Tous les forums
Incisives mandibulaires et implants
09/08/2008 à 11h43
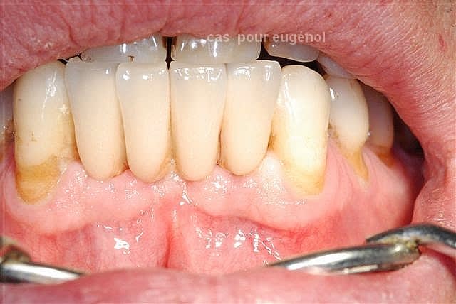
Cas clinique:
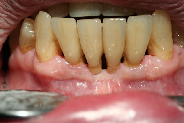
Edentements de 31 et 41
Largeur mésio distale : 1.1 cm
Volume osseux résiduel satisfaisant.
Occlusion favorable.
Quel type de traitement implantaire préconisez vous?
- 2 implants très fins?
- 1 implant central et 2 couronnes
- 1 implant en 31 (ou 41) et une extension?
- autre chose?
10/08/2008 à 00h44
si 42 et 32 sont mûres aussi, je préconise Extraction 42 32 et 2 immplants et bridge 4 élements.
(Sont préconisé ces distnces: 2mm entre implant et dent et 3mm entre les implants, si tu veux poser 2implants, disons de 3,5mm :
2 + 3,5 + 3 + 3,5 + 2 = 15mm mais tu n'as que 11mm. )
a +
10/08/2008 à 01h01
clemsdent Ecrivait:
-------------------------------------------------------
> si 42 et 32 sont mûres aussi, je préconise
> Extraction 42 32 et 2 immplants et bridge 4
> élements.
>
même chose pour moi.
si ces dents ne sont plus présentes, c'est certainement pour un problème paro , donc les deux autres latérales ne doivent pas beaucoup être mieux.
une photo et une radio seaient les bienvenues.
> (Sont préconisé ces distnces: 2mm entre implant
> et dent et 3mm entre les implants, si tu veux
> poser 2implants, disons de 3,5mm :
> 2 + 3,5 + 3 + 3,5 + 2 = 15mm mais tu n'as que
> 11mm. )
tu peux poser des implants de diam 3mm également...
1.5+3+1.8+3+1.5= presque 11
ou des straumann 2.8...
10/08/2008 à 11h41
Comme je l'indiquais dans l'énoncé du cas clinique, l'édentement ne concerne seulement que 31 et 41, extraites à la suite d'un traumatisme...32 et 42 sont indemnes.
10/08/2008 à 12h03
les dents étaient en encombrement avant?
tu as çà aussi:
http://minilien.fr/a0jf47
et http://minilien.fr/a0jf46
@+
10/08/2008 à 17h22
Moné Ecrivait:
-------------------------------------------------------
>
>
> Quel type de traitement implantaire préconisez
> vous?
> -
> - 1 implant central et 2 couronnes
>
>
>
Déjà fait ça.
30/08/2008 à 13h58
bill Ecrivait:
-------------------------------------------------------
> Moné Ecrivait:
> --------------------------------------------------
> -----
> >
> >
> > Quel type de traitement implantaire préconisez
> > vous?
> > -
> > - 1 implant central et 2 couronnes
> >
> >
> >
>
>
> Déjà fait ça.
avecun implant de quel diamètre ?
a mon avis au minimum 4 mm * 10 et MCI
07/09/2008 à 23h58
Perso j'ai toujours laissé 1,5mm entre imp-dent et entre imp-imp. Donc dans ton cas cela ne me pose absolument aucun soucis de mettre 2 implants biocom (mis) de 3.3. Le prothésiste dans ce cas me fait des congés important pour ménager des embrasures correctes. Quand entre 2 implants on veut pas que ce soit trop près c'est parce que l'on ne veut pas engendrer trop d'echauffement et ne pas risquer d'avoir de l'os interimplantaire de mauvaise qualité. Mais avec du 3.3 on ne passe que 2 forêts... Donc pas vraiment de risques.
