Cookie Consent byPrivacyPolicies.computty and light - Eugenol
Logo vuaztn - Eugenol
mac

17/06/2008 à 12h53

tu mets quels réglages sur ton flash?


003 penrd2 - Eugenol
Cingulum

17/06/2008 à 14h52

synchro TTL, f11-16 et 1/200...


ceel

17/06/2008 à 15h44

j' ai un pote qui nous a fait une conf sur la photo. flash ttl avec une ouverture minimale ( 40) et la vitesse 1/60


Logo vuaztn - Eugenol
mac

17/06/2008 à 17h43

tu as quel flash?

moi j'ai un sigma tu crois que dois mettre un décalage entre les deux anneaux?


003 penrd2 - Eugenol
Cingulum

17/06/2008 à 18h55

essaye de baisser l'intensité de la moitié de l'anneau je crois que c'est possible sur le sigma.

La netteté est maxi entre f11 et f16 au dela on a de la diffraction et un flou qui apparait bien que la zoe nette augmente...(profondeur de champ)


Logo vuaztn - Eugenol
mac

17/06/2008 à 21h04

merci.


Pepsi tmi4vp - Eugenol
kartman

18/06/2008 à 11h25

bon ben un exemple d'empreinte pas terrible pour changer.

Expasyl
Aquasil XLV
Flexitime putty en malaxage auto
Prise en mordu

Je sèche toujours à fond à fond et la gencive était saine.
J'suis ouvert à toute critique, conseils, sarcasmes pour éviter de revoir ce genre de résultat :)


Empreinte m1q7vj - Eugenol

Marco3 qiimkr - Eugenol
Marcoledentisto

18/06/2008 à 11h37

C'est dingue comme le choix des couleurs influe sur la lisibilité de l'empreinte......


003 penrd2 - Eugenol
Cingulum

18/06/2008 à 12h10

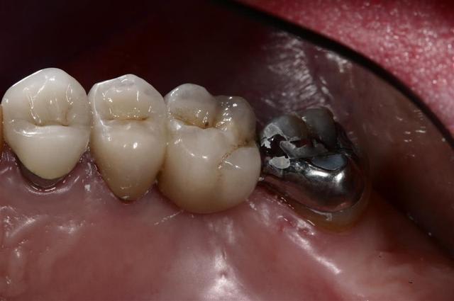
un cas posé ce matin
Express + honigum...

Img 6641 apwya9 - Eugenol
Img 6640 umk0zn - Eugenol
Img 6621 qjmzzh - Eugenol
Img 6626 rwsu1k - Eugenol

003 penrd2 - Eugenol
Cingulum

18/06/2008 à 12h11

et collé...

Img 6629 nu01ph - Eugenol
Img 6617 pg2xoe - Eugenol
Img 6638 apppct - Eugenol

Blue eye thumb medium dx1i0w - Eugenol
bill

18/06/2008 à 16h20

kartman Ecrivait:
-------------------------------------------------------
> bon ben un exemple d'empreinte pas terrible pour
> changer.
>
>
tu élimines bien toute trace d'expasyl?
de toute manière pas terrible pour l'ouverture sulculaire, un simple fil fait mieux.
A mon avis le xlv trop fluide pour du double mélange.



024 vownvo - Eugenol
annie

18/06/2008 à 20h15

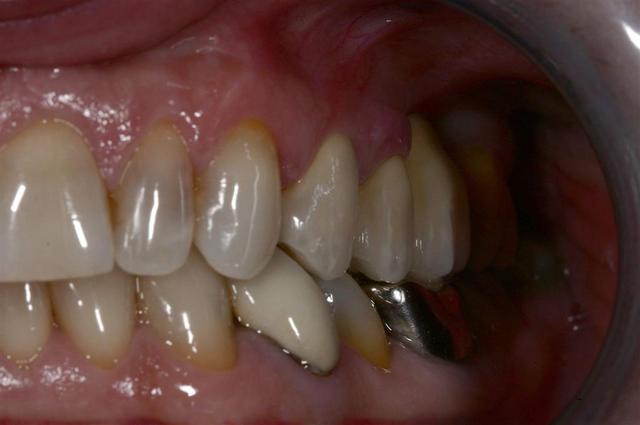
cingulum,j'ai besoin d'explications,sur cette taille tu as laissé les anciens amalgames?

http://www.eugenol.com/eugenol/file.php?10,file=16022


003 penrd2 - Eugenol
Cingulum

18/06/2008 à 21h43

oui... en distal je l'ai poli aprés collage du bridge... il pose pas de probleme et restera tel quel jusqu'a la fin de la vie de la dent...

au fond du puit occlusale, je n'avais pas vu.. meme avec les loupes... Les photos macro ça pardonne pas sur une 7 maxillaire...

Je pense pas que ça pose probleme... mais c'est sure cétait mieux de le virer...


tomtom

19/06/2008 à 00h16

moi je trouve l aquasil xlv parfait en combinaison avec l'aquasil putty, prise normale, meme en double melange.ok, il a l'air tres fluide, mais ne s'ecoule pas lamentablement comme d'autres sensés etre moins fluides, penetre bien le sulcus, il a une tres bonne mouillabilité et bien compressif malgrés les apparences.

toutes mes empreintes sont bonnes du premier coup, c devenu rare que je les recommence.

franchement, faire des empreintes meme complexes, ne sont plus un stress.

javais des cas assez difficiles, et me suis retrouvé sans assitante une journée. j'ai prevenu le patient qu'il faudrait sans doute, en l'absence de l'assitante, refaire l'empreinte plusieurs fois, et bien, ô miracle, reussie du premier coup!! ce a quoi, j'ai repondu a mon patient, ben finnalement l'assitante ne me sert a rien!! (je rigole biensur, je l'adore!)


Images eb1m5g - Eugenol
tonio

19/06/2008 à 20h27

bill Ecrivait:
-------------------------------------------------------
> kartman Ecrivait:
> --------------------------------------------------
> -----
> > bon ben un exemple d'empreinte pas terrible
> pour
> > changer.
> >
> >
> tu élimines bien toute trace d'expasyl?
> de toute manière pas terrible pour l'ouverture
> sulculaire, un simple fil fait mieux.
> A mon avis le xlv trop fluide pour du double
> mélange.
>
>
>
je partage à 100% l'avis de bill.
Le XLV est le meilleur light pour les empreintes d'IC, diabolique de précision pour les détails, de préférence avec un tuteur de votre choix; mais effectivement trop fluide pour les double mélanges.
Tous les astringents doivent être copieusement rincés.
Si le suintement gingival persiste, décaler la séance d'empreinte même si ça rajoute un rdv. J'aurai aussi tendance à faire un congé plus marqué (cf. les tailles et très belles empreinte de cingulum).

ci-joint une empreinte d'IC fait un bon vieux président, qui reste malgré le poids des années un produit satisfaisant. Les tenons sont des pivomatic concours, système acheté à l'adf sur les conseils du sbirounet (les forêts sont très bien aussi).

Pict0142 qqii1o - Eugenol

024 vownvo - Eugenol
annie

23/06/2008 à 12h46

Aujourd'hui ,enfin hier:) j'ai vu la difference entre aquasil et affinis! trois empreintes,que dis je peut être quatre,avec affinis empreinte du bas d'un ic, et ccm et je voulais les contours du bas pour un PI, tout le light aplati,tout raté! j'ai sorti l'aquasil,reussie du premier coup!,
rien compris!


12