Cookie Consent byPrivacyPolicies.comMoi je n'ai pas fait Clauzade - Eugenol

Moi je n'ai pas fait Clauzade

Spriford

09/07/2008 à 18h59

mais j'ai appris l'histoire de la protection canine. Alors quand je trouve un joli cas qui peut illustrer , je prends des photos, sans prétention.
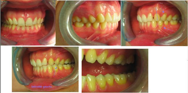
L'année passée j'ai dit à ce patient qu'il se brossait les dents trop fort,et qu'il était responsable des mylolyses de ses 2 PM;
Aujourd'hui l'idée que ces mylolyses pourraient provenir d'une prématurité m'a traversé l'esprit, prématurité mise en évidence:Ici, la 23 a une angulation non idéale, alors les latéralités gauches se font sur les 24 et 34,porteuses de mylolyses! (CQFD)

J'ai meulé les 24 et 34 pour retrouver des contacts groupés. J'aurais peut-être dû modifier la morphologie de 23 ??? ou de ne rien faire???

J'espère au moins que je n'ai pas aggravé le cas.

Latéralité r4prsa - Eugenol

Amibien

09/07/2008 à 21h37

et bien voilà ! bravo...


RAEYMAEKERS

21/07/2008 à 00h30

La physiologie humaine est un tout, quel que soit l'angle sous lequel on la regarde, on regarde tous la même chose. La façon de voir de Clauzade est physiologique, la façon de Planas aussi, là où leurs vues divergent, c'est qu'un a tort ou les deux ou ils ont raison tous les deux et leur approche est fausse ou incomplète puisqu'elle ne se recoupe pas. Toutefois avec l'expérience la fonction canine est pathologique, la fonction de groupe aussi mais moins, la relation centrée est pathologique. Ceci étant il faut quasiment tout le temps meuler les canines pour rétablir les latéralités et la DV est très souvent diminuée. Clauzade a raison, Planas aussi.
A mon sens la formation Planas apporte plus !


Cuisinier2 vnbbxx - Eugenol
jeff2

21/07/2008 à 02h25

RAEYMAEKERS Ecrivait:
-------------------------------------------------------
> La physiologie humaine est un tout, quel que soit
> l'angle sous lequel on la regarde, on regarde tous
> la même chose.

Te poses tu la question, de savoir si il est possible de regarder la même chose avec un oeil neuf?
Tu dois connaitre la difficultes des kines qui font osteos et qui doivent désapprendre certaine tenchniques.
Imagines toi de te réveiller un matin et d'avoir tout oublier en occluso

les jeunes qu'on va former vont aller trés vite, car ils n'ont aucune certitudes et auront tout de suite un résultat cohérent;


Image odged8 - Eugenol
ploc

21/07/2008 à 04h52

jeff2 Ecrivait:
-------------------------------------------------------

> les jeunes n'ont aucune certitudes et auront tout de> suite un résultat cohérent;

l'avantage et le charme de la jeunesse: croire qu'on SAIT et que tout est blanc ou noir
>



Amibien

21/07/2008 à 13h23

RAEYMAEKERS Ecrivait:
-------------------------------------------------------
La façon de voir de Clauzade est physiologique


Prouve-le...

Définir PHYSIOLOGIQUE

Montrer que Clauzade a une vision qui s'inscrit dans cette définition que tu vas nous donner...

Expliciter l'instrument de MESURE...

Ecrire la stratégie d'examen pour qu'elle soit REPRODUCTIBLE par tous et chez tous les patients

Merci !


RAEYMAEKERS

21/07/2008 à 23h50

Jeff2,

Mon propos n'était pas de voir les choses d'un oeil neuf mais d'expliciter que un être humain a plusieurs facettes qui sont complémentaires.
Les ostéos ne doivent pas désapprendre mais voir sous un autre angle, les techniques qu'ils ont apprises en fac ne leur sont plus utiles , ils font autre chose et laissent ces techniques à d'autres car elles sont toujours utiles mais contrairement à ce qu'ils avaient appris elles ne sont pas utiles dans tous les cas. Ils ont appris a voir le corps humain selon une facette supplémentaire.
Des homéopathes peuvent prescrire de l'allopathie simplement parce que dans certains cas c'est irremplaçable, ils ont simplement une corde de plus à leur arc.
EN apprenant de nouvelles techniques, certaines autres deviennent désuettes et d'autres non.
Peut-être qu'un jour la roue deviendra désuette mais j'en doute fort.


RAEYMAEKERS

22/07/2008 à 00h01

Qu'est ce qu'être PHYSIOLOGIQUE ?

Difficile de répondre avec certitude. La physiologie est la description du fonctionnement de l'organisme et la pathologie la description de tout ce qui interfère avec son fonctionnement.
Donc être physiologique est le fait d'agir sans interférer avec ce fonctionnement et même le favoriser. C'est différend d'une action thérapeutique qui vise à supprimer un obstacle de fonctionnement. Donc on revient à : Primum non nocere !
Mettre un "multibagues" freine ou bloque certains aspects du fonctionnement d'un organisme donc ce n'est pas physiologique.
L'augmentation de la DV libère les temporaux (nécessité de formation pour discuter de ce point), le mouvement des temporaux libère les chaines musculaires (idem) et soulage le patient (en cas de pathologie seulement)
Conclusion : ce geste est efficace et reproductible à condition d'avoir la formation. Mais n'est ce pas le cas de tout ce que nous appliquons dans notre métier journellement ?


Amibien

22/07/2008 à 14h24

augmenter la DV risque surtout de modifier l'impact de ta nouvelle occlusion sur les cochlées, comment vas-tu mesurer de combien tu peux augmenter sans nuire et surtout comment vas-tu savoir avec certitude que tu ne bloques pas des CCE et donc que ton intervention n'est pas nuisible malgré une apparente innocuité ?

tu es mal ici mon ami, il te faut les filtres pour le savoir, ou alors tu disposes d'un autre moyen d'une précision micrométrique et au hertz près auquel cas nous aimerions le connaître...