Cookie Consent byPrivacyPolicies.comProblème de courbe de Spee - Eugenol

Problème de courbe de Spee

aimata

08/07/2008 à 00h21

Bonjour !

Je rencontre un soucis avec une patiente. Elle souhaite "remplacer les dents du bas". Mais du coup, je souhaite "modifier les dent du haut" !
Pour le secteur 1, j'envisage des couronnes sur 15 et 16.
Par contre pour le secteur 2, je suis beaucoup plus circonspecte. Il faut tout refaire. Si je garde 26 et 27 en l'état, les faces occlusales seront quasi sous-gingivales.
Que faire : élongation coronaires, réingression, extraction implantation ???

Si vous avez des idées, n'hésitez pas, j'envisage toute proposition !

merci d'avance

Pano   copie ima8uj - Eugenol

aimata

08/07/2008 à 00h31

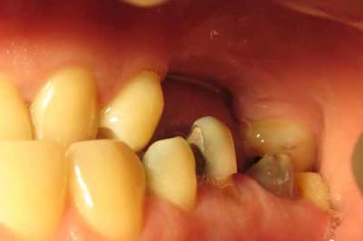
photos intra-buccales
(désolée, il va falloir être contortionnistes, les modifications que j'ai faites pour mettre les photos dans le bon sens ne sont pas passées)

Img 2055   copie hybmei - Eugenol
Img 2057   copie fi4ehh - Eugenol
Img 2058   copie ptvwpy - Eugenol
Img 2059   copie a0rupq - Eugenol

aimata

08/07/2008 à 00h40

Photos des modèles

Modèle haut   copie admz5u - Eugenol
Modèle mand   copie ymntfa - Eugenol
Modèles droit   copie pvv1nt - Eugenol
Modèles gauche   copie oar3r0 - Eugenol

Squash u44zd8 - Eugenol
steph

08/07/2008 à 02h22

Côté droit tu dois pouvoir retrouver une courbe de spee correcte avec couronne sur 17 et onlays sur 14 et 15 (vu le volume des amalgames, tu as déjà une rétraction pulpaire).
Par contre à gauche, s'il semble possible de garder 24 et 25 après élongation coronaire, tu vas te retrouver dans la furcation pour 26 et 27 (racines divergentes, tronc radiculaire court).
Des implants en bas aussi, tu ne peux pas exploiter les molaires restantes, la ligne de plus grand contour est sous-gingivale, version prononcée et ingression.