Cookie Consent byPrivacyPolicies.comRisque de fracture d'une PAC Maxillaire - Eugenol

Risque de fracture d'une PAC Maxillaire

SteveB

06/07/2008 à 01h55

Bonjour mes amis,

Je cherche à savoir quelle est l'épaisseur conseillée de résine au palais d'une prothèse complète maxillaire. En effet, je viens de finaliser un traitement compliqué sur mon père comprenant :

- A la mandibule : Un bridge céramo-mettalique de 34 à 45 avec 41 et 31 en inter, et possédant des attachements postèrieurs type Rotec. PAP mandibulaire sur attachement pour les dents postèrieurs.

- Au maxillaire : Prothèse complète en résine. (je n'ai pas choisi une base en métal pour des raisons esthétiques et mon père ne souffre pas d'hyposialie, et je n'ai pas choisi une grille metal pour ne pas trop épaissir le palais)

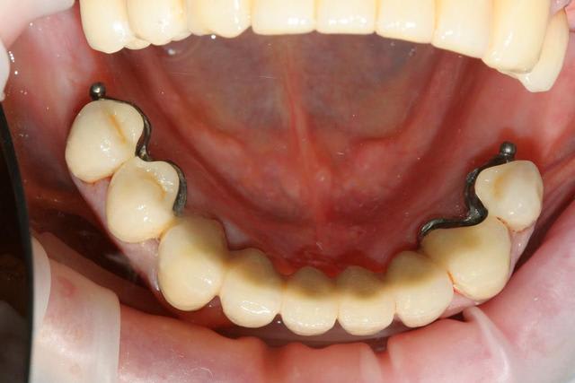
A la réception de cette dernière polymérisée, je me suis étonné de voir la finesse du palais en résine. Sur mon compas d'épaisseur elle indique par endroit 1mm! (voir photo jointe)

Etant donné que mon père est plutot carbocalcique et qu'à la mandibule, on est loin d'avoir un complet, je pense pour ma part que l'on a un grand risque de fracture. Le prothésiste m'affirme qu'il n'y a absolument aucun risque à partir du moment où la prothèse est parfaitement équilibrée, ce qu'elle est.

1 : Quelle est votre opinion sur ce point?

2 : Si il s'avère qu'il ya danger et que l'on doit intervenir quelle est la meilleure solution ?

- Rajouter de la résine sur l'extrados aux endroits les plus fins afin de rendre la résine plus épaisse. Cette éventualité, proposée par mon prothésiste me parait dangereuse et semble plus être du "bricolage" car j'ai la crainte qu'il persisterait une interface entre la résine polymérisé à très haute température et la résine de rajout. Si les 2 résines n'ont pas parfaitement le même comportement mécanique, il se peut que cela fragilise le tout? Quelle est votre avis?

- Attendre la casse. Et réparer ensuite... (j'ai garder un double du modèle maxillaire secondaire en plâtre (non en silicone...))

- Enfin, dernière solution, réaliser une mise en moufle de l'appareil et re-réaliser une résine complète cette fois-ci à la bonne épaisseur.

Voilà, j'attends vos opinions sur tout ça. Par avance merci.


SteveB

06/07/2008 à 02h04

Photo

Img 6606 copie ztv1ci - Eugenol

200106 10150128247663588 709988587 6466236 5598391 n d7mksb - Eugenol
hallboy

06/07/2008 à 03h04

je ne comprend pas en quoi le choix d'une PBM aurait diminué l'esthetique.


Audi tt 2007 jzsdts - Eugenol
sbire

06/07/2008 à 03h17

les résines "injectées" ont d'excellentes propriétés mécaniques sous faible épaisseur...

je laisserai le temps dire si ca suffit


SteveB

06/07/2008 à 03h40

La PBM est plus visible q'on le croit lorsque le patient rit... (aux eclats certes)


Dr - Eugenol
JeRis

06/07/2008 à 09h22

... il y a une décharge, une ligne A qui fait office de poutre de renfort ... laisse la comme elle est, si elle est bien posée, ton père y gagne en confort.


