Cookie Consent byPrivacyPolicies.comgutta condensor vs thermafill, à vous de choisir! - Eugenol

gutta condensor vs thermafill, à vous de choisir!

Images eb1m5g - Eugenol
tonio

01/10/2008 à 02h14

ceci dit, j'utilise des limes K pour le cathéterisme, récapituler entre toutes les limes rotatives et fignoler la préparation apicale.


Willy Pertot

01/10/2008 à 02h25

Ou alors il aurait fallu forcer pour
> descendre la lime => déportation du canal,
> génération d'une butée...

Mais non, les proTaper manuels sont utilisés en rotation...



Grueavatar nptrc9 - Eugenol
Le Choixpeau magique

01/10/2008 à 10h27

Sinon, tu as ce que je faisais à une époque, les protapers normaux manipulés à la main... ça fait de belles ampoules aux doigts, mais c'est possible. Et le mandrin fait une super encoche pour fixer le localisateur...


Stéphane

01/10/2008 à 15h06

Willy Pertot Wrote:
-------------------------------------------------------

> Mais non, les proTaper manuels sont utilisés en
> rotation...
>
>
C'est une nouvelle technique??


200106 10150128247663588 709988587 6466236 5598391 n d7mksb - Eugenol
hallboy

01/10/2008 à 15h22

roanetation je crois. ou Roatanatation???

Et il cherche 15 personnes pour faire un stage là:

http://images.google.fr/images?q=roatan&hl=fr&rlz=1G1GGLQ_FRFR250&um=1&ie=UTF-8&sa=X&oi=images&ct=title

Ya vol direct depuis Milan. Je peux organiser ça.


marc

01/10/2008 à 17h45

Pourquoi choisr entre le thermafill et le gutta condensor, alors que ces 2 techniques sont complémentaires.
Thermafill pour les cannaux longs et courbes, là ou le compacteur ne peut descendre suffisement.
Et gutta condensor dans tous les autres cas...
exemple: canal palatin au compacteur (ce qui facilte la desobturation notement immédiate pour un éventuel ancrage), cannaux vest au thermafill.


marc

01/10/2008 à 17h46

les radios

R1 tjqc9c - Eugenol
R8 vojabs - Eugenol

marc

01/10/2008 à 17h48

autre cas assez ou il est impossible de compacter avec un mc spadden correctement le 1/3 apical des cannaux vestibulaires (déjà posté)

R1 vgvv1w - Eugenol
R5 vdlpi4 - Eugenol

marc

01/10/2008 à 17h57

En faisant de cette façon , j'ai l'impression d'avoir tous les avantages du compactage thermomécanique (notemment un trés bon rapport efficacité/rapidité/économie)sans en avoir les inconvénients (difficulté de compactage dans les cannaux longs et courbes)
Et on a a les avantages du thermafill sans en avoir les inconvénients: le côut (car je ne l'utilise que dans des cas bien précis), et la peur de desobturer dans la séance en compromettant l'herméticité apicale.


Willy Pertot

01/10/2008 à 18h53

Stéphane Ecrivait:
-------------------------------------------------------
> Willy Pertot Wrote:
> --------------------------------------------------
> -----
>
> > Mais non, les proTaper manuels sont utilisés en
> > rotation...
> >
> >
> C'est une nouvelle technique??


C'est une blague ?


Carambar h3uqin - Eugenol
carambar

15/10/2008 à 12h27

e: gutta condensor vs thermafill, à vous de choisir!
Envoyé par: Le Choixpeau magique
Date: Sam 2 août 2008 00:20:26
Moi je rêve du thermafil...
Je fais mes descentes au system B (no problemo). Pour les remontées, je me bat avec ces $*ù$ de condensors, j'ai beau insister je n'y arrive pas.
Je passe trois heures à compacter, je ressort le compacteur et quand je compacte avec un fouloir je sens bien que le truc n'est pas dense et que j'ai plein de vides.
Alors bien sûr à la radio c'est joli, mais je soupçonne que ça doit être surtout de la peinture canalaire.


