Cookie Consent byPrivacyPolicies.comje vous mets au défi, bande de ......... - Eugenol

je vous mets au défi, bande de .........

alhoun

01/07/2008 à 13h39

voilà, patiente adorable.
denture complète hormis 45 et 46, extraites pour des raisons mystérieuses de douleur irradiante.
ouverture buccale plus que limitée . je suis quand même arrivé à lui mettre deux chevilles.
maintenant: ouverture limitée + craquements + douleurs....

si vous m'aidez à lui régler son problème, je ne dirais plus jamais du mal d'amibien....
pendant six mois au moins.


isaïe

01/07/2008 à 13h52

Si on a une photo ou deux des points de contact en IM, je veux bien la faire en MP.


alhoun

01/07/2008 à 13h59

ok, je m'en occupe.


Cuisinier2 vnbbxx - Eugenol
jeff2

01/07/2008 à 17h07

les craquements et douleurs sont'ils bilatérals ou seulement a gauche?


Amibien

01/07/2008 à 19h56

alhoun Ecrivait:
-------------------------------------------------------
> voilà, patiente adorable.
> denture complète hormis 45 et 46, extraites pour
> des raisons mystérieuses de douleur irradiante.
> ouverture buccale plus que limitée . je suis quand
> même arrivé à lui mettre deux chevilles.
> maintenant: ouverture limitée + craquements +
> douleurs....
>
> si vous m'aidez à lui régler son problème, je ne
> dirais plus jamais du mal d'amibien....
> pendant six mois au moins.




hé hé hé tu as chargé les implants je suppose ? tu as un blocage en violet à droite de façon quasi certaine, regarde les contacts que tu as en 14 et 15, voire 16...



alhoun

01/07/2008 à 20h27

de façon certaine, ces symptomes, elle les avait avant la pose des deux couronnes...


Cuisinier2 vnbbxx - Eugenol
jeff2

01/07/2008 à 20h57

dans la plupart des douleurs ATM unilatérales, je soupconne toujours une mastication unilaterale du même coté.
Faire faire des excercices de myotensif et mastication de schewing gum de l'autre coté de la douleur
seulement si douleur atm gauche dans ton cas


Amibien

01/07/2008 à 21h03

alhoun Ecrivait:
-------------------------------------------------------
> de façon certaine, ces symptomes, elle les avait
> avant la pose des deux couronnes...


autrement dit tu as aggravé l'affaire !

en Vasalva elle doit avoir dur de déboucher l'oreille droite lors de la déglutition subséquente, et maintenant la question fatidique, as-tu les fitres colorés ? si c'est négatif alors je peux t'envoyer une paire de lunettes avec filtres et un mode d'emploi, je peux aussi te guider par téléphone quand tu reverras ta patiente... mais d'après ce que tu me dis je penche pour une surcharge sur 14, voire 13 ou 15, je suppose que tu as réglé l'occlusion avec un contact léger sur 45 et 46, d'où la surcharge possible sur 15, 14 et 13, avec une préférence sur 14


au fait, s'il-te-plaît, ne t'arrêtes pas de dire du mal de moi, il manquerait quelque chose, merci


alhoun

17/07/2008 à 13h34

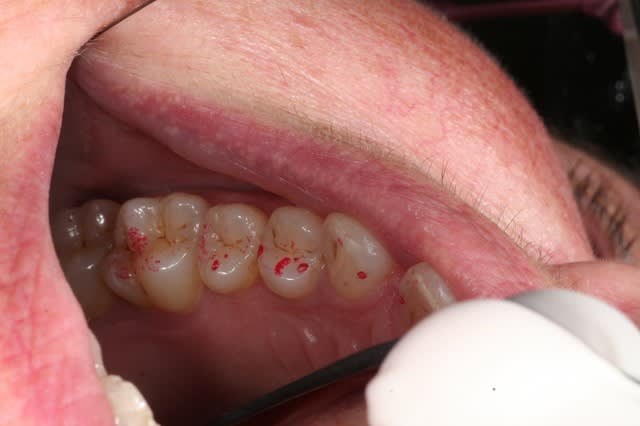
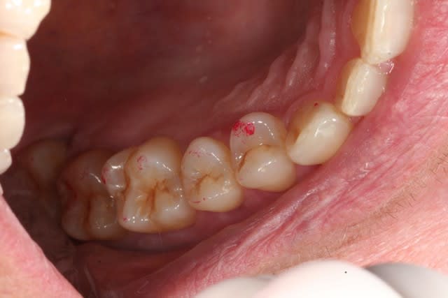
donc, je reviens avec ce cas.
voilà les images en OIM.
la patiente ne veut pas retourner chez son dentiste, malgré le fait que je lui expliqué ne pas avoir de solution fiable à son problème.
donc, ouverture limité. douleurs faibles mais permanentes sous la mâchoire à droite.
je joins zaussi la pano initiale.

