Cookie Consent byPrivacyPolicies.comEt si on décodait un peu? - Eugenol

Et si on décodait un peu?

Ylfwcw979cz1jnx9gfqeaxndiuzk - Eugenol
Algi

03/02/2005 à 13h51

Allez on va voir: photos de cas (moulages ou bouches) et on essaie de décortiquer d'aprés les dents.... chacun donne ses conclusions et ensuite celui qui traite le patient donne ses propres observations.... comme ça on verra si le décodage dentaire ça marche vraiment!

Chiche?

ps: ceux qui savent décoder participent mais il serait interressant que des "non initiés" nous envoient des cas qu'on décoderait et sur lesquels ils pourraient voir la pertinence de nos remarques (ou nous reprendre de volée et nous ridiculiser....).

je commencerais bien mais mon appareil a plus de piles et pas moyen de vous passer le cas... donc photos cet aprem' :0)


Cmoi

03/02/2005 à 14h39

Tres bonne initiative :))


Ylfwcw979cz1jnx9gfqeaxndiuzk - Eugenol
Algi

03/02/2005 à 15h29

Ouais sans doute.... mais ça se bouscule pas au portillon.... :0)


Avatar eex0qq - Eugenol
Pépé

03/02/2005 à 17h08

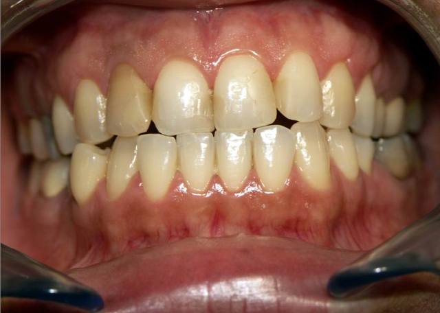
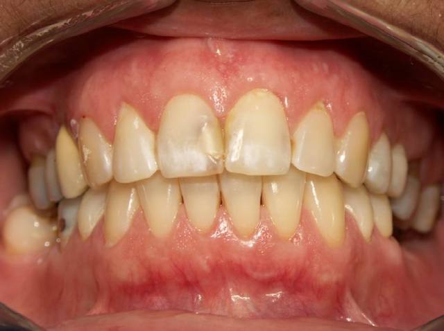
Si vous permettez je commence ça tombe bien je voulais poster ce cas dans les cas cliniques, mais vu que le problème est surtout occluso. Voilà
Patient 45 ans bruxisme, douleurs masseters.
Les points noirs sont les contacts en PIM.
Je précise je fais partie des non-initiés,
Merci

A13 f4cs1u - Eugenol
A14 emk1kp - Eugenol

Ylfwcw979cz1jnx9gfqeaxndiuzk - Eugenol
Algi

03/02/2005 à 17h30

Quelques precisions: peux-tu mettre photo modeles en occlusion face et profils? Afin de voir si décalage mandibule à droite ou à gauche, voir si béances (ou du moins pas de contacts antagonistes), voir rapports dentaires (articulé inversé....).Si y'a des dents traitées précise lesquelles (soins restau, endos, coiffes...).


Avatar eex0qq - Eugenol
Pépé

03/02/2005 à 17h31

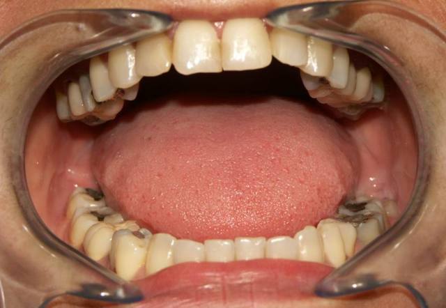
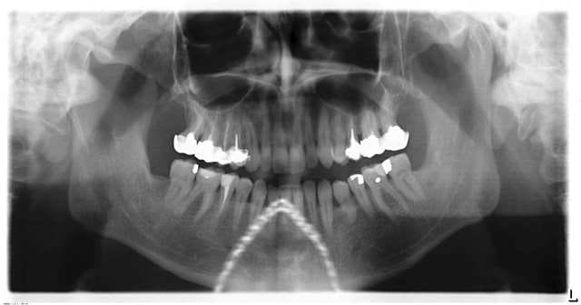
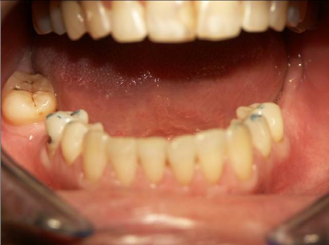
Voilà:

Désolé je n'avais pas vu la chaine

A15 uvaj06 - Eugenol
A16 gifqzc - Eugenol
M 20041106 179 3 hytvfm - Eugenol

Ylfwcw979cz1jnx9gfqeaxndiuzk - Eugenol
Algi

03/02/2005 à 17h37

Ca c'est du direct!!!!! Bravo pépé! je décodes et je t'envoies post privé et si des autres te répondent tu mets de côté et quand c'est fini on compare nos réponses et ensuite tu donneras le verdict... ça marche?


