Cookie Consent byPrivacyPolicies.commagic foam cord - Eugenol
carototo

26/06/2008 à 11h12

salut à tous.

est ce que vous utilisez ce produit??
si oui, qu'en pensez vous?,par rapport à l'expasyl et au bon vieux fil de retraction??

merci


Marque a3 orange fyvhyq - Eugenol
Marc Apap

26/06/2008 à 11h35

ni l'un, ni l'autre : de l'impregum penta soft, des gencives en bon état, une préparation respectueuse du parodonte, et si vraiment ça saigne, empreinte la semaine d'après quand la provisoire a été scellé au Seal Temp.


Coeur n9py1g - Eugenol
patvat

26/06/2008 à 15h47

provisoire DYCAL et je ne suis pas bluffé par ce produit et ses cotons j aime mieux le fil Roeko cuivre


cyberquenottes

26/06/2008 à 19h38

moi j'ai arrete l'expasyl ( marre de me faire enfler question tarif )

j'ai pris du bazar bleue qui gonfle dans les comprecap

c'est le machin que tu dis ???

ben ca marche au moins aussi bien que l'expanus , ca saigne même moins et c'est plus rapide a enlever

pi c'est rigolo ca mousse


chab

04/07/2008 à 18h40

C'est une utilisation très longue ( temps de prise trop long) et c'est pas évident à mettre dans le sulcus. Donc assez moyen


Photo pluton1b h9n4ea - Eugenol
pluton

04/07/2008 à 19h34

le mieux de tout...pis le moins cher...un peu d'alginate très fluide dans une petite seringue plastique...injecté dans le sulcus...plus de saignement après prise, sulcus bien ouvert, s'enlève facilement à la sonde juste avant d'injecter le silicone (ou autre matériau d'empreinte) fluide...
à bon entendeur.... ;-))


200106 10150128247663588 709988587 6466236 5598391 n d7mksb - Eugenol
hallboy

04/07/2008 à 19h56

tu utilise quoi comme seringues?


Photo pluton1b h9n4ea - Eugenol
pluton

04/07/2008 à 20h39

tu réutilises les seringues de gel de mordançage...par exemple ou tu utilises une seringue type irrigation canalaire...un ptit embout jetable type composite flow ou mieux tout en plastique (en coupant tu peux augmenter le diamètre de sortie pour que se soit moins "dur" a faire sortir...utile si t'as plusieurs prep...)...voili voilou...;-))


Bjorn

04/07/2008 à 21h05

pluton Ecrivait:
-------------------------------------------------------
. le moins cher...

Faudrait calculer.


Photo pluton1b h9n4ea - Eugenol
pluton

05/07/2008 à 01h01

Bjorn Ecrivait:
> Faudrait calculer.
>
>

je te laisse le soin de prendre la calculette...mais t'as perdu d'avance...
déjà avec un ptit sac d'alginate de 500gr qui ne coûte que quelques € on doit bien pouvoir faire entre une 50aine et une 100aine de prep de ce genre...
combien çà te coûterais le magic truc ou l'expanul...


Bjorn

05/07/2008 à 01h55

Réfléchis.


024 vownvo - Eugenol
annie

05/07/2008 à 07h45

pluton Ecrivait:
-------------------------------------------------------
> le mieux de tout...pis le moins cher...un peu
> d'alginate très fluide dans une petite seringue
> plastique...injecté dans le sulcus...plus de
> saignement après prise, sulcus bien ouvert,
> s'enlève facilement à la sonde juste avant
> d'injecter le silicone (ou autre matériau
> d'empreinte) fluide...
> à bon entendeur.... ;-))


ou le mettre dans le comprecap! et faire mordre!


200106 10150128247663588 709988587 6466236 5598391 n d7mksb - Eugenol
hallboy

05/07/2008 à 13h45

;) brillant !


024 vownvo - Eugenol
annie

05/07/2008 à 13h49

hallboy Ecrivait:
-------------------------------------------------------
> ;) brillant !


efficace!


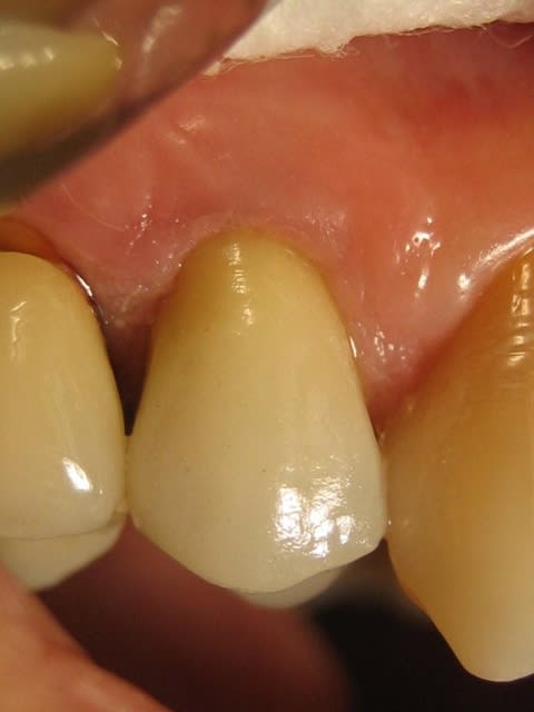
Pa050055 igyagy - Eugenol
mark

06/07/2008 à 17h35

j'ai abandonné le magic foam en dépit de ses propriétes mécanique car AUCUNE action hémostatique, et puis... c'est long!

