Cookie Consent byPrivacyPolicies.comAvis aux rois de l endo (steph si tu me lis..) - Eugenol

Avis aux rois de l endo (steph si tu me lis..)

Garf2 hcrtax - Eugenol
enamel

05/06/2008 à 15h14


Mon premier pink spot (je suis content y a pas que des conneries ds les confs) mais j ai un doute :


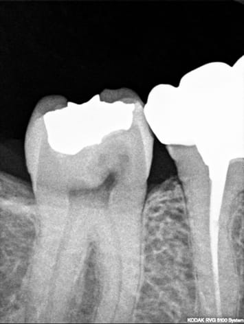
La résorption interne à presque effondré la face vestibulaire de cette 47 (aucun souvenir de trauma), bref :

Quelle est l’etiologie de cette RI ??
Quel traitement : un TR et une couronne c est bon ou y a risque de fragilité ???


Qui en a déjà traité et à quoi je dois m attendre ?? prothèse transitoire longue durée… ou extraction d’emblée car ingerable ??



merci d avance

Resor  interne wxgj5y - Eugenol

Garf2 hcrtax - Eugenol
enamel

05/06/2008 à 15h24

desolé pour l apex


mais je bosse ds 2 cab celui la c est sans digora*
du coup j arrive pas trop avec le capteur



mais je prends ttes les reponses



enamel


Garf2 hcrtax - Eugenol
enamel

05/06/2008 à 15h31

-- moved topic --


Marque a3 orange fyvhyq - Eugenol
Marc Apap

05/06/2008 à 16h24

L'origine, on ne peut pas la connaître et ça n'a pas d'importance.
si c'est une lésion interne et que ça ne va pas en sous gingival, ni en surface, le traitement canalaire et la couronne me paraissent sans risque pour sauver la dent.
Les difficultés, c'est quand la dent semble rongée de partout, avec une multitude de petits canaux entre l'intérieur et l'extérieur. Mais j'ai surtout vu ce genre de pb dans les résorptions externes, dont le pronostic et bien plus incertain.


Garf2 hcrtax - Eugenol
enamel

05/06/2008 à 16h32

merci

mais j ai effectivement une petite communiction en intrasulculaire


l'endo parait simple mais pour reconstruire...

et si ca revient à quoi bon


j ai prevenu le patient que c etait surprenant et que je tentais qqchose...




Stéphane

05/06/2008 à 18h47

Tous les éléments sont présents pour effectivement suspecter une resorption interne.

Dire d'ou elle vient, c'est difficile. En fait, on imaginera tout et puis rien, pour finir par dire une conner...

Il y a deux attitudes dans un cas comme celui-ci
1- on laisse et on surveille tant que la dent n'est pas symptomatique.
2- : on considere que l'etiologie est une inflamation chornique de la pulpe et dans ce cas, seule la pulpectomie va permettre de stopper le phenomene. A partir du moment ou on retire la pulpe, on stoppe le phenomene; ce qui peut etre indiqué dans ce cas precis.

la difficulté technique est que ce tissu inflammatoire est tres hemorragique. Le traitement doit idéalement se faire en deux temps :
1- ouvrir la dent sous anesthésie, cureter tout ce qu'il est possible d'enlever; mettre dans la chmabre un hydrocyde de calium pur bien compacte ; l'interet de cette temportisation est que ce produit va bruler tous les residus de parenchyme. Le materiau est laissé en place pendant 15j-3semaines.
2- en rouvrant a la deuxieme seance, la cavité est nickelle, le tissu resorbé peut etre retiré facilement avec une fraise, et le traitement endodontique réalisé

en fonction de la hauteur de la communication avec le parodonte, une ginigvectime permettra probablement de repositionner la limite au dessus du niveau gingival.


Garf2 hcrtax - Eugenol
enamel

05/06/2008 à 22h03

merci


je vais faire cela

je sais pas pkoi je n y avait pas penser mais le saignement m aurait aider


pour les symptomes: douleur gingival et pus à la pression du sulcus

je pense que je ferai une elongation coronaire en vestibulaire


mais en ccl pas de recidive si tr impeccable?


MERCI encore stephane


Stéphane

06/06/2008 à 00h32

enamel Wrote:
-------------------------------------------------------
>
>
> mais en ccl pas de recidive si tr impeccable?


A priori non, car il y a de grandes chances que la resoprtion soit liée à une inflammation chornique de la pulpe. A partir du moment ou elle n'est plus...



Garf2 hcrtax - Eugenol
enamel

06/06/2008 à 01h20

j'allume les cierges des ce week end!!


Dentiste2Sèvres

09/06/2008 à 00h01

Je croise les doigts pour toi...

@++, µµ


Garf2 hcrtax - Eugenol
enamel

09/06/2008 à 00h09

merci à tous je vais prendre une rx avec un film du cab 1 ds le cab 2 et je developerai ds le 2

je vous mettrai le resultat des que l endo est faite (si j ai l apex)


merci à tous il revient mardi je crois


je vais essayé une photo mais je n ai que un compact


on verra