Dans qqs temps, s'il y a des modifications des surfaces d'appuis en bouche, prévoie un rebasage. (pour les selles du bas aussi, avec les attachements ... d'ailleurs, ils ressemblent à quoi les Rotec? Tu peux faire une photo?)



... et si le CH se fracture, tu me jetteras la pierre sur laquelle ton père a mordu :)


S8ysxdzhdqgw00w4q6m07a5d47q2 - Eugenol
gai-luron

06/07/2008 à 11h45

j'en ai vues des plus fines que ça qui n'ont jamais cassé.


SteveB

06/07/2008 à 13h35

Vos témoignages me rassurent étant donné que les résines que j'ai posé dans ma vie n'ont jamais eu la finesse de celle-ci...
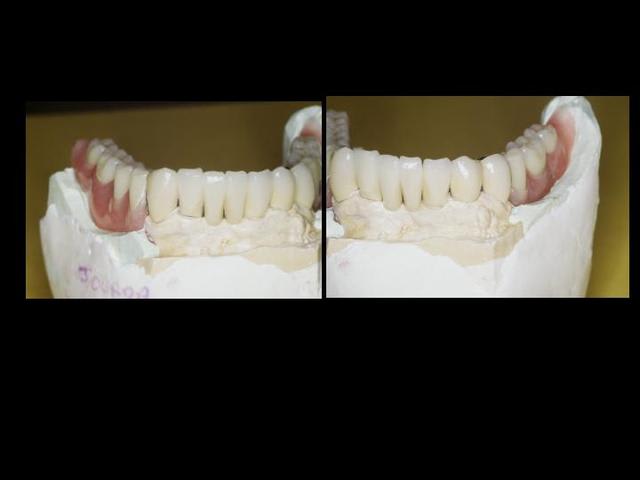
Pour les Rotek ce sont des attachements boules postérieurs qui ont une partie femelle amovible en plastique qui existent en 3 couleurs en fonction de leur rétention. Voir les photos jointes.

Img 6629copie q1wafq - Eugenol
Img 6630copie jj3fnq - Eugenol
Img 6630copie u0nsrb - Eugenol
Img 6629copie zdrm68 - Eugenol

Dr - Eugenol
JeRis

06/07/2008 à 14h01

... ok, merci.
Ce sont les mêmes que les Rhein.


Utilisateur anonyme

07/07/2008 à 12h20

SteveB Ecrivait:
-------------------------------------------------------
> Vos témoignages me rassurent étant donné que les
> résines que j'ai posé dans ma vie n'ont jamais eu
> la finesse de celle-ci...
> Pour les Rotek ce sont des attachements boules
> postérieurs qui ont une partie femelle amovible en
> plastique qui existent en 3 couleurs en fonction
> de leur rétention. Voir les photos jointes.

attention à la P mandibulaire
attachements rigides = résorption donc perte de calage postérieur pouvant entrainer fracture de la
P maxillaire et traction sur le bridge
dommage que ce superbe travail n'ait pas été réalisé avec bridge fraisé et selles disjointes, cela pérennisait le haut et le bas


SteveB

07/07/2008 à 15h33

Bonjour, pourriez vous précisez au sujet des selles disjointes? Je n'ai pas bien saisi. Pour les fraisaged il y en 4 sur 4 dents du bridge, je pensais cela suffisant.


Utilisateur anonyme

07/07/2008 à 16h23

SteveB Ecrivait:
-------------------------------------------------------
> pour plus de détails
photos ci-jointes et sites en références

http://monsite.orange.fr/selles.disjointes

http://monsite.orange.fr/p.partielle

cordialement

Cas m tk8mkw - Eugenol
Cas amorti mtu7wj - Eugenol
Cas ver sahlg6 - Eugenol
Cas ver 2 cwpaua - Eugenol