Cookie Consent byPrivacyPolicies.comla 1è fois - Eugenol

la 1è fois

Squash u44zd8 - Eugenol
steph

03/08/2008 à 00h37

J'en ai pas d'expérience mais ça me semble la bonne indication.

 mg 7625 yweqsk - Eugenol

Squash u44zd8 - Eugenol
steph

03/08/2008 à 00h41

Suite.


Squash u44zd8 - Eugenol
steph

03/08/2008 à 00h42

Enfin peut-être.

 mg 7633 vhdvvm - Eugenol
 mg 7634 bvkzhx - Eugenol
 mg 7635 namnz5 - Eugenol
 mg 7636 zfwmwk - Eugenol

Squash u44zd8 - Eugenol
steph

03/08/2008 à 00h43

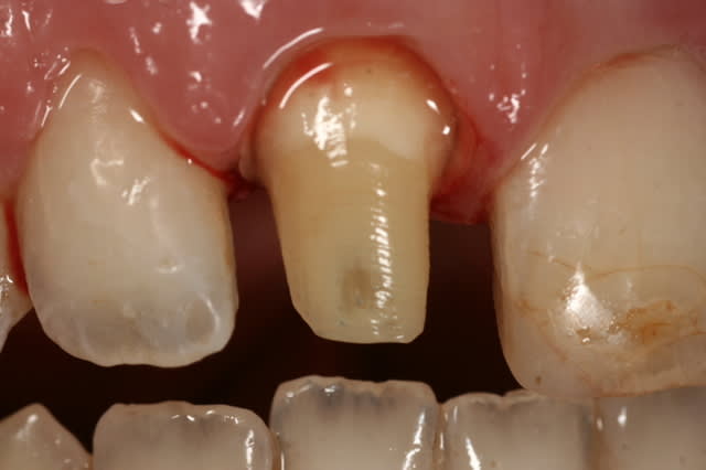
faudra harmoniser les collets et retravailler les provisoires.

 mg 7637 ivbkmu - Eugenol
 mg 7638 lycf2q - Eugenol

200106 10150128247663588 709988587 6466236 5598391 n d7mksb - Eugenol
hallboy

03/08/2008 à 01h11

quels produits tu as utilisé?

que veux tu faire avec les collets?


Marque a3 orange fyvhyq - Eugenol
Marc Apap

03/08/2008 à 01h39

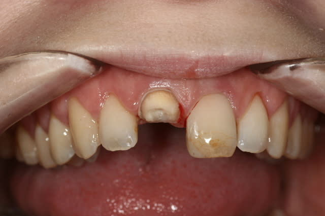
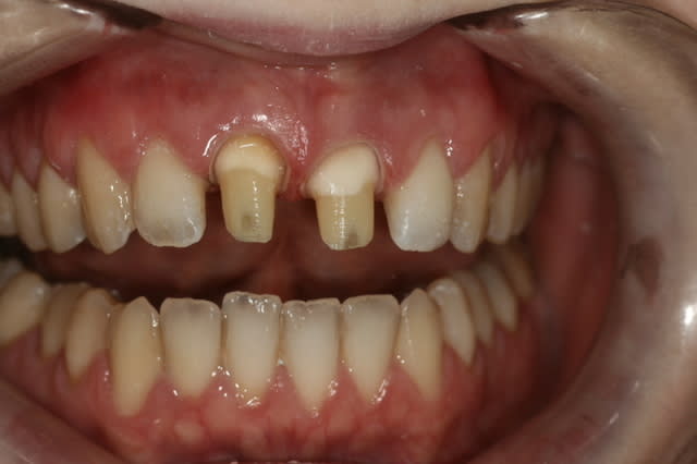
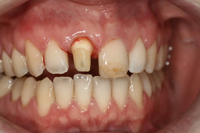
Y en a qui disent que c'est bien. Perso, je ne le ferais pas : trop important délabrement de la 11 pour laquelle il est classiquement préconisé un inlay core. Quant à la 21, je trouve un peu fort de café de la réduire à cet état, vu celui dans lequel la photo préop laisse supposer qu'elle était avant l'intervention. Mais je n'ai pas vu de radio.


