Cookie Consent byPrivacyPolicies.comc'est banal , mais j'hésite toujours - Eugenol

c'est banal , mais j'hésite toujours

Spriford

29/08/2008 à 22h18

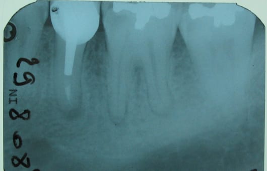
Une tâche laiteuse en mésial de 36,( dent asymptômatique),une radio pour confirmer la carie...
et je tombe sur des images apicales sur cette dent qui est vivante (sensible au test au froid mais nettement moins que la 37 ).
Je vais évidemment essayer de la garder vivante mais ai-je raison ? quid de l'avenir? La pulpe est-elle déjà infectée?
Vous feriez quoi ? (je ne parle que de 36, les autres sont plus évidentes, bien que découvertes aussi par hasard).

36 seb g06bxa - Eugenol

Amibien

29/08/2008 à 22h36

enlève l'obturation et pose un eugénate, tu vois plus tard si la sensibilité redevient normale...


Marque a3 orange fyvhyq - Eugenol
Marc Apap

29/08/2008 à 22h38

Ton image apicale est un épaississement ligamentaire. Cela ne veut pas dire qu'il y a nécrose pulpaire. La radio n'est pas prise selon un incidence bien orthogonale : on ne voit pas très bien cette lésion mésiale. Pour mieux évaluer son volume, une bite wing serait intéressante.
Si elle existe, c'est bien par là qu'il faut commencer en réséquant les tissus carieux. Le reste est une affaire de bon sens et d'expérience. Il paraît que tu n'en manques point.


Spriford

30/08/2008 à 00h27

Malgré mon ancienneté, j'ai besoin qu'on me dise parfois ce que je dois faire. Les circuits "réflexions" ne fonctionnent plus, tout s'emmêle. La réponse d'Amibien me convient tout à fait . Merci à vous.


Image odged8 - Eugenol
ploc

30/08/2008 à 06h30

je traite 36 ,je soigne 37 et démonte 35


3002 1 yx79qg - Eugenol
ORIOLI

30/08/2008 à 11h41

pil-poil comme ploc!


Spriford

30/08/2008 à 12h20

ploc Ecrivait: je traite 36 ...
Peux-tu développer,(le pourquoi et le comment?) stp ?



Image odged8 - Eugenol
ploc

30/08/2008 à 14h03

36 a déjà un Hg ayant entrainé semble t'il une retraction pulpaire( cf chambre)
en prime reprise de carie mesiale proche de la corne(et comme disait je ne sais plus quel prof d'endo : Santoro? :la radio est tjours en retard sur la clinique...)
la racine distale commence à présenter un aspect caractéristique"en battant de cloche"
mme la zone interradiculaire n'est pas clean...

attente = surveillance rapprochée(ce qui implique patient très motivé et sérieux ou proche qu'on a sous la main et qu'on emmène au cab)
sinon classiquement ce sera urgence un jour ou l'autre avec endo plus difficile,donc plus aleatoire quant à la reussite ou au pire extraction, et une 6 du bas avec 1/3 apical en cloche,c'est long,ch.. et pas payé
c'était le pourquoi
le comment? comme d'hab...

ds le pourquoi,rajoute que les 3 dents présentées sur ta radio ont chacune une pathologie carieuse ou infectieuse,ce qui laisse supposer un contexte autour et alentour n'aidant pas à des guérisons spontanées
là cela devient subjectif et sensitif et non clinique pur,c'est vrai...


Squash u44zd8 - Eugenol
steph

30/08/2008 à 15h15

Je penche aussi pour le TR, tu peux avoir 1 racine en nécrose et les 2 autres vivantes.
Vu le volume de la carie, je ne tenterai pas la conservation de la vitalité.


200106 10150128247663588 709988587 6466236 5598391 n d7mksb - Eugenol
hallboy

30/08/2008 à 17h37

je reprendrai bien une radio sous un meilleur axe, et je demonterai le plombage avant de me decider; mais le fil conducteur de Ploc me convient


Avatar transparent iqadnc - Eugenol
adhoc

30/08/2008 à 21h14

J'hésiterais aussi...


SteveB

04/09/2008 à 02h37

ploc Ecrivait:
-------------------------------------------------------
> je traite 36 ,je soigne 37 et démonte 35


Tu as oublié la 34 mon ami...
Vu la catastrophe de ce secteur, je prescrirais bien un bilan long cône et je reflechirais en global. En insistant bien sur la discussion préopératoire avec le patient et juger de sa motivation. Car si sa suceptibilité carieuse n'est pas traitée avant tout, aucun traitement ne marchera sur lui (cf la 35)...