Cookie Consent byPrivacyPolicies.comla goutte d'eau - Eugenol
067 clmun6 - Eugenol
sandrine

20/06/2008 à 22h29

celle qui fait déborder le vase les jours où on ferait mieux de rester au lit, vous connaissez ?

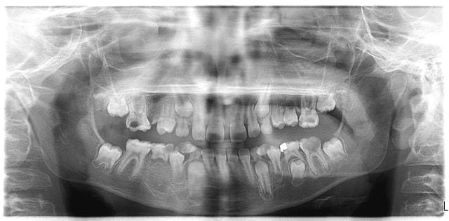
ma goutte d'eau du jour s'appelle Tony, 10 ans.

je ne sais pas trop quoi faire du cadavre de sa mère, que j'ai...atomisée avec délectation, et avec le sourire en plus.

je suis une mauvaise fille, je sais.
et en plus j'adore ça.

Et merde kkaig1 - Eugenol

Dscf1124 irilgj - Eugenol
framboisine

20/06/2008 à 23h06

Aujourd'hui, c'est moi qu'on a atomisé, et j'aime pas ça, donc j'évite de le faire aux autres.


067 clmun6 - Eugenol
sandrine

20/06/2008 à 23h18

je sais, je suis odieuse, et archie-nulle pour l'empathie.

(j'envoie mon CV à narik de suite)
:)


S8ysxdzhdqgw00w4q6m07a5d47q2 - Eugenol
gai-luron

20/06/2008 à 23h38

bah...

tu sais sandrine, on en a des pires que ça...

ne t'affole pas, les incisives sont saines...


067 clmun6 - Eugenol
sandrine

20/06/2008 à 23h40

:)
ah, voilà
c'est ça : toujours voir le bon côté.


Dscf1124 irilgj - Eugenol
framboisine

20/06/2008 à 23h52

Qui a un flingue de dispo? C'est urgent en plus.
Merci.


067 clmun6 - Eugenol
sandrine

20/06/2008 à 23h54

ah ben non, framb,
j'étais presque en train de m'assagir, là, tu déconnes.
:)


Dscf1124 irilgj - Eugenol
framboisine

20/06/2008 à 23h57

sandrine Ecrivait:
-------------------------------------------------------
> tu
> déconnes.
> :)

Complet.


S8ysxdzhdqgw00w4q6m07a5d47q2 - Eugenol
gai-luron

21/06/2008 à 00h05

sandrine Ecrivait:
-------------------------------------------------------
> :)
> ah, voilà
> c'est ça : toujours voir le bon côté.


j'en ai eu un de 14 ans la semaine dernière...

les incisives sup bouffées en M et D

et la mère: Ah bon? elles sont cariées?

-Vous le regardez jamais votre gosse????


067 clmun6 - Eugenol
sandrine

21/06/2008 à 00h11

ouais, y a des jours où ça passe difficilement.

honnêtement je ne sais pas trop quel dialogue tenir à ce genre de personne, celle que j'ai vu aujourd'hui mettait tout sur le dos du gosse (ben voyons)

alors je sais que ce n'est pas mon rôle, mais on a un rythme qui fait que je gère les arrivées en urgence : je fais une pano (à moi les oranges en prison, je sais), ma prat la regarde et j'annonce le verdict.

sauf que là c'était le mauvais jour, quoi
:)


Dscf1124 irilgj - Eugenol
framboisine

21/06/2008 à 00h16

Je suis mal placée pour faire la leçon, mes gosses n'écoutent rien, mais je le dis tout de même;
les enfants doivent être guidés, ils ne sont pas nés, rose et propres et savants.

ça n'empêche que certains parents n'ont rien à cirer de leurs enfants, (malheureusement) et dans ce cas, je me tourne vers lui, comme pour lui donner une clé en espérant qu'il croisera la bonne serrure.


S8ysxdzhdqgw00w4q6m07a5d47q2 - Eugenol
gai-luron

21/06/2008 à 00h20

remarque, le Tony, les agénésies, c'est de la faute à personne...


067 clmun6 - Eugenol
sandrine

21/06/2008 à 00h21

non, c'est vrai
:)
c'est juste qu'il a vraiment pas de bol, quoi.


