Cookie Consent byPrivacyPolicies.com2 questions sur les pulpo de dents définitives... - Eugenol

2 questions sur les pulpo de dents définitives...

Spriford

04/09/2008 à 20h10

1- En juin, carie très profonde sur une 26 d'une petit patient de 8 ans. au nettoyage de la carie, je touche une corne ---> Coiffage direct au MTA. Depuis, la dent est hypersensible au chaud et au froid.
Dois-je faire une pulpo ?
Quel est le produit le mieux adapté selon vous ? (à force de tenter les nouveaux produits "miraculeux" , je ne sais plus quoi faire ....)

2- Qu'advient-il du paquet vasculo-nerveux d'une molaire après pulpo réussie (puisque racines édifiées)?
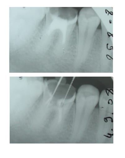
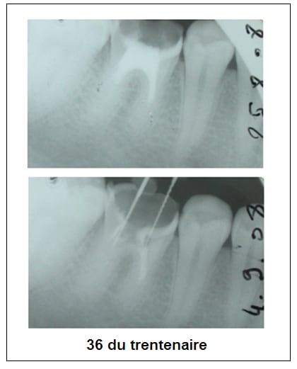
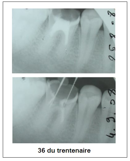
Je viens d'en récupérer une sur une 36 chez un nouveau patient de 30 ans, pan lingual cassé cet été, canaux totalement calcifiés, j'arrive pas à passer, aucune lumière (je sais je n'en suis pas une non plus hélas...). Que faire?

Pulpo. - Eugenol

Marque a3 orange fyvhyq - Eugenol
Marc Apap

04/09/2008 à 21h11

Tu appelles ça une pulpo ??? C'est une pulpec à mi hauteur des canaux. Que faire ? surtout t'arrêter, car tu commences à faire des fausses routes.
Une pulpo, ça s'arrête à l'entrée des canaux. Utilise de l'eugénate assez dense et ça ira bien sur ton bambin. On sait qu'il est conseillé de réintervenir pour la pulpec quand les racines sont édifiées (surveillance annuelle et surtout, travail propre, en évitant la contamination salivaire)


Amibien

05/09/2008 à 02h24

et d'abord pose la digue !


joe

05/09/2008 à 18h00

Marc Apap Ecrivait:
-------------------------------------------------------
> Tu appelles ça une pulpo ??? C'est une pulpec à mi
> hauteur des canaux. Que faire ? surtout t'arrêter,
> car tu commences à faire des fausses routes.
> Une pulpo, ça s'arrête à l'entrée des canaux.
> Utilise de l'eugénate assez dense et ça ira bien
> sur ton bambin. On sait qu'il est conseillé de
> réintervenir pour la pulpec quand les racines sont
> édifiées (surveillance annuelle et surtout,
> travail propre, en évitant la contamination
> salivaire)



je crois que la radio ne montre pas la future pulpo sur l'enfant de 8ans, sinon il serait vachement précoce mais l'endo sur la 36 d'un adulte de 30 ans ayant subit une pulpo dans son jeune age.

à force de faire le justicier sans regarder vos post vont perdre de leur intéret


Avatar transparent iqadnc - Eugenol
adhoc

05/09/2008 à 18h55

:-))))


Image odged8 - Eugenol
ploc

05/09/2008 à 19h37

sur la 36 du trentenaire,j'arrêterais tout avant les faux canaux:de plus il ne semble pas y avoir de pb apicaux?

pr le gamin,une radio stp?


Spriford

05/09/2008 à 21h32

1- La 26 concerne le bambin de 8 ans. J'aurais aimé la garder vivante d'où la tentative de coiffage. C'est la première fois que j'utilise le MTA dans ce cas, d'habitude (façon de parler, c'est rarissime) je fais avec de l'hydroxyde de calcium.


2-La 36 du trentenaire va très bien au niveau apical. J'ai besoin des canaux pour la reconstituer, je vais donc me contenter d'enlever le ciment à base d'eugénate... au risque de me voir reprocher de ne pas avoir boucher les racines "correctement". Je trouvais juste bizarre qu'il n'y ait plus de canaux, au delà de ce que j'ai appelé une pulpo ancienne (basse j'en conviens).

26 de sacha 8ans nkmycy - Eugenol
36 du trentenaire ymutwc - Eugenol

Spriford

05/09/2008 à 21h35

...

26 de sacha 8ans rbrjor - Eugenol
36 du trentenaire cnk0tw - Eugenol

Spriford

05/09/2008 à 21h36

!