Bouddha 2 wmj1zk - Eugenol
HAIG

03/08/2008 à 11h39

Comme Marc,
de voir la 21 faire un stage chez les Jivaros m'a surpris.
Par contre les provisoires !!!
Prends 2 belles dents du commerce et adaptes les facettes.
Quant a l'harmonisation des collets, c'est un choix que j'ai refuse pour mes propres centrales.


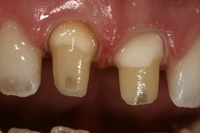
Squash u44zd8 - Eugenol
steph

03/08/2008 à 12h28

Oui j'ai repoli les provisoires après les photos, les traces blanches sont dues au polissage.
Les dents étaient déjà dévitalisées (TR refaits) et j'ai réalisé un blanchiment interne, mais la patiente voulait qqchose de mieux encore.

Je voulais connaître l'expérience des uns et des autres avec ce type de reconstitutions, dans les bouquins que j'ai pu lire c'est ce choix qui est fait pour les dents ant maxillaires.

De plus la gencive n'est pas très épaisse, un IC se verrait de suite par transparence ; chez une patiente dont le souhait est esthétique, pas le top.

Pour hall, j'ai utilisé le produit de chez Vivadent (MultiCore Flow de mémoire), et tenons en fibres de verre Luscent Anchors de Dentatus.
Je suis surpris, je pensais avoir des bulles d'air mais non.

PS ; pourquoi pas de gingivoplastie pour toi HAIG?


Marque a3 orange fyvhyq - Eugenol
Marc Apap

03/08/2008 à 13h12

Le pb, c'est surtout de bien coller le composite à la dentine canalaire et bien sûr, d'isoler suffisamment pour le collage au voisinage de la limite cervicale quand celle ci est très proche de la gencive. Le nettoyage canalaire après désobturation, son séchage suffisant après mordançage et rinçage sont autant de difficultés.

Pour l'harmonisation des collets, je suis du même avis que Haig, pour trois raisons :
-le perfectionnisme n'est pas toujours une qualité
- les patients sont des êtres humains, et pas des objets sur lesquels on peut travailler sans limite ni conséquence.
- Le bénéfice escompté est minime par rapport au traitement chirurgical à envisager (et son temps de cicatrisation, avec un résultat incertain quant à l'obtention d'une ligne des collets identique sur les deux dents)


Pa050055 igyagy - Eugenol
mark

03/08/2008 à 14h14

La reconstitution corono-radiculaire est un procédé largement éprouvé, n'en déplaise à ceux qui, à leur corps défendant, défendent l'IC avec un arrière pensée d'entente directe...

La préparation et la mise en état de propreté des parois dentinaires ne me semblent pas plus difficiles que pour un IC, à moins de considérer que pour un IC on peut se montrer plus cool à ce sujet.

Il est un fait que l'usage d'un ciment canalaire à base d'eugénol rend cette nécessité plus délicate en regard de la phase de collage, mais cela n'est pas mon cas, par exemple, puisque je n'utilise pas de ciment à base d'eugénol.

Par ailleurs, pour autant que l'on réalise l'endo sous digue, rien n'est plus simple ni plus sûr que de procéder au collage dans la séance (au Panavia, pour ce qui me concerne, avec reconstitution au Photocore). S'agissant d'antérieures.

Il est pour moi évident que si les contraintes postéro-antérieures exercées sur un collage ont un pronostic moins favorables que sur un IC, à moins de s'appliquer à régler l'occlusion et le guide antérieur sans surcharge (ce qui est la moindre des choses), il reste préférable de se retrouver bien plus tard avec un cas de décollement plutôt qu'une fracture radiculaire par tenon acier, voire titane...

Il n'est effectivement pas exceptionnel de revoir des patients disparus de la circulation, 10 à 20 ans plus tard, qui ont cessé de porter un appareil amovible ou celui-ci étant franchement en sous-occlusion, ou encore dont les céramiques n'ont pas suivi la même courbe d'abrasion que les dents voisines, et qui, faute de remise en équilibre occlusal, ont subi les coups de boutoir des dents antagonistes.


