Cookie Consent byPrivacyPolicies.comendorise ou endorinse ? - Eugenol

endorise ou endorinse ?

guillaume tell

30/01/2005 à 22h19

Quelqu'un a t'il déjà utilisé le système de nettoyage canalaire présenté par Durr dental à l'adf ? c'est un contre angle connecté à un reservoir d'hypochlorite qui envoie et réaspire l'irrigation dans le canal avec l'aspi branchée à proximité. Celà paraissait facile et séduisant sur les modèles de démo vus sur le stand.
Je ne me souviens plus du nom exact de la bête..
Celà valait dans les 1000-1200 euros.


ben

31/01/2005 à 10h26

J'allai regarder mais j'ai été reçu par un gros commercial aviné qui a passé son temps à rigoler bêtement.....bientot l'IDS, bien plus riche en nouveautés.


Img 1392 s73srk - Eugenol
Guttaman

01/02/2005 à 20h53

1200 euros ?!!!!!
Franchement, irriguer est-il l'acte le plus délicat en endodontie qui mérite un tel investissement ?...

Les seuls "trucs" importants à connaître (et à appliquer) c'est ne pas injecter lorsque l'aiguille est bloquée et toujours être en légers mouvements de va et vient.

Personnellement, je coude mon aiguille à 45° à une longueur variable en fonction de la dent que je traite. Ce "coude" me sert de repère de pénétration pour savoir que je suis environ à 4 mm de l'apex.


angkor

05/02/2005 à 11h03

quelle connerie ce truc
on sait plus quoi inventer pour gagner du fric. Aucune étude, aucun protocole, seulement des vantardises commerciales .
pitoyable


ben

06/02/2005 à 13h59

N'est ce pas également une connerie de critiquer sans connaitre, sans avoir utilisé, sans avoir lu d'études.....


Angkor

06/02/2005 à 16h06

Tout à fait,

quelles études y a t'il sur cet appareil ?

C'est pas une grosse connerie d'acheter l'appareil alors qu'il n'y a pas d'études dessus ?

Sacré Ben !


Angkor

06/02/2005 à 16h08

Et si on se refère à BX qui cite Machtou qui cite Yana, cet appareil à plus de 1000 Euros est inutile puisque l'irrigant se déplace avec "les mouvements de va et vient de la lime".


Img 1392 s73srk - Eugenol
Guttaman

06/02/2005 à 19h33

Je suis d'accord avec Ben...et Angkor.... ;-)
C'est peut être un "petit plus"...les études nous le diront, mais le prix, c'est sûr est disproportionné... (à mon avis).

D'ailleurs, le fait de ne pas pouvoir contrôler la force d'injection me gêne. Mais, attendons de voir (les études....et le prix baisser :-) )


Stéphane

06/02/2005 à 20h59

Idem Ben à l'ADF ; j'ai vu le même commercial aviné, qui visiblement ne connait même pas son produit.
Etonnant que cet instrument révolutionnaire soit apparu sur le marché sans aucune publication préalable... du jamais vu.
D'autre part, il suffit de regarder leur vidéo pour s'apercevoir du danger de cet appareil. Avez vous remarquer que l'extrémité du canal avait été bouché....Le produit est envoyé par des impulsions d'air comprimé. A mon avis, pour l'amphyqème, on tient l'appareil miracle.

D'accord également avec Ben pour dire qu'il ne faut pas critiquer avant d'avoir lu des études. Mais à mon avis, c'est une c... encore plus grosse que d'utilsier cet appareil sans validation in vitro.


Img 1392 s73srk - Eugenol
Guttaman

07/02/2005 à 00h41

Pour ma part, j'ai eu un cas probable (d'après le Samu) de choc anaphylactique (allergie au latex d'après les tests effectués par la suite.) Sur le coup, j'avais cru à une injection accidentelle de NaOCl...Bon, après réflexion, les signes cliniques ne sont pas les mêmes, mais on se pose beaucoup de questions en les attendant avec la patiente allongée en PLS...

Donc tous les trucs qui ont l'air d'injecter un peu trop violemment (c'est l'impression que j'ai eu sur leur vidéo)...j'évite.


G R

10/03/2005 à 10h30

Laissez moi vous préciser qu'avant de critiquer, il faut l'essayer ou attendre des études qui ne vont surement pas manquer de fleurir (c'est l'époque...);
voilà 3 mois que je l'ai et je peux dire que je n'ai eu aucun problème; mais il est certain que c'est trop cher pour "améliorer" l'irrigation canalaire même si cette irrigation est une étape très importante dans le traitement canalaire, étape souvent négligée n'est-ce pas.....là on peut être sur que le canal a bien été lavé; le système s'avère bien utile dans les cas de traitement de petits kyste avant l'hydroxyde de calcium.
Je rappelle que cet appareil existe en allemagne depuis 3 ans avec succès!.....


Al

10/03/2005 à 11h42

Pourquoi faire simple quand on peut faire compliqué ?

Endorinse, caOH et quoi encore ?

Irrigation abondante, à la seringue d'hypochlorite, c'est pas suffisant ?