Choipaux magique pour obturer correctement au gutta condensor il faut :
1 couper le cône de façon qu'il ne dépasse pas trop du canal.
2 tu disposes à côté du guta condensor un instrument de type PK Thomas pour la cire rajouttée et tu tournes en prenant soin de coller le PKT au condensor. Ainsi tu chauffes la gutta, tu la fais fondre et tu te retrouves avec une mélasse de gutta et de ciment d'obturation. (J(utilise Sealite de Pierre Rollant et j'en suis très très content)



Images eb1m5g - Eugenol
tonio

28/10/2008 à 22h06

petit jeu:

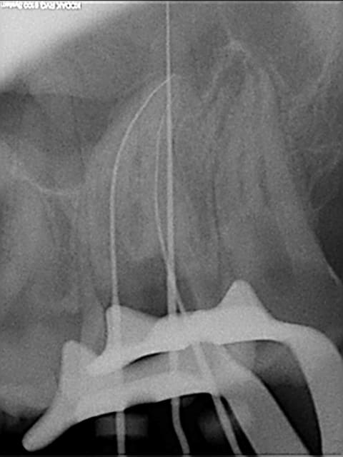
A vous de trouver quelle endo a été faite au thermafill et laquelle au gutta condensor?

On s'amuse comme on peut... ;-)

Endo1 t7u4v7 - Eugenol
Endo2 dyxj7s - Eugenol

Marque a3 orange fyvhyq - Eugenol
Marc Apap

28/10/2008 à 22h50

Endo 2 : Thermafil


Grueavatar nptrc9 - Eugenol
Le Choixpeau magique

29/10/2008 à 00h05

En général le thermafil est moins radioopaque que la gutta thermocondensée, donc j'aurais plutôt dit la 1, mais c'est vrai que sur la 2 tu as probablement quatre canaux, ce qui augmente la densité et les bouts font un peu "pointu" laissant penser que les tuteurs se sont peut être un peu décalés...
Beau boulot en tout cas.


024 vownvo - Eugenol
annie

29/10/2008 à 03h12

Allez je joue:) sans être sure,mais je dirais
1/Thermafill( on croit apercevoir les tuteurs)
2/gutta condensor ,( je crois voir une spirale dans l' un des canaux mesiaux! )


Image odged8 - Eugenol
ploc

29/10/2008 à 03h50

1:thermafill


Images eb1m5g - Eugenol
tonio

29/10/2008 à 21h46

Et bien je vois que tout le monde n'est pas d'accord...

endo1 a été fait au gutta condensor
endo 2 au thermafil.

Seul Marc a eu du nez la dessus. ;-)

Comme quoi, radiologiquement, difficile de faire le distinguo entre ces deux méthodes.

Reste à voir au niveau microscopique où l'on peut supposer que la gutta du thermafil a plus de propension à s'insinuer dans les gros canaux latéraux. Pour les petits canaux latéraux, on peut penser que leur obturation est plutôt réalisée par le ciment de scellement canalaire.

Je vais reprendre mon bon vieux topseal, qui en étant plus fluide, me donnait plus de satisfaction au niveau des canaux latéraux obturés. De plus, il est plus radio opaque et a une meilleur adhésion (20 MPa) à la dentine et à la gutta que les autres ciments.

Une obturation flatteuse à la radio n'est que la résultante de la mise en forme adéquate (Schilder).

"Sans Protaper, la mise en forme n'est rien". ;-) lol


Marque a3 orange fyvhyq - Eugenol
Marc Apap

29/10/2008 à 22h03

C'est la rectitude de l'obturation dans le dernier millimètre apical, surtout sur le canal distal qui m'a mis sur la voie.
L'obturation des canaux latéraux n'est possible que s'ils ont été débarrassés des restes pulpaires. Cela se produit plus facilement sur les dent à pulpe nécrosée, et sur toutes, exige l'utilisation prolongée de l'hypochlorite.


Carambar h3uqin - Eugenol
carambar

02/11/2008 à 19h42

Image 1 thermo condensation.