26 de sacha 8ans g4psmv - Eugenol

Marque a3 orange fyvhyq - Eugenol
Marc Apap

05/09/2008 à 21h37

joe Ecrivait:
-------------------------------------------------------
> Marc Apap Ecrivait:....
> --------------------------------------------------
> -----

>
> à force de faire le justicier sans regarder vos
> post vont perdre de leur intéret
>

Je ne sais pas qui fait le justicier ici, mais Joe, tu ferais mieux de réfléchir avant d'écrire ce genre de propos.
1/ J'ai parfaitement vu que la radio était celle d'une "pulpo" faite il y a longtemps et mes remarques concernant le travail de progression dans le canal portaient sans équivoque sur la reprise de traitement en cours (la remarque de Ploc confirme mes recommandations)
2/ La seconde partie de mon message portait sur l'interrogation de Spiford concernant la conduite à tenir chez l'enfant de 8 ans avec exposition de la corne pulpaire.

Si maintenant, je dois faire suivre tous mes messages d'une explication de texte pour ceux qui m'ont dans le nez, où va-t-on ?


Spriford

05/09/2008 à 22h05

Je confirme.
Mais Marc tu aurais sauté une ligne entre les 2 réponses c'eut été plus clair... : -)
Merci pour tes réponses.


Image odged8 - Eugenol
ploc

05/09/2008 à 23h37

s'il y a sensibilité chaud-froid, c'est sans doute que ton pansement prov n'est pas etanche:qu'as tu mis?
MTA + IRM 2/3 semaines puis COMPO en laissant un fond d'IRM

pr la 36,pourquoi pas une couronne CCC reposant ds la chambre et collée?


joe

06/09/2008 à 03h59

Spriford Ecrivait:
-------------------------------------------------------
> Je confirme.
> Mais Marc tu aurais sauté une ligne entre les 2
> réponses c'eut été plus clair... : -)
> Merci pour tes réponses.


+1


024 vownvo - Eugenol
annie

06/09/2008 à 04h03

ploc Ecrivait:
-------------------------------------------------------

> mis?
> MTA + IRM 2/3 semaines puis COMPO en laissant un
> fond d'IRM
>


Ploc,j'y comprends plus rien! compo sur IRM?



CONTRE-INDICATIONS
A CAUSE DE SA COMPOSITION D’OXYDE DE ZINC ET D’EUGENOL, LA BASE IRM‚ PEUT INTERFERER AVEC LA MISE
EN PLACE ULTERIEURE D’UNE RESTAURATION EN RESINE.


http://www.dentsply.fr/2007/telechargement/mode_emploi/irm_mde.pdf


Stéphane

06/09/2008 à 11h47

La dernière fois que j'ai parlé de pulpotomoie dans un journal, les foudres me sont tombées dessus comme jamais.

Ce qui me fait plaisir, c'est que je vois que l'on commence à se reposer la question.

De nombreuses études cliniques sont en cours sur des traitments par pulpotomie ou pulpectomie partielle sur dents "définitives". les résultats sont étonnant et feront couler beaucoup d'encre.

Joe est ici la parfaite victime de tout un système (auquel je participe très activement, certainement par ignorance) qui prévoit que quand on est pas au bout, il faut y retourner. La nature est bien plus forte que nous, il nous faut rester très humble.

Cependant les données acquises de la science ne permettent pas aujourd'hui de valider ce type de traitement "incomplet" comme un traitement durable. L'évolution vers une approche plus biologique nous permettra probablement de dire dans quelques années que ce traitement répond aux donénes de la science.
Il nous reste juste à comprendre beaucoup de choses.

Nénamoins, comme Amibien, le passage par la protection de la dent contre toute invasion bactérienne est la première étape à ce type d'approche. Donc, encore une fois, la digue...


Image odged8 - Eugenol
ploc

06/09/2008 à 15h42

lire ligne au dessus:
"le materiau restaurateur intermediaire IRM CAPS est un COMPOSITE POLYMERE renforcé à l'oxyde de znc-eugenol"

LA BASE IRM‚ PEUT INTERFERER AVEC LA MISE
EN PLACE ULTERIEURE D’UNE RESTAURATION EN....... RESINE.....


"PEUT"....(voir dico)
et ce n'est pas de la resine que je mets mais du compo
et pas ds la mme seance où là effectivement le compo polylmerise mal(je sais pr m'être fait avoir)
qqes semaines après,cela ne pose pas pb de ce que j'en ai constaté


Grueavatar nptrc9 - Eugenol
Le Choixpeau magique

06/09/2008 à 16h39

ploc Ecrivait:
-------------------------------------------------------
> et ce n'est pas de la resine que je mets mais du
> compo

??

> et pas ds la mme seance où là effectivement le
> compo polylmerise mal(je sais pr m'être fait
> avoir)
> qqes semaines après,cela ne pose pas pb de ce que
> j'en ai constaté
>

Il est avéré que l'eugenol perturbe la polymérisation des composites, mais il me semblait aussi avoir lu dans le mode d'emploi de l'irm qu'il abime les restaurations en compo, même réalisées avant.
L'IRM relargue moins d'eugenol que l'eugénate simple, mais l'utiliser sous un compo ne serait-ce pas un peu exagéré ?
A la fac, on nous a appris à faire eugénate + CVI + Compo, ça fait beaucoup, mais si ça peut permettre au compo de rester plus étanche dans le temps, pourquoi pas ?


