Cookie Consent byPrivacyPolicies.computty and light - Eugenol
P1060496 m7josl - Eugenol
rhizalyse

12/06/2008 à 18h53

j'ai de gros problèmes depuis que 3M a transformé
l'express light en express 2 light.

la thixotropie qui devait s'en trouver améliorée
est déplorable: j'ai des endroits sur les préparations où il y a des manques; bref j'abandonne le produit , bien que 3M m'ait fourni des échantillons gratuits après ma plainte.

1- y a-t-il des utilisateurs express 2 qui ont remarqué ce problème : la pâte n'épouse pas la prépa
parce qu'ils ont voulu éviter qu'elle ne coule.

2- tant qu'à faire, s'il faut changer, avez vous un bon couple putty light à me recommander pour le double mélange, étant bien entendu qu'on ne parle pas de pentatruc SVP.


003 penrd2 - Eugenol
Cingulum

12/06/2008 à 21h09

tu gardes ton putty express et tu prends l'honigum light de chez Kerr....


P1060496 m7josl - Eugenol
rhizalyse

12/06/2008 à 21h46

ok, mais pourquoi garder le putty express ?
surtout qu'il colle aux doigts quand on le malaxe.
il y a un honigum putty ?


003 penrd2 - Eugenol
Cingulum

12/06/2008 à 22h48

oui....honigum putty, en pot ou malaxeur...


Blue eye thumb medium dx1i0w - Eugenol
bill

13/06/2008 à 01h32

aquasil putty et light ou ultra light
Fait quasiment l'unanimité je pense.


Coeur n9py1g - Eugenol
patvat

13/06/2008 à 09h17

lourd PENTAMIX CYBER TECH et LIGHT AQUASIL FAST


Lpo vkqe18 - Eugenol
cavitétunnel

13/06/2008 à 15h36

Aquasil light et ultralight
+1


P1060496 m7josl - Eugenol
rhizalyse

13/06/2008 à 18h52

ok pour l"aquasil

mais personne n'a été déçu par l'espress 2 light?


tomtom

14/06/2008 à 01h53

aquasil light xlv

vraiment top de chez top!!!

je remballe tous les representants avec leurs materiaux à empreintes... inutile d'aller chercher ailleurs, ce materiau est vraiment formidable!
7 PREPAS a enregistrer, et empreinte top du premier coup. pas une bulle, compressive, limites bien visibles.

que demander de plus?


P1060496 m7josl - Eugenol
rhizalyse

14/06/2008 à 14h34

Tom Tom

Avec quel putty fais-tu ton double mélange s'il te plait?


P1060496 m7josl - Eugenol
rhizalyse

14/06/2008 à 16h39

aquasil XLV étant extra light, n'est-il pas plus
indiqué pour la wash technique ?

je me demandais si en double mélange les résultats n'étaient pas supérieurs avec le LV ?

vos avis ?


alain.bobo

14/06/2008 à 16h49

rhizalyse Ecrivait:
-------------------------------------------------------
> aquasil XLV étant extra light, n'est-il pas plus
> indiqué pour la wash technique ?
>
> je me demandais si en double mélange les résultats
> n'étaient pas supérieurs avec le LV ?
>
> vos avis ?
le tpo des top:impregum avec le pentamix
et permadyne en light


Blue eye thumb medium dx1i0w - Eugenol
bill

14/06/2008 à 18h21

le xlv pour la wash, le lv en double mélange.
le xlv est très très fluide.


P1060496 m7josl - Eugenol
rhizalyse

14/06/2008 à 21h01

c'est bien ce que je pensais
merci à tous


200106 10150128247663588 709988587 6466236 5598391 n d7mksb - Eugenol
hallboy

14/06/2008 à 22h19

pour le double melange, en principe: putty soft et un light plus pres du regular que de l'extra light


Lpo vkqe18 - Eugenol
cavitétunnel

15/06/2008 à 10h56

J'ai de très bon résultat avec le xlv et un heavy quelconque en machine en double mélange. Le Lv me semble un poil moins précis.J'ai déjà essayé les deux en même temps en triple mélange (XLV et Lv puis heavy) mais je n'ai pas noté de différence : donc simple : XLV+heavy


bouli

15/06/2008 à 12h51

super resultat avec le panasil xlight en wash


003 penrd2 - Eugenol
Cingulum

15/06/2008 à 22h28

bouli Ecrivait:
-------------------------------------------------------
> super resultat en wash


déjà ça c'est louche...










Ok je sors.........
-> []


Logo vuaztn - Eugenol
mac

15/06/2008 à 23h34

pour conclure tout le monde a de super résultats, vous avez des photos à montrer?