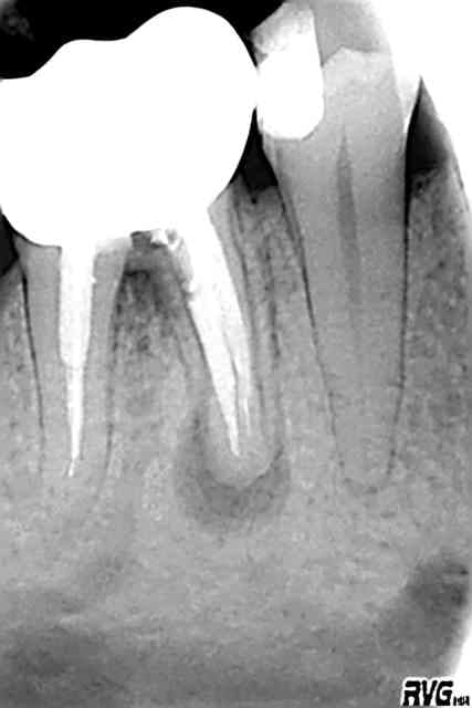
Avant 24062003 ex7dhe - Eugenol
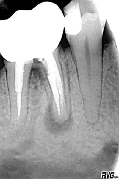
Apres 25022005 blbnb9 - Eugenol

GR

10/03/2005 à 12h12

surement mais parfois c'est insuffisant... vous n'avez jamais eu d'échec de traitement? bravo!


Avatar eex0qq - Eugenol
Pépé

10/03/2005 à 23h41

Al tu exagères, tu as inversé les radios.


Stéphane

11/03/2005 à 14h40

G R a écrit:
-------------------------------------------------------
> Laissez moi vous préciser qu'avant de critiquer,
> il faut l'essayer ou attendre des études qui ne
> vont surement pas manquer de fleurir (c'est
> l'époque...);
> voilà 3 mois que je l'ai et je peux dire que je
> n'ai eu aucun problème; mais il est certain que
> c'est trop cher pour "améliorer" l'irrigation
> canalaire même si cette irrigation est une étape
> très importante dans le traitement canalaire,
> étape souvent négligée n'est-ce pas.....là on peut
> être sur que le canal a bien été lavé; le système
> s'avère bien utile dans les cas de traitement de
> petits kyste avant l'hydroxyde de calcium.
> Je rappelle que cet appareil existe en allemagne
> depuis 3 ans avec succès!.....

je suis tout à fait d'accord sur un point... on ne peut pas critiquer quelque chose que l'on ne connait pas et sur lequel il n'y a pas d'étude (j'attends avec impatience le printemps pour qu'elles fleurissent). Pouvez vous donc répondre à ces quelques questions qui m'interpellent :
1- Pourquoi en 3 ans (de comemrcialisation, ce qui sous enend au moins 5 ans d'utilsiation) n'y a t il pas eu UNE SEULE publication sur cet appareil. Comment peuvent-ils dire qu'il y a un succès ?

2- je pense avec modestie me tenir au courant de ce qui se passe en endodontie et fréquenter les congrès traitant de cette discipline, et je n'ai JAMAIS vu quoique ce qoit sur cet appareil

3- Cela ne vous gêne-t-il pas de balancer de l'air sous pression dans un canal sans même savoir à quelle pression vous l'envoyez.

4- Après 3 mois d'utilsiation vous dites n'avoir eu aucun problème. c'est déjà une bonne chose, mais avez vous également un succès ? une amélioration du "lavage" de votre canal (parlons plutôt de désinfection)

5- et enfin, question subsidiaire : qu'est ce que cela apporte de plus ? (question bête mais néanmoins intéressante)

le prix n'a aucune espèce d'intérêt à partir du moment ou l'apport est bénéfique;
je ne dis pas que cela ne sert à rien, mais nous sommes plusieurs à en avoir un peu marre de voir des sociétés compétentes et reconnues sur le marché de l'odontologie se servir de leur renommée pour nous faire croire que ce qu'ils viennenet de découvrir est génial et indispensable, et argumenter sur ce fait en se permettant de ne pas avoir d'études (à part une vidéo de m... commerciale sur laquelle ils ont bouché le bout de la dent, des fois que le liquide ne sorte...) Ce ne sont pas les seuls.

ce qui me dérange, c'est que jusqu'à présent, l'endodontie était préservée de cette attaque marketting tout azimut. C'était les cliniciens et chercheurs qui donnaient les orientations des cellules de recherche etd éveloppement de l'industrie. Dorénavant, cette orientation est donnée par la cellule marketting des mêmes sociétés. Et ça, c'est dangereux... et ça me gonfle !

Désolé pour ce coup de gueule, mais l'endorinse est la démonstration parfaite de ce que je viens de développer.


Al

11/03/2005 à 15h04

Pépé a écrit:
-------------------------------------------------------
> Al tu exagères, tu as inversé les radios.

Je te jure que c'est vrai. La date dans le nom des radios est exacte.

J'e ne suis moi-même, pas encore revenu de ce succès, alors que je n'avais apparemment pas obtenu la perméabilité apicale.

Mais j'ai irrigué, irrigué et encore irrigué, à la seringue d'hypochlorite.

Ensuite condensation verticale à la gutta chaude. Et voilà le résultat.