Cookie Consent byPrivacyPolicies.comCAT - Eugenol
Imagescanx9uel x9b7id - Eugenol
newone'

02/09/2008 à 18h54

Patient 11ans, a vu sa dentiste habituelle il y a 3 mois pour l'amalgame sur 36...elle l'a envoyé chez l'odf les soins étant finis.
Il semblerait qu'elle ai été interdite d'exercice depuis.

Endo, extraction 36? quid de 37?
45 est prévue.

Maan sg61c3 - Eugenol

Photo pluton1b h9n4ea - Eugenol
pluton

02/09/2008 à 19h27

Tente d'endo...d'en risque rien....au pire davier dans quelques mois...
37 devrait évoluer normalement dès que le pb du foyer infectieux sera réglé...


Image odged8 - Eugenol
ploc

02/09/2008 à 19h43

newone' Ecrivait:
-------------------------------------------------------
> Patient 11ans, a vu sa dentiste habituelle il y a
> 3 mois pour l'amalgame sur 36...elle l'a envoyé
> chez l'odf les soins étant finis.
>
> Endo, extraction 36? quid de 37?
> 45 est prévue.


ds ce cas précis,ne peux t'on imaginer qu'il y ait eu incomprehension des parents et mauvaise explication de la part de la CD?
qu'elle ait envoyé sa patiente chez l'odf pr un avis sur la possibilité de tracter 37 (puisque le germe de 38 est présent) et l'organisation du plan de traitement(naïve et crédule sur la conscience pro? sans doute)
en ts cas c'est ce que j'aurais fait avant de décider l'extraction ou la conservation(avec qd mme une grosse preference pr extraction-suivi odf)
si la conservation est décidée(en accord avec l'odf: quelle est l'implication sur la reussite de la traction de 37 en cas d'echec à 1 an ou plus?) il faut savoir que la réussite n'est pas acquise,qu'il y aura surveillance à 1 semaine,1 mois,3 mois,6 mois puis ts les 6 mois pdt 5 ans,qu'un comblement n'est pas exclu s'il reste une perte osseuse importante par la suite,que malgré tout cela,il peut y avoir echec et on reviendra peut être à de l'odf ou de l'implanto, qu'il faut que les parents en soient conscients et motivés,etc,etc...

45 est prévue quoi? un peu de MTA?:)

pr repondre à pluton ,je ne crois pas que sur un enfant on puisse décider seul ds ce cas sans tenir compte des suites
le "tente et on verra bien" ,je n'adhère pas
par rapport à une decision sur adulte,il faut anticiper sur l'evolution à long terme et le "versus-benefice"
c'est ce qui fait l'interêt de la pedo :la vision de l'etat bucco-dentaire que l'on va chercher à obtenir après croissance
sinon sur le plan des actes purs ,c'est basique, simple et à la portée de n'importe quel chimpanzé 3 mois,à fortiori d'une blonde:)




Imagescanx9uel x9b7id - Eugenol
newone'

02/09/2008 à 21h09

Pourquoi MTA sur 45?
Pulpo dans un premier temps. L'apex de 35 est a peu pres au meme stade et 45 est vivante.
Puis soit fermeture de l'apex et endo, soit pas de fermeture et alors seulement MTA.

Ok pour l'avis ODF.
Mais la chir me semble un peu risquée pour le germe de 37.

Pour soigner la maman et le frere, ce n'est pas un exces de conscience pro qui a provoqué l'interdiction d'exercice... Malheureusement.


Image odged8 - Eugenol
ploc

02/09/2008 à 22h16

newone' Ecrivait:
-------------------------------------------------------
>
> Pulpo dans un premier temps. L'apex de 35 est a
> peu pres au meme stade et 45 est vivante.
> Puis soit fermeture de l'apex et endo, soit pas de> fermeture et alors seulement MTA.

si 45 est vivante, et s'il y a fermeture de l'apex = apexogénèse , pourquoi veux tu faire l'endo à tout prix?
le MTA est là pr induire ton apexogénèse tout comme et mieux que ne le fera le Caoh
de plus tu n'es pas obligé de réintervenir une fois l'apexogénèse faite comme tu devras le faire avec le Caoh du fait qu'il est soluble et peu etanche
ta pulpo sera ou partielle (sur 2 mm environ sous turbine + spray = tk de Cvek)ou totale(tte la chambre et c'est DANS CE CAS que certains auteurs préfèrent faire systematiquement l'endo)
c'est considéré comme réussi qd pdt le suivi clinique,il n'y a ni douleurs,ni oedème ou fistule,ni patthologie visible à la radio mais au contraire une maturation radiculaire progressive

ne pas perdre de vue que les pronostics de reussite st de 75% pr la pulpo totale et 95% pr la pulpo partielle
c'est le moment de wait and see....
>
> Ok pour l'avis ODF.
> Mais la chir me semble un peu risquée pour le
> germe de 37.

c'est comme tout:dooooucemeeeent
>



Photo pluton1b h9n4ea - Eugenol
pluton

03/09/2008 à 02h22

ploc Ecrivait:

> pr repondre à pluton ,je ne crois pas que sur un
> enfant on puisse décider seul ds ce cas sans tenir
> compte des suites
> le "tente et on verra bien" ,je n'adhère pas

ptêtre...mais quand t'as viré la dent...y en a plus...et si la 37 est ankylosée/retenue/ancrée(au choix)...t'es pas dans le caca...

> par rapport à une decision sur adulte,il faut
> anticiper sur l'evolution à long terme et le
> "versus-benefice"
> c'est ce qui fait l'interêt de la pedo :la vision
> de l'etat bucco-dentaire que l'on va chercher à
> obtenir après croissance

bénéfice/risque...là je vois pas...çà marche et tu sauve la 36..çà marche pas et t'as un plan B...mais au moins t'as pas le regret de ne pas avoir au moins essayé...

