Cookie Consent byPrivacyPolicies.comRTE : la roulette russe - Eugenol

RTE : la roulette russe

Image19 iebot6 - Eugenol
athos

30/06/2008 à 19h04

pffff...vi bin deux secondes ! :):) quand ce sera fini ça n'aura pas grand intéret , juste j'ancrerai pour repartir les contraintes différemment)

bien sur le canal est repris, mais juste parce que j'ai dû y retourner pour déposer ce maudit truc si bien collé,et je ne vais pas dans les canaux mesiaux


largement? tenon passif noyé dans matrice collée, un plaisir c'est sur:)


Image19 iebot6 - Eugenol
athos

30/06/2008 à 19h05

sorry, fallait trouver la rd (heu...cherche pas suis au bout:):) )

R6 dskl0n - Eugenol

Avatar transparent iqadnc - Eugenol
adhoc

30/06/2008 à 19h38

Joli , ton retraitement, n'athos! (tu as contourné la ferraille coincée avec maestria!)
Tu vas voir, ben va baver!


Img 1392 s73srk - Eugenol
Guttaman

30/06/2008 à 19h38

Ahhhhhh....Ldl t'a contaminé avec sa technique de prise de radio...??! ;-)


Image19 iebot6 - Eugenol
athos

30/06/2008 à 19h44

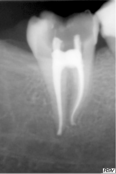
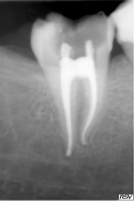
merci mon nadhoc! mais c'était pas de la feraille , c'est cette nouvelle mode du tenon plastoc non ajusté au canal (ou plus exactement sous ajusté) et noyé dans une résine collée aux parois (je crois qu'il y a eu un article récemment dans l'ID)

le but étant de réduire, ou plûtot de répartir astucieusement les contraintes en caressant les coef d'élasticité dentine, resine, pivot etc...parce qu'on veut éviter qu'un pivot metal, ajusté au canal, n'amorce felures et fractures

alors on voudriat coller (tiens! un bouble-sens!) aux résistances naturelles de la structure dentaire.

Moralité, comme naturellement les contraintes s'accumulent au tiers cervical, bin c'est là que ça a cassé...c'était du trop good job! :)


Image19 iebot6 - Eugenol
athos

30/06/2008 à 19h45

qu'est ce qu'il a fait comme c.... encore le gamin avec les radios? (suis pas au courant?)

l'est pas bonne ma rd? technique des plans parralleles sans correction pourtant, pis meme avec mon doigt, par dévouement au soin:)


Avatar transparent iqadnc - Eugenol
adhoc

30/06/2008 à 22h57

Curieux, mon athos, les tenons carbonne sont moins opaques aux RX, d'habitude! ; cela dit, je trouve ta radio tres bien, peut etre qu'en étant puriste, il faut adapter en rendant paralleles l'axe de la dent et l'axe principal -ici vertical-, mais ne chipotons pas, je serais incapable de faire mieux, sauf coup de chance!)


Squash u44zd8 - Eugenol
steph

01/07/2008 à 00h18

Ce qui me frappe, c'est l'absence de signes cliniques d'inflammation gingivale sur tes premières photos.
Pourtant ça semblait flirter avec l'attache épithéliale non?
Beau travail, et merci pour les photos.


024 vownvo - Eugenol
annie

01/07/2008 à 04h25

une chance qu'elle se soit bien cassée et puisse etre récupérable!la couronne est un peu plus sure pour aller loin en menageant la monture!
Athos,va la " sauver"!:)


*indépendamment de tout le reste,ta provisoire vite fait est belle,quelle technique et produit?


Image19 iebot6 - Eugenol
athos

01/07/2008 à 10h58

pour être sincère adhoc, a la premiere radio l'opacité du tenon m'a si peu marqué que je ne l'avais pas vu:)

oui steph, c'est peu visible sur les premières photos, question d'éclairage peut etre, on voit mieux le violacé autour de la prov?

annie c'est une prov toute bete toute simple, qui prend très peu de temps en tab2000: emp silicone pre op, évidée avec grosse meulette cone renversée de labo pour sculpter grossierement en négatif, auto moulage, retouche et polissage avec brosette poils durs pour faire briller (surtout les bords gingivaux)J 'utilise cette resine si je veux du durable et rebasable

mais tout ça c'est pour coller au fil de discussion hein! oubliez pas:):)


LdL

01/07/2008 à 17h49

Joli athos. Je me suis souvent demandé pourquoi reprendre tous les canaux quand un seul semble atteint.

Je confirme, jolie provisoire. quand à la radio, c'est la position verticale du capteur (ou du film) sur les molaires qui les inquiète...


Image19 iebot6 - Eugenol
athos

01/07/2008 à 17h59

ah bon...sais pas pourquoi alors.Les radios sont centrées, même temps minimal d'expo, plans parralléles, sans deformations géométriques (ou deformations proportionnelles), et d'une radio sur l'autre les lectures se reportent...

mais je ne me défends pas, je cherche a savoir:)

en fait pour un rttt, les deux questions que je me posent:
- y a t il pathos? ou risque de pathos.Si oui, j'attaque évidemment.
- sinon, suis je assuré de faire mieux?


Img 1392 s73srk - Eugenol
Guttaman

01/07/2008 à 19h52

athos Ecrivait:
-------------------------------------------------------
> l'est pas bonne ma rd? technique des plans
> parralleles sans correction pourtant, pis meme
> avec mon doigt, par dévouement au soin:)

Oui, juste qu'il me semble que les dents du secteur molaire/prémolaires devraient être prises avec une radio orientée avec son granbd axe horizontalement...et pas l'inverse comme pour les Incisives et Canines. Bon, je chipote, je te l'accorde. Tant qu'on voit ce que l'on veut finalement... ;-)
PS : En fait, en faisant comme tu fait, tu es obligé de reculer ton capteur par rapport à ta dent (surtout pour les dents sup)...et plus tu t'éloignes, moins ta radio est bonne et précise car la moindre angulation a d'autant plus d'incidence sur les déformations. Je ne sais pas si je suis assez clair. Oui, non ?


