Cookie Consent byPrivacyPolicies.comquand prendre la décision de faire une résection apicale? - Eugenol

quand prendre la décision de faire une résection apicale?

Images eb1m5g - Eugenol
tonio

31/01/2005 à 01h34

Salut à tous,

J'aimerai savoir quels sont vos critères qui vont vous décider de faire ou de ne pas faire cette chirurgie?
Quand considérez vous qu'il y a échec de l'endo?
La résection apicale permet elle une survie durable de la dent ou vaut il mieux extraire et implanter?

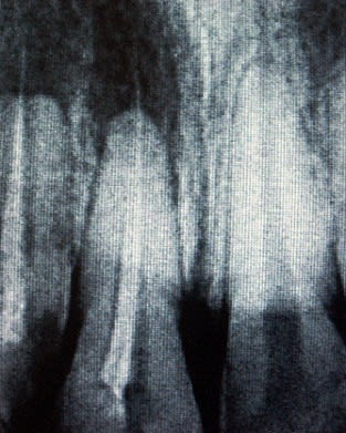
Ci joint un cas clinique:

JH 22 ans vu en urgence pour douleurs de type abcès sur 11.
Sur la radio préop, les endos sont incomplètes et les cônes dépassent largement des apex sur 11 et 12 (pour moi c'est un massacre surtout sur une centrale).
Bref, j(ouvre pour drainage.
Je revois le patient pour la RTE et forcément le cône unique se casse dans les 2 dents. Par miracle je retire le bout de gutta cassé sur la 11 mais pas la 12. J'ai fait deux séances de Ca(OH)2, je sais c'est plus recommandé maintenant mais je ne le savais pas à l'époque. On dira que ça servait de médication temporaire...
Je dis donc au patient qu'il faudra quand même faire l'obtu définitive et envisager une résection apicale au moins sur 12.
Le jour de l'obtu dénifitive, lors d'un énième parage et irrigation, j'ai miraculeusement sorti ce pu...n de morceau de gutta (j'étais trop heureux).
Puis j'ai fait des IC pour l'étancheité et des prov. Vous avez une radio à 1 mois post op pour controle. Les signes radios semblent montrer une régression des lésions.
Mais je ne sais pas s'il reste un peu de ciment infecté de l'ancienne endo au bout de la racine qui pourrait géner la cicatrisation totale.

Dois je envisager d'emblée une résection puis obtu MTA ou alors je laisse faire la nature.

Merci de vos réactions.
Si stéphane simon pouvait répondre également, ce serait super!

P.S: on voit aussi une résorption des apex sur la radio préop par rapport à 21. Est ce forcément évolutif?

Endo1 d3nylw - Eugenol
Endo2 zbemyk - Eugenol
Endo4 bfc2du - Eugenol

Amibien

31/01/2005 à 01h54

tu donnes l'impression d'avoir bien travaillé, perso j'attendrai de voir ce que ça donne à terme avant d'ouvrir...


kinito

31/01/2005 à 12h58

tu a fais exactement ce qui fallait concernant le traitement orthograde, ton etancheite coronaire est assuree,
qu'en est il des symptomes?
fais comme te dit amibien et laisse faire la nature, surveille et n'intervient que si la dent reste symptomatique.
pour note, la cicatrisation ne commence qu'a 6 mois apres parage, donc n'ouvre surtout pas si il n'y a pas de symptomes.


Img 1392 s73srk - Eugenol
Guttaman

31/01/2005 à 14h19

Idem pour moi, j'attendrai d'avoir un peu plus de recul (qq mois).

Pour ce qui est de décider ou non d'un échec endo :
tu as classiquement les 8 causes suivantes : POOR PAST

P : perforation
O : obturation défisciente
O : overfill (dépassement de l'obturation)
R : Root canal missed (canal non traité)

P : periodontal disease (cause ou implication paro)
A : another tooth (une autre dent cause le problème)
S : split (fêlure)
T : trauma (fracture)

Voir réalité clinique Vol 7 n° 3. sept 1996


Ylfwcw979cz1jnx9gfqeaxndiuzk - Eugenol
Algi

31/01/2005 à 15h09

Selon moi c'est selon... ah ah ah.. donc soit ça fait pas mal et tu peux attendre quelques mois pour voir comment évolue la lésion (aprés reprise endo bien entendu) soit ça fait mal et là c'est à toi de voir si endo chir dans la même séance ou si endo et on se donne quelques jours pour ouvrir...