Avatar eex0qq - Eugenol
Pépé

03/02/2005 à 17h41

D'autres

ça marche

A17 rwjntp - Eugenol
A18 dez43t - Eugenol
A19 dodojd - Eugenol

Ylfwcw979cz1jnx9gfqeaxndiuzk - Eugenol
Algi

03/02/2005 à 20h31

Allez, le mien...

Patiente 10/11 ans.

Imgp0398 xszf0m - Eugenol
Imgp0399 b5fvqz - Eugenol
Imgp0400 azfpye - Eugenol
Imgp0397 o35nh7 - Eugenol

Ylfwcw979cz1jnx9gfqeaxndiuzk - Eugenol
Algi

04/02/2005 à 00h10

Bof.... allo la terre??? éh!!!! oh!!!! y'a quelqu'un??? Isaïe, Cmoi, Rogé... y'a des choses à dire non? Allez soyez sympa que je sois pas le seul à avoir traumatisé pépé :0)


Cmoi

04/02/2005 à 06h38

Peux tu mettre la bouche du patient en IM en photo et bouche ouvert
et donner aussi le jour et mois de naissance.

C'est mieux parlant pour moi.

Merci.


isaïe

04/02/2005 à 08h06

Si tu me donnes la localisation des points de contacts qui provoquent en IM une asymétrie dans ses bras, je te dis grosso modo l'endroit dans le corps qui a lâché ou qui va le faire s'il se met trop souvent en IM. Personnellement, je ne peux pas en dire plus, mais je suis la discussion.


Ylfwcw979cz1jnx9gfqeaxndiuzk - Eugenol
Algi

04/02/2005 à 10h35

Déjà que je l'ai rendu fou le pépé si EN PLUS on commence à bosser sur dates de naissance...... :0)

ps: par messages privés et on fera le tri aprés sinon c'est pas drôle.

Et la mienne... vos lumieres m'aideraient car le cas est touffu!!


Ylfwcw979cz1jnx9gfqeaxndiuzk - Eugenol
Algi

04/02/2005 à 14h34

Bon... on fera le point le 14 quand je rentre, bonne semaine à tous :0)


isaïe

04/02/2005 à 19h25

Exemple de décodage?
J'avoue que j'ai du mal, même sans l'erreur de nomenclature...
http://www.dentsvivantes.net/divers/cas%20du%20mois.htm

(il faut recopier toute l'adresse pour que ça marche)


occlusion

05/02/2005 à 12h23

Pépé a écrit:
-------------
> Voilà:
> Désolé je n'avais pas vu la chaine
>
To pote de 45 berges a une déglutition salivaire atypique (= déglutition infantile chez l'adulte) et tu peux certainement "Augmenter sa DVO" (Voir ce titre dans ce même Forum).
De combien ?
Là, ce n'est pas possible de voir sur ces photos "statiques", style "E.H. Angle (1898)".
Ceci (dé)montre aussi que ce n'est jamais dans un articulateur que l'on résoud la malocclusion.



Avatar eex0qq - Eugenol
Pépé

07/02/2005 à 00h54

occlusion a écrit:
-------------------------------------------------------
> Pépé a écrit:
> -------------
> > Voilà:
> > Désolé je n'avais pas vu la chaine
> >
> To pote de 45 berges a une déglutition salivaire
> atypique (= déglutition infantile chez l'adulte)
> et tu peux certainement "Augmenter sa DVO" (Voir
> ce titre dans ce même Forum).
> De combien ?
> Là, ce n'est pas possible de voir sur ces photos
> "statiques", style "E.H. Angle (1898)".
> Ceci (dé)montre aussi que ce n'est jamais dans un
> articulateur que l'on résoud la malocclusion.
>
>
>
Ce n'est pas mon pote, mais un patient.

C'est exact Jeudi il a vu l'ortho, qui a confirmé une interposition linguale à la déglutition. Un traitement est prévu pour ça pour bientôt et des élastiques pour remonter les PM mdb si le repositionnement correct de la langue ne l'a pas fait.


isaïe

07/02/2005 à 08h28

"...et tu peux certainement "Augmenter sa DVO" de "occlusion"
Au vu des moulages que tu tiens en occlusion, j'ai de sérieux doutes! Et comment le faire: 2 x 14 ccm? Chirurgie?
-comment vas-tu rééduquer sa langue de 45 ans?
-j'ai des doutes aussi quand tu dis que si l'ortho n'y arrive pas il va remonter les prémolaires du bas: si vraiment la langue est causale, pourquoi n'auras-tu pas de récidive?
-sur quoi te bases-tu pour proposer ce traitement à un patient dont le point d'appel serait bruxisme et douleurs masseters?

