Cookie Consent byPrivacyPolicies.comreprise endo - Eugenol

reprise endo

debi-debo

30/05/2008 à 13h12

bonjour,
un petit cas juste en passant
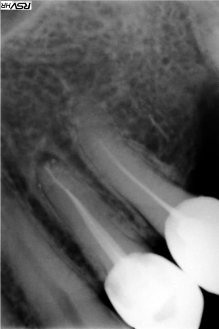
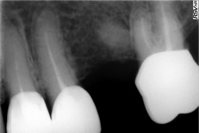
une patiente se présente au mois d'octobre avec plusieurs dents couronnées et des douleurs sur l'une d'elles avec gonflement etc...(ci joint radio préop)
je reprend donc le traitement de la 24 (radio ci jointe), je met la dent d'à coté (asymptomatique) sous surveillance et j'extrait le morceau de racine qui traîne.
j'avais donc plutôt bon espoir mais les douleurs au niveau de cette 24 sont encore presentes avec une legere voussure au niveau du vestibule, moins fortes mais toujours présentes.(radio ci jointe)
question:puis je encore espere une guerison et attendre encore ou dois je re-reprendre le traitement parceque sur la derniere radio les images apicales n'ont pas vraiment disparues????
merci d'avance de vos reponses

Boussoctobre lfa5rb - Eugenol
Boussnovembre wi2qw5 - Eugenol
Boussmai vwhmoe - Eugenol
Boussoctobre pp5mky - Eugenol
Boussoctobre dqtuch - Eugenol
Boussnovembre pqcoti - Eugenol
Boussmai bph3j7 - Eugenol
Boussoctobre rm8k6g - Eugenol
Boussoctobre yyrbtb - Eugenol
Boussnovembre fptvln - Eugenol
Boussmai qhhjhp - Eugenol
Boussoctobre mesmis - Eugenol
Boussoctobre teyibs - Eugenol
Boussnovembre webmu6 - Eugenol
Boussmai bjd8gz - Eugenol

olivier d

30/05/2008 à 13h48

Apectomie rétrograde


Spriford

30/05/2008 à 14h36

As-tu rebouché la racine après disparition de tout symptôme ou bien dans la séance avec AB et compagnie?
De quelle nature est le dépassement?

J'ai un principe qui consiste à me dire qu'il n'y a pas de raison pour qu'un granulome guérisse plus vite qu'il n'est apparu; donc je patiente parfois 2-3 ans avant de conclure à un echec.


Gonzo k0qhwz - Eugenol
matten

30/05/2008 à 15h55

Des fois la voussure est juste due a une expulsion de debris infectes dans le periapex.
Attends que ca passe et ca devrait etre bon.


Audi tt 2007 jzsdts - Eugenol
sbire

30/05/2008 à 20h21

il attend depuis octobre quand même


Pa050055 igyagy - Eugenol
mark

30/05/2008 à 22h40

reprendre le trt:

aléser à iso 35 ou 40
nettoyage des parois aux US
hypochlorite 5%
edta
chlorhexidine 5%
edta
Hypochlorite 5%

Compactage de gutta

contrôler à 2 mois


Gutt-A

30/05/2008 à 23h29

Le plus dur était de passer la partie calcifiée...peut être qu'une conicité plus importante dans le tier apical permettra à l'hypochlorite de faire son effet ;)



200106 10150128247663588 709988587 6466236 5598391 n d7mksb - Eugenol
hallboy

31/05/2008 à 00h30

pour les RTE, si j'ai bien suivi, c'est F3 (apex a 30 et 6 à 8% de conicité ) hypo a 2.6 minimum avec idealement renouvèlement de la solution au maximum et si possible chauffée ( machtou adf. A ce sujet, si qqun va aux journées de la SFE sur l'irrigation.... ) et . edta une minute, puis de nouveau Javel au litre.

le F3, c'est pas pour racler les parois; mais bien pour permettre a l'irrigant ( le desinfectant ) d'atteindre et d'etre efficacement renouvelé dans la zone appicale


Img 1392 s73srk - Eugenol
Guttaman

31/05/2008 à 00h56

mark Ecrivait:
-------------------------------------------------------
> reprendre le trt:
>
> aléser à iso 35 ou 40
> nettoyage des parois aux US
> hypochlorite 5%
> edta
> chlorhexidine 5%
> edta
> Hypochlorite 5%
>
> Compactage de gutta
>
> contrôler à 2 mois

mark, pourquoi 35 iso ?? je préfère largement dans ce cas, toujours en n'utilisant qu'une seule lime, passer un coup de F3...tu auras du 9% au lieu de 2%. Ensuite, le choix du diamètre final, se fait par le jaugeage du foramen. c'est lui qui nous dis à combien on doit s'arreter.
Ensuite pourquoi diable faire compliqué quand on peut faire simple ? (exit la chlorhexidine).
Et enfin, pourquoi contrôle à 2 mois et pas à 1 ou à 3 ? ça sent la bonne cuisine tout ça.

