Cookie Consent byPrivacyPolicies.comun cas clinique - Eugenol

un cas clinique

Blason dql7mj - Eugenol
growler

24/05/2008 à 00h07

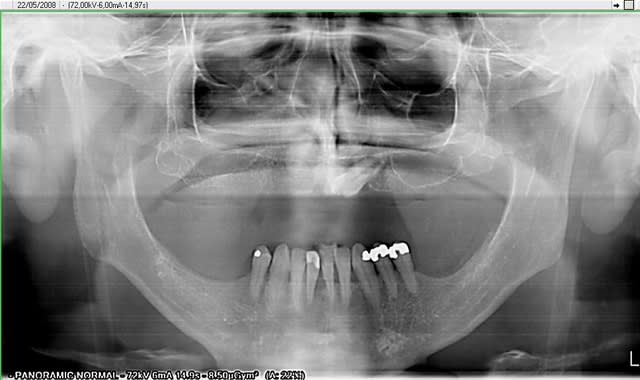
nouveau patient, il en a assez de son complet sup et de son édentation mandibulaire (le stellite est dans un tiroir depuis 15 ans).

Il veut vraiment une solution fixe.

2008 05 22 027 writc9 - Eugenol
Cas clinique ccpl3i - Eugenol

davemarss

24/05/2008 à 01h13

sinus lift x 2, 8 implants max, antérieures en inters et implants courts dans les zones post mand


Img 8465 fqhxid - Eugenol
noahaxeltiger

24/05/2008 à 20h33

davemarss Ecrivait:
-------------------------------------------------------
> sinus lift x 2, 8 implants max, antérieures en
> inters et implants courts dans les zones post mand


Et oui tu vois growler, comme davemarss te le dis, c'est simple comme un bonjour. Je vois pas très bien pourquoi tu poses la question ??

Euh davemarss, t'as bien vu qu'il y avait une dent incluse au maxillaire, que le patient présente un terrain parod, et que l'occlusion n'est pas des plus simple. Tu crois vraiment que growler va se satisfaire de ta réponse ???


Blason dql7mj - Eugenol
growler

24/05/2008 à 23h04

je vous avoue que ce qui me pose le plus problème c'est son occlusion. Sous le complet, à la palpation on ne sent pas une crête très résorbée (mais la palpation est parfois (souvent) trompeuse). Le patient me dit que lorsqu'il avait encore ses dents en haut elles étaient en "bout à bout" avec les incisives inf. Il ne possède pas un profil cutané typique des classes III squelettique. J'ai vérifié s'il ne propulsait pas en fermant: négatif. Il semble donc qu'une résorption centripète progressive ait eu lieu au niveau de son maxillaire aboutissant à l'état actuel. je vais faire une téléradiographie de profil pour préciser la classe squelettique.

Si vraiment la résorption maxillaire est modérée, je pourrais prévoir une greffe d'apposition au niveau prémaxillaire (prélèvement symphysaire par exemple) et 2 sinus-lifts. En revanche si le recul maxillaire est plus marqué il serait peut être judicieux d'envisager alors une chirugie d'avancée du maxillaire.

la canine incluse sera extraite et la zone pourra être reconstruite par greffe lors de la chirurgie dans l'une ou l'autre des solutions.

pour la mandibule: assainissement parodontal (les 41 31 ne sont pas mobiles actuellement). La résorption osseuse est importante horizontalement et verticalement, on aurait un rapport couronne/implant très défavorable sans redonner de la hauteur à la crête. Alors comment reconstruire ici: greffes en onlay? (où prélever suffisament d'os?), ROG avec de l'os autogène et membranes gore tex renforcées titane?

ou alors, plus simple, extraction de toutes les dents, 6 implants et une prothèse transvissée avec MCI et en haut du "all on six"?

quoiqu'il en soit pour prendre une décision il me faut préciser la classe squelettique et les résorptions osseuses. Je vais donc faire un montage haut et bas (avec les incisives en bout à bout) avec un matériau radiopaque et faire pratiquer une téléradiographie de profil et des tomographies de l'ensemble des maxillaires.


ps: en bas c'est aussi un cas qu'on peut résoudre par un sous périosté (enfin il me semble)

vous en pensez quoi?