Marque a3 orange fyvhyq - Eugenol
Marc Apap

03/08/2008 à 17h31

mark Ecrivait:
-------------------------------------------------------
> La reconstitution corono-radiculaire est un
> procédé largement éprouvé, n'en déplaise à ceux
> qui, à leur corps défendant, défendent l'IC avec
> un arrière pensée d'entente directe...
>
> La préparation et la mise en état de propreté des
> parois dentinaires ne me semblent pas plus
> difficiles que pour un IC, à moins de considérer
> que pour un IC on peut se montrer plus cool à ce
> sujet.
>

Le dire ne suffit pas, encore faut-il le prouver : evidenced based dentistry ??
En ce qui me concerne, je n'ai aucune arrière pensée (mercantile, remboursement, etc..) en proposant un IC, si ce n'est le bien de mon patient et la perennité de la reconstruction.



Cuisinier2 vnbbxx - Eugenol
jeff2

03/08/2008 à 18h04

lire la recommandation de la HAS
eviter les reconstitutions corono radiculaire sur les ant et préférer les inlay core


Marque a3 orange fyvhyq - Eugenol
Marc Apap

03/08/2008 à 18h47

Par exemple. Ca a le mérite d'être accessible à tous les praticiens, puisque nous l'avons reçu en temps utile.
Les croyances et les chapelles, c'est pour la vie spirituelle, pas pour le travail de tous les jours, a fortiori celui qu'on accomplit sur des gens.


Pa050055 igyagy - Eugenol
mark

03/08/2008 à 19h30

hum! hum!
Merci Jeff2, je viens gâce à toi de me plonger dans cette "étude" et recommandations...

Concaténation d'études disparates aux conclusions contradictoires, pour une conclusion de l'HAS qui n'engage que son interprétation de ces études et laisse finalement au praticien le choix de la méthode en fonction de sa maîtrise de l'une ou l'autre des méthodes... bof! bof!

Pardon d'insister sur deux points:

- alors que la plupart des communications les plus récentes mettent en avant la supériorité du collage sur le scellement en général tant en restauratrice qu'en prothèse, voire en esthétique, alors même que l'on s'approche d'un consensus sur le caractère optionnel de l'ancrage radiculaire sur certaines restauration, postérieures s'entend compte tenu des valeurs d'adhésions obtenues par les derniers adhésifs et colles, il faudrait s'arquebouter sur le scellement de tenons métallique au prétexte de la résistance mécanique à la flexion et au cisaillement du métal supérieur? et à quoi? aux tenons fibrés? aux matériaux de reconstitution?

- mettre en avant cette supériorité mécanique du métal pour les dennts antérieures me paraît pour le moins contradictoire avec l'augmentation des contraintes à prévoir dans la préparation radiculaire, qui plus est s'il est scellé et non collé, c'est à dire avec un liant susceptible d'amortir en partie ces contraintes.


Bien sûr, cela a été longuement discuté ici, une expérience clinique personnelle ne vaut vraisemblablement pas une étude statistique randomisée (encore qu'elle ne permet pas de distinguer et d'en extraire suffisament les facteurs opérateurs-dépendant...), mais je constate que depuis que j'ai pratiquement systématisé le recours aux RCR collées sur tenon fibré je n'ai plus eu qu'une fracture de racine (et encore, je l'attribue à une contrainte au forage avec blocage du foret et difficulté de retrait qui me fait suspecter une fêlure radiculiaire le jour même de la reconstitution).

Alors que les fractures sur IC, voire sur vulgaire screw-post, sur des antérieures ET prémolaires, qu'elles aient été isolées ou support d'appareil, voire de bridge, sont relativement conséquentes, à commencer par la perte inéluctable de la dent...


