Cookie Consent byPrivacyPolicies.comER (suite) - Eugenol

ER (suite)

Imagescanx9uel x9b7id - Eugenol
newone'

13/08/2008 à 15h46

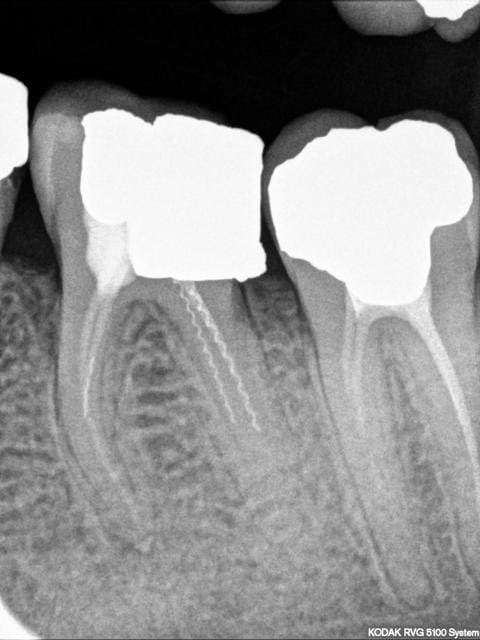
and the winner is:

est ce le meme lentulo?

Winner glvxjp - Eugenol

Image odged8 - Eugenol
ploc

13/08/2008 à 15h57

ils ne devraient pas être trop dur à enlever
ds l'autre canal,une broche?


024 vownvo - Eugenol
annie

13/08/2008 à 16h58

newone' Ecrivait:
-------------------------------------------------------
> and the winner is:
>
> est ce le meme lentulo?


et l'apex intègre!!:)


Gonzo k0qhwz - Eugenol
matten

13/08/2008 à 18h14

non y'a une lesion en mesial...


Baggins

13/08/2008 à 20h20

Mieux vaut 2 lentulos cassés sans pâte qu'une mauvaise obturation!