Cookie Consent byPrivacyPolicies.comchirurgie apicale comblement ou pas - Eugenol

chirurgie apicale comblement ou pas

Fouilla h6plsy - Eugenol
fouilla

10/06/2008 à 20h08

ce post pour savoir si vous mettez ou pas du biomat lors de vos resec , si oui lequel j'ai posté dans un
précédent sujet un cas
http://www.eugenol.com/eugenol/read.php?7,348552,354803#msg-354803




j'en remets un autre que je suis depuis 8 ans.
le cas :
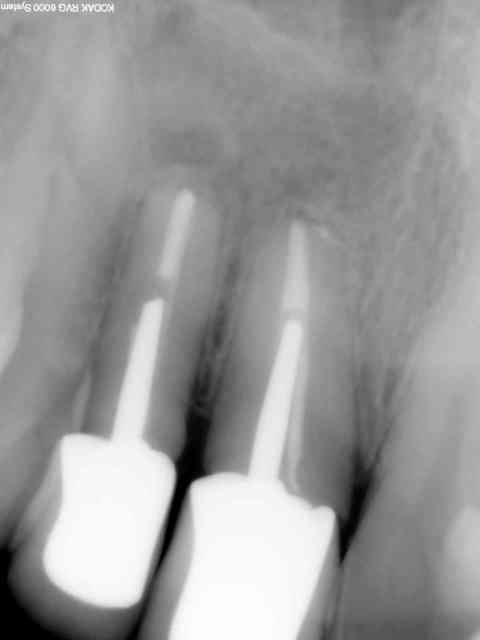
patiente porteuse de ccm sur 12 11 ayant subi une resec sans reprise de tr simultanée me consultant pour une "petite voussure" vestibulaire.
dépose des ccm
des inlays
resec obturation endo simultanée
le résultat à 1 an et à 7 ans
je vous dirai ce que j'ai mis comme produit miracle, mais vous que mettez vous ?
.

Avt sih201 - Eugenol
Resec gtdmaw - Eugenol
A 1 an ww5rtp - Eugenol
7 ans après o56ikz - Eugenol

dentur40

11/06/2008 à 12h50

De l'irm ...
Ca marche assez bien je trouve..
Parfois du mta aussi mais plus cher..


Barbatruc

11/06/2008 à 14h19

De L'IRM aussi, j'utilise les capsules de chez Dentsply, c'est plus propre et plus pratique que de faire le mélange poudre-liquide. (Avis perso).

Sinon bravo, joli cas.


Fouilla h6plsy - Eugenol
fouilla

11/06/2008 à 16h06

dentur40 Ecrivait:
-------------------------------------------------------
> De l'irm ...
> Ca marche assez bien je trouve..
> Parfois du mta aussi mais plus cher..


en fait je parlais d'utilisation d'un matériau de comblement osseux susceptible de'être ostéoinducteur ou ostéoonducteur, la reconstruction osseuse dans ce cas est assez flagrante surtout qu'à l'élévation du lambeau il n'y avait plus aucune corticale vetibulaire et la corticale palatine était plus qu'en voie de résorbtion ce que l'on voit à la rétro, en revanche il est vrai que l'irm pour l'obturation à rétro peut donner de bons résultats mais dans ce cas je ne l'ai pas pratiqué endo et resection simple.
.


Fouilla h6plsy - Eugenol
fouilla

11/06/2008 à 16h14

fouilla Ecrivait:
> je vous dirai ce que j'ai mis comme produit
> miracle, mais vous que mettez vous ?
> .


bon allez je vais vous le dire car bien souvent j'ai vu des gens bien intentionés (sans moquerie) précher pour tel ou tel substitut osseux de dernière génération telle ou telle membrane de nouvelle génération , tel produit d'irrigation lors de l'acte , le tout bien sur au détriment du portefeuile du patient...
dans ce cas comme dans la plupart des cas de resec franchement le meilleur matériau biocompatible : RIEN , la meilleure membrane je vous laisse deviner ....
.
facile pas cher mais ca rapporte pas gros...
.


Barbatruc

11/06/2008 à 16h22

Tout a fait d'accord avec toi. A part l'irm je ne mets rien. Sinon tu utilise quoi pour mettre l'irm dans la cavité car moi pour l'instant je le met avec le dos de la curette. je n'ai toujours pas trouvé d'instrument miracle.


pepe54

12/06/2008 à 18h07

rien ... en fait plutot un bon caillot.


Fouilla h6plsy - Eugenol
fouilla

12/06/2008 à 19h14

oui il me semble que c'est commercialisé sous ce nom...
.