Cookie Consent byPrivacyPolicies.commise en état... - Eugenol

mise en état...

pincha

09/07/2008 à 21h37

Bonjour à tous ,
je viens de recevoir une patiente qui va se faire poser une prothèse de hanche dans 2 mois.
Dans un temps aussi court est-ce qu'il vous parait
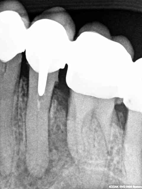
possible de remettre en état sans pratiquer des extractions multiples, les endos sur 15 et 47 sont pratiquement inexistantes , bridge sur dents vivantes , tout est assymptomatique, 48?
Votre avis me serait bien utile car je déteste avoir à extraire des dents qu'il me semblerait pouvoir sauver en refaisant de bonne endos..


pincha

09/07/2008 à 21h40

désolée ... voici les radios

R1 x586py - Eugenol
R2 d7zlfd - Eugenol

pincha

09/07/2008 à 21h45

oups il manque celle là..

Panoramique gojrxb - Eugenol

S8ysxdzhdqgw00w4q6m07a5d47q2 - Eugenol
gai-luron

09/07/2008 à 21h49

la pano ne passe pas.

c'est souvent le problème avec ces bilans avant greffe... avoir le temps de tout faire...


pincha

10/07/2008 à 12h30

pano.....

Img008 gkg37w - Eugenol

01 ukhwbq - Eugenol
Bobby

15/07/2008 à 19h53

C'est sûr que si tu vires tous les foyers infectieux potentiels il va y avoir du mal de fait...


Bjorn

16/07/2008 à 17h40

"Les orthopédistes sont unanimes : la plupart du temps, la pose de prothèse orthopédique est une chirurgie fonctionnelle dite « à froid », c'est-à-dire qu’ils laissent aux chirurgiens dentistes tout le délai nécessaire aux traitements quitte à reporter leur propre intervention."

http://www.sop.asso.fr/FPrat/index.php?idfp=38&ok=1



Personnellement, ça ne se passe pas du tout comme sur le site de la SOP: le patient se pointe avec un papier qu'une secrétaire du chirurgien ortho lui a filé, sur lequel est écrit "allez faire un contrôle chez votre dentiste" ("allez aussi chez le coiffeur"), jamais de courrier du chir... (surtout avec un "cher confrère"...)

En général, le patient n'a pas vu de dentiste depuis 15 ans, ou bien il est "suivi régulièrement mais son dentiste, comme il est très bon, est débordé" (ce qui dans la majorité des cas est la même chose), il se fait opérer deux semaines après sa première consultation dentaire, et est très pressé car il ne veut pas reporter son opération ortho, vu qu'il a attendu 2 ans pour avoir le "meilleur".

Donc en lisant les recommandations de la SOP, il se trouve que dans 100% des cas que j'ai rencontrés, mon courrier a été le suivant (jamais vu un patient prendre rendez-vous 4 mois avant son opération):

(en gros)

"Monsieur,

J'ai vu aujourd'hui X en consultation initiale pour recherche de foyers infectieux bucco-dentaires.
Le délai nécessaire pour supprimer le risque infectieux étant supérieur au délai dont je dispose avant votre intervention, je ne peux que proposer de différer cette dernière....

Blabla ...blabla.... "

Je pourrais aussi juste lui faire donner par ma secrétaire un papier tout fait avec écrit "dire au chirurgien que vous avez des foyers infectieux et que, comme d'habitude il envoie ses patients beaucoup trop tard", mais bon...

Dans 100% des cas, je n'ai eu aucune nouvelle, ni du patient, ni du chir.

Je me demande bien à quoi sert cette mascarade.
Et vous?


S8ysxdzhdqgw00w4q6m07a5d47q2 - Eugenol
gai-luron

16/07/2008 à 18h30

Tout à fait d'accord.

(C'est bien? Il n'y a pas de faute?)


Bjorn

16/07/2008 à 20h17

Tiens, mon amoureux ne répond pas?

Ah, j'oubliais, il ne parle jamais de dentisterie.
Il ne parle que de moi. :-))


pincha

21/07/2008 à 16h37

Je vous remercie pour vos réponses et pour ce document de la sop , trés instructif , merci encore.