Dscf1124 irilgj - Eugenol
framboisine

21/06/2008 à 00h23

La totale quoi.


Utilisateur banni

21/06/2008 à 10h55

sandrine Ecrivait:
-------------------------------------------------------
> je sais, je suis odieuse, et archie-nulle pour
> l'empathie.
>
> (j'envoie mon CV à narik de suite)
> :)


Par moment y'a que le coup de pied au cul qui fonctionne...


salima

21/06/2008 à 11h43

Oh la vache!! Pov gosse!

Ma prat aurait je crois...fait un meurtre...


Marco3 qiimkr - Eugenol
Marcoledentisto

21/06/2008 à 11h52

Quand j'ai débuté(il y a bientôt 30 ans), on voyait tous les mercredis ce genre de cas....On dévitallisait ou extrayait des 6 à tour de bras.
Maintenant on voit plus ça que 1 à 2 fois par an....Cette année, j'ai vu un gamin de 7 ans,la cata; la radio de Sandrine c'est pas grand chose à côté...


067 clmun6 - Eugenol
sandrine

21/06/2008 à 11h54

j'ai dû voir pire aussi, c'est juste l'accumulation de tout un tas de choses
bref, j'ai tué la mère


Cap

22/06/2008 à 00h24

Ds ce cas la ce n'est pas l'enfant qu'il faut soigner mais la mere...moi qd un gamin comme ca arrive au cabinet, je sais tout de suite a quel type de parents j'ai affaire...


LdL

22/06/2008 à 23h57

Oui c'est pratique, on range les gens dans des petites cases...


067 clmun6 - Eugenol
sandrine

23/06/2008 à 00h16

je ne colle plus vraiment d'étiquette sur les patients depuis que j'ai vu des parents au train de vie plus que confortable nous demander une couronne acier pour leur fille de 16 ans.

bon, j'ai atomisé la maman de Tony, ça c'est fait, bien ou mal, c'est trop tard, on n'y revient pas,
on verra la suite au prochain épisode, s'il y en a un.

avec le recul, je me demande juste quel dialogue adopter face à ce type de problème,
bon on a tous eu droit à une arrivée dite "en urgence" avec un verdict déplorable, mais quand il s'agit d'un gosse, merde...


Dscf1124 irilgj - Eugenol
framboisine

23/06/2008 à 00h48

Je crois que la gueulante crée un blocage et la leçon, aussi.

J'aime bien traumatiser en douceur :))

"Bien, la situation est catastrophique mais je vais vous expliquer comment faire pour stabiliser le problème".

tu vois le genre?
:))

Après j'explique au gosse directement pourquoi il doit prendre soin de ses dents s'il souhaite les emmener jusqu'à ses 80 ans.

Ensuite, j'utilise l'image de la fourchette pour expliquer qu'il est sale de ne pas se brosser les dents : "te viendrait-il à l'idée de reprendre une fourchette sale pour le repas suivant?"

Je termine avec les parents en disant que moi aussi je fais la guerre, les dents, la douche, les devoirs etc.

Et déjà, en général, ils ne se braquent pas.
Et en gros, c'est déjà ça.

Et si c'est pas avec moi que ça marche, peut être que ça marchera au bout de la 10ème fois ailleurs et ça sera mieux que rien du tout.

Et ça m'épuise :))


Cap

23/06/2008 à 00h56

sandrine Ecrivait:
-------------------------------------------------------
> je ne colle plus vraiment d'étiquette sur les
> patients depuis que j'ai vu des parents au train
> de vie plus que confortable nous demander une
> couronne acier pour leur fille de 16 ans.


Oui c clair, ben la tu range ds la case 'vit au dessus de ses moyens en faisant style j'ai de l'argent mais en fait je n'en ai pas...'
ou alors la case 'rien a faire de mes enfants'


>
> bon, j'ai atomisé la maman de Tony, ça c'est fait,
> bien ou mal, c'est trop tard, on n'y revient pas,
> on verra la suite au prochain épisode, s'il y en a
> un.
>
> avec le recul, je me demande juste quel dialogue
> adopter face à ce type de problème,
> bon on a tous eu droit à une arrivée dite "en
> urgence" avec un verdict déplorable, mais quand il
> s'agit d'un gosse, merde...