Cookie Consent byPrivacyPolicies.comque faites vous dans ces cas là? - Eugenol

que faites vous dans ces cas là?

Manolito wom2of - Eugenol
manolito

14/07/2008 à 17h44

péri implantite débutante

Peri implantite iv7hon - Eugenol

joe

14/07/2008 à 21h53

quelle en serait la cause?


Manolito wom2of - Eugenol
manolito

14/07/2008 à 22h55

c'est un cas qui tourne au cauchemar : ça fait deux fois que je refait l'armature donc de nombreux vissages et dévissages de pilliers, moignons d'empreintes etc... je pense que l'attache conjonctive s'est rompue et que des bacteries ont pu penetrer.
J'ai rinçé à la chlorhexidine et je revoie le patient mercredi soir pour aviser.


Img 1744 z0evts - Eugenol
dumaille

14/07/2008 à 23h24

pose ton moignon et ta couronne, et laisse faire dame nature.


PS: la chlorex dans le sang cela ne sert à rien.


Manolito wom2of - Eugenol
manolito

14/07/2008 à 23h26

bien reçu. un peu de betadine peut être pour remplacer la chx?


Amibien

16/07/2008 à 05h11

tu vois bien que tu es dans un contexte parodontopathique, l'implant est touché, regarde l'occlusion avec les filtres colorés et pense que l'os a besoin d'iun espace biologique alors inutile d'aller sonder comme ça...


Blason dql7mj - Eugenol
growler

16/07/2008 à 09h07

certains lasers seraient capables de décontaminer la surface implantaire sans altérer l'état de surface d'origine.(co2, diode). Leur usage combiné avec h2o2 donnerait ainsi plus de chance à la réparation osseuse d'avoir lieu qu'avec le simple usage d' H2O2, chlorexidine ou betadine.

un article de G.Romanos sur le sujet:

http://www.cda-adc.com/jadc/vol-71/issue-2/117.pdf

@+


Manolito wom2of - Eugenol
manolito

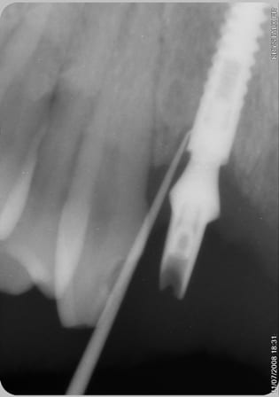
17/07/2008 à 14h34

j'ai revu le patient hier soir, la fistule a disparu la rx n'a pas évolué.
j'ai démontéles pilliers pour reprendre une empreinte et au niveau de cet implant s'est dégagé une odeur nauséabonde.
J'ai donc rincé l'interieur et l'exterieur de l'implant à la betadine pris mon empreinte et remis mes pilliers provisoires que j'ai laissé trempé dans la bétadine aussi.
La suite et j'espère fin dans 1 semaine.
Merci à tous pour vos conseils.


crazydoc

17/07/2008 à 18h06

Ta péri_implantite ressemble plus à une cratérisation. Je ne pense pas qu'il y ait mobilité. Donc pas de péri-implantite. Malheureusement tu ne peux rien faire, sauf stabiliser le cas en le terminant. Tu gères bien l'occlusion pour ne pas amplifier cette cratérisation. Je pense que c'est directement dépendant de ton système et de la proximité de la connectique avec l'os. Micro-mouvements.


Img 8465 fqhxid - Eugenol
noahaxeltiger

17/07/2008 à 19h02

crazydoc Ecrivait:
-------------------------------------------------------
> Ta péri_implantite ressemble plus à une
> cratérisation. Je ne pense pas qu'il y ait
> mobilité. Donc pas de péri-implantite.

Tu peux m'expliquer, ça m'interesse!!!!

> Je pense que c'est directement
> dépendant de ton système et de la proximité de la
> connectique avec l'os. Micro-mouvements.

Tu peux m'expliquer ça aussi t'en que tu y es, merci !!


crazydoc

17/07/2008 à 20h42

si tu considère la péri-implantite comme un phénomène irréversible. cf les critères de cette pathologie. Je confirme qu'il n'y a donc pas péri-implantite.


Img 8465 fqhxid - Eugenol
noahaxeltiger

17/07/2008 à 21h23

crazydoc Ecrivait:
-------------------------------------------------------
> si tu considère la péri-implantite comme un
> phénomène irréversible. cf les critères de cette
> pathologie. Je confirme qu'il n'y a donc pas
> péri-implantite.

De quels critères parles tu ? Sur quoi appuies tu tes dires ?


