Cookie Consent byPrivacyPolicies.comEt si on décodait un peu? - Eugenol

Et si on décodait un peu?

Rogé

22/02/2005 à 12h28

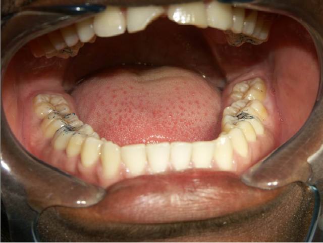
Algi : mais il me semble que 36 (avec le gros amalgame) est pas vraiment fonctionnelle (doux euphemisme) car totalement plate..... tu comptes faire queq chose pour elle et les quelques autres avec grosses reconstitutions?

T as raison, il est effectivement prevu de couronner la 36.

Excuse moi, je n avais pas compris ta question. Confusion avec un autre cas.


Ylfwcw979cz1jnx9gfqeaxndiuzk - Eugenol
Algi

22/02/2005 à 13h42

On devait parler de décodage dentaire et biologique, au départ... et alors Rogé, elle avait quoi à raconter cette 36? Te connaissant je pense que t'es allé "l'investiguer"....


Rogé

22/02/2005 à 19h57

Si tu veux, On parlera de "decodage " à Bruxelle.


Ylfwcw979cz1jnx9gfqeaxndiuzk - Eugenol
Algi

22/02/2005 à 20h53

T'as du courrier Rogé.... je veux bien qu'on parle à Bruxelles (donc c'est Bruxelles, chouette!) mais avant faudrait mettre des choses en commun, faire un prérequis pot pourri en somme(t'as du courrier disais-je).

A+


Hum

23/02/2005 à 00h49

Les mêmes tests à répètition ne donnent pas les mêmes
résultats avec le Tescan,il est d'ailleurs tombé en
dissuétude.Son lancement a fait beaucoup de bruit.
Mais tu dois certainement l'utiliser avec justesse
si tu as ces résultats si positifs,Bravo.SLC.


Rogé

08/03/2005 à 20h20

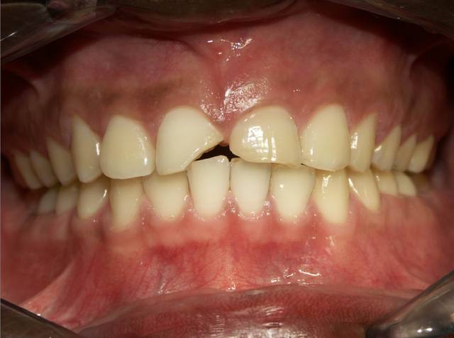
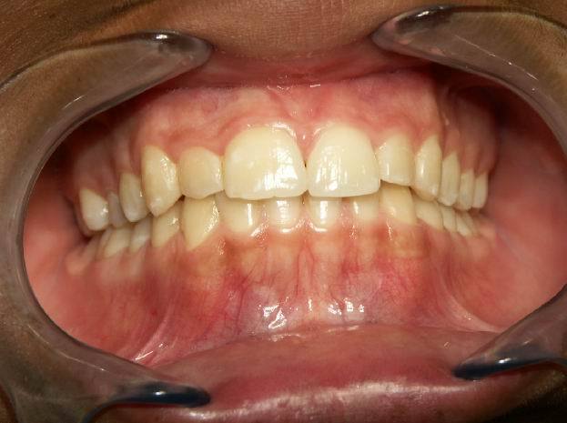
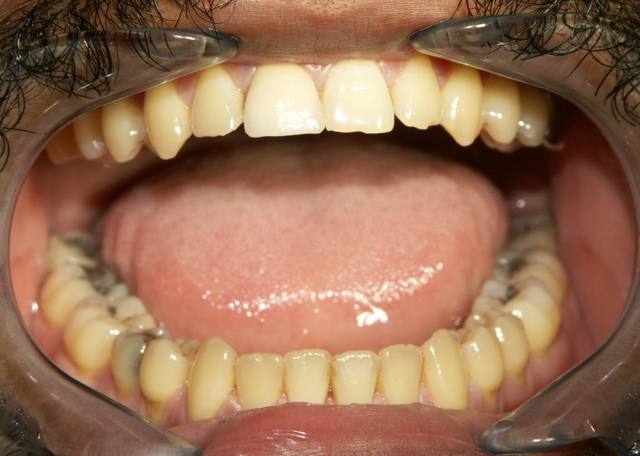
UN autre cas d occlusion atypique.
Question: Bonne ou mauvaise occlusion ????

