Cookie Consent byPrivacyPolicies.comavis dent fêlée - Eugenol

avis dent fêlée

marc

02/07/2008 à 02h31

j'ai besoin de votre avis pour prendre une decision.

Voici la situation :
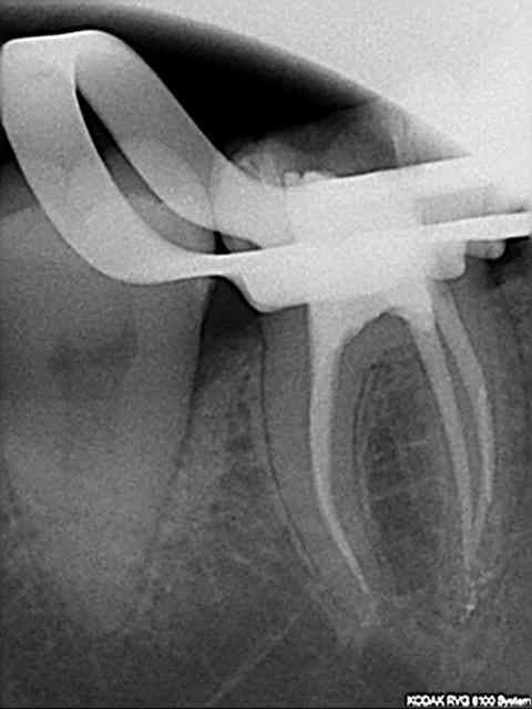
Patiente présente des douleurs au niveau de 46, provoquées principalement par la mastication.
46 présente un ancien composite légèrement infiltré.
Vitalité positive ; sondage normal ;
Décision de refaire le composite.
Pas de changement au niveau symptomatologie au bout d'1 mois ,ressentie par la patiente.
Décision de refaire le composite au cas ou il y ait eu un défaut au niveau du collage et pour examen du fond de la cavité pour déceler éventuelle fêlure.
Rien de visible avec loupes: nouveau compo sous digue, automordançant , flow, gestion du facteur C…
1 mois après, toujours les mêmes symptômes.
Suspicion forte de fêlure :
Test de morsure avec coton négatif, trans-illumination ne donne rien, mais : pression coté lingual avec une sonde de la cuspide mésio-vestibulaire ultra-sensible.

2 questions :

• Pensez vous qu’il est possible de conserver la vitalité de cette dent ?
Le test est positif léger, et la pulpe a déjà subi des dommages lié aux reconstitutions successives.
La chambre semble moyennement rétractée.
Que pensez vous du risque de nécrose pulpaire ou de fermeture progressive de la chambre au fil des années, rendant un éventuel ttt endo très compliqué ?

• On peut réaliser un onlay sur dent plupée ou dépulpée, en recouvrant la cuspide mv qui semble fêlée. Mais n’y a-t-il pas un risque que la fêlure puisse ne pas avoir disparue et évolue négativement dans le temps ?
On peut couronner la dent et bloquer la fêlure en resserrant les morceaux.
C’est plus agressif si on garde la dent pulpée, et de toute façon moins économique en tissu que l’onlay.

J’ai expliqué tout ça à la patiente (qui est radiologue et qui comprend les différents risques) et je lui ai dit la solution la moins risquée à mes yeux était de dépulper et couronner.

je sais qu'il y a une conf à la SOP sur le sujet, mais je peux pas attendre et la patiente non plus!
merci


marc

02/07/2008 à 02h32

radio

R36 jvqkai - Eugenol

024 vownvo - Eugenol
annie

02/07/2008 à 02h50

Premier avis,une des racines est deja nécrosée! il vaut ce qu'il vaut,je pense qu'il serait preferable de faire l'endo!


200106 10150128247663588 709988587 6466236 5598391 n d7mksb - Eugenol
hallboy

02/07/2008 à 02h57

Tu va avoir autant d'avis que de prat.

mais:
a/ tu peux pas laisser la patiente eternellement comme ça.
b/ les canaux mesiaux ont deja pratiquement disparus
c/ si il y a felure, tu ne sait pas vraiment a quel niveau.
d/ c'est un peu court pour extraire /implanter.

