Cookie Consent byPrivacyPolicies.comvos avis - Eugenol

vos avis

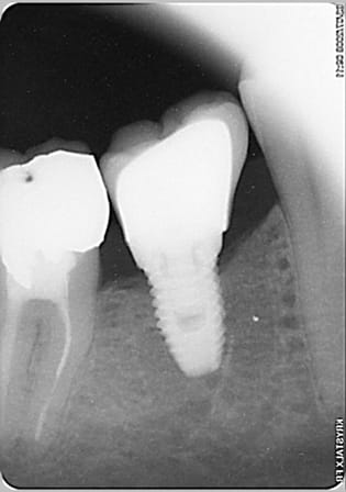
Img 8465 fqhxid - Eugenol
noahaxeltiger-olivier

08/08/2008 à 10h47

.


Manolito wom2of - Eugenol
manolito

08/08/2008 à 10h49

bocadu Ecrivait:
----------------------------------------------------
>
> Mais non! le scann est chez moi.
> Poser 2 implants etait le "problème" soulevé au
> début de cette discussion : 2 petits ou bien un
> gros,

oui, je sais, mais l'implant étant plus court que prévu j' en aurais peut être mis 2 courts de 5 mm de diametre sans remplacer l'antagoniste pour avoir un meilleur ancrage. Mais bon j'ai eu l'année derniere un cas comme celui là et j'ai fait exactement comme toi donc je cherche pas à donner de leçon mais juste à discuter avec les pros pour avoir leur avis.


Blason dql7mj - Eugenol
growler

08/08/2008 à 12h14

tout comme mac et noahax.

pour débuter, on hésite pas à faire à partir d'un modèle d'étude juste un petit guide pour le centre de l'émergence implantaire. Au moins juste çà.

@+


bocadu

08/08/2008 à 13h18

Mon implant est en effet trop loin de 45,et trop incliné en distal ,j'etait trop concentrée sur mon os dur que j' ai raté l' angulation , erreur de débutant , promis je ferais mieux la prochaine fois!
Pour la pose en avril, j' ai utilisé un petit guide,et cette fois je ne l' ai pas mis car j' ai voulu repasser dans mon site de dépose.
Manolito,2 petits implants pour chaque racine de 46 , 2 implants de 5mm c'est je pense trop gros,non?


Manolito wom2of - Eugenol
manolito

08/08/2008 à 14h21

non moi je pensais 1 implant pour 46 et un autre en lieu et place de la 47.


Manolito wom2of - Eugenol
manolito

08/08/2008 à 14h26

voila l'implant dont je parlais. Trop court, pas dans l'axe... pas content le manu.
L'implant est un nobel speedy à hexagone externe, que je ne recommande à personne (chiant a poser, chiant pour l'empreinte)

Implant trop court ijbagi - Eugenol

Amibien

08/08/2008 à 21h21

bof, l'image est belle et les implants courts ça marche pour autant que l'occlusion est top...


Img 8465 fqhxid - Eugenol
noahaxeltiger-olivier

08/08/2008 à 22h34

.


Manolito wom2of - Eugenol
manolito

08/08/2008 à 23h09

sur le scan un implant de 9 mm était trop proche du nerf dentaire, alors que de toute évidence j'avais la place puisque celui la est un 8,5.


Img 8465 fqhxid - Eugenol
noahaxeltiger-olivier

08/08/2008 à 23h23

.


Manolito wom2of - Eugenol
manolito

09/08/2008 à 10h41

je peux plus dire que j'en suis sûr, ça fait un moment, mais tout de même j'ai passé le scan au cadimplant, qui me donne en général les mêmes mesure que les planches et là aussi j'étais proche.
apres l'axe de l'implant est tres lingualisé ce qui peut expliquer que sur la rétroalveolaire on se retrouve loin du fond de l'alveole d'extraction.
si quelqu'un peut m'expliquer comment mettre les planches du scan en ligne je jeux bien le faire pour qu'on puisse trouver une explication


Carambar h3uqin - Eugenol
carambar

14/08/2008 à 02h20

.... "non,ce n' est pas pour cela que je pose du Thommen ,c'est un copain représentant qui travaillait pour eux comme je commençais et n'avais pas encore fait mon choix, je l'ai suivi, mais c' est vrai que je me pose un peu des questions, eventuellement de changer de marque, à voir ...Pour l'instant c'est comme ça, ils ont l'air d'avancer.."....


bocadu j'ai vu le site thommen. ils font des implants de type conique. En général l'alésage est sous dimensionné pour permettre une condensation de l'os peu dense. Dans le cas d'un os très dense il faut au contraire très peu sous dimensionner. certains systemes (comme TFI) font des implants cylindriques pour le bas et coniques pour le haut, et en prime avec toujours la même connexion.

Renseignes toi sur Ankylos. Il s'en vend de plus en plus. Il sortent leur nouvel implant indexé (pas de pb de repositionnement tout en conservant la solidité du cône presque morse (on dira cône à friction)


Carambar h3uqin - Eugenol
carambar

14/08/2008 à 02h22

Re: vos avis
Envoyé par: mac
Date: Mar 5 août 2008 16:46:06
pluton Ecrivait:
-------------------------------------------------------
> quelque chose m'échappe...t'as posé un 8mm alors
> que t'as 11mm??? pourquoi ce choix...un 10 aurait
> été préférable...non...1mm de marge si t'as fait
> faire un scan est suffisant...


ah bon et la pointe de ton forêt elle fait combien?


> je dis çà juste pour la stabilité sur le long
> terme...8 ou 10mm bien ostéointégré...pas de diff
> stat....mais si tu perds un peu....là les 2 mm
> font toute la différence....


pour quelles raisons tu perds un peu et c'est quoi un peu?

sur quoi tu te bases pour dire que ces 2 mm font toute la différence?



Mac arrête d'embêter bocadu. Ok c'est bon tu sais mesurer tes sites. Par contre 1 mm de sécurité !!! t'es super gonflé....


bocadu

01/09/2008 à 23h28

Quelques nouvelles de cet implant dans cet os dense:
J'ai fait le controle à 1 mois samedi et tout va bien, pas de douleur,pas de mobilité, petite apparition de la vis de cicat en lingual, OUF!
pourvu que ça dur!!
La radio c' est ok et son angulation est finalement beaucoup moins distale que sur la radio de pose car l'angulateur n'a pas bougé.


12