Pano occluso krxfor - Eugenol
Ouverture maximale u5ar5v - Eugenol
Oim bas droite xvndix - Eugenol
Oim bas gauche d4ewj0 - Eugenol

alhoun

17/07/2008 à 13h36

et la suite....

Oim haut droite qjqccc - Eugenol
Oim haut gauche rtfqsa - Eugenol
Oim molaires d eslwjz - Eugenol

Amibien

17/07/2008 à 16h54

C'est ainsi que je l'avais imaginé, reprends sur les prémolaires au soflex rouge gros grains ou au carborandum vert bouteille... Quand je regarde la panoramique dans son ensemble, je vois la perte des dents à droite, je vois la perte osseuse au niveau des molaires maxillaires droites, je vois les diastèmes par ci par là, je me dis qu'elle presse les dents la vieille dame, je me dis aussi qu'il doit y avoir nécessairement surcharge quelque part, les photos que tu me montres tendent à incriminer les premières prémolaires maixillaires, commence par là tu ne peux pas te tromper, après correction fais la déglutir deux trois fois, fais lui avaler de l'eau, dis lui de faire une vasalva histoire de voir si les delta de pression se lèvent ensuite lors de la nouvelle pim suivie d'une déglutition redevenue normalement fonctionnelle au niveau tubaire, ensuite tu devrais pouvoir disposer des filtres pour aller plus finement dans l'examen de la fonctionnalité des cochlées...

je t'envoie une paire de lunettes avec filtres


200106 10150128247663588 709988587 6466236 5598391 n d7mksb - Eugenol
hallboy

17/07/2008 à 17h00

on est loin d'avoir une occlusion cata....

donc soit on passe par les filtres ( et là ça va pas et le plus simple vu où tu es) soit on espere que c'est musculaire et c'est un debut par gouttiere de relaxation.

QQ minutes avec 2 rouleuax de cotton entre les Incisives pour la deprogrammer; prise d'occlusion sur des cires de tres faible epaisseur ( Moyco rechauffées dans l'eau ). pas forcement tres rpoussé en haut et en arriere, mais le plus dans l'axe saggital possible.


Amibien

17/07/2008 à 18h32

hallboy Ecrivait:
-------------------------------------------------------
> on est loin d'avoir une occlusion cata....
>
> donc soit on passe par les filtres ( et là ça va
> pas et le plus simple vu où tu es) soit on espere
> que c'est musculaire et c'est un debut par
> gouttiere de relaxation.
>
> QQ minutes avec 2 rouleuax de cotton entre les
> Incisives pour la deprogrammer; prise d'occlusion
> sur des cires de tres faible epaisseur ( Moyco
> rechauffées dans l'eau ). pas forcement tres
> rpoussé en haut et en arriere, mais le plus dans
> l'axe saggital possible.
>
>




Mais hallboy, que chantes-tu là ? Je comprends deux choses maintenant, primo pourquoi tu dormais devant Daniel le 26 juin à Paris et secundo que tu n'as pas encore suffisamment compris ce qui se passe ici !


Humb

17/07/2008 à 19h01

gouttière de relaxation>EQUILIBRATION>COMMENT?
Et comment tu supprimes la gouttière?re-équilibration>comment? et ça coûte les yeux de la tête tout ça.
Je tiens le pari que l'ouverture augmente de 1 mm après la 1ère séance de 30mn de règlage tel que nous préconisons.