On ne peut pas extraire ou ne rien faire; donc onlay ou couronne.

on ne sait pas ou s'arrete la felure, donc couronne.
Dent vivante sur dent qui a deja bien souffert et dont les canaux risques de finir de se calcifier....

donc endo couronne.


LdL

02/07/2008 à 09h03

Je ferais pareil, pour les memes raisons.


Audi tt 2007 jzsdts - Eugenol
sbire

02/07/2008 à 09h17

endo+coiffe aussi


LdL

02/07/2008 à 11h10

Il est probable qu'il y a des thérapeutiques plus conservatrices, mais j'ai tendance à penser qu'il faut les tenter dès le premier rencard si on veut garder la confiance du patient. Sur ce coup là, les quelques séances de "tatonnement" (je dis ça sans critique, hein, j'ai fait pareil dans le meme cas) usent un peu la patience de tout le monde, et, au final, le patient ne veut plus avoir mal.
Certes, avec ce discours, l'acte ultime est l'extraction mais bon, on se comprend... :-)


Squash u44zd8 - Eugenol
steph

02/07/2008 à 12h24

annie Ecrivait:
-------------------------------------------------------
> Premier avis,une des racines est deja nécrosée!

Voir ça sur une radio, c'est balèze.


200106 10150128247663588 709988587 6466236 5598391 n d7mksb - Eugenol
hallboy

02/07/2008 à 13h17

C'est bien ce que j'ai dit à Adhoc: on a pas besoin d'une rubrique "voyance ".
On a deja.


024 vownvo - Eugenol
annie

02/07/2008 à 16h50

steph Ecrivait:
-------------------------------------------------------
> annie Ecrivait:
> --------------------------------------------------
> -----
> > Premier avis,une des racines est deja nécrosée!
>
>
> Voir ça sur une radio, c'est balèze.


Quand il n'y a plus de filet pulpaire visible dans une racine,sans etre MMe Soleil,on peut en déduire qu'il n'y a pas grande vitalité dans cette racine,la vitalité etant si je ne me trompe conduite par la continuité et l'intégrité de ce filet pulpaire!
En d'autres termes,si l'on coupe un fil electrique a un endroit le courant ne passe plus!
le terme de nécrose est adapté pour un élement mort


200106 10150128247663588 709988587 6466236 5598391 n d7mksb - Eugenol
hallboy

02/07/2008 à 17h32

Visible et existant ce n'est pas la mme chose. et une mineralisation complete c'est une diparition, pas une necrose.. une partie du parenchyme, pouvant mme etre irrigué par voie camerale..

Bon, on va pas en faire un fromage . je te laisse le dernier mot.


LdL

02/07/2008 à 17h34

annie Ecrivait:
-------------------------------------------------------

> Quand il n'y a plus de filet pulpaire visible

Tu l'as dit ! Visible ! Or pour se calcifier, il y a besoin de vitalité...


Squash u44zd8 - Eugenol
steph

02/07/2008 à 18h48

La sénescence pulpaire, annie, ça doit pas te dire grand-chose.


marc

02/07/2008 à 20h45

merci pour vos avis.
Je vais suivre les conseils.
je ne pense pas que la dent soit nécrosée, même partiellement.
On aura la réponse quand je serais dans la chambre pulpaire.
Merci


024 vownvo - Eugenol
annie

02/07/2008 à 20h47

hallboy Ecrivait:
-------------------------------------------------------
> Visible et existant ce n'est pas la mme chose. et


Comme saint thomas ,je crois a l'existence de ce que je vois,et c'est toi qui parles de voyance?

> une mineralisation complete c'est une diparition,
> pas une necrose.. une partie du parenchyme,
> pouvant mme etre irrigué par voie camerale..
>
disparition des signes cliniques de vitalité,= nécrose !! mineral irrigué? connais pas,une lacune surement!

> Bon, on va pas en faire un fromage . je te laisse
> le dernier mot.

on peut deja marquer la "discussion est fermée?"





024 vownvo - Eugenol
annie

02/07/2008 à 20h48

LdL Ecrivait:
-------------------------------------------------------
> annie Ecrivait:
> --------------------------------------------------
> -----
>
> > Quand il n'y a plus de filet pulpaire visible
>
> Tu l'as dit ! Visible ! Or pour se calcifier, il y
> a besoin de vitalité...


je n'ai jamais dit qu'elle n'avait pas été vitale!!je dis qu"un canal ne l' est plus! on dirait que je ne parle pas français!