-ça me coûte de le dire, mais je préfère encore le testing mental de l'efficace confrère qui se reconnaîtra.

Si jamais éventuellement par hasard (et ça n'engage à rien) tu voulais vérifier la symétrie de son état de contraction musculaire, fais attention: articulé croisé à gauche, les appuis et les guides ne sont plus à la même place.


robert

07/02/2005 à 14h35

Il est indispensable dans ce cas d'objectiver les contacts interdentaires en occlusion de relation centrée . Il ne faut pas négliger l'hypothèse de l'existence conjointe d' une déglutition atypique accompagnée de prématurités peut être dues à des restaurations dentaires des secteurs cuspidés postérieurs .


isaïe

07/02/2005 à 15h02

Robert, comment vas-tu le mettre en relation centrée? Utilises-tu un plan rétro-incisif?


Avatar eex0qq - Eugenol
Pépé

07/02/2005 à 16h18

isaïe a écrit:
-------------------------------------------------------

> -comment vas-tu rééduquer sa langue de 45 ans?

l'ODF propose pique langue

> -j'ai des doutes aussi quand tu dis que si l'ortho
> n'y arrive pas il va remonter les prémolaires du
> bas: si vraiment la langue est causale, pourquoi
> n'auras-tu pas de récidive?

les PM a remonter seraient en cas de réussite du traitement de l'interposition linguale.

> -sur quoi te bases-tu pour proposer ce traitement
> à un patient dont le point d'appel serait bruxisme
> et douleurs masseters?
>
Dans un premier temps on essaie de retrouver un maximum de contacts dentaires et mettre ensuite une gouttière pour le bruxisme

> -ça me coûte de le dire, mais je préfère encore le
> testing mental de l'efficace confrère qui se
> reconnaîtra.
>
> Si jamais éventuellement par hasard (et ça
> n'engage à rien) tu voulais vérifier la symétrie
> de son état de contraction musculaire, fais
> attention: articulé croisé à gauche, les appuis et
> les guides ne sont plus à la même place.
>
ça je ne sais pas faire... pour le moment


Rogé

08/02/2005 à 10h42

Cas tres interresant de pathologies à distance.

Occluso 1 tubumo - Eugenol
Occluso 2 shdqr2 - Eugenol
Occluso 3 qfg7au - Eugenol
Occluso 4 um0qqe - Eugenol

isaïe

08/02/2005 à 12h31

Ce que je vais dire n'est pas conforme à ce que j'utilise comme démarche, il me faut l'impact sur la symétrie des bras, mais d'après le contact sur l45 (qui n'est pas en articulé croisé), et sur p24 il y aurait de fortes chances pour avoir une rétraction à droite, mais c'est à vérifier. Le contact sur l47 est plus délicat pcq on est en croisé (appui ou pas?). Sa latéralité droite doit le mettre très certainement en asymétrie.
Si (hypothèse) l'asymétrie des bras se confirme sur l45 et p24, on pourrait avoir des ennuis dans le côté gauche du tronc( 45, plutôt bas-ventre et 24, 1/2 sup), et si l47 est origine d'asymétrie, voir aussi bas du dos et hanche à gauche ou peut-être genou pcq 46 manque et 47 doit avoir avancé.
Mais si je ne mets pas d'asymétrie en évidence, je ne touche à rien.
Est-ce qu'il n'y a pas de contacts sur le bloc antérieur?
NB. la 45 source d'asymétrie semble statistiquement souvent liée à un problème de métabolisme des sucres (ex. coups de pompe dans la journée, obésité, patients très "sucrés")
Roge, question passionnante, impatient de te lire et de connaître ta façon de faire.


Rogé

08/02/2005 à 15h49

Autre cas .........d occluso.

Patiente 2 hgh1cw - Eugenol
Patiente 3 nrrhvw - Eugenol
Patiente 4 g738bn - Eugenol
Patiente 1 bqrumu - Eugenol

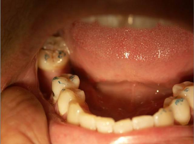
Rogé

08/02/2005 à 18h50

Pour le cas d occluso ..........

Patiente de 43 ans soufrant de coxo-arthrose handicapante depuis + 10 ans. Douleurs permanente, agravée par la station debout.
Sur avis de son medecin, a refusé de se faire operer suite echec aux traitements medicaux.

1 ere seance de meulages mardi 1/2/05. Disparition de ses douleurs permanentes. Sensation de relachement et de dentente musculaire surtout au niveau des hanches.

2e senace aujourd hui. Pas de recidive au niveau des hanches, mais douleur cervicale et craquement ATM....deviation de la Md à l'ouverture....observable sur la photo 2
Meulages des dents marquées en bleu.
Disparition de la douleur cervicale en fin de meulage.
Persistance de craquement ATM et de deviation de la Md.

Prochaine seance mardi prochain.