> sinon sur le plan des actes purs ,c'est basique,
> simple et à la portée de n'importe quel chimpanzé
> 3 mois,à fortiori d'une blonde:)


là c'est sûr...j'suis même velu comme un gorille...mais demain je post un cas assez semblable....et tu me diras, mon ptit ploc, si les primates simplistes se sont pas les plus sensés...


Image odged8 - Eugenol
ploc

03/09/2008 à 04h12

pluton Ecrivait:
-------------------------------------------------------
>
> ptêtre...mais quand t'as viré la dent...y en a
> plus..

lapalisse?


.et si la 37 est ankylosée/retenue/ancrée(au
> choix)...

tu ne serais pas d'un naturel inquiet?
>
> >
> bénéfice/risque...là je vois pas...çà marche et tu> sauve la 36..çà marche pas et t'as un plan
> B...mais au moins t'as pas le regret de ne pas
> avoir au moins essayé...

benefice:
HN(les seances d'apexification-désinfection au caoh ou le MTA)+ SC30 + SC33 ou SPR57 ou 67 + HN (la prov longue durée)+SPR 50


risque:
le sauvetage s'evalue en nombre d'années(5 est considéré comme le délai de guérison) et ta 7 qui viendrait gentiment se mettre presque seule en place ou necessiterait un léger coup de pouce odf,demandera alors en cas d'echec un ttt plus long ou pas de ttt du tout(ado,elle peut ne pas être fan des BK)
il restera la solution implantaire
ah,là on retombe ds le bénéfice...


ok c'est provo mais il y a 7 ET 8 :pourquoi garder une 6 à apexifier puis couronner(avec ce que cela comporte à cet âge: cf fil de myst en prothèse)>
>
>
> .mais demain je post un cas assez
> semblable....

you're welcome ou plutot ton cas


Photo pluton1b h9n4ea - Eugenol
pluton

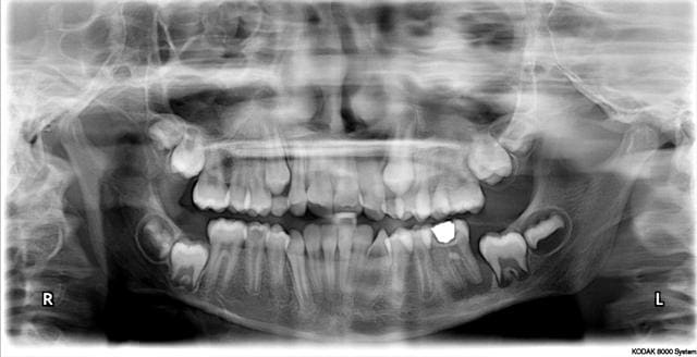
03/09/2008 à 11h08

qu'aurais-tu fait de la 46...
patiente de 13 ans qui vient me consulter pour ODF...cl1 ddm
fistule vestibulaire...mobilité3...

12 03 2008 ztgt4y - Eugenol

Image odged8 - Eugenol
ploc

03/09/2008 à 18h51

mais trop vu d'echecs(les miens et ceux d'autres) ds la conservation de 6 délabrées sur enfants jeunes,la reussite ,ns sommes d'accord,n'etant pas la conservation pr implanter à 18 ans ou mme plus tard

déjà c'est plus tentant de conserver:
l'âge(puisque maintenant ce ne st plus des enfants qui ft ce que veulent les parents mais des "préados"...)
la 47 qui est en place
les apex fermés
la clI

evidemment qu'un choix est fait de compromis à la fois technique et subjectif
ce qui m'interesserait:les radios du traitement et surtout les radios à suivre
à combien de temps es tu pr considérer que c'est une réussite?(contrairement à ce que tu as l'air de penser,je ne suis pas une inconditionnelle de l'odf,n'en faisant pas:mais entre odf et implant plus tard,je choisirai odf pr ma gamine)


Photo pluton1b h9n4ea - Eugenol
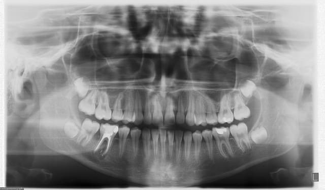
pluton

03/09/2008 à 20h01

voilà la radio 6 mois plus tard....
Ne jamais sous-estimer le potentiel de guérison des enfants...
Pour l'odf...je viens de lui poser son multibagues cet AM...pour la suite...contrôles radios durant tout le traitement ODF...en cas de problème...je tracterai la 47...mais je me dis que si je n'avais pas au moins essayé...j'aurais peut-être mutilé cette gamine pour rien...
il n'y a plus de fistule...la mobilité est redevenue normale...la radio montre clairement une reconstruction osseuse...c'est pas encore parfait...mais çà m'a l'air en très bonne voie...le TR à été terminé il y a 3 mois...

25 08 2008 eab8wz - Eugenol

Image odged8 - Eugenol
ploc

04/09/2008 à 02h57

bravo mais ....à suivre:)
radio ds 6 mois?:)

ds ton pronostic d'odf,les 48/18 auront t'elles la place de se mettre en normoclusion?
c'est souvent ce que je discute avec l'odf:si la 8 doit être extraite plus tard,je préfère une 7 en 6 et une 8 en 7 qu'une 6 traitée à couronner,à condition que ce soit gérable mais là la balle est ds son camp


Photo pluton1b h9n4ea - Eugenol
pluton

04/09/2008 à 10h31

à priori...les 8 ont la place...dans ce cas on est en ddm positive (trop de place)
Radio dans 6 mois en effet....
au fait...désolé...ce n'est apparemment pas mon...mais ma petite ploc...;-)