Cookie Consent byPrivacyPolicies.comcat - Eugenol

cat

pincha

27/05/2008 à 12h45

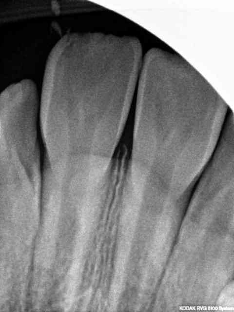
Enfant 8 ans , chute sur des escaliers en béton à l'école , choc sur incisives centrales max. et petite plaie propre lèvre sup. radio de controle: présence de débris(petits) dans la lèvre. cat?

R2 amxshe - Eugenol
R5 xvrnbx - Eugenol