j'attends vos avis sur la question
20/09/2008 à 19h37
mais c toi le plus fort steeveb!!! tu nous as tous bec! biz du petit oiseau
20/09/2008 à 20h02
SteveB Ecrivait:
-------------------------------------------------------
> Pas d'avis?
si c'est du sur-traitement
19/04/2009 à 22h32
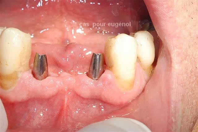
là j'ai viré les 4 car mobilité ++++ des 41 31 et ++ des 42 32.
j'ai préféré utiliser 2 moignons neufs pour l'étape labo (bien que minimiser les démontages soit préférable, mais je ne trouvais pas optimales les tailles que j'avais réalisé le jour de la pose)
@+
19/04/2009 à 22h51
growler écrivait:
-----------------
> là j'ai viré les 4 car mobilité ++++ des 41 31 et ++ des 42 32.
> j'ai préféré utiliser 2 moignons neufs pour l'étape labo (bien que minimiser les
> démontages soit préférable, mais je ne trouvais pas optimales les tailles que
> j'avais réalisé le jour de la pose)
>
> @+
>
>
Super
Merci pour les photo
--
Céramik
19/04/2009 à 23h16
joli
si j'avais 20 ans de moins et cherchais un boulot de collab,tu serais au hit parade de mes choix pr progresser et apprendre,et ce malgré le climat:)
st biiip ces djeunes!
19/04/2009 à 23h22
ploc écrivait:
--------------
> joli
> si j'avais 20 ans de moins et cherchais un boulot de collab,tu serais au hit
> parade de mes choix pr progresser et apprendre,et ce malgré le climat:)
> st biiip ces djeunes!
pareil si j'avais 5 ans de moins;))))
20/04/2009 à 01h07
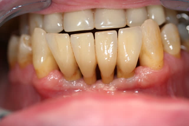
jolie mon growli
j'en profite pour ajouter un cas similaire
patient 62 ans
joueur de trompette donc position de la langue particulière plusieurs heures par jour
ne pouvait pas mettre un appareil amovible...
désolé, j'ai pas eu à l'époque la présence d'esprit de faire d'avantage de photos
il y a un peu plus de tartre entre aout 2007 et décembre 2008 mais j'ai l'impression d'avoir plus de papilles...
20/04/2009 à 01h22
impeccable dentiste 57:)
teinte exacte et ton prothésiste a bien caractérisé la céramique.
quelle durée de temporisation?
20/04/2009 à 16h18
au fait pensez vous qu'on aurait pu faire ça sur 4 mini- implants type easy-implant (diamètre 2.5mm) ?
20/04/2009 à 17h11
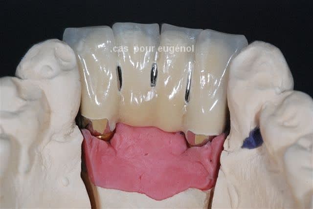
bonjour, quelqu'un aurait il un cas iconographié d'un implant central avec deux ccm.
Pour l'absence de 32 à 42 c 'est plutot fréquent mais pour absence de 3141 ca l'est moins.
D'avance merci
20/04/2009 à 18h03
dentiste57 écrivait:
--------------------
> au fait pensez vous qu'on aurait pu faire ça sur 4 mini- implants type
> easy-implant (diamètre 2.5mm) ?
oui, jusqu'à des des 2.8 çà passerait.
Mais comme çà marche avec 2 de 3.4 pourquoi en mettre 4?
pour ce qui est de l'absence de seulement 41 et 31, deux implants de diamètre max de 2.8 pourraient être utilisés.
@+
20/04/2009 à 20h26
1 implant 31 ou 41 et une extension.
Extraire deux dents en plus pour caser son truc bien symétrique ça s'appelle de l'architecture et pas de la dentisterie.
20/04/2009 à 20h27
1 implant central et deux ccm ça fait vite cracra si le patient aime bouffer de la blanquette et finit avec un bounty et une mangue au dessert....