l'alginate, je veux bien essayer mais la mise en oeuvre me paraît plutôt chiante (temps et matériel)

pour l'instant je suis satisfait de l'expasyl

au-delà je ne vois que le double fil ou l'empreinte différée avec un provisoire en léger surcontour et un maintenance parodontale améliorée


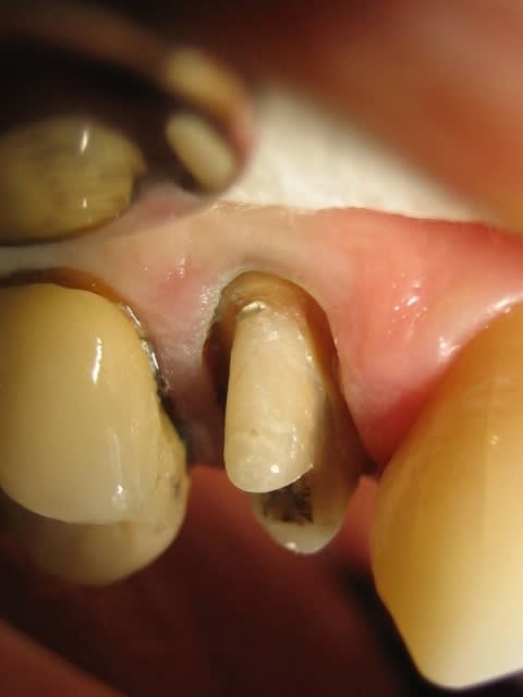
Ylfwcw979cz1jnx9gfqeaxndiuzk - Eugenol
Algi

15/09/2008 à 15h58

Un ch'ti coup de laser, de l'expasyl proprement posé sur les limites du provisoire:
+ facile que direct dans le sulcus, moins de produit utilisé pasque tu fais ça tranquille hors bouche (donc economie et patient content qui ne déglutit pas le machin âpre et abominable en surplus) et pas de souci si y'a de la salive ou du sang autour de la preparation, une fois que le provi expasylé est prét, tu seches ta dent tranquille, t'enfiles sur le moignon, tu passe un coup de boulette de coton pour virer les excés (ou alors une brush à adhesif) et hop t'attend 2/3 minutes et c'est cuit!

ps: ça marche aussi sans le p'tit coup de laser....


Marque a3 orange fyvhyq - Eugenol
Marc Apap

15/09/2008 à 16h04

Tiens, tu es toujours vivant toi ?


Ylfwcw979cz1jnx9gfqeaxndiuzk - Eugenol
Algi

15/09/2008 à 20h47

Et toi toujours aussi agréable..... bref en dehors de m'avoir enterré prématurémment t'as pas des commentaires plus constructifs à faire sur mon protocole? ;0))

a+


Dr - Eugenol
JeRis

15/09/2008 à 23h33

... sans laser

H - Eugenol
H - Eugenol
H - Eugenol
H - Eugenol

Marque a3 orange fyvhyq - Eugenol
Marc Apap

16/09/2008 à 01h50

Algi Ecrivait:
-------------------------------------------------------
> Et toi toujours aussi agréable..... bref en dehors
> de m'avoir enterré prématurémment t'as pas des
> commentaires plus constructifs à faire sur mon
> protocole? ;0))
>
> a+


Le seul commentaire que je fais, c'est que je pratique autrement:
Ce matin, j'ai fait ça. Mais je n'utilise pas la provisoire.
En général, je prends l'empreinte le jour de la taille et de la réalisation de la provisoire, le plus souvent en automoulage.
1/ Je prépare la dent (taille)
2/ Je fais la provisoire. Au bout de 2 minutes, je démoule.
3/ Je fais l'empreinte avec un Pe en mordu. Pendant ce temps, je fais la finition de la provisoire.
Cela pour gagner du temps. Je n'utilise pas l'Expasyl, sauf si ça saigne. Dans ce cas, je mets un comprecap anatomic (Roeko) sur l'expasyl et je fais serrer les dents dessus pendant 2 minutes.
Comme ça, je peux quand même m'occuper de la finition de la provisoire pendant ce temps.
Honnêtement, j'aimerais bien savoir si le (un) laser peut arrêter le saignement gingival. Tous les utilisateurs me disent oui. J'aimerais bien le voir et le filmer.


Coeur n9py1g - Eugenol
patvat

16/09/2008 à 08h33

le er iag ne coagule pas vraiement j ai bistouri satelec


Ylfwcw979cz1jnx9gfqeaxndiuzk - Eugenol
Algi

16/09/2008 à 10h46

Carole doit avoir des photos, faudrait lui demander.

a+


Marque a3 orange fyvhyq - Eugenol
Marc Apap

16/09/2008 à 19h11

Oh ! Carole
Mais que n'a-t-elle pas-celle là ?


Images eb1m5g - Eugenol
tonio

20/09/2008 à 02h52

rien ne vaut un bon petit cordonnet ultrapack imbibé d'un astringent si on veut faire des empreintes comme dans les bouquins.


Marque a3 orange fyvhyq - Eugenol
Marc Apap

20/09/2008 à 09h21

Et des cas sélectionnés comme ceux qu'on voit en photo dans les bouquins.
Hélas, c'est comme en pub : dans la vraie vie, madame Michu ne ressemble pas toujours à Anne Hattaway.


12