Photo cas 3 a.........dents en IM.

Cas 3 a mascgd - Eugenol
Cas 3 b izilst - Eugenol

Rogé

08/03/2005 à 20h37

Autre cas aussi interressant.
Athlete de haut niveau......triple saut en longueur.
Souffre de douleur eu genou droit depuis septembre. Rebelle à tout traitement. Osteo, chiro., anti inflammatoire, semelle podo etc...
Mis au repos et entrainement reduit.

Vu cette apres midi. ....qd la jambe est en flexion, douleur du genou droit.

Meulage des dents marquées en bleu. Disparition des douleurs en fin de seance. A voir ds 8 jours.

Cas 4 a ypplvb - Eugenol
Cas 4 b a1uady - Eugenol

Hum

09/03/2005 à 00h10

Tu vas te faire e....... par Mr Carpentier:c'est
irréversible!!!


isaïe

09/03/2005 à 08h12

Devinette: qu'ont en commun une obturation, une extraction, la pose d'une couronne, un traitement orthodontique et une carie occlusale?
Réponse: modification irréversible du relief occlusal.

Personnellement, dans le cas proposé par Rogé, j'aurais simplement supprimé le contact sur le versant lingual des cuspides mv de 46 et 47 sans toucher à la pointe des cuspides. Pour autant que l'état d'asymétrie ait été constaté sur ces points, mais j'en suis quasi certain.
Il faut se dire que la suppression de la pointe cuspidienne va certainement reporter la contrainte occlusale ailleurs, si c'est sur un ou plusieurs points d'appui neutres, tant mieux. Si c'est par exemple sur une autre cuspide guide, on va provoquer autre chose ailleurs. C'est pour cette raison qu'il faut absolument un suivi du patient.


Rogé

09/03/2005 à 19h42

Autre cas N°5, celui d un jeune footballeur de 20 ans, souffrant de cervicalgie depuis + d un mois. Massage par kiné sans resultat.
Vu cette apr. midi, juste apres sa seance de kiné.
Je demande au patient de toutnet la tete et de s arreter dès l apparition du 1ere signe de douleurs.
Photos 5a1 et 5b1......rotation de la tete avant maulage. Noter la limitation de la tete à droite.
Photos 5a2 et 5b2......rotation apres meulage. Noter le gain d amplitude, rotation de la tete à droite.
Disparition de la cervicalgie en fin de seance.
Photos 5c et 5d.....occlusion et meulages des dents marqueées en bleu.
A revoir ds 5 jours.
Durées de la seance....20 mn.

Cas 5 a1 wbmbuq - Eugenol
Cas 5 b1 ttsj3x - Eugenol
Cas 5 a2 syvbsw - Eugenol
Cas 5 b2 mcwc5u - Eugenol

Rogé

09/03/2005 à 19h48

Suite du cas N° 5

Pour le cas N°3, je suppose que vous avez deviné que c est un cas TYPE de bonne occlusion.

Cas 5 c wpz1lf - Eugenol
Cas 5 d z0oxtg - Eugenol

Rogé

17/03/2005 à 10h23

Revu le cas N°5 ce matin, disparition totale de la cervicalgie et grande mobilité de la tete. Pas de recidive.




occlusion

20/03/2005 à 13h58

Rogé a écrit:
-------------
> Pour le cas N°3, je suppose que vous avez deviné que c est un cas TYPE de bonne occlusion.
>
Surtout qu'il n'y a *jamais* occlusion réflexe: voir notes sur ton cliché.

Beance dtkprj - Eugenol