Dr - Eugenol
JeRis

06/09/2008 à 17h35

"et ce n'est pas de la resine que je mets mais du compo" "cela ne pose pas pb de ce que j'en ai constaté" !?


... et si tu regardais là

> www.dentsply.de/bausteine.net/file/showfile.aspx?downdaid=7715&sp=D&domid=1042&fd=2

c'est tout à fait différent et d'une formulation plus juste à mon sens (anglais, allemand et français pour ma part), qui donne raison à annie.



Images eb1m5g - Eugenol
tonio

06/09/2008 à 17h38

ploc Ecrivait:
-------------------------------------------------------
> lire ligne au dessus:
> "le materiau restaurateur intermediaire IRM CAPS
> est un COMPOSITE POLYMERE renforcé à l'oxyde de
> znc-eugenol"
>
> LA BASE IRM‚ PEUT INTERFERER AVEC LA MISE
> EN PLACE ULTERIEURE D’UNE RESTAURATION EN.......
> RESINE.....
>
>
> "PEUT"....(voir dico)
> et ce n'est pas de la resine que je mets mais du
> compo
> et pas ds la mme seance où là effectivement le
> compo polylmerise mal(je sais pr m'être fait
> avoir)
> qqes semaines après,cela ne pose pas pb de ce que
> j'en ai constaté
>


Je vois assez souvent ce genre de "technique sandwich" à base d'eugénate (ou IRM) voir de dycal sous des composites. bilan: 100% de récidives sur ces composites.
Par contre, sous les amalgames, c'est souvent clean.


Image odged8 - Eugenol
ploc

06/09/2008 à 18h04

tonio Ecrivait:
-------------------------------------------------------
>
> Je vois assez souvent ce genre de "technique
> sandwich" à base d'eugénate (ou IRM) voir de dycal> sous des composites. bilan: 100% de récidives sur> ces composites.
> Par contre, sous les amalgames, c'est souvent
> clean.

>
conclusion hâtive et intolérante
ne serait ce pas parceque les compos sont plus difficiles à gérer au niveau de l'etancheité ?
tout est question de technique mise en oeuvre,je pense,(epaisseur et de la largeur d'email laissé pr coller par ex)




024 vownvo - Eugenol
annie

06/09/2008 à 19h02

ploc Ecrivait:
-------------------------------------------------------
> tonio Ecrivait:
> --------------------------------------------------
> -----
> >
> > Je vois assez souvent ce genre de "technique
> > sandwich" à base d'eugénate (ou IRM) voir de
> dycal> sous des composites. bilan: 100% de
> récidives sur> ces composites.
> > Par contre, sous les amalgames, c'est souvent
> > clean.
>
> >
> conclusion hâtive et intolérante
> ne serait ce pas parceque les compos sont plus
> difficiles à gérer au niveau de l'etancheité ?
> tout est question de technique mise en oeuvre,je
> pense,(epaisseur et de la largeur d'email laissé
> pr coller par ex)
>
>

Conclusion que l'amalgame n'a pas besoin d'adhesif pour tenir,et que si le compo ne colle pas sur l'IRM il n'y a pas étanchéité au plancher,même si c'est étanche sur les parois!
Quand je parle de la complexité des mélanges!!



Bjorn

06/09/2008 à 19h50

ploc Ecrivait:
-------------------------------------------------------
>
> et ce n'est pas de la resine que je mets mais du
> compo

Trop élitiste pour moi eugenol.


Marque a3 orange fyvhyq - Eugenol
Marc Apap

06/09/2008 à 21h49

Il y a aussi une question de quantité et d'épaisseur. En admettant que l'on laisse de l'IRM, si l'épaisseur de compo par dessus est supérieure à deux millimètres, et que les parois ont bien été fraisées et débarrassées de restes d'eugénate, on a un meilleur pronostic qu'avec une pellicule de composite.


024 vownvo - Eugenol
annie

06/09/2008 à 21h57

Marc Apap Ecrivait:
-------------------------------------------------------
> Il y a aussi une question de quantité et
> d'épaisseur. En admettant que l'on laisse de
> l'IRM, si l'épaisseur de compo par dessus est
> supérieure à deux millimètres, et que les parois
> ont bien été fraisées et débarrassées de restes
> d'eugénate, on a un meilleur pronostic qu'avec une
> pellicule de composite.


Si le compo n'adhère pas a l'Irm ,ou que sa prise soit inhibée par l'IRM, qu'il ait un mm ou 5mm ne changera pas grand chose,


Image odged8 - Eugenol
ploc

06/09/2008 à 22h48

Bjorn Ecrivait:
-------------------------------------------------------
> ploc Ecrivait:
> --------------------------------------------------
> -----
> >
> > et ce n'est pas de la resine que je mets mais
> du> > compo
>
> Trop élitiste pour moi eugenol.

tu as raison je pensais "resine acrylique"(si,si je rencontre encore des dents obturées à la resine auto) et non charges minérales noyées dans une matrice organique.


>



12