La compression de la technique a provoqué la fusée au niveau de la racine distale de 36.

image 2 thermafil

Je crois apercevoir la pointe du tuteur thermafil sur racine distale de 46.

Carambar


Logo ludo tq2uri - Eugenol
dr.ludo

15/02/2009 à 17h52

Bonsoir les Confrères,
La littérature décrit depuis longtemps :"...le compactage à chaud de gutta percha semble être la technique conduisant à une obturation radiculaire de meilleur qualité...".
Pour ma part, j'ai toujours bossé aux guttacondensor (qui est un bon système).
J'ai essayé le Système B : il est impossible d'amener l'instrument à 1 mm de l'apex (canal courbe ou pas), tellement de problème avec les cônes qui remontent, technique longue et fastidieuse.
Depuis un bon moment, je bosse au thermafil qui pour moi n'a pas d'égal (je ne suis sous contrat Maillefer !).
Le seul problème est le coût : il faut donc monter la reconstitution de 10 € et puis voila...........
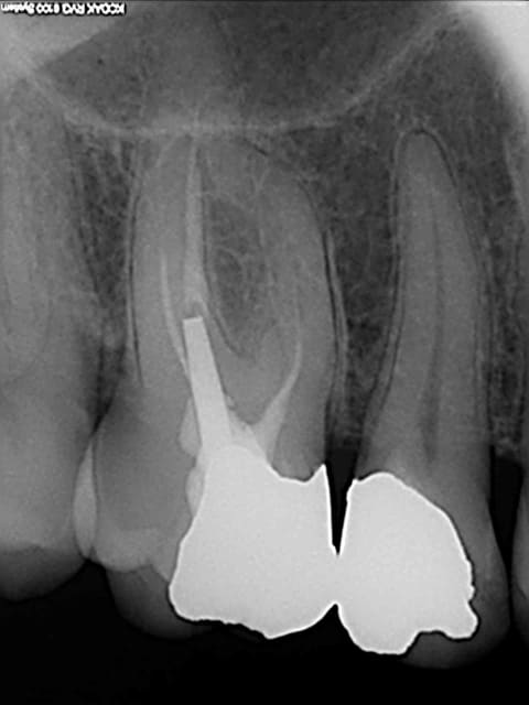
Ci-joint une radio de 3 reprises d'endo de cette semaine...

Vive l endo bis ohqf4d - Eugenol

Squash u44zd8 - Eugenol
steph

15/02/2009 à 18h30

Joli résultat.
Mais le système B n'est pas si fastidieux que cela à mon goût, c'est juste une question de pratique.
La préparation du tiers apical, le choix du maître-cône et sa validation sont les mêmes qqsoit la technique.


Logo ludo tq2uri - Eugenol
dr.ludo

15/02/2009 à 20h17

Je ne vois pas comment il est possible d'obturer le 1/3 apical avec de la gutta chaude grâce au système B ?


Marque a3 orange fyvhyq - Eugenol
Marc Apap

15/02/2009 à 20h47

Il paraît que ça s'apprend (perso, je n'ai jamais bien maîtrisé cette technique non plus).
Mais ce qui m'interpelle surtout, c'est pourquoi tu as extrait la 6 ?


Grueavatar nptrc9 - Eugenol
Le Choixpeau magique

15/02/2009 à 20h49

dr.ludo écrivait:
-----------------

> J'ai essayé le Système B : il est impossible d'amener l'instrument à 1 mm de
> l'apex (canal courbe ou pas)

Que ce soit en technique Bucchanan (system B) ou Schilder, la source de chaleur ne doit pas être amené en deça de 5mm de l'apex, sinon tu fais un magnifique puff... de gutta !
Normalement la chaleur transmise doit permettre à la gutta de se réchauffer jusqu'au bout, et à la pression doit pousser gentiment la gutta ramollie dans les canaux accessoires du tiers apical.
C'est totalement différent de la thermocompaction pure (même si le but recherché est le même).


Gutt-A

15/02/2009 à 20h56

Marc Apap écrivait:
-------------------
pourquoi tu as extrait la 6 ?

Fracture ou felure sans doute, risque de toute dent dévitalisée et non couronnée.