@+


davemarss

24/05/2008 à 23h16

J'ai pas dit que c'était simple, j'ai dit que je ferais ça !

Gérer le sect ant avec des inters me permet de ne pas souffrir de la resorption dans ce secteur, pour le reste, j'en sais pas plus, il faudrait un scan.

Je ne ais pas partie des dentistes totalitaires et impérialistes sur leur plans de traitement !


Roger federer 300x217 eqdnuv - Eugenol
Patatrasse

25/05/2008 à 21h13

la distraction osseuse à la mandibule serait une bonne solution si il y a assez d'épaisseur horizontale ce qui semble hélas ne pas être le cas,car on gagne de la hauteur sans avoir à modifier les tissus mous ,ils suivent tout seul l'augmentation verticale de l'os.
Et surtout pas de greffe importante à faire ,juste prendre de l'os pour les 2 sinus lift en haut.
A voir .......


Blason dql7mj - Eugenol
growler

25/05/2008 à 23h20

pour le bas je penche pour la solution d'une ROG si possible en un temps: pose des implants dans une position idéale par rapport aux dents qu'ils vont soutenir et une ROG autour des zones ostéo-émergentes de ces implants avec os autogène recouvert par membrane gore tex renforcées titane fixée apicalement par des clous ou vis d'ostéosynthèse.


Avatar ow44t3 - Eugenol
Chicot

26/05/2008 à 22h52

Patatrasse Ecrivait:
-------------------------------------------------------

> Et surtout pas de greffe importante à faire ,juste
> prendre de l'os pour les 2 sinus lift en haut.
> A voir .......


aujourd'hui le consensus est plutôt de faire les sinus lift avec un biomat que de l'autogène qui se résorbe jusqu'à 70% au bout de qq années


damdam

26/05/2008 à 23h30

et avec du bio oss et mb résorb?


Blason dql7mj - Eugenol
growler

27/05/2008 à 00h59

damdam Ecrivait:
-------------------------------------------------------
> et avec du bio oss et mb résorb?


je vais récupérer l'os de forage et le compléter si necessaire avec du bio-oss. En membrane résorbable, la biomend extend est celle, parmis les non renforcées, qui a une certaine rigidité et permet un peu le maintien de l'espace mais la goretex renforcée titane protègera mieux le site des contraintes?



rene

29/05/2008 à 17h34

et pourquoi pas un all on 4
avec 2 implants en 36 et 46

ça evite greffes de sinus et chirurgie maxillaire


davemarss

30/05/2008 à 00h57

déconne pas, tu peux pas te contenter de cette solution....t'as pas vu sa bouche en tiroir-caisse ?


Growler veut en croquer un peu....


Blason dql7mj - Eugenol
growler

28/06/2008 à 19h04

un petit cas clinique de cet après midi:

2008 06 28 006 hnr5sh - Eugenol
2008 06 28 008 vvxkvx - Eugenol
Pano préop satbcv - Eugenol
2008 06 28 005 pkrebi - Eugenol

Blason dql7mj - Eugenol
growler

28/06/2008 à 19h08

suite

2008 06 28 009 x09hs5 - Eugenol
2008 06 28 010 ez0sto - Eugenol
2008 06 28 011 r2zvfr - Eugenol
2008 06 28 012 so1wgy - Eugenol

Blason dql7mj - Eugenol
growler

28/06/2008 à 19h12

la pano post op

j'avais prévu de faire une MCI mais le manque de stabilité primaire des 2 implants côté droit m'en a dissuadé.
membrane biomend extend stabilisée par 2 petites vis de 4 mm de long de chez esasy implant. Os autogène et un peu de bio-os mélangé pour combler le defect.

@++

Pano post op o2fbwq - Eugenol

Img 8465 fqhxid - Eugenol
noahaxeltiger

28/06/2008 à 21h30

Magnifique!!! Du grand art !!

Petite question : pourquoi ne pas avoir couvert le defaut crestal entre l'implant R1 et R2, est ce parce que tu voulais placer l'implant provisoire ?

Encore une fois, bravo !!


