Cookie Consent byPrivacyPolicies.comaidez moi !!! - Eugenol

aidez moi !!!

hmg

27/06/2008 à 21h57

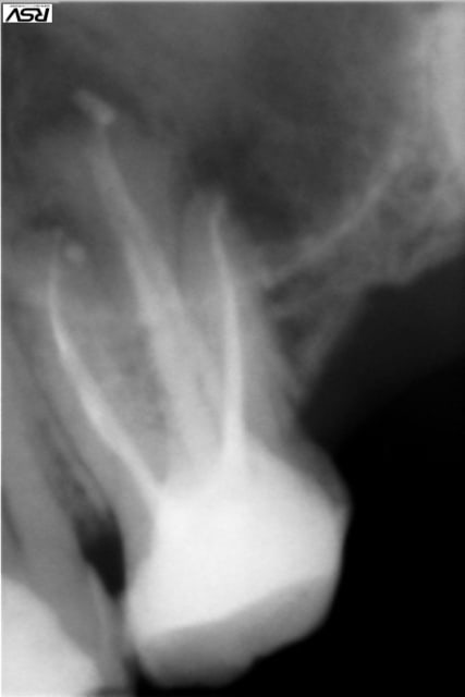
patient se présente pour prothèse remplacant la 11.
je commence par endo sur 22 nécrosee: parage impec edta thermocompactage et AH+.Je donne du birodogyl en préventif.
aorés 2 semaines abcés important avec fistule je prescris de l'augmentin pendant 6j et depuis aucun signe clinique meme pas en palpation mais ....
la radiologie donne une autre chose.
je dois me décider vite car il part en voyage je pense que je vais faire un curetage de la lésion sans résection ni obturation a rétro

260508 rlkind - Eugenol
300508 voyue1 - Eugenol
130608 vwzwqi - Eugenol
270608 hm1klf - Eugenol

Avatar transparent iqadnc - Eugenol
adhoc

27/06/2008 à 22h55

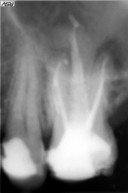
La radio 130608 t'apporte un renseignement? Sinon, quelle est son utilité?


Img 1392 s73srk - Eugenol
Guttaman

28/06/2008 à 00h51

Plusieurs choses :
Sans vouloir critiquer, juste pour dire ce que je ferai : pas d'atb "en prévention" sur une dent nécrosée. Les atb, c'est quand il y a une infection aiguë, ou en cas d'antibioprophylaxie chez certains patients à risque.
Ensuite, le cône dans la fistule me semble trop fin, j'utilise des cônes de 30/100 pour tracer les trajets fistuleux. Ca permet qu'il soit assez rigide pour bien suivre le trajet, sans faire de boucles sur lui même et aille bien jusqu'à l'origine de la fistule.
Ensuite, 1 abcès après 2 semaines, j'avoue que c'est assez long pour être un abcès réactionnel (donc sans conséquence sur le pronostic). Si le patient ne partait pas, je tenterai quand même une simple surveillance. Mais là, ok pour une chir, mais la résection est indispensable, et l'obturation a retro serait mieux aussi.


Gutt-A

28/06/2008 à 01h09

morale du jour: Ne jamais soigner un patient qui part en vacances.


Gutt-A

28/06/2008 à 02h12

;)


hmg

28/06/2008 à 14h32

j'ai mis toutes les radio pour voir l'evolution de la lésion.
Quand j'ai dit nécrosée j'ai oublié mais peut etre qu'il y avait une fistule ou une réaction apicale légere


024 vownvo - Eugenol
annie

28/06/2008 à 18h54

S'il n'y a plus aucun signe clinique,pourquoi ne pas revoir cela a son retour de vacances? la dent est bien obturée,il y a un phenomene paro associé,sur la radio on,on croit voir ( je crois voir :))une communication de la lésion avec le ligament,qui a du servir de soupape d'evacuation!
S'il n'y a plus de signe infectieux,inflammatoire ou douloureux,j'ajournerais a son retour!
en lui faisant une ordonnance au cas ou!


hmg

30/06/2008 à 11h42

je pense que ses vaccances vont durer longtemps en fait c'est un voyage d'affaire


Pa050055 igyagy - Eugenol
mark

02/07/2008 à 22h40

pour une telle évolution, ton endo ne doit pas être suffisante et la chirurgie de règlera pas le problème

1- reprendre le trt en ne lésinant pas sur les désinfectants et l'alésage
2- ordonance de précaution en cas de récidive
3- recontrôler à 2 mois
4- selon:problème résolu... ou envisager alors et seulement curetage et obt à rétro après résection du 1/3 apical


024 vownvo - Eugenol
annie

03/07/2008 à 01h00

mark Ecrivait:
-------------------------------------------------------
> pour une telle évolution, ton endo ne doit pas
> être suffisante et la chirurgie de règlera pas le
> problème
>
> 1- reprendre le trt en ne lésinant pas sur les
> désinfectants et l'alésage
> 2- ordonance de précaution en cas de récidive
> 3- recontrôler à 2 mois
> 4- selon:problème résolu... ou envisager alors et
> seulement curetage et obt à rétro après résection
> du 1/3 apical


A quoi cela servirait il,puisqu'il y a un dépassement de pate ou gutta qui sera residuel sans chirurgie?? a quoi cela servirait il de réessaimer,puisque les chances d'un retraitement sont moins grandes que l'initial et que la dent bien obturée ne presente plus aucune douleur?
Cette personne partant en voyage,cela ne serait pas prudent,a mon avis,dame nature va se mettre au travail!
Par contre ,je forcerais sur un traitement paro,et lui ferais une ordonnance d'AB et antalgique au cas ou!