Perso, c'est la mise en forme du 1/3 apical qui me parait un peu faiblarde.
Cependant, je conseillerai quand même de vérifier à la palpation le côté opposé car parfois, le patient admet alors que ça ne fait pas plus mal que de l'autre côté...


Grueavatar nptrc9 - Eugenol
Le Choixpeau magique

31/05/2008 à 11h35

Guttaman Ecrivait:
-------------------------------------------------------

>
> mark, pourquoi 35 iso ?? je préfère largement dans
> ce cas, toujours en n'utilisant qu'une seule lime,
> passer un coup de F3...tu auras du 9% au lieu de
> 2%.

Rien n'interdit de faire un step back...
Avec ton F3 tu auras certes un apex à 30 (ou un peu plus), mais ta conicité de 9% sera sur max 1 mm.


Img 1392 s73srk - Eugenol
Guttaman

31/05/2008 à 12h46

Le Choixpeau magique Ecrivait:
-------------------------------------------------------
>
> Rien n'interdit de faire un step back...
> Avec ton F3 tu auras certes un apex à 30 (ou un
> peu plus), mais ta conicité de 9% sera sur max 1
> mm.


Si tu arrives à faire un step back avec un seul instrument, je veux bien que tu m'expliques ;-).
Et puis, à quoi ça sert que willy se décarcasse ? : http://www.eugenol.com/eugenol/read.php?8,163166
C'est bien sur 3 mm que tu auras 9%.


Grueavatar nptrc9 - Eugenol
Le Choixpeau magique

31/05/2008 à 12h57

Guttaman Ecrivait:
-------------------------------------------------------

> Et puis, à quoi ça sert que willy se décarcasse ?
> :
> http://www.eugenol.com/eugenol/read.php?8,163166
> C'est bien sur 3 mm que tu auras 9%.

Non non, les instruments font 9% sur 3mm, mais ça ne veut pas dire que ta préparation aura ces caractéristiques.
Pour avoir une prep de 9% sur 3mm en un coup de F1 il faudrait envisager de ne faire qu'un seul passage et que l'instrument travaille sur ces 3mm, or ce n'est pas le cas en pratique et ce n'est pas souhaitable (3mm de travail avec une lime à la conicité variable inversée, tu augmentes pas mal tes chances d'en laisser un bout dans le canal).
Ca serait amusant de savoir si Willy et ses amis ont modélisé les cotes finales d'un canal préparé avec une séquence protaper, mais amha la conicité apicale doit être inférieure à celle des instruments. L'esprit des F est bien de laisser leur "empreinte" dans le canal, mais en pratique le brossage est inévitable.


Img 1392 s73srk - Eugenol
Guttaman

31/05/2008 à 13h14

Il n'y a pas de risque majeur si tu as passé le F2 et le F1 au préalable. Si tu as vraiment peur, tu le passes en manuel. Et puis, désolé, mais je ne vois pas comment la conicité apicale pourrait être inférieure à celle de l'instrument si on ne s'endort pas à l'apex bien sûr. D'ailleurs, il ne faudrait pas confondre brossage et transportation canalaire. Il n'est pas démontré que les finishers, bien utilisés, provoquent ce problème.


Stéphane

02/06/2008 à 01h45

Le Choixpeau magique Wrote:
-------------------------------------------------------
> Non non, les instruments font 9% sur 3mm, mais ça
> ne veut pas dire que ta préparation aura ces
> caractéristiques.

Tu peux m'xpliquer comment, mecaniquement, si un instrument coupant qtteint une longueur dans un canal, il n'a pas laissé au minimum son empreinte. A ma connaissance, le NiTi este plus dur que la dentine, et c'est toujours le plus fort aui gagne.
Si maintenant, apres brossage de S1 et S2, ton finisher ne travaille pas sur ses 3 milimetres, ce qui je te l'accorde est prefereable, cela veut dire une seule chose, c'est que la conicite du canal prepare a ce stade la, est deja au dela de celle de l'instruement

> Pour avoir une prep de 9% sur 3mm en un coup de F1

Le F1 a une conicite de 7% et ensuite 5%. Donc effectivement impossible d'obtenir 9% avec ce seul instrument.


> il faudrait envisager de ne faire qu'un seul
> passage et que l'instrument travaille sur ces 3mm,
> or ce n'est pas le cas en pratique et ce n'est pas
> souhaitable (3mm de travail avec une lime à la
> conicité variable inversée, tu augmentes pas mal
> tes chances d'en laisser un bout dans le canal).