Images 1 qtgoxf - Eugenol
ciwil

28/06/2008 à 21h50

dis donc growly, la fléchette en 34 a raté de peu sa cible !
:)
superbe (j'ai bien fait d'arrêter l'implanto)


3f3boxni50k58rq7e9ce9ddqrxgk - Eugenol
dentiste57

29/06/2008 à 06h51

bravo, belle réalisation.

questions;

c'est quoi ta membrane?

comment la maintiens tu au niveau de la cr^te ?

pourquoi des vis et non des pins plus faciles à retirer ?

c'est quoi la marque de tes mini implants et quand vas tu les retirer ?


Blason dql7mj - Eugenol
growler

29/06/2008 à 11h52

"pourquoi ne pas avoir couvert le defaut crestal entre l'implant R1 et R2, est ce parce que tu voulais placer l'implant provisoire ? "

en fait avant de placer l'implant provisoire et de suturer, j'ai mis en place une membrane biogide par dessus cette zone pour bien la recouvrir. L'implant provisoire de ce côté traverse la membrane biogide dans laquelle j'avais ménagé (pour le fun)un petit trou avec la pince à perforer les digues. malheureusement je n'ai pas pu prendre l'ensemble des photos que j'aurais souhaité.

"dis donc growly, la fléchette en 34 a raté de peu sa cible"
caramba, encore raté :) je visualise l'émergence du trou mentonnier et ai sondé pour voir s'il n'y avait pas de boucle antérieure. Du côté droit, il m'étais plus aisé de poser l'implant provisoire entre les implants.

pour répondre à dentiste 57, membrane biomend extend fixée par des vis courtes de chez easy implant (elles coûtent quasiment le m^me prix que les pins et je trouve perso qu'elles sont plus facile à retirer, bien que parfois je les laisse en place)
les minis implants sont des intra-lock de 13 mm: http://intra-lock.com/index.php?option=com_virtuemart&page=shop.browse&category_id=96&Itemid=49 vendu chez orimplants
il y a quasiment les mêmes chez imtec: http://www.imtec.com/demo/patientsguide1.php#Mini-Dental-Implants-1
et chez sterngold: http://www.sterngold.com/Sterngold/Implants/Product.aspx?pId=922382

easy implant en fait aussi: http://www.easyimplant.com/fre_FR/catalogue-produits?module=catalogue&action=produits.listing&id_ctg=154

je vais les retirer dans au moins 4 mois, le jour de la pose de la prothèse finale.

@++


Amibien

29/06/2008 à 12h27

growler, tu travailles trop bien !!!!


Images 1 qtgoxf - Eugenol
ciwil

29/06/2008 à 16h10

l'adaptation de l'appareil provisoire n'a pas dû être simple


Amibien

30/06/2008 à 02h26

ciwil Ecrivait:
-------------------------------------------------------
> l'adaptation de l'appareil provisoire n'a pas dû
> être simple


c'est ce qu'il y a de plus facile... les mini implants sont géniaux dans cette application


Fouilla h6plsy - Eugenol
fouilla

30/06/2008 à 14h11

growler Ecrivait:
-------------------------------------------------------
> un petit cas clinique de cet après midi:
...
dire que personne ne t'a repris pour ce trait d'humour !
si personne ne l'avait déja dit j'oserai bien la refaire : quand je serai grand je veux bien être comme grow...
superbe, merci de l'avoir mis sur nonol
.
>
>



Blason dql7mj - Eugenol
growler

30/06/2008 à 16h31

je ne manquerai pas de mettre la suite des évènements (mise en fonction et réalisation prothétique)

Cela dit, c'est vraiment à la portée de chacun, il suffit de bien suivre le protocole et d'être équipé un minimum.

@+


alhoun

30/06/2008 à 17h49

excellent boulot, growler.
ce qui est dommage, c'est que tu as deux ou trois clampins qui s'intéressent, et la masse invisible qui aurait beaucoup à apprendre de ce genre de cas et qui reste à l'écart.
mais je sais, c'est une vocation....

toi, l'eugénolien silencieux et un peu crétin sur les bords, prends en de la graine!


12...