Stéphane

31/01/2005 à 15h26

Il est URGENT de ne rien faire ....
Un problème récurrent en endodontie est uniquement lié à un problème infectieux intracanalaire. La lésion apicale (LIPOE selon la nouvelle nomenclature) est uniquement liée à une persistance de bactéries dans le canal et un manque d'étanchéité de l'obturation apicale. Le seul moyen que vous avez de savaoir si la désinfection est complète et maintenue dans le temps, est d'effectuer un contrôle radiographique périodique jusqu'à 1 an (tous les 3 mois)
Orstavik (1996) a montré que la santé Péri apicale à un an post opératoire correspond au pronostic à long terme. Si la lésion est guérie ou a diminuée de volume, il n'y a aucune raison qu'elle revienne ; si elle est toujours là ou qu'elle a augmentée de volume, la guérison ne se fera jamais.
Donc dans un an (sauf si il y a réapparition de symptomatologie clinique d'ici là) vous saurez si vous devez prendre le bistouri ou non. Vous avez eu le bon réflexe de faire les inlays core, puisque l'étanchéité coronaire et la remise en focntion de la dent sont deux éléments primordiaux pour obtenir une guérison.
Ceci dit, même si la radiographie post opératoire ne dit pas tout sur la désinfection per op, toutes mes félicitations pour les traitements réalisés. un "spécialiste" n'aurait pas mieux fait.


Image 4 lrchtq - Eugenol
Alain

31/01/2005 à 21h12

Excuse mon audace Tonio mais, au vu des clichés, la racine de la 12 ne serait-elle pas fêlée?

...sinon, c'est peut-être moi!


alhoun

31/01/2005 à 21h54

je ne sais pas si la racine est fêlée, mais les endos sont belles.


Loic

31/01/2005 à 23h58

idem le stephane.
Pour ce qui est du CAOH2 c est toujour d' actualité si tu as des supurations, deux séances peut être pas :). Certaines souches bactérienne sont résistantes au produit c pourquoi on parle aussi d iode.
Un bon bain de NAOCL de 20 mn avec EDTA 17% sous digue en ayant vérifié que tu a une perméabilité apicale sont suffisants en général.


Images eb1m5g - Eugenol
tonio

01/02/2005 à 00h56

Merci pour vos réactions et vos conseils à tous.

Guttaman, trop fort en biblio... comme toujours. merci pour l'info.

Stéphane, merci pour les précisions et les compliments.

Les symptomatologies ont rapidement cessées.
Alain, la 12 ne me semble pas félée, pas de douleur à la mastication, où vois tu une image de fracture?
Les lésions avaient une double origine: des compos pas étanches posés dans la salive surement et des endos mer..ques qui dataient de 3 ans. Il n'y avait pas de tenon dans les racines donc risque de fracture logiquement faible.

Pour ceux que ça intéresse, il y a eu un numéro de CdP de 99 qui traite de la reconstitution de la dent dépulpée et qui insiste lourdement sur l'importance de l'étancheité coronaire.

Cordialement à tous,


Amibien

01/02/2005 à 01h05

Tonio, tu tiens le bon bout...


harry

01/02/2005 à 14h36

Tonio, j'ai lu dans d'autres post que tu utilisais des cônes protaper. Quel est le principe d'utilisation? Si c'est ce que tu as utilisé pour tes retraitements, le résultat a l'air plus que satisfaisant. Moi, j'utilise le système protaper pour la mise en forme alors comme je ne connais pas les cônes protaper, si tu pouvais m'en dire quelques mots...


Images eb1m5g - Eugenol
tonio

01/02/2005 à 17h05

harry,

tu trouveras pas mal de réponses à tes questions dans le post sur "cones de gutta protaper" dans la rubrique endo.

L'avantage de ces cônes est qu'ils sont calibrés à ton instrument et ils se rechauffent assez facilement pour le thermocompactage.

Pour ce cas clinique, j'ai du ajuster des cones de gutta conicité 6% maillefer en coupant la pointe sur 3 à 4 mm pour avoir la résistance au retrait du cône (car les apex étaient défoncés cf RX). Par contre, j'ai eu un peu de mal à les réchauffer car ils sont plus rigides.

Si malgré cela, tu as encore des questions, tu peux me joindre en privé.