Img 1744 z0evts - Eugenol
dumaille

17/07/2008 à 21h34

noahaxeltiger Ecrivait:
-------------------------------------------------------
> crazydoc Ecrivait:
> --------------------------------------------------
> -----
> > si tu considère la péri-implantite comme un
> > phénomène irréversible. cf les critères de
> cette
> > pathologie. Je confirme qu'il n'y a donc pas
> > péri-implantite.
>
> De quels critères parles tu ? Sur quoi appuies tu
> tes dires ?
>

laisse tomber il est crazy.


crazydoc

18/07/2008 à 12h24

ok les gars vous etes savants.Ce cas est très beau.


Img 8465 fqhxid - Eugenol
noahaxeltiger

18/07/2008 à 12h47

crazydoc Ecrivait:
-------------------------------------------------------
> ok les gars vous etes savants.Ce cas est très
> beau.


Crazydoc, ne te méprends pas. Ta réponse ressemble à une parade pour éviter toute discussion. Je veux juste que tu nous expliques un peu plus. J'ai juste peur que tu fasses l'amalgame entre periimplantite et desosseointégration.

crazydoc Ecrivait:
-------------------------------------------------------
> Ta péri_implantite ressemble plus à une
> cratérisation.

Quelle est la différence ? Est ce que cratérisation est un diagnostic ?


crazydoc Ecrivait:
-------------------------------------------------------
> Je ne pense pas qu'il y ait
> mobilité. Donc pas de péri-implantite.

La mobilité n'a jamais était un critère de diagnostic de periimplantite.

crazydoc Ecrivait:
-------------------------------------------------------

> Malheureusement tu ne peux rien faire, sauf
> stabiliser le cas en le terminant.

Heureusement qu'il y a des choses à faire pour arrêter l'évolution de la periimplantite.

crazydoc Ecrivait:
-------------------------------------------------------

> Je pense que c'est directement
> dépendant de ton système et de la proximité de la
> connectique avec l'os. Micro-mouvements.

Ca ne va pas plaire à Davemarss ;-)


Crazydoc je t'invite sérieusement à te pencher un peu plus sur la littérature concernant la periimplantite! Je crains malheureusement que cette pathologie soit de plus en plus fréquente : compte tenu du nombre d'implant posés de nos jours, soit sur des terrains parodontpathologiques soit chez des patients sans contrôle postimplantaire, cette pathologie est une bombe à rétardement !!


crazydoc

18/07/2008 à 13h02

Je pense que cette cratérisation n'est pas une péri-implantite. Définitivement. En effet deux raisons. Si origine bactérienne alors tes traitements auraient été efficaces, si origine occlusale (impossible car il n'est pas en fonction). En plus tu as exposé le site à de multiples reprises et donc perte osseuse. Excuse-moi mais je ne pense pas que ton patient soit atteint de parodontopathie (cf radio). Alors avec toute ton assurance explique-moi d'ou vient cette infection bactérienne, manque d'hygiène, asepsie defectueuse.....?


crazydoc

18/07/2008 à 13h40

noah tu dis dans d'autres discussions que la péri-implantite n'intéresse personne, mais à la lecture de tes messages je te sens très désireux de nous étaler ton savoir en la matière. T'es un disciple de M.BERT? Pourtant à te lire souvent quand tu exposes un cas de péri-implantite tu termine souvent par un explantation. Alors la reversibilité? Les cratérisations sont parfois dues, à un relarguage de toxines bactériennes dans cet espace, et ceci par infiltration des joints implants/vis/moignon. Meme si les systèmes sont usinés et donc théoriquement parfaits il existe des micromouvements qui provoquent ce relarguage. Je pense que ce cas va se stabiliser si l'occlusion est bien gérée. Pourquoi les systèmes d'implanto essaient-ils d'éloigner les zones de connectiques de l'os?
J'attends ta lumière. lol.


Img 8465 fqhxid - Eugenol
noahaxeltiger

18/07/2008 à 14h44

crazydoc Ecrivait:
-------------------------------------------------------
> noah tu dis dans d'autres discussions que la
> péri-implantite n'intéresse personne, mais à la
> lecture de tes messages je te sens très désireux
> de nous étaler ton savoir en la matière.

Je suis désireux de rien du tout, mais je ne peux m'empêcher d'intervenir qu'en quelqu'un dit que s'il n'y a pas mobilité il n'y a pas periimplantite, que quand la periimplantite a commencé il n'y a plus rien à faire !!

> T'es un disciple de M.BERT?

Non moi c'est plutôt Renvert, Roos-Jansåker et Zitzmann.


> Pourtant à te lire souvent quand tu exposes un >cas de péri-implantite tu
> termine souvent par un explantation.