024 vownvo - Eugenol
annie

02/07/2008 à 20h51

steph Ecrivait:
-------------------------------------------------------
> La sénescence pulpaire, annie, ça doit pas te dire
> grand-chose.


Si,mais pas avec une chambre pulpaire de taille normale! lorsqu'il y a retraction, diminution ,mineralisation,senescence,elle est dans tout l' ensemble et pas seulement sur un seul canal!

Quoiqu'en revoyant la radio,la chambre pulpairen'est pas de taille si normale que ça!


Pa050055 igyagy - Eugenol
mark

02/07/2008 à 22h28

marc Ecrivait:
-------------------------------------------------------
> merci pour vos avis.
> Je vais suivre les conseils.
> je ne pense pas que la dent soit nécrosée, même
> partiellement.
> On aura la réponse quand je serais dans la chambre
> pulpaire.
> Merci


et le plus rapidement possible
et sous digue

fêlure=risque de contamination++++

ne pas attendre qu'elle intéresse la pulpe canalaire

procéder au meilleur collage possible

mettre en sous-occlusion

contrôler à 2 mois avant de coiffer

éventuellement: taille et provisoire en attente de ce contrôle, afin d'éviter un effet de cisaillement sur la dent reconstitué par collage et non protégée


Tilc

03/07/2008 à 02h21

marc Ecrivait:
-------------------------------------------------------
>> et je lui ai dit la solution la moins risquée à
> mes yeux était de dépulper et couronner.
>

Bein si elle a compris et accepté ton avis (qui n'est pas plus bete qu'un autre) pourquoi tu ne le fait pas ? Un revirement sur ton plan de traitement "présumé" serait maintenant a la limite plus nefaste.


Coccinelle mgl0qv - Eugenol
murielle

04/07/2008 à 19h44

Avant de dévitalliser, je jetterais un coup d'oeil à l'occlusion de toute la bouche.

J'ai eu il ya quelques semaines le cas d'une patiente qui a été dans le même situation que ta patiente Marc. Douleur inexpliquée durant durant durant sans que la dentiste qui la suivait ne trouve la cause. En définitive, elle a adopté la même solution que tout ce qui est prescrit plus haut à savoir endo + couronne. La douleur est restée la même. La patiente est venue me voir à ce moment-là, me laissant perplexe devant la situation d'autant plus que l'endo est nette, que la couronne est bien ajustée, que le points de contact sont présents, etc... Pourtant, la douleur est bien présente sur cette dent, en particulier à la percussion axiale.
Bref, je fais dans ce cas ce que je fais quand je ne sais pas trop où je vais, je vérifie l'occlusion: rien de spécial sur la dent concernée (une 26) qui avait plutôt même été mise en sous occlusion par la dentiste précédente, mais un point ou plutôt une énorme surface de contact sur la 27. Je commence donc par régler celle-ci et là, la patiente me dit alors: "ça y est, je n'ai plus mal!"...
Aucun mérite, c'est toujours plus facile de passer en deuxième que d'être celui qui a pataugé, mais ça fait quand même plaisir.
Dommage seulement que la dent ait été dévitallisée à ce stade...
(NB: J'aurais été la première à voir cette patiente, j'aurais, à ce moment-là, probablement fait la même chose: endo + couronne... ...hélas)



Avatar transparent iqadnc - Eugenol
adhoc

04/07/2008 à 20h39



MDR!


Image odged8 - Eugenol
ploc

04/07/2008 à 21h31

adhoc Ecrivait:
-------------------------------------------------------
> >
> MDR!

:)
+1
>
>



marc

21/07/2008 à 19h20

Voilà je viens de faire l'endo et de mettre la dent sous provisoire.
Merci pour vos avis


marc

21/07/2008 à 19h21

radio

R38 zw0h9a - Eugenol

200106 10150128247663588 709988587 6466236 5598391 n d7mksb - Eugenol
hallboy

21/07/2008 à 19h37

c'est un Mcspadden dans la mesiale?

elle a encore des symptomes la dame?


12