Cookie Consent byPrivacyPolicies.comTous des voleurs (suite) - Eugenol

Tous des voleurs (suite)

Imagescanx9uel x9b7id - Eugenol
newone'

08/08/2008 à 14h55

Dans la série urgences foireuses:

Hier charmante demoiselle se presente au cabinet en pleurs vers 13h30(un physique a la sandrine mais en brune, et mon age(25), sans rendez vous. Elle vient de se casser une centrale... en mangeant un sandwich
Bombasse, pas d'ad pour la faire patienter, patient pas encore arriver... je dis ok on va voir!

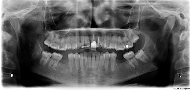
Au fauteuil, cata, elle a vu un dentiste qui lui a soigné toutes les dents du fond il y a un an et demi (cf pano...) mais apparemment pas les caries.
Le bronx dans un si joli corps!

Une heure apres elle est ressorti avec un compo plutot moyen, (pas réussi a desobturer pour faire une provisoire et racines hyper courtes).

Un autre dentiste lui ayant proposer de faire des couronnes sur 21/22. Je lui conseille vivement de retourner le voir,et refuse mollement de la soigner. Sans paro, implant post...

Elle a quand meme repris rendez vous.

Pour 21 je penche pour extrac/implantation immediate
plutot que elongation/couronne, vos avis?
Mais je pense que ca va etre dur a encaisser...

Pas possible de redimensionner les fichiers au cab, radio tout a l'heure.


200106 10150128247663588 709988587 6466236 5598391 n d7mksb - Eugenol
hallboy

08/08/2008 à 18h48

on pourrait pas avoir la photo en + histoire de bien se rendre compte pour le sourire et pas dans trop longtemps, parce que Marco s'en va bientot tout ça blablabla???


200106 10150128247663588 709988587 6466236 5598391 n d7mksb - Eugenol
hallboy

08/08/2008 à 18h48

en pied la photo


067 clmun6 - Eugenol
sandrine

08/08/2008 à 18h53

newone' Ecrivait:
-------------------------------------------------------
> un physique a la sandrine mais en brune





pas question, t'auras pas de photo de moi en brune
hé ho
:)


200106 10150128247663588 709988587 6466236 5598391 n d7mksb - Eugenol
hallboy

08/08/2008 à 19h10

c'est toi qui t'es cassée les dents de devant???


067 clmun6 - Eugenol
sandrine

08/08/2008 à 19h17

non, mais apparemment c'était moi en pas blonde et en pas vieille
'tain, faut surveiller tous les thèmes, z'êtes pas sortables, les gars

(un physique à la sandrine, alors ça, excellent quand même...)
:))


Utilisateur banni

08/08/2008 à 19h43

Une tête de poney quoi...


200106 10150128247663588 709988587 6466236 5598391 n d7mksb - Eugenol
hallboy

08/08/2008 à 20h02

c'est de dos ça, non??


Tozzi

09/08/2008 à 22h28

Au lieu de fantasmer tu aurais mieux fait de bien faire ton travail.


Imagescanx9uel x9b7id - Eugenol
newone'

09/08/2008 à 22h53

Tozzi, tu t'adresses a?

Je decouche ce week end, radios lundi.


Imagescanx9uel x9b7id - Eugenol
newone'

11/08/2008 à 13h04

les radios

Pano ziyd19 - Eugenol
R21 q4vskw - Eugenol

Bouddha 2 wmj1zk - Eugenol
HAIG

11/08/2008 à 13h21

Refaire l'endo et la tracter en Ortho, ce ne serait pas mieux que de lui virer sa centrale a 25ans?

Si c'était la tienne , tu préfèrerais quoi ??