J'ai présenté sur eugénol 1 seul cas de periimplantite sur 6 implants au maxillaire sup. Effectivement 1 implant a été retiré mais 5 autres ont été traités et sont aujourd'hui stables et parodontalement sains.
De là à dire que je "termine souvent par une explantation", tu prends des raccourcis un peu rapides !! Un cas ne peut pas résumer les quelques centaine de patients que l'on m'a adressé pour cause de periimplantite avec des grades variés.

Comme tu t'ai déjà intéressé à cette complication biologique je ne t'apprend rien en disant que le traitement non chirurgical dans certaines mesures, la chirurgie résective et régénérative ainsi que les traitements antibactériens font partie de l'arsenal thérapeutique.

> Alors la reversibilité?

Je n'ai jamais dit que cette pathologie est réversible, malheureusement. Mais on peut parfaitement améliorer la situation pour la rendre stable et non évolutive. La chirurgie régénérative dans le sens où l'on régénère une osseointégration autour d'un implant contaminé n'en est qu'à ses balbutiements.


>Les cratérisations sont parfois dues, à un >relarguage de toxines bactériennes dans
> cet espace, et ceci par infiltration des joints
> implants/vis/moignon.

Au même titre qu'un manque de volume osseux au moment de l'implantation.
Au fait crazydoc sais tu par hasard pourquoi les lésions perimplantaires ont cette forme cratérisée ?

>Meme si les systèmes sont
> usinés et donc théoriquement parfaits il existe
> des micromouvements qui provoquent ce >relarguage.
> Je pense que ce cas va se stabiliser si
> l'occlusion est bien gérée.

Le problème crazydoc est que la poche en mésial existe déja !! L'occlusion a très certainement son mot à dire mais elle ne règlera pas à elle seule le problème. Comme manolito et growler l'ont dit il est primordial d'associer un traitement antimicrobien.

>Pourquoi les systèmes
> d'implanto essaient-ils d'éloigner les zones de
> connectiques de l'os?

Pour une fois tout à fait d'accord avec toi !!

> J'attends ta lumière. lol.

Pour pouvoir t'éclairer un peu mieux, medline le fera mieux que moi.

Amicalement ;-)


Img 1744 z0evts - Eugenol
dumaille

18/07/2008 à 16h42

en faite il sera d'abord interessant de connaitre le contexte d'implantation: extraction implantation immediate? utilisation d'os de forage ou bio matos?...
notons tout de meme que la radio fournis est tres largement deformee et donc si la craterisation atteind 1.5mm ce sera deja beaucoup!


Img 1744 z0evts - Eugenol
dumaille

18/07/2008 à 16h46

crazydoc Ecrivait:
-------------------------------------------------------
> ok les gars vous etes savants.Ce cas est très
> beau.


doucement crazydoc, on discute amicalement, seulement lorsque tu mets pas de mobilite donc pas de peri implantite, je vois presque pas le rapport?


Img 8465 fqhxid - Eugenol
noahaxeltiger-olivier

18/07/2008 à 20h01

OK crazydoc, promis j'arrête de t'embêter mais dans le cas que j'avais posté au sujet de la periimplantite, l'implant L1 a environ 2mm d'ancrage résiduel, donc immobile, mais une large perte osseuse circonférentielle : s'agit d'une periimplantite ?

Ok j'arrête .... ;-)


Img 1744 z0evts - Eugenol
dumaille

18/07/2008 à 21h46

noahaxeltiger Ecrivait:
-------------------------------------------------------
> OK crazydoc, promis j'arrête de t'embêter mais
> dans le cas que j'avais posté au sujet de la
> periimplantite, l'implant L1 a environ 2mm
> d'ancrage résiduel, donc immobile, mais une large
> perte osseuse circonférentielle : s'agit d'une
> periimplantite ?
>
> Ok j'arrête .... ;-)


et donc comment expliques tu la perte de cet implant?


Img 8465 fqhxid - Eugenol
noahaxeltiger

19/07/2008 à 00h17

Pour résumé le cas en question le patient présentait un terrain paro avec une expérience antérieure de periimplantite.
Une composante occlusale s'y est ajoutée avec fracture d'élément prothétique sur L1.

Pour plus de détail Dumaille, je te renvoie au post en question http://www.eugenol.com/eugenol/read.php?2,338744,page=1


Manolito wom2of - Eugenol
manolito

29/07/2008 à 19h40

voila la rx du bridge en place, plus de fistule et apparement pas d'augmentation de la perte osseuse .

Perimplantite 2 fk11pb - Eugenol