Image19 iebot6 - Eugenol
athos

01/07/2008 à 20h02

je crois...cet axe là?

R66 cc98vf - Eugenol

Bjorn

01/07/2008 à 22h25

Annie...?


Avatar transparent iqadnc - Eugenol
adhoc

01/07/2008 à 22h46

Je pense, amigo athos!!! (histoire de trouver qquchose :-))))


Img 1392 s73srk - Eugenol
Guttaman

02/07/2008 à 00h49

Quand je parlais de grand axe de la radio, c'est la longueur du capteur qu'il fallait comprendre, pas celui de la dent radiographiée. En gros, pour des molaires/prémolaires, ta radio doit être regardée comme un écran 16/9. Pour les I et C, comme le portarit de la Joconde.


Image19 iebot6 - Eugenol
athos

02/07/2008 à 10h01

capteur "couché" alors?

dis donc t'es sur que ça va diminuer les déformations ça? enfin bon, je ferai comme ça desormais, mais si je ne vois pas une amélioration merveilleuse de l'image je serai tout déçu déçu déçu...


LdL

02/07/2008 à 11h07

Bah moi le capteur couché une fois sur deux j'ai pas l'apex. Au moins, debout, j'ai de la marge.


Image19 iebot6 - Eugenol
athos

02/07/2008 à 11h13

oui, mais aussi je ne suis pas persuadé que dans le cas ou on veut faire une correction parallectique (heu...pas sûr de l'orthographe du terme, mais = cale, faisceau déporté et deformations proportionnelles) raccourcir la longueur du capteur ne complique pas la chose

guttaman a toi:):)


Img 1392 s73srk - Eugenol
Guttaman

02/07/2008 à 13h17

Bon, je vais essayer d'être plus clair :
Pourquoi les bite-wings permettent-ils d'avoir une meilleure définition des caries interproximales débutantes ? Parce que le film ou le capteur est collé aux dents. Plus la distance film/capteur - dents radiographiées augmente, plus la moindre inclinaison (que ce soit dans le sens horizontal ou vertical) aura une incidence sur l'image obtenue sur le film. A l'inverse, plus le film est proche des dents, moins il y aura de déformations dues à un parallèlisme imparfait.

Dans le cas de la prise d'une radio sur des dents maxillaires, si tu mets ton capteur en position verticale, tu es obligé de la reculé pratiquement au niveau du raphé médian pour qu'il soit bien parallèle à l'axe des dents. De plus, du fait de la longueur du capteur, il y a peu de chances que tu puisses faire mordre ton patient sur la partie plastique des deux côtés (sup et inf) en même temps, résultat le porte capteur est en équilibre précaire ce qui n'améliore pas la satbilité de l'ensemble pendant la prise cliché.

Enfin, rappelons qu'un Z6, c'est 7.98 euros. Même si tu passes 2 minutes pour prendre une radio (c'est super long 2 minutes), ça te fais quand même presque 4 euros de la minute, soit 240 euros de l'heure...Le problème est là : comme avec les appareils photos numériques, c'est tellement rapide à prendre un cliché, qu'on ne prend plus trop le temps de bien positionner le capteur en se disant "si c'est foiré, je reprend facilement". Dans les faits, on obtient de moins bonnes photos parce qu'on mitraille à tout va, sans prendre le temps de régler correctement...et on ne reprend pas forcément une nouvelle photo pour autant. Qualité vs quantité en quelque sorte. Mais on est tous pareils là dessus je pense. Il faut juste en être conscient pour rectifier un peu le tir.


Image19 iebot6 - Eugenol
athos

02/07/2008 à 13h33

c'est vrai qu'en terme de radioprotection, l'apport du numérique se discute dès lors qu'on multplie les incidences.
pour le reste, suis lourd mais faut que je potasse il doit me manquer quelque chose:), je connais les incidences géométriques, la technique des plans paralleles, la technique des plans a correction parallectique, doit m'en manquer une.

ps: je t'ai dit que je tenais le capteur avec mes doigts (ééhhhh oui...je sais) plaqué contre la dent, plus près et plus parrallele on peut pas, le generateur est a anode déportée, je n'utilise pas de viseur mais je m'applique a ce que le faisceau soit bien perpendiculaire au plan et centré sur le milieu de....l'objet ou le capteur? hmmm?...

parce que je vais plus oser poster de radio moi si je comprend pas!:)


Image19 iebot6 - Eugenol
athos

02/07/2008 à 13h33

finira bien par dire que ma radio était bonne, même par lassitude...:)


Image19 iebot6 - Eugenol
athos

02/07/2008 à 13h56

faut surement que j'améliore quelque chose, c'est stressant parce que jusque là j'étais peinard, je croyais ma technique fiable et la trouvais plutôt reproductible avec le même genre d'incidence en permanence et la même facilité de lecture

Rd kratm1 - Eugenol

Img 1392 s73srk - Eugenol
Guttaman

02/07/2008 à 14h14

Bon, j'espère que tu plaisantes quand tu dis que tu tiens le capteur avec tes doigts (bon, une fois tous les 36 du mois, je pense pas que tu en mourras...mais sinon faut tout revoir).

Tiens, un truc pas trop mal (voir page 18 notamment) :
http://www.semio-radio-dentaire.be/doc%20pdf/Syll%20Radio%20Dent%20V2004.pdf