Tilc

03/07/2008 à 02h23

Pas de disparition des signes => Chirurgie.
Pourquoi s'emmerder?


lechinois

03/07/2008 à 04h43

pareil que tilc
resection faite en 20 min., et 1 semaine de suture,
tu feras pas mieux avec un retraitement, mais surement moins bien, à moins que tu n'aie pas respecté l'aseptie, et en plus au niveau com' c'est pas top.
Par contre si j'ai confiance en mon obturation, moi je ferai pas d'obturation a retro


Grueavatar nptrc9 - Eugenol
Le Choixpeau magique

03/07/2008 à 11h19

Je suis étonné que personne n'évoque l'hypothèse d'une fracture.


Willy Pertot

03/07/2008 à 21h25

Exact. Sondage paro d'abord. Fracture probable avec perte de l'os alvéolaire vestibulaire.

Dans le cas contraire, vu que le patient part et ne peut pas être surveillé, ne pas s'amuser à refaire une reprise. Chirurgie périapicale AVEC obturation à retro.


joe

03/07/2008 à 22h40

en cas de chirurgie périapicale faut il faire un comblement et recouvrir avec une membrane?


024 vownvo - Eugenol
annie

03/07/2008 à 23h43

Willy Pertot Ecrivait:
-------------------------------------------------------
> Exact. Sondage paro d'abord. Fracture probable
> avec perte de l'os alvéolaire vestibulaire.
>
> Dans le cas contraire, vu que le patient part et
> ne peut pas être surveillé, ne pas s'amuser à
> refaire une reprise. Chirurgie périapicale AVEC
> obturation à retro.
>

j'ai soulevé le probleme paro,mais fracture sans aucun signe clinique suite a l'obturation canalaire,ç'est peu frequent? frequent? ou impossible?


Willy Pertot

04/07/2008 à 08h52

Pour la chir apicale, il n'est pas systématiqement nécessaire d'utiliser matériaux de comblement et memebranes, ce serait plutot l'exception que la règle.
Par rapport aux fractures à l'obturation, cela peut arriver mais s'il y a destruction osseuse déjà avancée, la fracture y était avant le traitement, c'est d'ailleurs peut être la cause de la nécrose.
Une chose à faire : sondage en palatin au niveau du cingulum, possibilité de présence d'un sillon palatin.


Image19 iebot6 - Eugenol
athos

04/07/2008 à 13h46

bin tiens je profite du wagon: celui ci ne part pas a l'étranger mais débarque de Russie et me causera peut être soucis:

26 douloureuse, à la radio nécrose et trois pêches. Pas de prescriptiuon atb, traitement radiculaire classique, juste irrigation peut être un peu plus insistante que d'hab, pas de suintement terminal, tout ok, obturation.( leger manque de condensation mv2 mais bon...une seule sortie apex alors je zappe).

semaine suivante, tout bien comme y faut pour rassurer, pas de suites, même pas de douleurs post op, suis tout content. le délabrement et les parois résiduelles m'incitent a ancrer en palatin, tout va bene, jusqu'au moment ultime lors du scellement de l'ancrage: légère et fugace "sensation patient" à l'insertion du pivot dans le ciment de scellement.......grrrr....je me questionne mais le temps que je me réponde une certaine forme de fatalisme me fait poursuivre et terminer.
Depuis j'ai comme des regrets, ou des remords, y aura t il des suites??? c'est que je n'ai aucune relation dans la mafia russe moi....

K1 o8ucnc - Eugenol
K2 njcc8k - Eugenol

Avatar transparent iqadnc - Eugenol
adhoc

04/07/2008 à 20h52

Dobri notch, tovarich
Allez, soyons optimiste, grand, petite poussée du cone de gutta palatin quand tu as bidouillé ton logement de tenon?


Blue eye thumb medium dx1i0w - Eugenol
bill

05/07/2008 à 02h53

T'inquiète, elles sont douillettes les russes.


024 vownvo - Eugenol
annie

05/07/2008 à 08h02

adhoc Ecrivait:
-------------------------------------------------------
> Dobri notch, tovarich
> Allez, soyons optimiste, grand, petite poussée du
> cone de gutta palatin quand tu as bidouillé ton
> logement de tenon?
>


une semaine apres??il bouge encore?
mais la pression c'est sur,elle est belle ton endo Athos! je pense qu'une percussion axiale aurait provoqué la même douleur! le temps,va reparer tout ça!


Image19 iebot6 - Eugenol
athos

05/07/2008 à 10h15

z'ètes sympas mes copains, z'avez toujours les mots qui rassurent, mais je crains.

J'ai dû abimer ma gutta et reperméabiliser le canal lors de la préparation du logement, ça c'est "silencieux", l'enduction de ciment est silencieuse aussi évidemment, et c'est a l'insertion que j'ai dû provoquer comme un effet de piston au bout...la constriction apicale était déjà pas belle, je me demande ce que j'ai pu y balancer à ce moment là.

mauvaise décision prise en 2 secondes, simplement parce que je n'ai pas voulu reconnaitre le risque et remettre en cause ce que je croyais être un succès...je le revois la semaine prochaine, mais comment savoir, ce genre de truc va évoluer a bas bruit...

pff...yfaitch....aussi avec sa roulette russe Ldl!:)