Alors oui, des descellements de collage, fracture de moignon pour tenon fibré trop court (à mes débuts), le plus souvent sur des dents soumises à des contraintes supérieures au raisonable pour les raisons indiquées plus haut, il y en a eu (moins d'une dizaine sur les 10 à 15 dernières années). MAIS les dents ont pu alors être conservées.

Ce qui n'est pas le moindre des avantages quant l'alternative eut été un implant, un bridge foutu, ou une amovible le plus souvent à refaire ou à rebaser déjà avant l'incident...

Dans certains cas, cela a été l'occasion de convaincre le patient de faire ou refaire une réhabilitation prothétique sur édentation terminale qu'il avait tardé à accepter, moyennat cette fois-ci un IC direct pour conserver sa céramique ou son bridge.

Pour finir, je voudrais revenir sur le seul argument qui me paraît tenir la route, celui de la distance entre la limite de collage et celle de la préparation périphérique. Le risque de percolation n'est évidemment pas nul, et reste un argument.
Mais là encore je voudrais le mettre en doute car il est en contradiction avec les arguments du collage en général, comme si une hygiène rigoureuse et une bonne maintenance n'était pas la solution la plus simple pour peéreniser nos systèmes adhésifs.

En ce qui concerne le cas posté, les indications me paraissent posées et le cas favorable, notamment d'un point de vue occlusal.

Et je vous épargne les arguments "estelliens" sur la nécessaire réduction de métaux énergétiquement néfastes... :))))

A ce propos, le seul argument en faveur de l'IC me paraît celui de pouvoir substituer l'or à l'alliage d'acier. D'un point de vue mécanique, bien sûr et non pas seulement mercantile... ;)


Marque a3 orange fyvhyq - Eugenol
Marc Apap

03/08/2008 à 20h15

Mark, ce que tu as le clavier facile !
Tu devrais te rendre compte que bien des "arguments" en faveur des collages sont dictés par les fabricants de matériaux, et repris, en toute bonne foi, par quelques universitaires qui doivent forcément alimenter leurs titres et travaux avec autre chose que du déjà vu.
Il y a du juste comme toujours, mais il faut en prendre et en laisser. Le collage à la dentine, contrairement à ce que l'on dit, est quelque chose d'aléatoire extrêmement dépendant de l'opérateur, des conditions opératoires, de la dent à traiter.
Sur les postérieures, pas de problème si la limite est très supragingivale (et dans ce cas, le tenon fibré n'a guère de supériorité par rapport au titane). Sur les antérieures, cette situation est bien plus rare.
Les gens de la HAS sont sérieux. Si on remet systématiquement en cause toutes les recommandations de bonne pratique, on ne peut plus se baser sur rien.


Squash u44zd8 - Eugenol
steph

03/08/2008 à 20h49

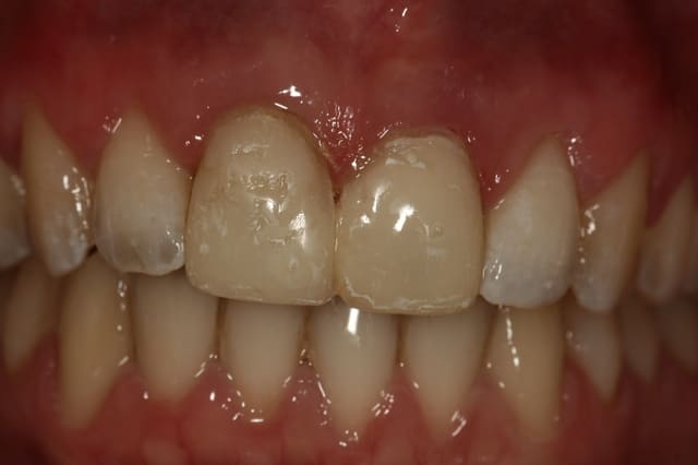
Et à regarder les photos à nouveau, je me dis que si j'avais conservé 21 et à part avoir un prothésiste style Michel Ange, il m'aurait maudit.