Marque a3 orange fyvhyq - Eugenol
Marc Apap

16/06/2008 à 01h15

Juste : la capacité d'appréciation de chacun est plus que partiale. Et de toutes façons, comme pour bien des choses, la qualité du résultat dépend plus de l'opérateur que des produits. Par conséquent, préconiser telle ou telle marque ou tel type de silicone n'a aucune valeur intrinsèque.


003 penrd2 - Eugenol
Cingulum

17/06/2008 à 09h53

mac Ecrivait:
-------------------------------------------------------
> pour conclure tout le monde a de super résultats,
> vous avez des photos à montrer?


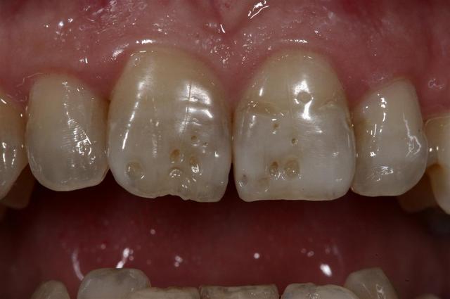
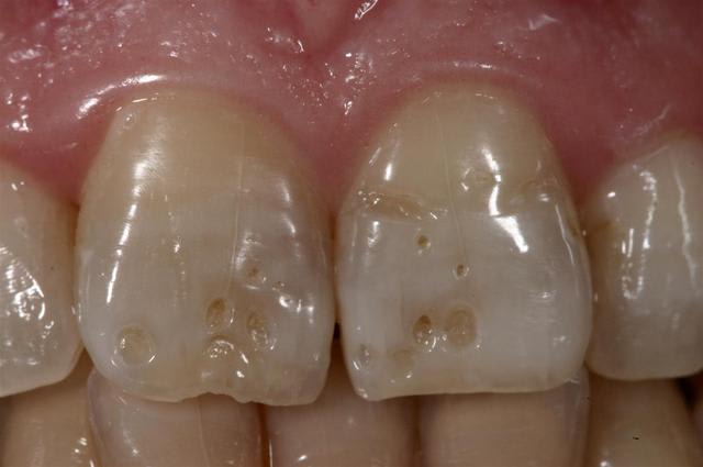
vivi
toujours avec plaisir :)

Image1 jfw1q5 - Eugenol
Image2 aamtyv - Eugenol
Image3 jks7v3 - Eugenol
Image4 uo3beb - Eugenol

Dr - Eugenol
JeRis

17/06/2008 à 10h25

... joli.

J'en ai déjà posté; ce serait du déjà vu ... et je n'en ai pas de nouvelles.


200106 10150128247663588 709988587 6466236 5598391 n d7mksb - Eugenol
hallboy

17/06/2008 à 10h48

Cingulum Ecrivait:
-------------------------------------------------------
> mac Ecrivait:
> --------------------------------------------------
> -----
> > pour conclure tout le monde a de super
> résultats,
> > vous avez des photos à montrer?
>
>
> vivi
> toujours avec plaisir :)


tu changes de couleur qd tu t'ennuies?


Logo vuaztn - Eugenol
mac

17/06/2008 à 10h53

Cingulum Ecrivait:
-----------------------------------------------------
> vivi
> toujours avec plaisir :)


super tu utilises quelle technique?


à propos toi qui est un pro de la photo, j'essaye de faire des photos sans flash pour les dents antérieures, pour bien montrer les caractérisations de la dent à mon protho, mais du coup je suis obligé d'ouvrir plus mon diaphragme et du coup moins de profondeur de champ.

as tu des astuces?


003 penrd2 - Eugenol
Cingulum

17/06/2008 à 11h30

mac Ecrivait:
-------------------------------------------------------
> Cingulum Ecrivait:
> --------------------------------------------------
> ---
> > vivi
> > toujours avec plaisir :)
>
>
> super tu utilises quelle technique?
>
>
> à propos toi qui est un pro de la photo, j'essaye
> de faire des photos sans flash pour les dents
> antérieures, pour bien montrer les
> caractérisations de la dent à mon protho, mais du
> coup je suis obligé d'ouvrir plus mon diaphragme
> et du coup moins de profondeur de champ.
>
> as tu des astuces?
>
>
Technique double mélange, sans aucun autre artifice qu'une gencive saine ;)

Pour la photo rien ne vaut le flash...
d

Img 5530  custom  q5ah2g - Eugenol
Img 5533  custom  ocnoyz - Eugenol
Img 5508  large  jrcw0e - Eugenol

12