Humb

17/07/2008 à 19h02

je voulais dire 1 cm!!!!


200106 10150128247663588 709988587 6466236 5598391 n d7mksb - Eugenol
hallboy

17/07/2008 à 19h28

ben d'abord tu vas greffer une paire d'antennes à Alhoun, comme ça tu pourra lui expliquer au fur et a mesure en direct live;)


Fourre tout 05 12 08 017 apc4pu - Eugenol
Pier

17/07/2008 à 19h56

N'empèche que vous êtes vachement fort pour arriver à faire des diagnostics et des plans de traitement sans avoir examiné la patiente et en vous basant uniquement sur une radiopanoramique.
Au passage, personne n'a remarqué les 18 et 28?


Cuisinier2 vnbbxx - Eugenol
jeff2

17/07/2008 à 20h01

Pier Ecrivait:
.
> Au passage, personne n'a remarqué les 18 et 28?

tu vas apprendre son métier à Alhoun?



Fourre tout 05 12 08 017 apc4pu - Eugenol
Pier

17/07/2008 à 21h01

Dieu m'en garde, jeff, mais c'est quand même bizarre ces deux dents qui n'ont pas d'antagonsites et qui ne touchent que par leurs faces mésiales aux faces distales des 47 et 37. Maintenant, y a t il eu un déplacement qui a entrainé une propulsion de la mandibule ayant pour corolaire certains troubles préalablement présents à l'intervention de Alhoun, je n'en sais rien et impossible à dire sans examen de la patiente. D'autant plus que des dents ont été extraites, agravant le déséquilibre préexistant.
C'est pourquoi, je disais: Avez vous vu les 18 et 28?
A part ça, tu vas bien?


Squash u44zd8 - Eugenol
steph

17/07/2008 à 22h02

Hé! les pros, les dents manquantes ont été remplacées...faut les regarder les photos.


Fourre tout 05 12 08 017 apc4pu - Eugenol
Pier

17/07/2008 à 23h37

Elles ont été remplacées, certes, mais combien de temps après les extractions?
Même en voyant les photos attentivement, on ne peut pas le savoir.
Alors, d'ici à ce qu'il y ait eu des égressions préjudiciables à l'occlusion....


Cuisinier2 vnbbxx - Eugenol
jeff2

17/07/2008 à 23h50

comment mesures tu l'action prejudiciable d'une egression.
Cette question, comme tu t'en doutes Pier est tres importante.
Car si tu la juges pathos ou prejudiciable sur l'occlusion, tu vas intervenir, selon quel critère? le pifomètre?, la petite couleur des papiers bleux etc...


Fourre tout 05 12 08 017 apc4pu - Eugenol
Pier

18/07/2008 à 00h56

Pourquoi revenir toujours sur les mêmes questions, jeff.
Il ne s'agit pas pour l'instant de traiter, mais d'observer.
J'observe que j'ai des dents sans antagonistes, que les dents sans antagonistes egressent, phénomène physiologique naturel, qui a une raison.
Hors cette egression peut parfois entrainer des perturbations, par simple décalage mécanique.
Pour l'instant je ne parle, pas de traitement mais de diagnostic et des raisons susceptibles d'avoir entrainer un déséquilibre.
De toute façon, il est très difficile voir impossible d'établir un diagnostic sans examen préalable du patient, c'est la base de tout raisonnement médical.
Et sans diagnostic, pas de traitement.
Néanmoins, j'irai voir quand même du coté des 18 et 28....


Cuisinier2 vnbbxx - Eugenol
jeff2

18/07/2008 à 02h24

Pier Ecrivait:
> Pour l'instant je ne parle, pas de traitement mais de diagnostic et des raisons susceptibles d'avoir entrainer un déséquilibre.

Tu parles de raisons susceptibles (seulement suceptibles?)
et ce desequilibre comment le mesures tu?
C'est vraiment LA QUESTION qui va devenir importante ces prochains mois pier.




Amibien

18/07/2008 à 09h53

steph Ecrivait:
-------------------------------------------------------
> Hé! les pros, les dents manquantes ont été
> remplacées...faut les regarder les photos.


oui mais en SOUS-OCCLUSION mon ami !


12