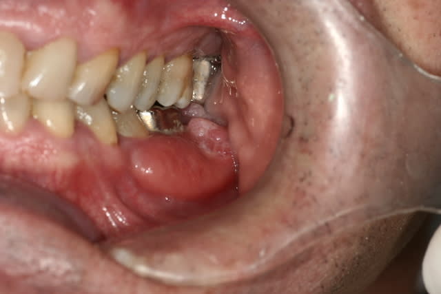
Présent depuis 1 mois, douloureux à la palpation en lingual, chaud et dépressible.
Pas de douleurs.
Patient sous previscan, AVC il y a 3 ans ; sa femme n'a pu me donner la liste de médicaments.

Houlala 001 mfswsj - Eugenol
Houlala 002 fbx41h - Eugenol
Houlala 003 w7uqjn - Eugenol

Squash u44zd8 - Eugenol
steph

15/05/2008 à 23h43

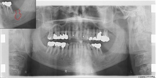
La pano....


Squash u44zd8 - Eugenol
steph

15/05/2008 à 23h44

...la voilà.

001pr 3  oudxlw - Eugenol

Spriford

16/05/2008 à 00h13

Pas de chance ! C'est le seul endroit où il n'y a pas de débordement d'amalgame !


fatalgutta

16/05/2008 à 00h42

Il n'y aurait pas une lésion osseuse juste sous ces bourgeons???
Ca fait quand meme pas très bénin, non?

File - Eugenol

Tilc

16/05/2008 à 01h16

c'est moche mais c est pas ulcéré je pense pas que se soit malin ce truc


pepe54

16/05/2008 à 18h24

pas malin, c'est pas sur.
C'est a adressé d'urgence a un service specialisé.
J'ai vu une fois un carcinome verruqueux qui avait cet aspect exterieur et le meme aspect radio.
Tiens nous au courant


Spriford

16/05/2008 à 19h31

S'il y a une image radio, elle est où ?

 est ce qui est suspect u5fmji - Eugenol

colza

17/05/2008 à 11h53

comme pepe54 , envoi rapide en service hospitalier, je ne mettrais pas 10 kopeks sur un truc bénin.


Squash u44zd8 - Eugenol
steph

17/05/2008 à 15h57

Voilà, je l'ai adressé au service d'odontologie de l'hôpital proche de chez moi.
Je vous tiendrai au courant des résultats.


Avatar ow44t3 - Eugenol
Chicot

01/06/2008 à 12h16

steph Ecrivait:
-------------------------------------------------------
> Voilà, je l'ai adressé au service d'odontologie de
> l'hôpital proche de chez moi.
> Je vous tiendrai au courant des résultats.


alors c'est quoi ?


Squash u44zd8 - Eugenol
steph

01/06/2008 à 21h19

Toujours pas de nouvelles du correspondant.


Cuisinier2 vnbbxx - Eugenol
jeff2

01/06/2008 à 21h46

je crois que c'est la peine d'en attendre..


Moné

05/06/2008 à 14h24

Toujours rien? Pas de nouvelles...bonnes nouvelles?


Squash u44zd8 - Eugenol
steph

05/06/2008 à 22h58

Non pas de bonnes nouvelles, le correspondant est très en retard dans son courrier mais d'après sa secrétaire j'ai bien compris que c'était pas bénin.
Le patient a filé chez l'ORL....j'attends la suite et plus de précisions.


colza

05/06/2008 à 23h35

1 an maximum :-(


Img 8465 fqhxid - Eugenol
noahaxeltiger

06/06/2008 à 12h12

colza Ecrivait:
-------------------------------------------------------
> 1 an maximum :-(


Commentaire ridicule et inutile


Tilc

12/06/2008 à 01h27

c est vrai c est ridicule. Les prévisions c est a 5 ans !
> 5 ans aucune chance ...


colza

14/06/2008 à 15h55

le commentaire ridicule est tout simplement le vécu de mon exercice d'omnipraticien de campagne, chaque fois que j'ai vu un truc comme ça , l'avenir du patient a malheureusement été très court.
la question était : "ça vous parle?", j'ai répondu simplement ce que cela m'évoquait.
maintenant je ne suis pas un expert international, je n'ai pas l'analyse histo de la lésion, je ne suis pas pas chir maxillo facial etc....
si c'est un simple papillome ou une exostose j'en serais très heureux pour le patient, mais j'ai de fort doute.
si la formulation de mon doute a heurté quelqu'un : mille excuses


Cap

23/06/2008 à 02h00

Alors des nouvelles de la correspondance ?


Squash u44zd8 - Eugenol
steph

24/06/2008 à 01h17

Non, je relance chaque semaine le correspondant et chaque semaine sa secrétaire me dit qu'il a beaucoup de retard dans son courrier.


Squash u44zd8 - Eugenol
steph

03/07/2008 à 19h05

J'ai retéléphoné aujourd'hui, j'attends le courrier avec compte-rendu de l'ORL.


Image19 iebot6 - Eugenol
athos

03/07/2008 à 23h19

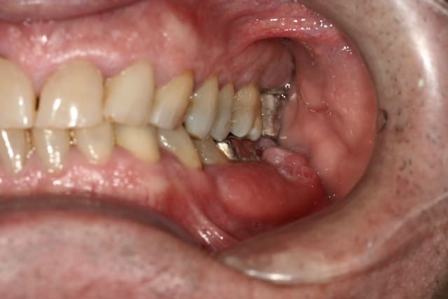
dis donc c'est vilain mon steph, c'est surement pas le moment mais tous le groupe molaire de ce coté, haut est bas serait mieux ailleurs qu'en bouche


Squash u44zd8 - Eugenol
steph

04/07/2008 à 02h05

Je suis bien d'accord, c'est pour cela que je trouve l'attitude du correspondant pour le moins désinvolte (pas le temps de faire un courrier tu parles!).


Barbatruc

07/07/2008 à 14h07

pourquoi ne pas joindre directement le patient ?


12