Si tu brosses avec les Finishers, tu vas au devant de gros emmerd......


> Ca serait amusant de savoir si Willy et ses amis
> ont modélisé les cotes finales d'un canal préparé
> avec une séquence protaper, mais amha la conicité
> apicale doit être inférieure à celle des
> instruments.

Willy et ses amis ont laisse faire les autres. Si tu t'interesses juste 5 minutes a la litterature sur le sujet , tu dois avoir environ 150 papiers la dessus. Je te recommande notamment les papiers de O. Peters et L. Bergmans qui ont analyse les canaux avec un Micro CTScan, echelle de coupe 1 micro metre. reconstitution de la dent avant et apres.

L'esprit des F est bien de laisser
> leur "empreinte" dans le canal, mais en pratique
> le brossage est inévitable.

Encore une fois, si tu brosses avec les Finishers, il ne faut pas s'etonner.

Je n'ai pas mis un Finisher en rotatif depuis au moins 4 ans dans un canal. Les preparations paicales sont exclusivement faites avec les Finishers en Step Back en 0.5mm.
Il suffit de prendre des limes manuelles ISO pour verifier une conicité (ici de 10%) pour se rendre compte que ca ne sert a rien de couper les cheveux en 12.





Img 1392 s73srk - Eugenol
Guttaman

02/06/2008 à 23h48

Tout à fait d'accord. On pourrait même rajouter que si on fait un step back : F1 à LT, F2 à 0.5 mm et F3 à 1 mm on obtient :
7% de conicité de LT à LT-0.5
8% de conicité de 0.5 à 1 mm (celle de F2)
et 9% de LT-1 à LT-4 (celle de F3).
On peut donc s'étonner d'avoir 10% sur le premier mm alors que l'on a "seulement 7% sur la moitié de celui-ci et 8% sur sa deuxième moitié. En fait, ces 10% sont obtenus par de "microbtutées" correspondantes à la pointe de l'instrument. En gros, on à 7% et d'un coup on passe à diamètre 25 etc...

Bon, je dis ça, ça change rien...c'est juste que j'aime bien ces discussions où on fait une tournante avec une mouche... :-)


Grueavatar nptrc9 - Eugenol
Le Choixpeau magique

03/06/2008 à 00h12

Stéphane Ecrivait:
-------------------------------------------------------
> Tu peux m'xpliquer comment, mecaniquement, si un
> instrument coupant qtteint une longueur dans un
> canal, il n'a pas laissé au minimum son empreinte.
> Si maintenant, apres brossage de S1 et S2, ton
> finisher ne travaille pas sur ses 3 milimetres, ce
> qui je te l'accorde est prefereable, cela veut
> dire une seule chose, c'est que la conicite du
> canal prepare a ce stade la, est deja au dela de
> celle de l'instruement

Oui, et donc si l'on part du principe que ton instrument ne va travailler que par le bout, la conicité va diminuer....
Vous allez me dire qu'ensuite une plus grande partie de la lime sera engagée et que la conicité de la partie préparée va tendre vers celle de la lime, mais ce n'est pas si simple.
Prenez une perceuse dont la mèche a un bout conique et un corps parallèle, percez un trou dans un mur (à la conicité originelle pourtant "infinie"), enfoncez de la taille de la pointe conique et retirez vous immédiatement, si vous êtes très doué vous allez laisser l'empreinte de la pointe, mais plus vraissemblablement vous allez faire un beau trou bien cylindrique, avec une conicité nulle.
Bien sûr, mon analogie est un peu fort de café, mais si je veux bien admettre qu'il y ait corrélation entre la conicité de l'instrument et celle du canal, je trouve un peu dure à avaler l'hypothèse selon laquelle le fait de travailler avec un instrument de conicité x garantirait une conicité au minimum égale de la préparation.

> Je n'ai pas mis un Finisher en rotatif depuis au
> moins 4 ans dans un canal. Les preparations
> paicales sont exclusivement faites avec les
> Finishers en Step Back en 0.5mm.
> Il suffit de prendre des limes manuelles ISO pour
> verifier une conicité (ici de 10%) pour se rendre
> compte que ca ne sert a rien de couper les cheveux
> en 12.


Si tu utilises des limes manuelles pour vérifier ton STEP BACK fait avec des finishers en manuel, le résultat est assez prévisible, non ?
Maintenant quid de la même expérience réalisée après le passage d'une séquence F1, F2, F3 à LT-0.5 motorisée par un praticien lambda ?


Img 1392 s73srk - Eugenol
Guttaman

03/06/2008 à 00h34

Le Choixpeau magique Ecrivait:
-------------------------------------------------------
> Maintenant quid de la même expérience réalisée
> après le passage d'une séquence F1, F2, F3 à
> LT-0.5 motorisée par un praticien lambda ?
>

Pauvre mouche :-)


Grueavatar nptrc9 - Eugenol
Le Choixpeau magique

03/06/2008 à 00h42

Faut bien s'occuper !