200106 10150128247663588 709988587 6466236 5598391 n d7mksb - Eugenol
hallboy

11/08/2008 à 13h31

elongation et 2 couronnes solidarisées.

devis divisé par deux et deux dents de soignées


Imagescanx9uel x9b7id - Eugenol
newone'

11/08/2008 à 13h54

Il y a un rapport couronne/racine 1/1
Les limites actuelles sont juxtaosseuses. Le canal est hyper large.
Je crains la fracture de la racine, un collet inesthetique, une migration vestibulaire...

Je ne sais pas vraiment ce que je ferai pour moi. Sans doute tenterai-je une couronne.
C'est bien pour ca que je demande un avis.

Pourquoi des couronnes solidarisées?
Je suis plus traction ortho qu'elongation, mais trauma ancien, la refaire bouger ne va pas declencher une rhyzalise...

C'est bien pour ca que j'ai pas bien envie de la soigner!


200106 10150128247663588 709988587 6466236 5598391 n d7mksb - Eugenol
hallboy

11/08/2008 à 14h04

newone' Ecrivait:
-------------------------------------------------------
> Il y a un rapport couronne/racine 1/1
> Les limites actuelles sont juxtaosseuses. Le canal
> est hyper large.
> Je crains la fracture de la racine, un collet
> inesthetique, une migration vestibulaire...
>

bientot, tu ne pourra plus du tout choisir tes cas et tes patients ;)


> Je ne sais pas vraiment ce que je ferai pour moi.
> Sans doute tenterai-je une couronne.
> C'est bien pour ca que je demande un avis.

pareil
> Pourquoi des couronnes solidarisées?

là on va pouvoir attaquer des guerres de religion ;) je le ferais pour limiter les risques de fractures radiculaires et de decollement. il y a assez de possibilité d'emmerdes comme ça sur ce cas.
> Je suis plus traction ortho qu'elongation, mais
> trauma ancien, la refaire bouger ne va pas
> declencher une rhyzalise...
au bout du compte tu auras autant de racine enfouie dans un cas comme dans l'autre; ta patiente doit etre short petrole sur le blé; cela ira plus vite et tu t'evites une usine a gaz suppementaire et des bagues sur les anterieures a ta jolie patiente.

par contre repete lui X fois et en lui montrant les clichée que ses dents sont tout juste recuperables. et ton devis dont tu va garedr le double doit mentionner l'elongation coronaire ( un peu pour la facture qui va avec; mais pour qu'il reste une trace quetu vas chercher tout ça tres bas.

C'est bien pour ca que j'ai pas bien envie de la
> soigner!


mon reve a moi c'est de ne jamais faire d'endo apres les premolaires ;)>
>



Logo vuaztn - Eugenol
mac

11/08/2008 à 14h22

hallboy Ecrivait:
---------------------------------------------------
ta
> patiente doit etre short petrole sur le blé;



tu vois ça à la radio?

pourquoi pas une ppa alors?

arrêtez de vous mettre à la place des patients, s'ils ont pas les moyens ils vous le diront.


Imagescanx9uel x9b7id - Eugenol
newone'

11/08/2008 à 14h49

Aucune idée des revenus de mes patients.
Premier devis optimum a tout le monde, ensuite on voit.

La je pars sur IC precieux, ceram sur zircone.
Si elle dit non, tant mieux!

Mais ca ne resoud pas le pb. Sans consideration d'age, vous feriez quoi?


Spriford

11/08/2008 à 14h50

C'est plus qu'un problème de moyens... La patiente ne peut que pleurer devant un état pareil...
Ici, c'est la radio qui parle : Je mange n'importe quoi depuis 10 ans, quand j'ai trop mal, un dentiste m'enlève la dent en urgence, c'est pas juste je me lave les dents 4 fois par jour, on m'avait jamais dit que j'avais des caries , ni qu'on pouvait remplacer les dents qu'ON m'a arrachées, mais c'est promis j'ai décidé de me faire soigner... Mais faites d'abord un miracle pour ma dent, je ne peux plus sortir comme ça!