Marque a3 orange fyvhyq - Eugenol
Marc Apap

03/08/2008 à 21h14

C'est pour ça que j'ai fait des réserve n'ayant pas la radio : si la dent n'avait pas été déjà dépulpée, le l'aurais laissée vivante. Ce n'est pas le fait de la couronner qui me choque le plus en réalité, mais de la voir ainsi dévastée alors qu'on pouvait s'attendre au contraire en voyant la photo avant.


Utilisateur banni

03/08/2008 à 21h58

Qui a raison alors? Mark ou Marc?


024 vownvo - Eugenol
annie

04/08/2008 à 06h15

narik Ecrivait:
-------------------------------------------------------
> Qui a raison alors? Mark ou Marc?


Tout dépend de ce que l'on veut faire! un travail fiable et qui dure longtemps ou du semi-definitif a coller recoller a reconstitier parce que fracturé ou infiltré etc..
Personnellement mon avis vous le connaissez,sur ma longue experience,je n'ai pas eu de problèmes de fractures ou autres avec des IC en or jaune scellés( et Mark,je ne sais ou tu as vu la supériorité des collages,ils ont leurs indications,mais les scellements,ont plus d'avantages quant aux reconstitutions sous gingivales,,et mon histoire de ceram a refaire pour etre mal collée au fuji¨+,m'a laissée des traces,alors qu'avec des scellements,je controle,,scelle ,depose et rescelle sans probleme!
par contre avec des reconstitutions par des produits divers et variés, vantés par les labos,qui n'etaient peut etre pas suffisamment solides,ou je ne sais ,j'ai eu des ,infiltrations ou fractures de la partie coronaire! j'avais même ouvert un fil pour demander vos expériences et votre recul!

Pour Mark,si tu as validé ta technique et tes produits et qu'ils te donnent satisfaction,tant mieux,c'est le principal!


Logo vuaztn - Eugenol
mac

04/08/2008 à 10h45

annie le FUJI est un ciment, pas une colle.

steph tu pourrais t'appliquer un peu sur les provisoires :)
la 21 ça se discute, sinon d'accord pour le reste.


Bouddha 2 wmj1zk - Eugenol
HAIG

04/08/2008 à 17h09

Pour moi Marc Appap a repondu a tout.

Personnellement je ne suis pas fana des collages; a part les cas ou il manque 2 parois en supra gingival.
Toujours sur mes centrales j'ai des I.C en Or, la transparence n'influe pas d'autant plus que sur des dents dépulpées, on peut laisser la place que l'on veut.
Ce n'est pas pour moi un argument en faveur du collage.
Je crois que les I.C sont accuses a tort de fracturer les dents, je suis intimement persuadé que ce sont les manœuvres lors de l'endo et la pose et dépose des provisoires qui créent les fissures qui s'ouvrent plus tard.


Squash u44zd8 - Eugenol
steph

05/08/2008 à 21h06

Pour relancer le débat ;

HAYASHI M., TAKAHASHI Y., IMAZATOS
Dent. Mat. 2006, 22(5) : 477-486

Ce type de reconstitution répond aux critères esthétiques attendus ainsi qu'à la protection et au maintien des structures dentaires restantes.

Alors ce n'est qu'une référence, on doit bien en trouver une contradictoire mais les bouquins de Fradeani et Chiche montrent de tels cas.


Cuisinier2 vnbbxx - Eugenol
jeff2

05/08/2008 à 21h13

même sur les antérieures?


Logo vuaztn - Eugenol
mac

05/08/2008 à 21h38

steph Ecrivait:
-------------------------------------------------------
> Pour relancer le débat ;
>


je suis et je relance.


si la dent n'est pas trop délabrée je ne mets même pas de tenon, un compo et basta.





Marque a3 orange fyvhyq - Eugenol
Marc Apap

06/08/2008 à 01h09

On peut faire ce qu'on veut, et en l'occurence, c'est vrai que cela peut sembler mieux de ne pas mettre de tenon du tout.
Ce qui compte, c'est le résultat à long terme, sur un nombre significatif de cas : hors de portée d'un praticien en cabinet, qui ne peut faire valoir au mieux que son "expérience clinique".


12