Stéphane

03/06/2008 à 02h49

Guttaman Wrote:
-------------------------------------------------------
> Tout à fait d'accord. On pourrait même rajouter
> que si on fait un step back : F1 à LT, F2 à 0.5 mm
> et F3 à 1 mm on obtient :
> 7% de conicité de LT à LT-0.5
> 8% de conicité de 0.5 à 1 mm (celle de F2)
> et 9% de LT-1 à LT-4 (celle de F3).
> On peut donc s'étonner d'avoir 10% sur le premier
> mm alors que l'on a "seulement 7% sur la moitié de
> celui-ci et 8% sur sa deuxième moitié. En fait,
> ces 10% sont obtenus par de "microbtutées"
> correspondantes à la pointe de l'instrument. En
> gros, on à 7% et d'un coup on passe à diamètre 25
> etc...


Pas tout a fait d'accord. En fait, le fait de faire un step back apres le brossage de S1 et S2 permet de relier les segments entre eux.

Decrire la conicité comme cela, revient a considérer que le canal est regulierement conique sur des tranches de 100 microns. Ce qui est completement illusoire. Dans cet exemple, parler de conicité de 10% avec des instruments manuels ISO de 2% de conicité n'a plus de sens.

C'est l'evasement global qu'il faut prendre en consideration. Meme si l'acte est precis, il n'y aura jamais la precision d'une machine precise au micrometre. Donc la non plus ca n'a pas de sens.

Step back veut bien dire ce qu'il veut dire. On parle de marches en retrait. et c'est la forme general du canal qui est conique.

Le plus important dans le Protaper, reside dans le brossage des parois canalaires avec les Shaping files 1 et 2 S1 et S2. S'ils sont utilisés correctement, je défie quiconque de ne pas etre capable d'amener les finishers manuels sans forcer dans le tiers apical.

Il n'y a riend e magique la dedans, c'est purement mecanique.
Le test est simple. Apres le passage du S2, mettre en place le F1 a l'arret dans le canal. Si le stop de celui-ci est a plus de 2 miilimetre du repere, c'est que le brossage prealable est insuffisant, et il faut y retourner. C'est un test simple, facile et redoutable.

Ces precautions bien evidemment ne sont vraies qu'avec le proaper. pour d'autrers sytements, tels que le hero Shaper par exemple, les concepts d'utilsiation sont differents (et pas mauvais, loin de la). Mais on ne peut pas melanger les facons de faire car les instruments n'ont pas ete concus pour travailler de la meme facon


200106 10150128247663588 709988587 6466236 5598391 n d7mksb - Eugenol
hallboy

03/06/2008 à 13h46

on va en revenir une seconde au but du truc.

avec un apex a 25; quelle est la conicité suffisante pour que la solution d'irigation soit amenée correctement jusqu'a l'apex?

Avec du 30?

parcequ'au dela , pour moi c'est balancer des savonettes dans les douches des drosophiles.


Stéphane

03/06/2008 à 14h51

la conicité ne dépend pas directement du diametre apical de la preparation.

Le minimum requis par Schilder est 7%. que ce soit 20 25 ou 30/100 en bas, peu importe.

Il y a toujorus une confusion entre les deux facteurs. alors qu'ils sont independants.

Un papier de Lumley publie dans IEJ en 2000 montrait que non seulement la conicite au dela de 6% etait importante, mais surtout elle devait s'etendre eu dela de 5 mm.

D'ou l'interet de l'utilsiation des protaper en technqiue hybride qui permet de decouper la dent en segments et d'obtenir une conisité reguliere


200106 10150128247663588 709988587 6466236 5598391 n d7mksb - Eugenol
hallboy

03/06/2008 à 15h16

Qu'est ce que tu appeles technique hybride? F3 à 0.5 de LT?


Stéphane

03/06/2008 à 15h21

hallboy Wrote:
-------------------------------------------------------
> Qu'est ce que tu appeles technique hybride? F3 à
> 0.5 de LT?

Non technique Hybride est S1 et S2 en brossant et F1-F2 et F3 en manuels utilisés en step-back. Encore une fois, rien ne justifie un F3 a Lt-0.5 sauf si le foramen est jauge a cette taille la, ce qui doit arriver dans 1 cas sur 50.


LdL

03/06/2008 à 20h35

Mais vous dites tous, là, qu'un brossage avec les F crée les emmerdes. Bon. Ok. J'arrête alors. Mais pourquoi ?


Img 1392 s73srk - Eugenol
Guttaman

03/06/2008 à 20h58

Parce que ça te fait une transportation (plus difficile à obturer de manière étanche).


12