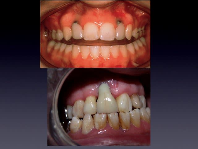
Image odged8 - Eugenol
ploc

11/08/2008 à 16h19

gardable je dirais
si elle est partante pr traction et odf,profites en pr faire gérer tout...
les soins partout
extraction des 8 sup?

là déjà tu a été confronté à la motivation de ta patiente:elle est partie ou pas:)

couronnes NON solidarisées;) moins on solidarise moins on accumule les risques d'erreurs,de traction ou de bidouillage par le protho

du tant que tu y es,vérifies vitalité de 11 qui semble présenter de gros compos:s'il y a risque de couronne par la suite,anticipe pr une question de rendu esthetique et fais la en mme temps que les autres


Imagescanx9uel x9b7id - Eugenol
newone'

11/08/2008 à 18h01

la 11 est prévue dans le plan de traitement.
pas de compo elle est juste un peu cariée (a la grande surprise de la patiente), et certainement nécrosée.

quelqu'un pourrait m'expliquer l'interet de la contention maxillaire?
sachant qu'il existe des diastemes, leger certes, mais qui complique un tout petit peu l'hygiene de la patiente!


Bouddha 2 wmj1zk - Eugenol
HAIG

11/08/2008 à 18h11

Je suis d'accord avec Ploc , je ne solidariserais pas. Je suis très indépendant de caractère !!!!!

L'intérêt de la contention, bonne question il faudrait demander a celui qui la faite car moi je ne sais pas ?

Je vais faire l'avocat du Diable en ce qui concerne l'extraction et la pose d'un implant. Scénario Catastrophe, en extrayant:
- Fracture du rebord osseux vestibulaire
- On sait pas le gérer
- Et on obtient des résultats comme ceux de la dia.
Et si on sait gérer, ouille le devis !!!

Ce serait sympa de nous mettre des photos , bouche ouverte et un sourire naturel car si elle ne découvre pas beaucoup, que l'ortho est bien faite en laissant le Parodonte en place. Pour ce, couper les fibres circulaires et Traction Forte; genre on ouvre une bouteille de Rioja. Je me demande si la Chir Paro est necessaire

Sin título - Eugenol

Spriford

11/08/2008 à 18h31

Pour la contention , je me suis posé la question, la réponse que j'ai trouvée , c'est que la 21 était tellement fragile que le cd lui a posé ça pour la consolider (en lui disant bien: ça ne durera que quelques mois, faites la vite couronner avant que ça ne casse). Aurait-elle attendu quelques années jusqu'à ce que la prédiction se réalise ???

Bon, plus sérieusement, ce qui m'inquiète, c'est que tu n'aies pas réussi à rouvrir le canal: peut-être que le précédent n'a pas pu non plus et que ce serait la raison pour laquelle il ne l'aurait pas couronnée? Peut-être un élément décisif pour la suite?


Image odged8 - Eugenol
ploc

11/08/2008 à 18h55

contention:elle a du être faite au moment du choc et ....oubliée
a cassée mais pas gênante ou elle s'est habituée
elle n'est pas retournée voir le praticien(peur?démotivation? impayé?)
ce qui laisse présager de la motivation de suivi de la patiente:il va te falloir la tenir à bout de bras:)


Imagescanx9uel x9b7id - Eugenol
newone'

11/08/2008 à 20h23

demenagement a trois reprises en deux ans d'ou l'absence de suivi.

Haig je compte l'envoyer a un implanto plutot doué s'il est ok, mais ca donne effectivement a reflechir.

Pour le sourire, levres tres hypotoniques, a la monica, elle ne decouvre pas du tout les collets.
Mais elle fera chier s'il y a une difference.


Image odged8 - Eugenol
ploc

11/08/2008 à 20h29

c'est sympa de recevoir un patient avec son historique,(edition de la fiche sur julie ou autre)ses anciennes radios ou panos
c'est ce que je donne qd les patients déménagent et j'adorerais en avoir autant ,ce qui est très rare

certains le font? et pourquoi non?


12